Click here to close
Hello! We notice that you are using Internet Explorer, which is not supported by Xenbase and may cause the site to display incorrectly.
We suggest using a current version of Chrome,
FireFox, or Safari.
???displayArticle.abstract???
During anuran metamorphosis, larval cells of the tadpole are completely eliminated and replaced by adult cells in the corresponding tissues of the frog for the adaptation to terrestrial life from an aquatic life. Before the metamorphic climax, most of the cells have already transformed from larval cells into adult-type cells, but the tail cells remain as larval cells even at the climax stages of metamorphosis. In our previous works, we demonstrated that larval skin grafts are rejected by an inbred strain of adult Xenopus and that the larval cells are recognized and made apoptotic by splenocytes obtained from adults and/or metamorphosing tadpoles in vitro (Y. Izutsu and K. Yoshizato, 1993, J. Exp. Zool. 266, 163-167; Y. Izutsu et al., 1996, Differentiation 60, 277-286). In the present study, it was found that there were two types of larval epidermal cells, classified according to the presence of major histocompatibility complex (MHC); one is the apical cell expressing both MHC classes I and II, and the other is the skein cell, which expresses no MHC. By a Percoll gradient, we were able to separate these two types of cells and examined the proliferative response of adult T cells to each of them. It was revealed that the apical cells (MHC-positive) were recognized directly by adult splenic T cells, whereas the skein cells (MHC-negative) were recognized by the T cells via the antigen presentation by adult splenocytes. Both of these proliferative responses were restricted to MHC class II. This is the first report showing how the larval-specific antigens present in different forms in epidermal cells are recognized as immunological targets by syngeneic adult T lymphocytes.
FIG. 1. Developmental change in the expression of MHC class II molecules on epidermal cells in the skin during metamorphosis. Frozen
sections were subjected to immunohistochemical staining using anti-Xenopus MHC class II monoclonal antibody (red signals) and
counterstained with quinacrine (green). Larval-positive cells sometimes looked yellowish, due to the overlaid counterstaining with
quinacrine. The thickness of the epidermis is shown by a white line on the left side of each photo. The images on the left show the back
epidermis of stage 57 (A), stage 59 (B), and stage 64 tadpoles (C) and a 2- to 3-month-old froglet (D). The images on the right show the tail
epidermis of stage 57 (E), stage 59 (F), and stage 64 tadpoles (G). Irregularly shaped large cells expressing MHC class II were seen in the tail
epidermis at stage 64 (arrowheads in G). The letter G in B, C, and D indicates the developing granular gland. Arrows in C and D indicate
the sites of granular gland formation. Bar represents 100 mm.
FIG. 2. Expression of MHC molecules on the epidermal cells around the back and tail junction region at metamorphic climax. Frozen sections
including the boundary of the tail and back of stage 64 larvae were immunostained as described in the legend to Fig. 1, demonstrating the expression
of MHC class I (A) and MHC class II (B). A conspicuous difference was not seen between the expression patterns of MHC class I and II on the
epidermal cells. Note the clear immunohistochemical difference between the back and the tail areas of the epidermis. Broken lines show the
locations of the basement membrane. E and D represent the thickness of epidermis and dermis, respectively. Bar represents 100 mm.
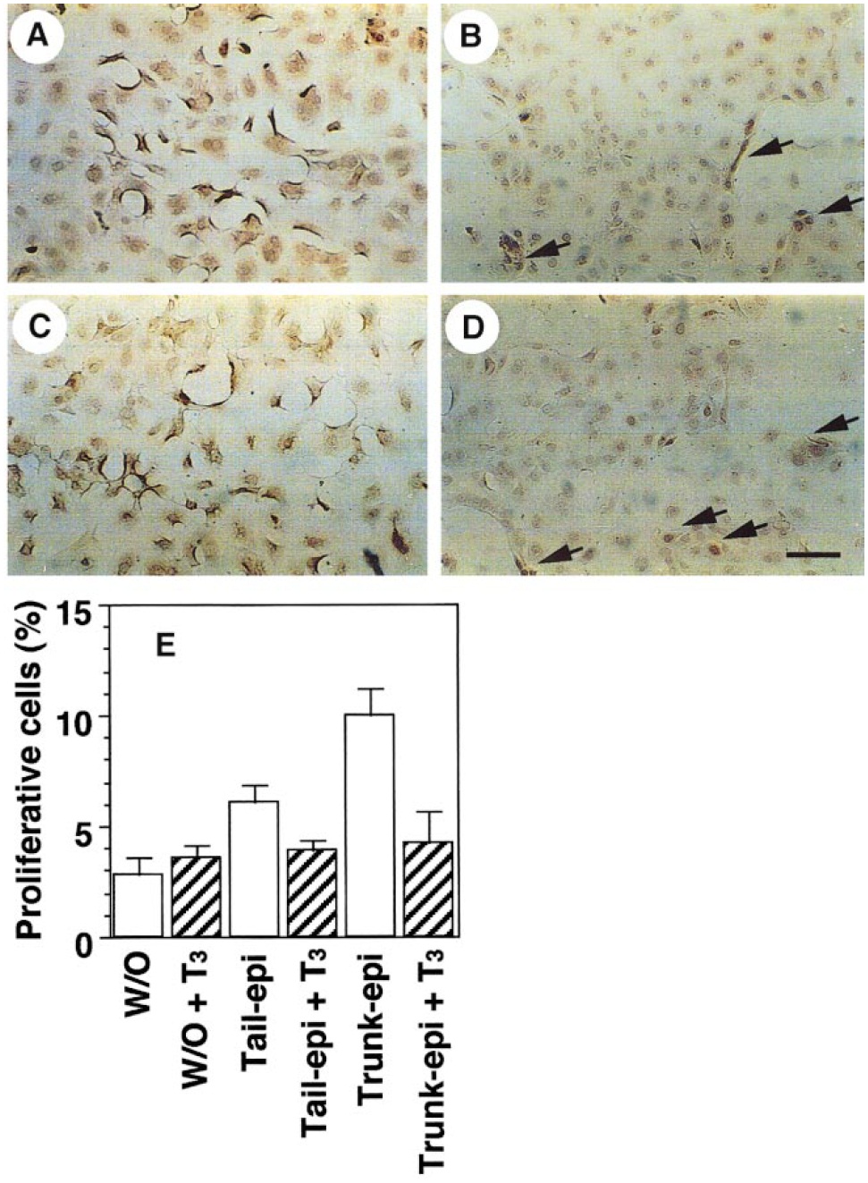
