Click here to close
Hello! We notice that you are using Internet Explorer, which is not supported by Xenbase and may cause the site to display incorrectly.
We suggest using a current version of Chrome,
FireFox, or Safari.
???displayArticle.abstract???
The activity of bone morphogenetic protein (BMP) heterodimers has been shown to be more potent than that of homodimers in a number of contexts, including mesoderm induction. Although BMP-2/7 and -4/7 heterodimers are potent inducers of ventralmesoderm in ectodermal explants, we show that they are not a necessary component of the primary mesoderm-inducing signal in intact Xenopus embryos. The secreted BMP antagonists noggin and gremlin both efficiently block mesoderm induction by BMP homo- and heterodimers in animal caps. When these antagonists are ectopically expressed in the ventral marginal zone of early embryos the initial formation of mesoderm as indicated by panmesodermal markers remains unaffected. Only the subsequent dorsal/ventral patterning of this mesoderm appears to be altered, with expression of a number of organizer-specific transcripts observed in the marginal zone where BMP signaling has been abolished. Thus, we conclude that BMPs do not contribute an essential signal to mesodermal induction or patterning until gastrulation. The activities of noggin and gremlin are strikingly different from that of the multifunctional antagonist cerberus, which completely abolishes mesoderm induction when misexpressed during early development.
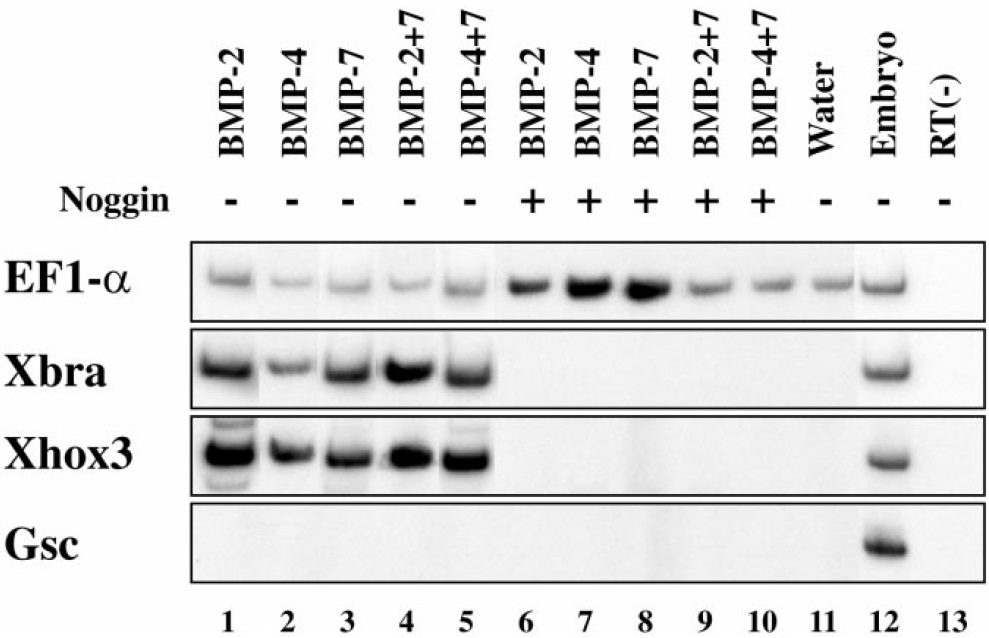
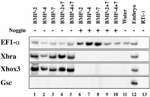
FIG. 1. Noggin blocks the mesoderm-inducing activity of BMP- homo and heterodimers in animal caps. 500 pg of BMP-2, -4, or -7 mRNA
was injected into the animal poles of single cell embryos (lanes 1–3 and 6–8). To generate BMP-2/7 and -4/7 heterodimers, embryos were
coinjected with 250 pg of mRNA for each BMP for a total of 500 pg (lanes 4 and 5 and 9 and 10). Where indicated, embryos were also injected
with 100 pg of noggin mRNA. In all cases, animal caps were isolated at stage 8 and RNA was harvested at stage 11. RT-PCR analysis shows
that ectopic expression of BMPs either alone or in combination induces Xbra. In all cases, this induction is completely blocked by
coinjection of as little as 100 pg of noggin mRNA. EF1-a was used as a control for loading.
