Click here to close
Hello! We notice that you are using Internet Explorer, which is not supported by Xenbase and may cause the site to display incorrectly.
We suggest using a current version of Chrome,
FireFox, or Safari.
A Xenopus protein related to hnRNP I has a role in cytoplasmic RNA localization.
Cote CA, Gautreau D, Denegre JM, Kress TL, Terry NA, Mowry KL.
???displayArticle.abstract???
Cytoplasmic localization of mRNA molecules is a powerful mechanism for generating cell polarity. In vertebrates, one paradigm is localization of Vg1 RNA within the Xenopus oocyte, a process directed by recognition of a localization element within the Vg1 3' UTR. We show that specific base changes within the localization element abolish both localization in vivo and binding in vitro by a single protein, VgRBP60. VgRBP60 is homologous to a human hnRNP protein, hnRNP I, and combined immunolocalization and in situ hybridization demonstrate striking colocalization of hnRNP I and Vg1 RNA within the vegetal cytoplasm of the Xenopus oocyte. These results implicate a novel role in cytoplasmic RNA transport for this family of nuclear RNA-binding proteins.
Figure 1.
Site-Directed Mutagenesis of VM1
(A) A schematic of the vg2Ã1â85 transcript is shown, with RNA footprint site D shaded. The positions of the VM1 motifs are indicated below.
(B) For analysis of in vivo localization, oocytes were injected with βG/vg2Ã1â85 (wt, left), βG/vg2Ã1â85/MTvm1 (MT, middle), or β-globin (βG, right) RNA transcripts, and analyzed by whole-mount in situ hybridization. The vegetal poles are toward the bottom, and the scale bars represent 200 μm. At the far right are the results of RNase protection analyses for recovery of wild-type (wt, top), VM1 mutant (MT, middle), and β-globin (βG, bottom) RNA transcripts either upon injection (lanes 1) or at harvest (lanes 2).
(C) Protein binding was tested in vitro by UV cross-linking to 32P-labeled vg2Ã1â85 RNA transcripts containing either wild-type (wt, lanes 1 and 3) or mutant (MT, lanes 2 and 4) VM1 sites. Binding reactions contained either oocyteS100 extract (lanes 1 and 2) or partially purified VgRBP60 (lanes 3 and 4). Cross-linked proteins were detected by autoradiography after SDS-PAGE. The positions of the VgRBPs and molecular weight markers are indicated; VgRBP60 is shown by an arrowhead.
(D) Direct binding to the VM1 motif was tested by UV cross-linking analysis performed with oocyteS100 extracts and 32P-labeled 3ÃVM1 RNA transcripts containing either wild-type (wt, lanes 1 and 2) or mutated (MT, lanes 3 and 4) VM1 sequences, and either nonspecific (ns, lanes 1 and 3) or sequence-specific (sp, lanes 2 and 4) competitor RNA. Cross-linked proteins were detected by autoradiography after SDS-PAGE. The positions of VgRBP60 (arrowhead) and molecular weight markers are indicated at the right.
Figure 2.
Purification of VgRBP60
(A) Fractions obtained after heparinâagarose chromatography were assayed for VgRBP60 binding activity by UV cross-linking to 32P-labeled vg2Ã1â85 RNA. The fraction numbers are indicated below; L, load, FT, flowthrough. Each VgRBP is labeled, and the positions of molecular weight standards are indicated at the right. (ns, nonspecific).
(B) The VgRBP60 pool (lane 1, fractions 30â34 from [A]) was fractionated by RNA affinity chromatography. VgRBP60 binding activity was assayed in the eluates from VM1 mutant (MT, lane 2) and wild-type (wt, lane 3) RNA affinity columns by UV cross-linking to vg2Ã1â85 RNA. The positions of the VgRBPs are noted on the left, and molecular weight standards are shown on the right. VgRBP60 is indicated by the arrowhead.
(C) The VgRBP60 pool from heparinâagarose chromatography (lane 1) and the eluates from either VM1 mutant (MT, lane 2) or wild-type (wt, lane 3) RNA affinity columns were resolved by SDS-PAGE and silver stained. The positions of VgRBP60 (arrowhead) and molecular weight markers are indicated at the right.
(D) Purified VgRBP60 (as in [B] and [C] above, lanes 3) was assayed by UV cross-linking for the ability to bind either wild-type (wt, lane 1) or VM1 mutant (MT, lane 2) 3ÃVM1 RNA transcripts. Cross-linked proteins were resolved by SDS-PAGE and detected by autoradiography. VgRBP60 is indicated by an arrowhead; the positions of molecular weight standards are shown at the right.
Figure 3.
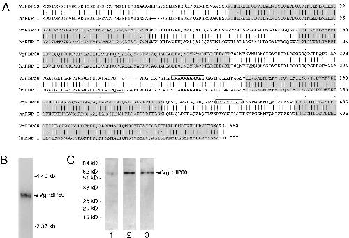
Identification of VgRBP60
(A) The predicted amino acid sequence of VgRBP60 is aligned with that of human hnRNP I (Ghetti et al. 1992). Identical and conserved amino acids are marked between the sequences by lines and dots, respectively. The four RRM domains are shaded, and the amino acid sequence that is present in the hnRNP I isoform and absent from the predominant PTB isoform is underlined. The positions of the sequenced peptides (peptide 1 at 127â133, peptide 2 at 335â345, and peptide 3 at 450â458) are indicated by boxes.
(B) Northern blot analysis reveals a transcript of â¼3.5 kb for VgRBP60 in Xenopus oocytes. The positions of VgRBP60 mRNA and RNA size markers are indicated at the right.
(C) VgRBP60 is recognized by anti-peptide antibodies directed against human PTB/hnRNP I (a gift of D. Black). Protein samples containing 25 μg of oocyteS100 extract (lane 1), 25 μg of protein obtained after heparinâagarose chromatography (lane 2), or 10 ng of purified VgRBP60 were analyzed by Western blot. VgRBP60 is indicated by an arrowhead, and the positions of molecular weight standards are shown at the left.
Figure 4.
Colocalization of VgRBP60 Protein and Vg1 RNA
(A and B) The distribution of VgRBP60 within stage III oocytes was determined by immunocytochemistry using anti-peptide antibody directed against PTB/hnRNP I (courtesy of D. Black). Optical confocal sections of a stage III oocyte are shown: (A) animal hemisphere view; (B) vegetal hemisphere view. The images are oriented with the vegetal hemisphere toward the bottom.
(C) Vg1 mRNA was detected in stage III oocytes, by in situ hybridization using a digoxigenin-labeled probe. Shown is a paraffin section, vegetal pole toward the bottom.
(DâF) Stage III oocytes were subjected to in situ hybridization with a fluorescently labeled Vg1 RNA probe, followed by immunocytochemistry with anti-peptide PTB/hnRNP I antibody. Shown is an optical confocal section through the vegetal cortex, viewed in the red channel (D) to detect VgRBP60/hnRNP I and in the green channel (E) to detect Vg1 RNA; the overlap is shown in yellow (F). All scale bars (AâF) represent 50 μm.