|
Figure 2. Sox9 and Sox10 Rescue Neural Crest Development in Sox10-Depleted EmbryosEmbryos injected with Sox10 morpholinos (MO) show reduced or absent expression of early neural crest markers such as Sox10 (A and B) and reduced otic vesicles and cranial neural crest (G and H). These defects could be rescued equally well by Sox9 or Sox10 (CâF and IâL). Sox9 retains its ability to induce ectopic melanocytes in Sox10-depleted embryos (J, black arrows). Light red stain is the lineage tracer β-gal. |
|
Figure 3. Sox9 and Sox10 Induce Enlarged and Ectopic Ear Structures(AâF) In situ hybridization showing Sox10 expression in the ears of stage 28 embryos injected with Sox9 (A and C) or Sox10 (B, D, and F). Expression of either of these factors consistently leads to the formation of enlarged ears (A and B, white arrows) and/or to the formation of one or more ectopic ears (C, D, and F, black arrowheads).(G and H) Increased expression of Pax8, which marks the otic placode (white arrowhead) in Sox9- (G) or Sox10- (H) injected embryos at stage 13. Light blue or red stain is the lineage tracer β-gal. |
|
Figure 6. Regulation of Sox9 Activity by SUMOylation(A) Schematic showing expressed Sox9 isoforms.(B) In situ hybridization showing neural crest expression of Sox10 in Sox9- (i), Sox9K61,365R- (ii), and Sox9K61,365R/SUMO-1- (iii) injected embryos.(C) In situ hybridization showing ectopic Sox10-expressing melanoblasts (black arrows) in stage 28 embryos injected with wild-type Sox9 or Sox9K61,365R. Sox9K61,365R/SUMO-1-injected embryos never develop ectopic melanoblasts (note absence of these cells in region of red arrows) but do show increased Sox10 expression in cranial regions (white arrowheads; compare injected and control sides of same embryos).(D) Close ups of the heads of the swimming tadpoles injected with wild-type Sox9, Sox9K61,365R, or Sox9K61,365R/SUMO-1. Both wild-type Sox9 and Sox9K61,365R mediate formation of supernumerary differentiated melanocytes on the injected sides of the embryos (red arrowheads), while Sox9K61,365R/SUMO-1 is unable to do so.(E) Sox9K61,365R can rescue early (ii) and late (iv) aspects of neural crest formation in Sox10MO-injected embryos (white arrowheads), and retains its ability to induce ectopic melanocytes (iv, black arrows).(F) Pax8 expression in the otic placode of stage 13 embryos previously injected with Sox9K61,365R or Sox9K61,365R/SUMO-1.(G) Dlx3 expression, which marks the otocyst, in stage 28 embryos previously injected with Sox9K61,365R or Sox9K61,365R/SUMO-1.(H) Table summarizing the effects of Sox9K61,365R and Sox9K61,365R/SUMO-1 in these assays. In panels showing in situ hybridization, light red or blue stain is the lineage tracer β-gal. |
|
Figure 1Effects of Sox9 and Sox10 on Neural Crest Development
(A–F) In situ hybridization examining the expression of neural crest markers Sox9 (A, B, E, and F) and Slug (C and D) in Sox9- (A, C, and E) or Sox10- (B, D, and F) injected embryos. Injection of either Sox9 or Sox10 frequently leads to an increase in neural crest precursor formation (A–D, white arrowhead) but could also result in loss of neural crest precursor formation (E and F, white arrowhead).
(G and H) Both Sox9 and Sox10 induce the formation of supernumerary and ectopic melanocytes (black arrows).
(I–P) An increase in FoxD3-expressing glia (I versus J; M versus N) and a decrease in N-tubulin-expressing neurons in the cranial ganglia (K versus L; O versus P) are found in Sox9- (I–L) and Sox10- (M–P) injected embryos. Light blue or red stain is the lineage tracer β-gal. |
|
Figure 4Sox9 and Sox10 Are SUMOylated
(A) Growth of serially diluted cultures on selective media showing that both Sox9 and Sox10 (activation domain deleted) interact with UBC9 and SUMO-1 in a yeast two-hybrid assay. Mutation of the SUMOylation sites prevents interaction.