FIG. 2. Cerberus and gremlin also block BMP-mediated mesoderm
induction in animal caps. Embryos were coinjected with 250
pg of BMP-4 mRNA and 250 pg of BMP-7 mRNA as indicated. In
addition, embryos were also injected with 100 or 500 pg of light
chain mRNA (lanes 1 and 2), 100 or 500 pg of cerberus mRNA
(lanes 3 and 4), or 100 or 500 pg of gremlin mRNA (lanes 5 and 6).
All injections were into the animal pole of single-cell embryos.
Animal caps were isolated at stage 8 and RNA was harvested at
stage 11. RT-PCR analysis indicates that the induction of Xbra by
BMP-4/7 is blocked in a dose dependent manner by both cerberus
and gremlin, but not by immunoglobulin light chain.
FIG. 3. Effects of BMP antagonists on expression of the panmesodermal markers Xbra, VegT, and Eomesodermin and the ventral marker
Xvent-2 in stage 10.5 Xenopus embryos. Whole mount in situ hybridization analysis was carried out on embryos injected ventrally with
200 pg of noggin mRNA or 500 pg of gremlin, cerberus, or immunoglobulin light chain mRNA. All embryos were coinjected with a
b-galactosidase lineage tracer and a subset of these were stained with red-gal to mark the site of injection and confirm targeting of mRNA
to the ventral marginal zone. Ectopic expression of noggin (A, E, and I) and gremlin (B, F, and J) in the ventral marginal zone does not inhibit
normal expression of the panmesodermal markers Xbra, Eomesodermin, and VegT. In contrast, cerberus—which blocks signaling by
nodal-related molecules in addition to BMPs—completely abolishes expression of all three transcripts at the site of injection (C, G, and K).
Note that embryos in M–P are shown at higher magnification to clearly illustrate the overlapping domains of VegT expression and the
red-gal activity stain at the site of noggin and gremlin injections. All three antagonists are active as shown by their inhibition of Xvent-2
(M–O), a marker of ventral and lateral mesoderm that requires BMP signaling for transcription. RNA-encoding immunoglobulin light chain,
a neutral secreted protein, has no effect on the expression pattern of any marker (D, H, L, and P).
FIG. 4. Gsc is weakly induced by blocking BMP signaling in the
mesoderm. In situ hybridization analysis of gsc expression in
embryos injected ventrally with 10 pg of Xwnt-8 mRNA, 200 pg of
noggin mRNA, or 500 pg of gremlin, cerberus, or immunoglobulin
light chain mRNA. A subset of the injected embryos was lineage
traced with b-galactosidase to demonstrate that ectopic gsc expression
coincides with the site of injection. Noggin (A) and gremlin (B)
both induce low levels of ventral gsc transcription in stage 10.5
embryos as indicated by arrowheads. Note that ectopic gsc expression
is limited to the marginal zone, suggesting that it cannot be
induced in nonmesodermal tissues. Cerberus, which blocks mesoderm
formation, also fails to induce ectopic gsc expression (C).
Xwnt-8 is a potent mesoderm dorsalizer and strongly induces
ventral gsc expression (D). Light chain mRNA has no effect on gsc
(E). No ventral gsc transcripts are detected in stage 9 embryos
injected with 200 pg noggin, indicating that ectopic gsc expression
begins subsequent to endogenous expression in the organizer (F).
Note that stage 9 embryos have been stained for an extended period
of time relative to the other embryos shown to ensure that no
ectopic gsc induction is detectable by in situ hybridization.
FIG. 5. Inhibition of BMP signaling by noggin induces many
organizer-specific transcripts and inhibits markers of ventral mesoderm
in VMZ assays. Embryos were injected ventrally with 500
pg of noggin mRNA or 100 pg of Xwnt-8 mRNA. VMZs were cut at
stages 10.25–10.5 and RNA was harvested at stage 12. RT-PCR
analysis shows that noggin, gremlin, and Xwnt-8 can induce
expression of gsc, chordin, and cerberus—transcripts which are
specific to Spemann’s organizer during gastrulation. In addition,
they all substantially reduce transcription of the ventral mesoderm
marker Xhox-3. Only Xwnt-8 was observed to induce the homeobox
gene siamois.