Click here to close
Hello! We notice that you are using Internet Explorer, which is not supported by Xenbase and may cause the site to display incorrectly.
We suggest using a current version of Chrome,
FireFox, or Safari.
???displayArticle.abstract??? Ovochymase, an extracellular Xenopus laevis egg serine active-site protease with chymotrypsin-like (Phe-X) substrate specificity, is released during egg activation. Molecular cloning results revealed that ovochymase is translated as part of an unusual polyprotein proenzyme. In addition to the ovochymase protease domain at the C terminus of the deduced amino acid sequence, two unrelated serine protease domains were present, each with apparent trypsin-like (Arg/Lys-X) substrate specificity, and thus, they were designated ovotryptase1 (at the N terminus) and ovotryptase2 (a mid domain). Also, a total of five CUB domains were interspersed between the protease domains. The presence of a hydrophobic signal sequence indicated that the polyprotein was secreted. Immunolocalization and Western blot studies of all three proteases showed that they are all present in the perivitelline space of unactivated eggs, apparently as proenzymes processed away from the original polyprotein. Western blot analysis also showed that the vast majority of the proteases in ovary, eggs, and embryos were present as the proenzyme forms, suggesting that the functions of these proteases depend on very limited levels of activation.
FIG. 1. (A) Deduced amino acid sequence of ovochymase cDNA.
The predicted signal sequence is marked with a dotted underline. The
protease domains are boxed, and the CUB domains are marked with
double underlines. Potential N-glycosylation sites are indicated by
closed squares, and open diamonds mark potential O-glycosylation
sites. The amino acid sequences used to generate antibodies are
underlined. (B) Schematic domain structure of the ovochymase
cDNA, showing the signal sequence (SS), the trypsin-like protease
domains ovotryptase1 and 2, the ovochymase protease domain, and
the five CUB domains. 100 AA, 100 amino acids.
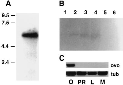
FIG. 2. (A) Northern blot analysis of ovochymase mRNA, showing
a single transcript at 5.3 kilobases. Positions of RNA size markers are
shown to the left. (B) A Northern blot showing relative levels of
ovochymase messages in total RNA preparations from oocytes of
different stages (IâVI). (C) Reverse transcriptionâPCR amplification
of ovochymase message (ovo) with 1 mg each of total RNA from tissue,
ovary (O), pars recta oviduct (PR), liver (L), and skeletal muscle (M).
Amplification of b-tubulin (tub) was performed as a control.
FIG. 3. Amino acid sequence alignment of the serine protease domains deduced from the Xenopus ovochymase proenzyme cDNA (ovotryptase1
and 2 and ovochymase) with Xenopus oviductal protease oviductin (GenBank accession no. U81291), Xenopus trypsin (P19799), human elastase
2a (P08217), and bovine chymotrypsin (P00767). Sequence alignment was performed with CLUSTAL-W (27). Conserved (consensus) amino acids
are capitalized and in bold when at least four of seven amino acids are identical. Serine active-site amino acids are marked with diamonds, and
the S1 substrate binding site is indicated by an arrowhead. The position of cleavage for protease activation is marked with an arrow.
FIG. 4. Multiple alignment of the CUB domains in the Xenopus ovochymase proenzyme (ovoCUBs) with those from Drosophila tolloid (P25723),
mouse BMP-1 (P98063), pig spermadhesin AQN-1 (P26322), Xenopus oviductin (U81291), and Xenopus hatching enzyme (D89632). Alignment
adjustments were made by hand as described by Bork and Beckmann (22). Consensus amino acids are capitalized and in bold when at least 5 of
10 match.
FIG. 5. Western blot analysis of concentrated egg exudate and
whole-egg lysates separated under reducing conditions. Positions of
molecular mass markers (in kilodaltons) are on the left. (A) A blot
probed with anti-ovochymase antibodies, with lanes representing
ovary lysate (ov), concentrated exudate of activated dejellied eggs (ex),
and lysates of intact fertilized eggs collected at the given times after
fertilization. (B) A blot of unactivated egg lysate probed with antiovotryptase1
antibodies; the asterisk marks an interference band
representing large amounts of egg yolk protein (28). (C) A blot of
unactivated egg lysate probed with anti-ovotryptase2 antibodies.
