Click here to close
Hello! We notice that you are using Internet Explorer, which is not supported by Xenbase and may cause the site to display incorrectly.
We suggest using a current version of Chrome,
FireFox, or Safari.
???displayArticle.abstract???
Dysregulation of Fragile X mental retardation-1 (Fmr1) gene expression results in an inherited form of mental retardation known as the Fragile X syndrome (FXS). Fmr1 is a highly conserved gene with a broad yet distinctive expression pattern during vertebrate development. Here, we examined the expression pattern of Fmr1 during Xenopus embryonic development. Zygotic expression of Fmr1 began just prior to gastrulation and gradually increased during subsequent embryonic stages. By in situ hybridization, Fmr1 transcripts were detected by early tailbud stage and showed robust expression in the central nervous system (CNS), eye and pharyngeal arches. By late tailbud stage, Fmr1 expression became stronger in the CNS and craniofacial regions including the ear vesicle and eye. In addition, the notochord expressed high levels of Fmr1 transcripts in the late tailbud stage embryos. In the tadpolebrain, the olfactory bulb and cerebellum exhibited strong Fmr1 expression. The developmental expression pattern of Fmr1 is consistent with the wide range of abnormalities observed in FXS. Further, our findings indicate that Xenopus will serve as an excellent model to study the developmental basis of this disease.
???displayArticle.pubmedLink???
16281176 ???displayArticle.link???Int J Dev Biol ???displayArticle.grants???[+]
Fig. 1 (Above). ClustalW alignment of translated Fmr1 gene from
human, mouse, Xenopus, zebrafish and Drosophila. (A) The common
motifs of FMRP conserved in all analyzed species are highlighted by
colored boxes (orange: NLS, nuclear localization signal; red: KH1, K
Homology domain 1; blue: KH2, K homology domain 2; green: NES, nuclear
export signal; purple: RGG box). (B) Phylogenetic tree of FMRP sequences
from above species constructed by DS Gene 1.5 program. The total
number of differences between sequences is indicated by the scale bar
and the bootstrap support values are shown at the node of the tree as a
percentage. The amino acid sequences of human, mouse, Xenopus,
zebrafish FMRP and Drosophila dFMR1 were obtained from GenBank
database with accession numbers AAB18832, AAL66364, P51113,
NP_694495 and AAF14639, respectively.
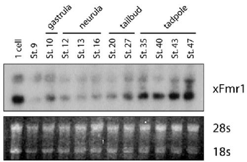
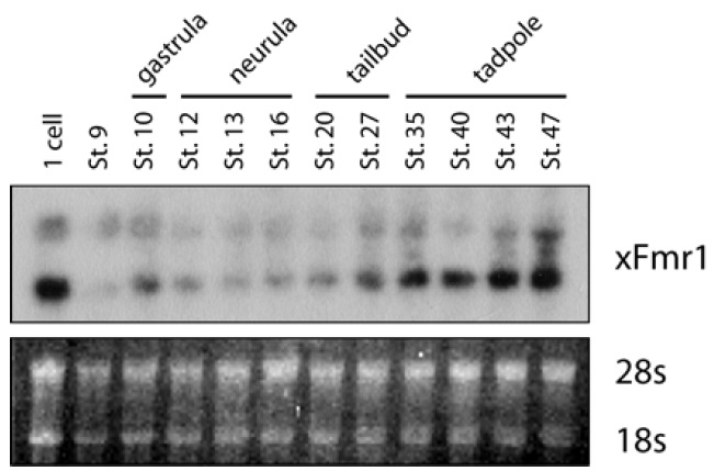
Fig. 2 (Left). Northern blot analysis of Fmr1 expression during Xenopus
embryonic development. Fmr1 transcripts are approximately 2.1kb
(bottom band; top band is non-specific) and are present maternally (1 cell).
Zygotic expression begins at early gastrula (st. 10) and gradually increases
through tadpole stage (st. 47). A noticeable spike in Fmr1 trancript levels
is observed from st. 20 to st. 27.
Fig. 3. Whole mount in situ hybridization
of developing Xenopus
embryos for Fmr1. (A) Early
tailbud stage embryo (st. 26) showing
Fmr1 expression in the CNS
(white arrowheads) and pharyngeal
arches (black arrowheads). (B) Expression
of AP-2α, a neural crest
marker at tailbud stage (st. 26). In
comparison to Fmr1 expression
pattern, AP-2α expression is mostly
limited to the pharyngeal arches at
this stage (black arrowheads). (C)
Fmr1 expression at early tadpole
stage embryo (st. 26; see F and G
for details). (D) Horizontal section of
st. 26 embryo at the level of cement
gland showing Fmr1 expression in
endodermal (black arrowhead),
mesodermal (black arrow) and mesenchymal
(white arrowhead) regions
of the pharyngeal arches, with slight
staining in the ectodermal region.
The difference in staining intensity
between the left and right side is due to the oblique nature of the sectioned tissue. Cement gland (cg) is negative for Fmr1 expression. (E) Oblique
transverse section of tailbud stage embryo (st. 26). Strong expression is observed in the eye evagination (ey) and in CNS (white arrowhead). Insets show
approximate region that has been sectioned (mg: midgut). (F,G) Sagittal section of late tailbud stage embryo depicted in Fig. 3C showing strong expression
in the CNS (G: white arrowhead), craniofacial regions, notochord (F,G: black arrowheads), ear vesicle (F: ev) and eye (G: ey).
Fig. 4. Whole-mount in situ hybridization of Fmr1 in tadpolebrain. The
forebrain, midbrain and hindbrain (lateral view) show moderate to heavy
Fmr1 expression. Abbreviations: ob, olfactory bulb; cb, cerebellum.
A B C
D E F
G