|
FIG. 1. E. coqui lacks a lateral line system. (A, B) Cranial nerves of E. coqui at stage TS 7 (A) and of X. laevis at stage NF 40 (B) as revealed
by whole-mount immunohistochemistry using an antibody against acetylated tubulin (see Schlosser and Roth, 1997a). Lateral line nerves
(black labels) are present in X. laevis (B), but are completely absent from E. coqui (A). Likewise, no neuromasts have differentiated in the
skin (neutral red stained) of E. coqui at later developmental stages (here stage TS 11) (C), while neuromasts (arrows) can be clearly
recognized as cell rosettes (for detail see Fig. 8E) in skin preparations (neutral red stained) of axolotl larvae (D). Melanocytes appear as dark
cells in (C) and (D). Abbreviations: bu, buccal ramus of anterodorsal lateral line nerve; d, dorsal ramus of posterior lateral line nerve; e, eye
region; IX, glossopharyngeal nerve; m, middle ramus of posterior lateral line nerve; M, middle lateral line nerve; mdV, mandibular ramus
of the trigeminal nerve; mxV, maxillary ramus of the trigeminal nerve (out of focal plane in B); os, superficial ophthalmic ramus of
anterodorsal lateral line nerve; ov, otic vesicle; v, ventral ramus of posterior lateral line nerve; VII, hyomandibular trunk of facial nerve; VIII,
vestibulocochlear nerve (out of focal plane in B); S, spinal nerve (out of focal plane in B); X1, first branchial trunk of vagal nerve; X3, third
branchial trunk of vagal nerve (second branchial trunk of vagal nerve is out of focal plane); XII, hypoglossal nerve. Asterisks in (A) indicate
somatosensory side branches of the cranial nerves. Bar, 200 mm (A, B) and 100 mm (C, D). |
|
FIG. 2. Alignment of nucleotide sequences for EcNeuroD and XlNeuroD. Degenerate PCR primers were complementary to the Xenopus
sequences printed in bold type. Dots represent conserved nucleotides. Dashes indicate gaps. |
|
FIG. 3. NeuroD expression in cranial ganglia and placodes of (A)
X. laevis (stage NF 30) and (B) E. coqui (stage TS 4). NeuroD is
expressed in the epibranchial placodes (dorsoventral extension
indicated by yellow arrows) and ganglia (yellow asterisks) of the
facial (VII), glossopharyngeal (IX), and three trunks (X1, X2/X3) of
the vagal nerve in both species. Similarly, the profundal (GPr) and
trigeminal ganglia (GV) of both species express NeuroD, but this
can only clearly be seen in whole mounts of E. coqui, because in X.
laevis these ganglia lie hidden medial to the facial ganglion and the
eye (e), which expresses NeuroD in X. laevis but not yet in E. coqui
at the stage shown. Additional NeuroD expression domains are in
the otic vesicle (ov; out of focal plane in A) and in the placodes and
ganglia of the lateral line nerves in X. laevis. The dorsoventral
extension of the anterodorsal (AD), middle (M), and posterior (P)