FIG. 6. Immunolocalization of protease protein in live eggs by
confocal microscopy. Fluorescence labeling of ovotryptase1 (A and B),
ovotryptase2 (C and D), and ovochymase (E and F) in unactivated
dejellied eggs (A, C, and E) and activated dejellied eggs (B, D, and F).
(AâF, bar 5 10 mm.) High-magnification phase-contrast image of
unactivated eggs (G) and the corresponding fluorescence image (H)
show ovochymase labeling. (G and H, bar 5 1 mm.)
Bork,
The CUB domain. A widespread module in developmentally regulated proteins.
1993, Pubmed
Bork,
The CUB domain. A widespread module in developmentally regulated proteins.
1993,
Pubmed Dumont,
Oogenesis in Xenopus laevis (Daudin). I. Stages of oocyte development in laboratory maintained animals.
1972,
Pubmed
,
Xenbase Evans,
Biochemical fractionation of oocytes.
1991,
Pubmed
,
Xenbase Frohman,
Rapid production of full-length cDNAs from rare transcripts: amplification using a single gene-specific oligonucleotide primer.
1988,
Pubmed Hansen,
O-GLYCBASE version 2.0: a revised database of O-glycosylated proteins.
1997,
Pubmed Hardy,
Oviductin. Purification and properties of the oviductal protease that processes the molecular weight 43,000 glycoprotein of the Xenopus laevis egg envelope.
1992,
Pubmed
,
Xenbase Hecht,
Extracellular proteases and embryonic pattern formation.
1992,
Pubmed Hedrick,
Isolation of extracellular matrix structures from Xenopus laevis oocytes, eggs, and embryos.
1991,
Pubmed
,
Xenbase Hosaka,
Arg-X-Lys/Arg-Arg motif as a signal for precursor cleavage catalyzed by furin within the constitutive secretory pathway.
1991,
Pubmed Katagiri,
Molecular cloning of Xenopus hatching enzyme and its specific expression in hatching gland cells.
1997,
Pubmed
,
Xenbase Konrad,
The gastrulation defective gene of Drosophila melanogaster is a member of the serine protease superfamily.
1998,
Pubmed Kozak,
Structural features in eukaryotic mRNAs that modulate the initiation of translation.
1991,
Pubmed Lindsay,
Proteases released from Xenopus laevis eggs at activation and their role in envelope conversion.
1989,
Pubmed
,
Xenbase Lindsay,
Oviductin, the Xenopus laevis oviductal protease that processes egg envelope glycoprotein gp43, increases sperm binding to envelopes, and is translated as part of an unusual mosaic protein composed of two protease and several CUB domains.
1999,
Pubmed
,
Xenbase Lindsay,
Isolation and characterization of ovochymase, a chymotrypsin-like protease released during Xenopus laevis egg activation.
1995,
Pubmed
,
Xenbase Lindsay,
Localization of a chymotrypsin-like protease to the perivitelline space of Xenopus laevis eggs.
1992,
Pubmed
,
Xenbase Misra,
Positive and negative regulation of Easter, a member of the serine protease family that controls dorsal-ventral patterning in the Drosophila embryo.
1998,
Pubmed Nakai,
A knowledge base for predicting protein localization sites in eukaryotic cells.
1992,
Pubmed O'Keefe,
In situ hyridization.
1991,
Pubmed
,
Xenbase Rawlings,
Families of serine peptidases.
1994,
Pubmed Sakanari,
Serine proteases from nematode and protozoan parasites: isolation of sequence homologs using generic molecular probes.
1989,
Pubmed Smith,
Oogenesis and oocyte isolation.
1991,
Pubmed
,
Xenbase Thompson,
CLUSTAL W: improving the sensitivity of progressive multiple sequence alignment through sequence weighting, position-specific gap penalties and weight matrix choice.
1994,
Pubmed Töpfer-Petersen,
Spermadhesins: a new protein family. Facts, hypotheses and perspectives.
1998,
Pubmed Towbin,
Electrophoretic transfer of proteins from polyacrylamide gels to nitrocellulose sheets: procedure and some applications.
1979,
Pubmed Urch,
The hatching enzyme from Xenopus laevis: limited proteolysis of the fertilization envelope.
1981,
Pubmed
,
Xenbase