Click here to close
Hello! We notice that you are using Internet Explorer, which is not supported by Xenbase and may cause the site to display incorrectly.
We suggest using a current version of Chrome,
FireFox, or Safari.
???displayArticle.abstract???
The urodele is capable of regenerating its limb by forming a blastema even in the adult. By contrast, the anuran, which is phylogenetically close to the urodele, loses this ability during metamorphosis and forms blastema-like tissues that develop only into a spike-like structure in the adult. In order to compare the molecular mechanism of the formation and maintenance of the blastema between the urodele and anuran, the genes encoding helix-loop-helix (HLH) type negative regulators of differentiation were characterized for both the Japanese newt, Cynops pyrrhogaster, and African clawed frog, Xenopus laevis. Cynops homologs of Id2, Id3, and HES1 and Xenopus Id2 were identified. To learn the roles of these genes in regeneration, their expression was examined. The expression of Id2 and Id3 was low in unamputated limbs, but was up-regulated in blastemas of both adult newt and Xenopus. Interestingly, transcripts of the two Id genes showed specific localizations in the blastema and the expression patterns were very similar in both species through the early to medium bud stage. Id2 was expressed predominantly in the blastemal epidermis, and Id3 was expressed equally in the blastemal epidermis and mesenchyme including cells in precartilage condensations. HES1 expression was up-regulated in the newt blastemal epidermis. It was thought that the up-regulation of these genes in the epidermis was related to the proliferation of the cells and that increased expression of these genes in the mesenchyme was related to the undifferentiated state of the blastemal cells. These results and considerations strongly suggested that the state of differentiation is similar in the early to medium bud blastema of both urodeles and anurans. The expression of Id3 remained high through to the digits stage in newts. In contrast, its expression in Xenopus decreased in spike-like regenerates, which correspond to palette-digits stage of newt regenerates. From these results, it was suggested that the blastema redifferentiates earlier in the frog than in the newt, and therefore the timing of redifferentiation of the cartilage is crucial for complete regeneration.
Fig. 1. Comparison of the predicted amino acid sequence. (A) Id2, (B) Id3, and (C) HES1. Amino acid residues identical to the newt
were replaced by asterisks and gaps (dashes) were introduced to improve alignment. In the newt HES1 sequence, the proline residue
in the basic region is double underlined and the boxed sequence indicates the conserved amino acid sequence in the C-terminal
region. Sequence references; Sun et al. (1991) for mouse Id2; Christy et al. 1991 for mouse Id3; Wilson and Mohun 1995 for Xenopus
