Click here to close
Hello! We notice that you are using Internet Explorer, which is not supported by Xenbase and may cause the site to display incorrectly.
We suggest using a current version of Chrome,
FireFox, or Safari.
???displayArticle.abstract???
The patterning and differentiation of the vertebrate endoderm requires signaling from adjacent tissues. In this report, we demonstrate that signals from the notochord are critical for the development of the hypochord, which is a transient, endodermally derived structure that lies immediately ventral to the notochord in the amphibian and fish embryo. It appears likely that the hypochord is required for the formation of the dorsal aorta in these organisms. We show that removal of the notochord during early neurulation leads to the complete failure of hypochord development and to the elimination of expression of the hypochord marker, VEGF. Removal of the notochord during late neurulation, however, does not interfere with hypochord formation. These results suggest that signals arising in the notochord instruct cells in the underlying endoderm to take on a hypochord fate during early neural stages, and that the hypochord does not depend on further notochord signals for maintenance. In reciprocal experiments, when the endoderm receives excess notochord signaling, a significantly enlarged hypochord develops. Overall, these results demonstrate that, in addition to patterning neural and mesodermal tissues, the notochord plays an important role in patterning of the endoderm.
Fig. 1. Histological analysis of prehypochord cells in the early endoderm. All sections are transverse through the trunk of the embryoposterior to the developing pronephric tubules; (A) is stained with Brilliant Cresyl Blue and (B and C) with Toluidine Blue. (A) Stage 20. The dorsalmost endoderm cell has a distinguishable triangular shape. Surrounding endoderm cells are columnar. (B) Stage 22. The dorsalmost cell in the endoderm layer has taken on a more rounded appearance as it delaminates and is beginning to reorient within the endoderm.
(C) Stage 24. The mostdorsal cell is now flattened against the dorsalmost periphery of the endodermal epithelium and lies at an angle to the adjacent columnar endoderm cells. (D-F) Traced outlines of sections A-C showing position of the prehypochord cell (blue) within the dorsal endoderm. n, notochord; arrow, prehypochord cell.
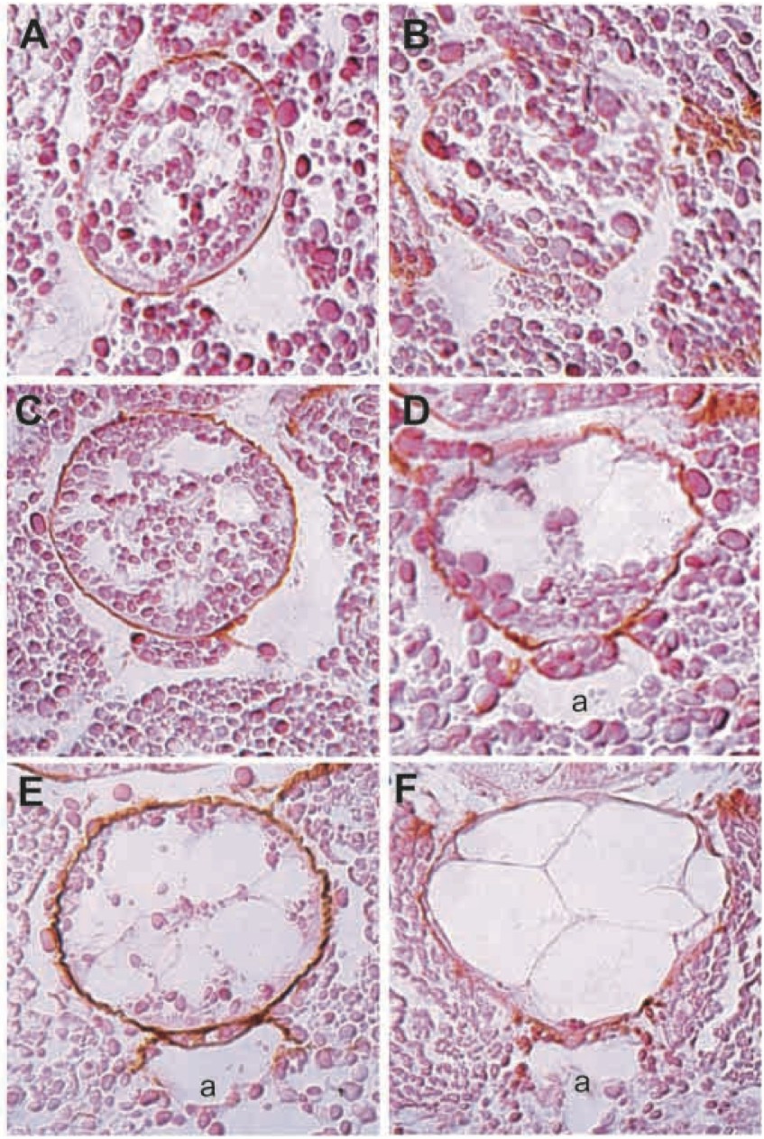
Fig. 2. Histological analysis of hypochord development. All sections are transverse sections through the trunk of the embryo posterior to the pronephric tubules and are stained using antibodies against Type II collagen and counterstained with Eosin. (A) Stage 26. Hypochord cells begin to delaminate from the dorsalmost endoderm. (B) Stage 28. Hypochord cells separate from the dorsal endoderm. (C) Stage 30. The hypochord lies adjacent to the ventral surface of the notochord and forms a mature organ. (D) Stage 34. The hypochord lies above the dorsal aorta (a) as circulation begins. (E) Stage 39. The hypochord begins to flatten significantly against the notochord.
(F) Stage 41. The hypochord degenerates and is no longer detectable as a separate structure.