FIG. 3. In vitro induction of MHC expression in larval epidermal cells (AâD) and the responses of adult splenocytes to epidermal cells (E). Epidermal
cells (1.2 3 105) were obtained from tadpoletrunkskin at stage 55/56 and cultured in 96-well dishes for 3 days at 28°C in the presence (A, C) or absence (B, D) of 100 nM T3. The cells were immunostained with anti-Xenopus MHC class I (A, B) or class II (C, D) mAb and detected by enzyme
reaction. The cells expressing MHC class I or class II were stained brown, especially strong in keratinized cells differentiated by T3. A few
differentiated cells appeared even in the hormone-free culture (arrows). A significant difference was not seen between MHC class I and II
expressions. Bar represents 100 mm. (E) The epidermal cells were precultured for 24 h and then cocultured with adult splenocytes for 4 days.
Response of adult splenocytes cultured without stimulators (W/O), with larval tail epidermal cells (Tail-epi), and with larval trunk
epidermal cells (Trunk-epi). Open columns represent the response to the epidermal cells cultured in the absence of hormone, and striped
columns represent the response to those cells treated with hormone (100 nM T3). A total of 1000â1500 cells were counted in five or six
randomly selected areas of individual specimens prepared from each of the responder splenocytes, which were labeled with randomized
numbers to avoid possible anticipation. Proliferative responses are shown as percentages to the total number of leukocytes. Values
represent means 6 SD obtained from three different experiments.
FIG. 4. Stimulator-dependent proliferative responses of adult
splenocytes. Proliferative responses are shown as percentages of the
total number of leukocytes after scoring by the same methods as
mentioned in Fig. 3E. (A) Proliferative responses of adult splenocytes
including APC. J strain adult splenocytes were cocultured
with syngeneic larval trunk epidermal cells (JJLa-epi), which are
mostly MHC class II-negative as shown in Fig. 3D; with larval tail
tissues at stage 55/56 (JJLa-tis) including MHC class II-positive
apical cells as shown in Fig. 1E; with JB adult skin tissues obtained
from F1 of the J strain of X. laevis and the B strain of X. borealis
(JBAd-tis); or with adult skin of J strain (JJAd-tis). Cross-hatched
columns indicate cultures to which 20 mg/ml anti-Xenopus MHC
class I mAb was added, closed columns indicate cultures to which
20 mg/ml anti-Xenopus MHC class II mAb was added, and open
columns indicate cultures without antibodies. (B) Proliferative
responses of adult splenocytes that were completely depleted of the
adhesive APC (macrophages, dendritic cells, and B cells) by nylon
wool columns. Nonadherent adult splenocytes were cocultured
with each stimulator as described in A. Response of adult splenocytes
cultured without stimulators (W/O). Values represent
means 6 SD obtained from three different experiments. The higher
percentages were generally obtained in the proliferative responses
of splenocytes in the absence of APC, which may be attributed to
the large number of T cells in the responder population.
FIG. 5. A schematic model depicting two pathways of T cell
recognition of larval antigens derived from epidermal cells. The
yellow-colored cells indicate apical epidermal cells expressing
MHC class II molecules (gray-colored mushroom-like), and the
blue cells are MHC-negative skein cells. Adult T cells directly
recognize the larval-specific antigens (red ball) on the MHC class II
molecules of apical cells or the larval-specific antigens that have
been processed and presented on the MHC class II molecules on
splenic APC. T, Mp, and B represent the responding T cells, the
antigen-presenting macrophages, and the B cells, respectively.