Click here to close
Hello! We notice that you are using Internet Explorer, which is not supported by Xenbase and may cause the site to display incorrectly.
We suggest using a current version of Chrome,
FireFox, or Safari.
???displayArticle.abstract???
During amphibian metamorphosis the digestive tract is extensively remodeled under the control of epithelial-connective tissue interactions. At the cellular level, larval epithelial cells undergo apoptosis, while a small number of stem cells appear, actively proliferate, and then differentiate to form adult epithelium that is analogous to its mammalian counterpart. Therefore the amphibian digestive tract is a unique model system for the study of postembryonic organ regeneration. As amphibian intestinal remodeling can be triggered by thyroid hormone (TH), the molecular mechanisms involved can be studied from the perspective of examining the expression cascade of TH response genes. A number of these genes have been isolated from the intestine of Xenopus laevis. Recent progress in the functional analysis of this cascade has shed light on key molecules in intestinal remodeling such as matrix metalloproteinase-11, sonic hedgehog, and bone morphogenetic protein-4. These genes are also thought to play key roles in organogenesis and/or homeostasis in both chick and mammalian digestive tract, suggesting the existence of conserved mechanisms underlying such events in terrestrial vertebrates. In this article, we review our recent findings in this field, focusing on the development of adult epithelium in the X. laevis intestine.
Fig. 1. Remodeling of the Xenopus digestive tract during
metamorphosis. The larval intestine before metamorphosis is
long and structurally simple, having a single fold, the typhlosole,
whereas the adult intestine after metamorphosis is shorter and
more complex, with numerous intestinal folds. The simple
columnar epithelium of the adult intestine undergoes cell
renewal along the troughâcrest axis of the fold.
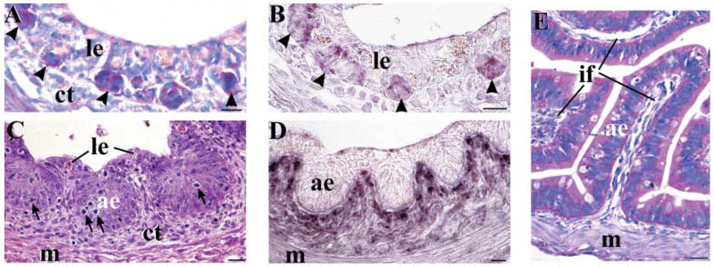
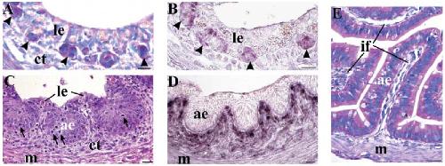
Fig. 2. Development of adult intestinal epithelium during Xenopus metamorphosis. (A,B) Primordia of the adult intestinal epithelium
(arrowheads) appear as islets between the larval epithelium (le) and the connective tissue (ct). They are stained deep red with methyl
green-pyronin Y (A) and express high levels of Msi-1 mRNA (B). (C) Primordia of the adult epithelium (ae) invaginate into the connective
tissue by active cell proliferation. Arrows indicate mitotic cells. HE staining. (D) Connective tissue cells around the growing primordia
express BMP-4 mRNA with a gradient toward the primordia. (E) Adult epithelium, stained red with methyl green-pyronin Y,
differentiates into single columnar epithelium as intestinal folds (if) form. m, muscles. Bars, 20 μm.
Fig. 3. Epithelialâconnective tissue interfaces in the Xenopus
intestine. (A) In a wild type tadpole before metamorphosis, the
basal lamina (bl) remains thin and continuous. (B) In a wild type
tadpole at the start of metamorphic climax, the basal lamina
suddenly becomes thick and then amorphous. Through the
modified basal lamina, cell contacts between the adult epithelial
primordia (ae) and fibroblasts (f) possessing well-developed
rough endoplasmic reticulum (rer) occur frequently (inset;
arrowhead). (C) In a transgenic premetamorphic tadpole
overexpressing ST3, the basal lamina becomes amorphous or
disappears. Cell contacts (arrowhead) through the modified
basal lamina occur frequently, and appear similar to those
occurring in wild tadpoles during metamorphosis. Bars, 1 μm.
Fig. 4. Schematic drawing showing potential roles for thyroid
hormone response genes in Xenopus intestinal remodeling.
Thyroid hormone (TH) directly upregulates expression of ST3
and Tolloid/BMP-1 in fibroblasts and that of Shh in epithelium.
ST3 affects both larval epithelial apoptosis and the invasion of
adult epithelial primordia into the connective tissue by modifying
epithelial cell–extracellular matrix interactions. Shh promotes
cell proliferation in the connective tissue and induces
expression of BMP-4 in subepithelial fibroblasts, which in turn
affects differentiation of the adult epithelium.