Click here to close
Hello! We notice that you are using Internet Explorer, which is not supported by Xenbase and may cause the site to display incorrectly.
We suggest using a current version of Chrome,
FireFox, or Safari.
???displayArticle.abstract???
The Eph family of receptor tyrosine kinases and their ligands, the ephrins, act as signaling molecules regulating the migratory behavior of neurons and neural crest cells, and are implicated in tissue patterning, blood vessel formation, and tumorigenesis. On the basis of structural similarities and overlapping binding specificities, Eph receptors as well as their ligands can be divided into A and B subfamilies with orthologues found in all vertebrates. We describe here the isolation of cDNAs encoding Xenopus EphB4 receptors and show that embryonic expression is prominently associated with the developing vasculature, newly forming somites, the visceral arches, and non-neuronal tissues of the embryonic head. In a screen to identify potential ligands for EphB4 in Xenopus embryos, we isolated cDNAs for the Xenopus ephrin-B2 and -B3, which demonstrates that the Xenopus genome harbors genes encoding orthologues to all three currently known mammalian ephrin-B genes. We next performed in situ hybridizations to identify tissues and organs where EphB4 receptors may encounter ephrin-B ligands during embryonic development. Our analysis revealed distinct, but overlapping patterns of ephrin-B gene expression. Interestingly, each ephrin-B ligand displayed expression domains either adjacent to or within EphB4-expressing tissues. These findings indicate that EphB4 receptors may interact in vivo with multiple B-class ephrins. The expression patterns also suggest that EphB4 receptors and their ligands may be involved in visceral arch formation, somitogenesis, and blood vessel development.
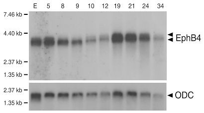
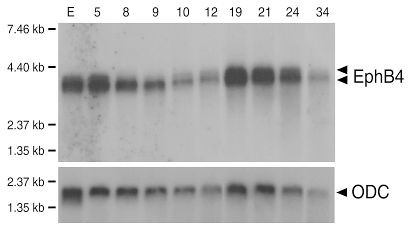
Figure 3. Developmental expression of EphB4 during Xenopus embryogenesis. Northern blot of polyadenylated RNA isolated from unfertilized eggs (E) and various embryonic stages (st. 54) was hybridized with a cDNA probe encoding the extracellular and transmembrane domains of EphB4a. Two EphB4 transcripts are indicated. In the lower panel, the same blot was re-probed with ornithine decarboxylase (ODC) to control for equal RNA loading. The positions of RNA molecular weight markers are shown to the left of the blots.
Figure 4. Spatial patterns of EphB4 gene expression during early Xenopus development. Whole-mount in situ hybridizations were performed to detect the distribution of EphB4 transcripts at different stages of embryonic development. Sections of stage 34 embryos (F) stained in whole mount were cut at 50 μm. Lateral views are shown in (A-E) with anterior to the left. Sections are oriented with anterior (F) and dorsal (G, H) to the top. (A) Expression of EphB4 transcripts at stage 23 was found in the developing head and at the posterior end (white arrowhead) of the embryo. (B) At stage 29, expression was detected in region of the developing forebrain (fb), at the midbrain-hindbrain boundary (arrowhead), around the otic vesicle (ov), and in the developing tailbud (white arrowhead). Expression was also detected in the developing pronephric sinus (ps) and posterior cardinal vein (pcv). Widespread faint staining was found throughout the head region. (C) Stage 34 embryo illustrating EphB4 expression in the developing vasculature. EphB4 expression was evident in the pronephric sinus (ps), the posterior cardinal vein (pcv), and in newly forming intersomitic veins (arrowhead). In addition, transcripts were found in the visceral arches (arrows). (D) Stage 39 embryo with EphB4 expression detected around the olfactory bulb (ob), the tip of the tail (white arrowhead), the dorsal caudal vein (dcv), and the developing external gills (arrows). (E) Expression of EphB4 detected in the trunk vasculature of a stage 41 embryo. The vascular vitelline network (vvn), the vitelline vein (vv), the dorsal caudal vein (dcv), and the pronephric sinus (ps) are indicated. (F) Horizontal section through the visceral arches. EphB4 expression is confined to subectodermal cell layers, and absent from the visceral arch mesenchyme (vm) and the pharyngeal endoderm (pe). (G) Transverse section through the head. Expression of EphB4 is detected in the inner layer of the ectoderm (arrows). No EphB4 transcripts could be detected in the developing heart (h) and otic vesicles (ov). (H) Transverse section through the embryonic trunk at the level of the pronephric kidney. EphB4 transcripts (arrow) were found in the vicinity of pronephric tubules (pt). The staining (arrowheads) seen in the somites (s) is associated with intersomitic veins.
Figure 6. Comparison of the spatial expression patterns of ephrin-B genes in tailbud and tadpole stage Xenopus embryos. Whole-mount in situ hybridizations were performed to detect expression of ephrin-B1 (A, D, H, L), ephrin-B2 (B, E, I, M), ephrin-B3 (C, F, J, N, O), and EphB4 (G, K). Embryos at stages 26 (A) and 36 (D) and heads of stage 31 embryos (G) are shown as lateral views. Dorsal views of stage 26 embryos are shown in (K). The section shown in (O) was cut at 50 μm. (A, D) Ephrin-B1 transcripts were initially detected in the developing olfactory bulb (ob) and the somites (s). Faint staining was observed throughout the brain. Later, ephrin-B1 expression was also found in the visceral arches (arrowhead), and the otic vesicle (ov). (B, E) Ephrin-B2 was initially expressed in the eye vesicle (e), the hindbrain (hb), the second visceral arch (v2), and the newly forming somites of the tail (white arrowhead). In older embryos, transcripts could also be seen in the somites (s) of the trunk and the visceral arches (arrowhead). (C, F) Ephrin-B3 was expressed in the optic stalk (os), the midbrain (mb), and in rhombomeres of the hindbrain (hb). At later stages, transcripts were also detected in the visceral arches (arrowhead). (G) Comparison of EphB4 and ephrin-B gene expression in the heads of stage 31 embryos. Gene expression in the region of the developing olfactory bulb (ob), the hindbrain (hb), the lens (l), the optic stalk (os) and the visceral arches (arrowheads) is indicated. (K) Comparison of EphB4 and ephrin-B gene expression in the mid- and hindbrain regions of stage 26 embryos. (K) EphB4 is found in the midbrain (mb), around the otic vesicle (ov), and the olfactory bulbs (ob). Faint staining could also be seen in rhombomeresr4 and r6. (L) Ephrin-B1 transcripts could only be detected in the olfactory bulbs (ob). (M) High levels of ephrin-B2 expression were found in the developing eye vesicles (e) and at lower levels in the midbrain (mb) and rhombomeresr1/r2, r4 and r6. (N) Ephrin-B3 transcripts were detected in the midbrain (mb), and in the hindbrain (r1/r2, r4, and r6). (O) Transverse section cut at the level of the pronephros (pn) of a stage 32embryo. Ephrin-B3 expression was confined to the neural tube (nt).