lateral line placodes and their underlying ganglia was determined
in serial sections and is indicated with red arrows in (A); corresponding
expression domains are lacking in E. coqui (red arrows in
B). There are two additional lateral line placodes in X. laevis not
shown in (A): the anteroventral (closely fused to the facial epibranchial
placode) and the supratemporal (developing at later
stages) lateral line placode. LB, limb bud. Bar in A, 200 mm (for A
and B). |
|
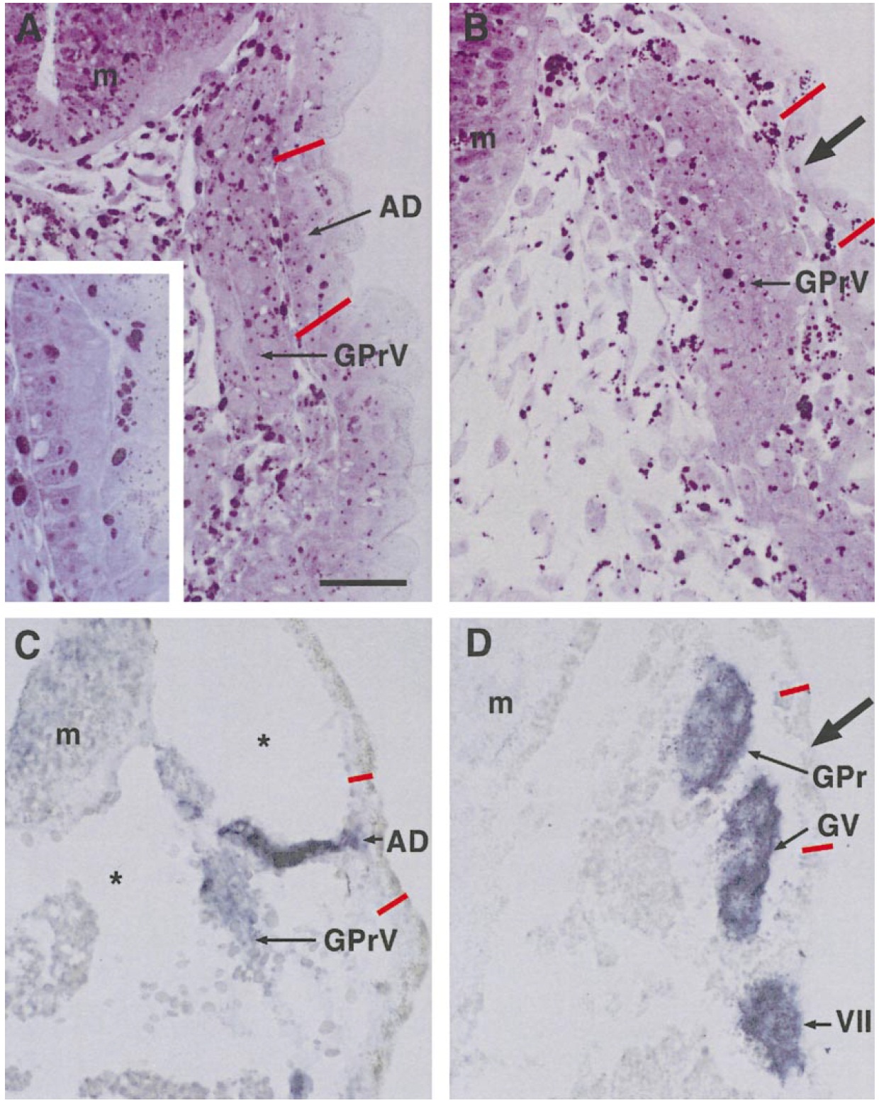
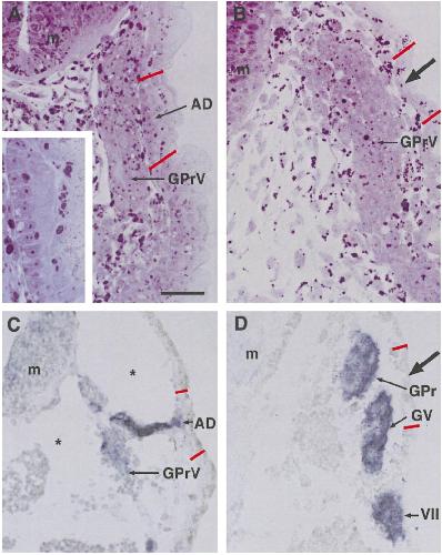
FIG. 4. Preotic placodes and ganglia in X. laevis (left) and E. coqui (right). Transverse sections through the profundal (GPr) and trigeminal
ganglia (GV) (which are fused proximally: GPrV) and the anterodorsal lateral line placode (AD) in stage NF 35/36 X. laevis (A, C) and
stage TS 5- E. coqui (B, D) embryos as revealed in plastic sections (A, B) or by in situ hybridization with NeuroD (C, D). The anterodorsal
lateral line placode (between red lines) of X. laevis can be identified by a thickening of the inner ectodermal layer adjacent to the fused
profundal and trigeminal ganglia (A; inset shows detail of placode as it appears in an adjacent section), as well as by its expression of NeuroD
(C). NeuroD expression is confined to a subset of cells in the neurogenic part of the placode. Corresponding epidermal areas (between red
lines) in E. coqui are never thickened (B, arrow) and do never express NeuroD (D, arrow). This was verified by carefully screening complete
series of sections through the entire head. Asterisks indicate artifactual tissue disruptions in paraffin sections. m, medulla, VII, facial
epibranchial placode. Bar in A, 50 mm (for A–D). |
|
FIG. 5. Postotic placodes and ganglia in X. laevis (left) and E. coqui (right). Transverse sections through otic vesicle (ov), middle lateral
line placode (M), glossopharyngeal ganglion (GIX), and first vagal epibranchial placode (X1) in stage NF 34 X. laevis (A, C) and stage TS 4
E. coqui (B, D) embryos as revealed in plastic sections (A, B) or by in situ hybridization with NeuroD (C, D). Although there are some
differences in the spacing of placodes and ganglia between the two species (see Fig. 3), the relative positions of these structures are similar.
The middle lateral line placode of X. laevis (between red lines) can be identified by a thickening of the inner ectodermal layer adjacent to
the glossopharyngeal ganglion and the otic vesicle (A), as well as by its expression of NeuroD (C). NeuroD expression is confined to a subset
of cells in the neurogenic part of the placode. Again, corresponding epidermal areas (between red lines) in E. coqui are never thickened (B,
arrow) and do never express NeuroD (D, arrow). This was verified by carefully screening complete series of sections through the entire head.