Fig. 3. VEGF expression is a marker for prehypochord cells. All embryos are assayed by in situ hybridization for VEGF transcripts. (A,B) Cross sections through stage-24 embryos at the level of the trunk, posterior to the pronephric tubules. Expression of VEGF can be seen in the nucleus of a hypochord precursor cell in the dorsalmost endoderm. n, notochord; s, somites; e, endoderm.
(C) Frontal section through the ventralnotochord (arrows) of a stage- 24 embryo. No VEGF expression is visible in the notochord cells. Anterior to the right. (D) Same embryo as C, showing VEGF expression in the cells of the endoderm immediately ventral to the notochord (marked by arrows). Anterior is to the right. (E) Whole- mount in situ hybridization for VEGF in the mature hypochord (arrowheads). Notice declining expression in the anterior portion of the hypochord (large arrow), while expression in the posterior portion of the hypochord remains abundant (small arrow). Prominent staining is also visible in the somite nuclei and the pronephros.
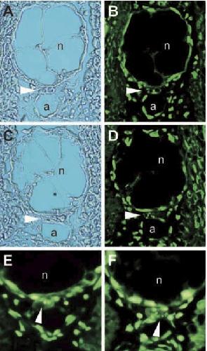
Fig. 4. Nuclei in the degenerating hypochord show characteristics of apoptosis. Nuclei are detected by SYTOX green staining. Highly condensed chromatin and nuclear fragmentation are evident along the hypochord of stage-41 and -42 embryos. All sections are transverse through the trunk. (A) Bright-field and (B) fluorescence views of section through the hypochord of a stage-38 embryo. An intact nucleus is evident in the hypochord in this section (white arrowhead) and nuclear morphology is similar to other embryonic cells. (C) Bright-field and (D) fluorescence views of a section through the hypochord of a stage-41 embryo. Notice the nuclear fragmentation evident in the hypochord cell nucleus (white arrowhead). (E,F) Higher magnification views of sections through the hypochord of stage-42 embryos. Note fragmented nuclei in the hypochord (white arrowheads). n, notochord; a, dorsal aorta.
Fig. 5. Removal of notochord at stage 13-14 results in the failure of hypochord development. (A) Stage-14 embryo showing removal of notochord. Note that the endodermal cell layer is intact in this embryo. (B) Embryo with notochord removed showing clear damage to the endodermal layer (arrowhead). (C,D) Transverse sections through embryos following notochord removal, showing intact and damaged endodermal cell layers, respectively. Only embryos showing an intact endodermal layer were assayed in subsequent experiments. (E-H) Transverse sections through the posteriortrunk of stage-30 embryos assayed for VEGF expression by in situ hybridization. (E) Section through an unmanipulated embryo. The hypochord is located ventral to the notochord. VEGF expression is evident in the hypochord (short arrow) and the somites.
(F,G) Sections through embryos from which the notochord was removed at stage 13. Because of the absence of the notochord, the somites have fused at the midline, directly ventral to the neural tube. Notice the absence of VEGF staining at the midline and the absence of any recognizable hypochord structure. Horizontal arrowheads indicate the expected position of the hypochord, dorsal to the endoderm. (H) Section through an embryo from which the notochord was removed at stage 18. Notice the presence of a hypochord (vertical arrow) at the midline immediately ventral to the fused somites. s, somites; n, notochord; e, endoderm.
Fig. 6. Addition of notochordtissue results in increased VEGF expression and the development of enlarged hypochords. All panels show transverse sections through embryos that have been assayed for VEGF expression by in situ hybridization. n, notochordtissue. (A) Section through an unmanipulated stage-26 embryo showing VEGF expression in the hypochord precursor cell, located in the dorsal endoderm, immediately ventral to the notochord. (B,C) Sections through embryos that received homotopic notochord transplantations at stage 14. (B) Section through a stage-26 embryo that has received a transplanted notochord. The transplanted notochord is under the neural tube to the right and the endogenous notochord is under the neural tube to the left. Notice the significantly increased VEGF staining in the endodermventral to the notochords (black arrowhead). (C) Section through a stage-26 embryo in which the transplanted notochord has fused with the endogenous notochord. This notochord hybrid is now twice the size of a normal notochord. Notice the extensive VEGF expression in the endodermventral to the notochord (black arrowhead). (D) Section through an unmanipulated stage-30 embryo showing VEGF expression in the histologically distinct hypochord, located immediately ventral to the notochord and dorsal to the endoderm. (E,F) Sections through stage-30 embryos that have received a transplanted notochord. In both sections the transplanted notochord is on the right. Significantly enlarged hypochords (indicated by black arrowheads) are distinguishable both by histological appearance and by increased VEGF staining.
Fig. 7. The ability to form hypochord is restricted to dorsal endodermal cells. (A) Section through a stage-30 embryo showing VEGF expression (black arrowhead) in developing hypochordtissue, immediately ventral to the endogenous notochord (n). (B) Section through stage-30 embryo in which the endogenous notochord (n) has been displaced laterally at stage 14. The open arrowhead indicates the place where the notochord would normally be located. VEGF expression (black arrowhead) is visible in endodermal cells adjacent to the displaced notochord. (C) Section through a stage-30 embryo in which a second notochord was grafted lateral to the somite, immediately adjacent to the lateral plate mesoderm. The transplant was performed at stage 14. VEGF expression in hypochordtissue adjacent to the endogenous notochord is evident (black arrowhead). No ectopic VEGF staining or hypochord structure is visible adjacent to the ectopic notochord. Although the notochord in this example is slightly separated from the endoderm, examination of multiple embryos failed to reveal VEGF staining in lateralendoderm, even when the transplanted notochord was in immediate contact. (D) Diagram showing the approximate locations of endodermal cells capable of forming hypochord in response to notochord signaling. The shading indicates a diminishing ability to form hypochord in more lateral endodermal tissues.