(B) Schematic of SoxE protein domains.
(C) Western blot of lysates prepared from embryos injected as noted showing modification of Sox9 or Sox10 with SUMO-1. Arrows mark reduced mobility forms resulting from conjugation to one or more SUMO moieties.
(D) Lysates from embryos injected with Sox9 or Sox10 alone, or together with SUMO-1, were immunoprecipitated (IP) with antibodies against the epitope tag in SUMO-1 (flag) and then immunoblotted (IB) using antibodies against the epitope tag on the SoxE factors (myc), confirming that more slowly migrating SoxE species are SUMOylated. Direct immunoblotting of the crude lysate with either myc or flag antibodies served as input control (bottom panels). |
|
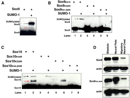
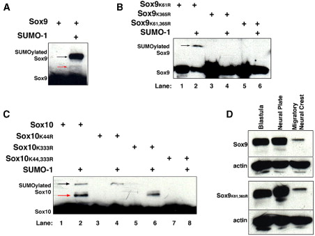
Figure 5Identification of SoxE SUMOylation Sites
(A) Western blot of lysates prepared from stage 11 embryos expressing wild-type or lysine mutant Sox9 proteins. One major and one minor SUMO-modified form of Sox9 are noted at this stage (black and red arrows).
(B) Mutation of the reactive lysine in the C-terminal SUMOylation site eliminates the major modified species.
(C) Western blot of lysates prepared from embryos expressing wild-type or lysine mutant Sox10 proteins. Two SUMO-modified forms of Sox10 of different mobilities are noted (black and red arrows). Each single lysine mutation eliminates only a single one of these species.
(D) Western blot showing that mutation of SUMOylation sites does not affect Sox9 protein accumulation. |
|
Figure S1. Expression of Sox9 and Sox10 in Xenopus
A) At neural plate stages, Sox9 is expressed throughout the prospective neural crest as
well as the otic placode (arrow) while Sox10 is restricted to the neural crest precursors.
B) Later, Sox9 and Sox10 are both expressed throughout the otocyst (black arrow) and in
migratory neural crest. C) By stage 28, expression of Sox9 and Sox10 in differentiating
neural crest cells is non-overlapping in neural crest derivatives. Sox10 is maintained in
cranial glia (red arrow) and melanoblasts. Sox9 expression is maintained in cranial
cartilage (yellow arrow). |
|
Figure S2. Regulation of Sox10 Activity by SUMOylation
Top: In situ hybridization showing Sox10 expression in Sox10 (i), Sox10K44,333R (ii), and Sox10K44,333R/SUMO-1 (iii) injected embryos. Effects are identical to those with analogous Sox9 mutants. Bottom: In situ hybridization showing ectopic Sox10- expressing melanoblasts (black arrows) in stage 28 embryos injected with wildtype Sox10, Sox10K44,333R. Sox10K44,333R /SUMO-injected embryos never develop ectopic melanoblasts (note absence of these cells in region of red arrows) but do show increased Sox10 expression in cranial regions (white arrowheads, compare injected and control sides of same embryos). Red stain (including three cells visible in flank of embryo in bottom right panel) is the lineage tracer beta-gal. |
|
Figure S3. Sox9K61,365R/SUMO-1 Has Significant Positive Effects in Embryos
Close ups of cranial regions of embryos injected with Sox9K61,365R
or Sox9K61,365R/SUMO-1 and processed for in situ hybridization for Sox10 at stage 28.
Positive effects of Sox9K61,365R/SUMO-1 include enlarged ears on the injected side (middle panels, red arrowhead) versus control side (black arrowhead), as well as increased glial staining (bottom panels). Red stain is the lineage tracer beta-gal. |