Asterisk indicates artifactual tissue disruptions in paraffin sections. pp, pharyngeal pouches. Bar in A, 50 mm (A–D). |
|
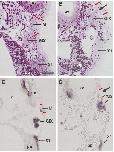
FIG. 6. Placodes and ganglia in E. coqui (stage TS 5-) shown in transverse plastic sections (upper row) and by in situ hybridization with
NeuroD (lower row). (A, F) Profundal ganglion (GPr) and trigeminal placode (V) just dorsal to the eye (e). (B, G) Facial epibranchial placode
(VII). (C, H) Glossopharyngeal epibranchial placode (IX). Also indicated are the otic vesicle (ov) and the acoustic ganglion (GVIII). Single
NeuroD-expressing cells (probably representing migrating neural crest cells) can be observed close to the epidermis (arrowhead in H) in a
few individuals. (D, I) First vagal epibranchial placode (X1) and second hypobranchial placode (arrowheads). Also indicated is the
glossopharyngeal ganglion (GIX). (E, J) Second vagal epibranchial placode (X2) and ganglion (GX) of the vagal nerve. Asterisks, neural tube.
Bar in A, 100 mm (A–J). |
|
FIG. 7. Heterospecific transplantation of ectoderm between embryos of axolotl (A. mexicanum) and E. coqui. (A) Diagram illustrating the
approximate size and location of ectoderm excised from the belly of pigmented axolotl donors (neural fold stages) and transplanted in place
of the lateral neural folds and laterally adjacent ectoderm of unpigmented E. coqui hosts (neural plate or neural fold stages). (B) E. coqui
embryo (stage TS 6), 3 days after receiving axolotl belly ectoderm. Graft (dark) is located posterodorsal to eye. (C) Axolotl larva (stage 39),
7 days after receiving cranial E. coqui ectoderm. The graft (white with some melanocytes) is located posterodorsal to eye. Drawings in (A)
modified after Bordzilovskaya et al. (1989) and Fang and Elinson (1996). Bar in B, 200 mm (B, C). |
|
neuromasts (arrows) have differentiated in the graft. (E) Neuromasts (arrows) in a skin mount of a axolotl larva (stage 42) for comparison.
(F–I) Transverse sections through orbital region of (F, G) experimental E. coqui embryo (fixed at stage TS 101) and (H, I) control axolotl
embryos (stage 42). (F) Neuromasts have differentiated in the graft (dorsal border of graft indicated by arrow) just dorsal to the eye (e). Framed
area is shown in detail in (G). Hair cells (H) with kinocilium (arrow), support cells (S) and mantle cells (M) of the neuromast are indicated.
(H) Neuromasts of the supraorbital line are located just dorsal to the eye (e) in an axolotl larva (stage 42). (I) The framed area in detail. Hair
FIG. 8. E. coqui induces lateral line placodes in grafted axolotl belly ectoderm. (A, B) Transverse sections through postorbital region of E.
coqui embryos fixed at early (A, TS 51) and late (B, TS 101) stages. (A) A lateral line placode (LL, between arrowheads) is induced in the
graft (stained dark red) adjacent to the root of the trigeminal nerve (V) of the host. A cell migrating off the placode is indicated (arrow). (B)
Neuromasts (NM) as well as ganglia (G) have differentiated in the graft. The latter very likely represent lateral line ganglia, because no
graft-derived neural crest cells are observed in this embryo. (C) Skin mount of E. coqui embryo fixed at stage TS 11 (anterior is to the left).
The area of the graft posterodorsal of the eye region (e) is indicated by arrows and the framed region is shown in detail in (D): typical axolotl (H), support (S), and mantle (M) cells of this neuromast are at a slightly earlier stage of differentiation than those in (G). Bars, 50 mm (A, B),
250 mm (C), 25 mm (D, E, H, I), and 100 mm (F, G). |
|
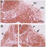
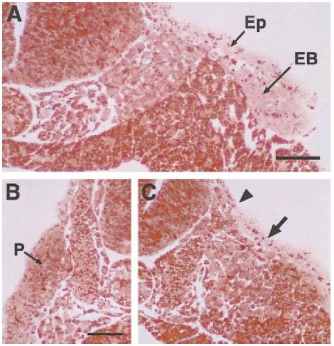
FIG. 9. E. coqui cranial ectoderm does not form lateral line
placodes in axolotl hosts. (A–C) Transverse sections through axolotl
embryo (fixed stage 34) which received an E. coqui graft. (A)
The E. coqui ectoderm has differentiated into epidermis (Ep).
Graft-derived epibranchial placodes (EB) are induced adjacent to
pharyngeal pouches. (B) A posterior lateral line placode (P) is
present on the control side of the embryo. (C) No lateral line
placode has formed at corresponding areas (arrow) in the graft
(dorsal border of graft indicated by arrowhead). Bar in A, 100 mm
(A, B, C). |