Idx; and Takebayashi et al. (1994) for mouse HES1. (D) Phylogenetic tree of Id genes. Sequence references: Benezra et al. 1990 for
mouse Id1; Sun et al. 1991 for mouse Id2; Christy et al. 1991 for mouse Id3; Riechmann et al. (1994) for mouse Id4; Hara et al. (1994)
for human Id1; Biggs et al. (1992) for human Id2; Ellmeier et al. (1992) for human Id3; Kiesling T. L., Swiss-prot: P47928 for human
Id4; Wilson and Mohun 1995 for Xenopus Idx; and Ellis et al. (1990) for Drosophila emc.
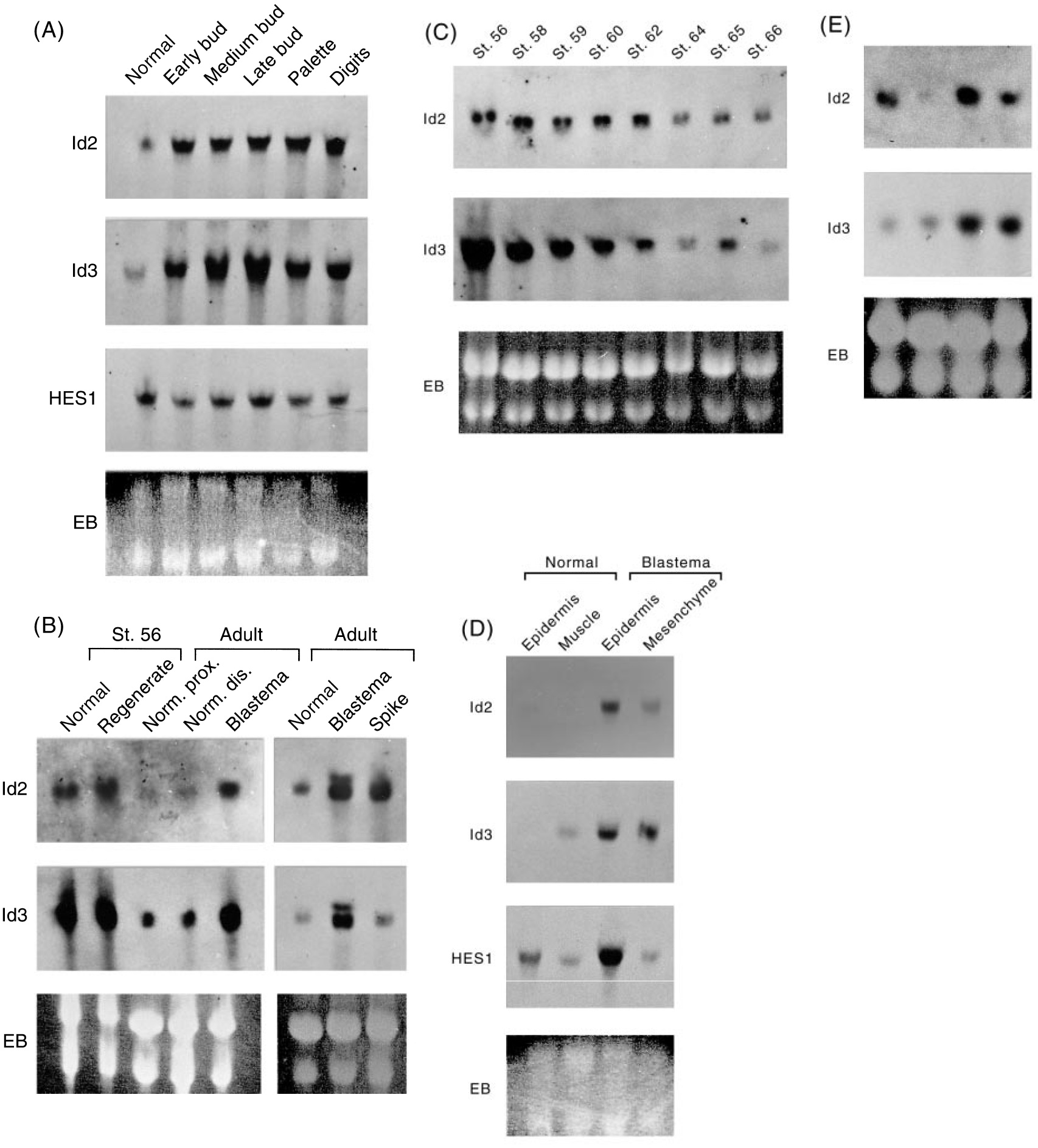
Fig. 2. Expression of Id and HES1 in limbs of the newt and
Xenopus. Ten micrograms of total RNA was loaded to each lane.
The ethidium bromide (EB) staining pattern was shown in the bottom
panel for each set of data to confirm that the same amount
of RNA was loaded to each lane. Probes used for hybridization
are indicated in the left side of each panel. (A) Expression of Id
and HES1 in the newt. Stages of regeneration are indicated at
the top of the panel; (Normal) unamputated normal limbs, (Early
bud) blastemas of early bud stage, (Medium bud) medium bud
stage, (Late bud) late bud stage, (Palette) regenerates of palette
stage, (Digits) digits stage. (B) Id expression in Xenopus.
Developmental stage and the name of the limb parts are indicated
at the top of the panel. Left panel; Normal, unamputated
normal limb buds at stage 56; Regenerate, regenerates that were
amputated at stage 55 and collected 1 week after the amputation
(when normal siblings proceeded to stage 56); Norm. prox.,
proximal part of unamputated normal limbs of adult; Norm. dis.,
distal part of unamputated normal limbs of adult; Blastema,
blastemas of adult frogs 16 days after amputation (newt regenerates
developed to early to medium bud stage during this
period). Right panel; Normal, unamputated normal limbs of adult
frog; blastema, blastemas of adult frog 16 days after amputation
(same sample as in the left panel); Spike, spike-like regenerates
of adult frogs 52 days after amputation (newt regenerates developed
to palette to digits stage during this period). (C) Id expression
in the developing limbs of Xenopus. Developmental stages
are indicated at the top of the panel. (D,E) Localized expression
of Id and HES1 in the blastema. Total RNA was isolated from the
epidermis and the muscle of normal (unamputated) limbs, and
the epidermis and the mesenchyme of blastemas of the earlymedium
bud stage. The tissues for the RNA source are indicated
at the top of the panel. (D) Newt. (E) Xenopus. In the northern
analysis of adult Xenopus tissue, two bands were detected in
only one case (B, right panel) out of three cases (B, right and
left panels, and E). The sample shown in Fig. 2(B) right panel
was collected from 14 individual frogs. It is likely that the extra
bands are the result of individual variants.
