|
FIG. 1. Control embryos that are injected with a construct lacking the integrin a6 insert develop normally (A and C), as do embryos
injected with constructs containing a6 in the sense orientation (Lallier et al., 1996). Xenopus embryos that have been microinjected with
antisense integrin a6 constructs display a distinct morphology of perturbed neurulation (B and DâF). (C) An example of a control embryo
at higher magnification, displaying a closed neural tube on its dorsal surface. (D) A dorsal view of a neurulation-perturbed sibling embryo
displaying a flattened neural plate. (E) A rostral view, while (F) is a caudal view of a similarly perturbed embryo. Scale bar represents 200 mm. |
|
FIG. 2. Embryos displaying neurulation defects resulting from reduced a6 integrin expression possess cell numbers and DNA content
comparable to that of sibling embryos of tail-bud stage. (A) The numbers of cells present in individual Xenopus embryos were compared
by direct cell counts for control (black bars) neural plate (stage 12 and 15), neurula (stage 25), and tail-bud (stage 35) embryos, as well as
antisense a6 integrin-treated embryos (gray bars) grown until siblings reached stages 15, 25, and 35. (B) The DNA content of individual
embryos was quantified fluorimetrically. Control embryo (dark diamonds) and antisense a6 integrin-perturbed embryo (gray squares) were
compared. Error bars represent the standard deviations of the mean. |
|
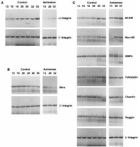
FIG. 3. The temporal expression of early mesodermal genes, neural genes, and genes that mediate neural induction are unaffected in
antisense a6 integrin-treated embryos. Control embryos and embryos injected with antisense a6 integrin constructs that displayed
neurulation arrest were evaluated semiquantitatively by RT-PCR. Equivalent RNA samples isolated from neural plate (12 and 13),
neurula (15, 18, 20, and 25), and tail bud (30, 32, and 35), as well as antisense a6 integrin-treated embryos (stages 13, 20, and 32) were
used as templates for cDNAs. Each sample was subjected to RT-PCR using primers specific for (A) a6 integrin, (B) the mesodermally
expressed gene Xbra, and (C) the neurally expressed genes N-CAM and neuroD and genes involved in neural induction: BMP4, noggin,
follistatin, and chordin. Parallel RT-PCRs were performed using primers specific for b1 integrin to normalize for RNA content. |
|
FIG. 4. The temporal expression of neural-specific genes is altered
in antisense a6 integrin-treated embryos. Control and antisense a6
neurulation-arrested embryos were evaluated semiquantitatively
by RT-PCR. Equivalent RNA samples isolated from neural plate
(13), neurula (20 and 25), and tail-bud (32 and 35) stage embryos, as
well as antisense a6 integrin-treated embryos (stages 13, 20, and
32), were use as templates for cDNAs. Each sample was subjected
to RT-PCR using primers specific for Xanf1, sybII, and nrp1.
Parallel RT-PCR reactions were performed using primers specific
for b1 integrin to control for RNA content. |
|
FIG. 5. Spatial expression of neural-specific genes is unaffected in antisense a6 integrin-treated embryos. Controls and embryos with repressed a6
integrin expression were examined by in situ hybridization for several neural-selective transcripts: nrp1 (AâF), Xanf1 (GâL), and sybII (MâR). In
uninjected, control embryos the expression of these transcripts was examined in embryos of neural plate (stage 13; A, G, and M), neurula (stage 25;
B, H, and N) and tail-bud (stage 35; C, I, and O) stages. The expression of these genes was also examined in embryos injected with antisense a6
integrin constructs and that displayed severe perturbation of neurulation at sibling stages of neural plate (stage 15; D, J, and P), neurula (stage 25;
E, K, and Q), and tail-bud (stage 35; F, L, and R) stages. Scale bar represents 200 mm. |
|
FIG. 6. Spatial expression of neural-specific genes is altered in antisense a6 integrin-treated embryos. Controls and embryos with repressed a6
integrin expression were examined by in situ hybridization for several neural-selective transcripts: otx (AâF), engrailed (GâL), and slug (MâR). In
uninjected control embryos the expression of these transcripts was examined at neural plate (stage 13; A, G, and M), neurula (stage 25; B, H, and
N) and tail-bud (stage 35; C, I, and O) stages. The expression of these genes was also examined in embryos injected with antisense a6 integrin
constructs and that displayed severe perturbation of neurulation at sibling stages of neural plate (stage 15; D, J, and P), neurula (stage 25; E, K, and
Q), and tail-bud (stage 35; F, L, and R) stages. Scale bar represents 200 mm. |
|
FIG. 7. The temporal expression of neural-specific genes unaffected
in antisense a6 integrin-treated embryos. Controls and
embryos injected with antisense a6 integrin constructs that displayed
neurulation-arrest were evaluated semiquantitatively by
RT-PCR. Equivalent RNA samples isolated from neural plate (13),
neurula (20 and 25), and tail-bud (32 and 35) stage embryos, as well
as antisense a6 integrin-treated embryos (stages 13, 20, and 32),
were use as templates for cDNAs. Each sample was subjected to
RT-PCR using primers specific for otx, engrailed, and slug. All
three transcripts were detected in quantities comparable to those of
late neurula (stage 25) through tail-bud (stage 35) embryos. Parallel
RT-PCRs were performed using primers specific for b1 integrin to
control for RNA content. |
|
FIG. 8. The spatial restriction of several neural-specific transcripts
was perturbed in antisense a6-treated embryos. (A) CSKA
vector control-injected and a6 integrin antisense-injected,
neurulation-perturbed embryos were quartered along their rostrocaudal
axis. Lanes 1â4 represent control embryo quarters arranged
rostrocaudally, and lanes 5â8 represent chronologically equivalent
perturbed embryos quartered along the equivalent rostrocaudal
axis. (B) Equivalent RNA samples from control and perturbed stage
23 embryo quarters were used as templates for cDNAs. Each
sample was subjected to RT-PCR using primers for the injected
CSKA construct, a6 integrin, nrp1, Xanf1, otx, engrailed, slug, and
HoxA7. Parallel RT-PCRs were performed using primers specific
for b1 integrin to control for RNA content. |