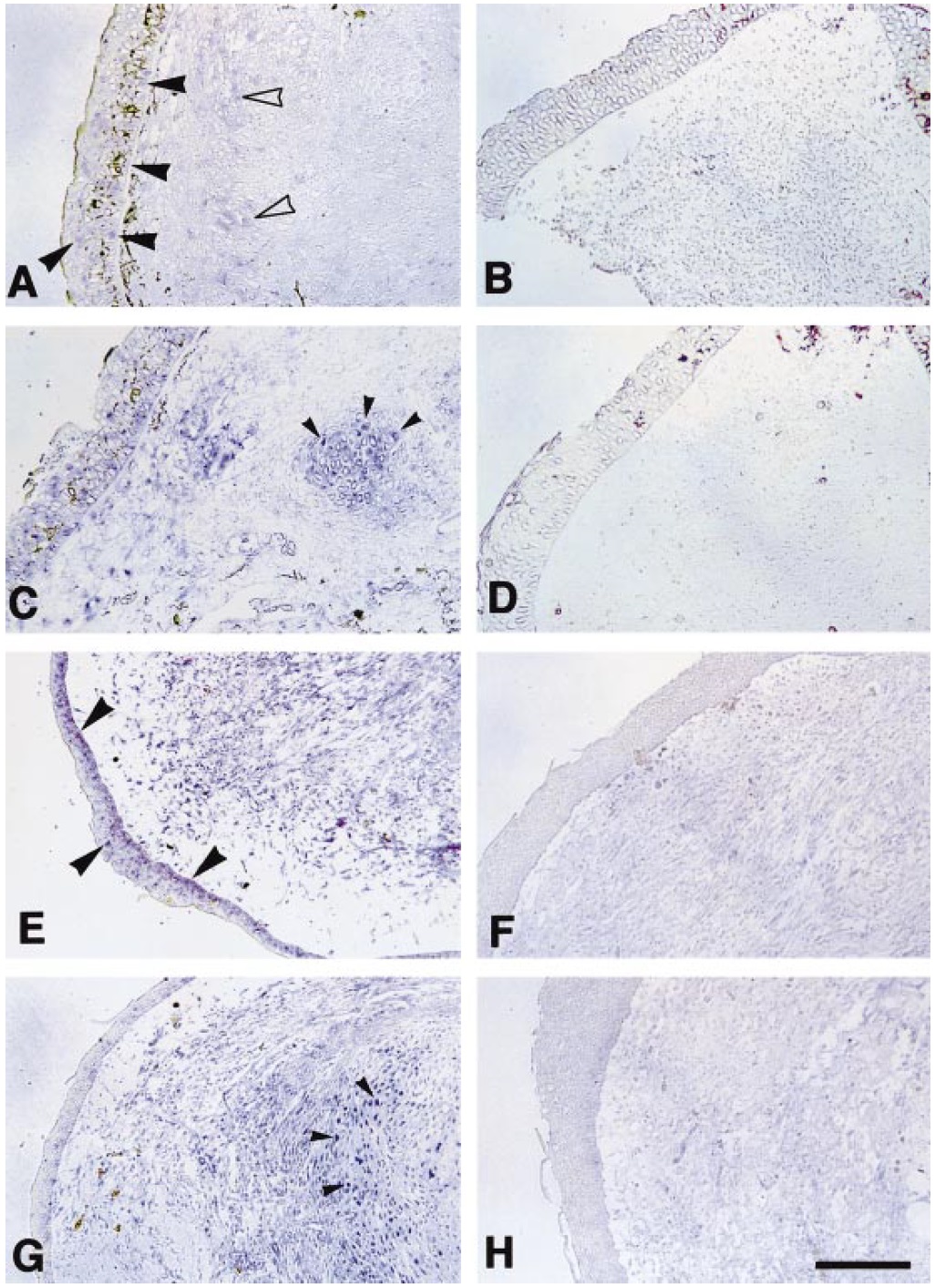
Fig. 3. Identification of Id gene expressing cells in the blastema. The expression of the Id family was examined by in situ
hybridization. (A,B) Id2 expression in the late bud stage of the
newt blastema. (C,D) Id3 expression in the late bud stage of the
newt blastema. (E,F) Id2 expression in early-medium bud stage of
the Xenopus blastema. (G,H) Id3 expression in early-medium bud
stage of the Xenopus blastema. Anti-sense probes were used for
the detection of transcripts in (A,C,E,G) and sense probes in
(B,D,F,H). Large closed arrowheads in (A,E) indicate the Id2-
expressing epidermal cells. Open arrowheads in (A) indicate the Id-
2-expressing mesenchymal cells near the wound epidermis. Small
closed arrowheads in (C,G) indicate the Id3-expressing cells in
precartilage condensations. Bar, 200 μm.