Click here to close
Hello! We notice that you are using Internet Explorer, which is not supported by Xenbase and may cause the site to display incorrectly.
We suggest using a current version of Chrome,
FireFox, or Safari.
???displayArticle.abstract???
In mammalian cells the Cdc25 family of dual-specificity phosphatases has three distinct isoforms, termed A, B, and C, which are thought to play discrete roles in cell-cycle control. In this paper we report the cloning of Xenopus Cdc25A and demonstrate its developmental regulation and key role in embryonic cell-cycle control. Northern and Western blot analyses show that Cdc25A is absent in oocytes, and synthesis begins within 30 min after fertilization. The protein product is localized in the nucleus in interphase and accumulates continuously until the midblastula transition (MBT), after which it is degraded. Upon injection into newly fertilized eggs, wild-type Cdc25A shortened the cell cycle and accelerated the timing of cleavage, whereas embryos injected with phosphatase-dead Cdc25A displayed a dose-dependent increase in the length of the cell cycle and a slower rate of cleavage. In contrast, injection of the phosphatase-dead Cdc25C isoform had no effect. Western blotting with an antibody specific for phosphorylated tyr15 in Cdc2/Cdk2 revealed a cycle of phosphorylation/dephosphorylation in each cell cycle in control embryos, and in embryos injected with phosphatase-dead Cdc25A there was a twofold increase in the level of p-tyr in Cdc2/Cdk2. Consistent with this, the levels of cyclin B/Cdc2 and cyclin E/Cdk2 histone H1 kinase activity were both reduced by approximately 50% after phosphatase-dead Cdc25A injection. The phosphatase-dead Cdc25A could be recovered in a complex with both Cdks, suggesting that it acts in a dominant-negative fashion. These results indicate that periodic phosphorylation of Cdc2/Cdk2 on tyr15 occurs in each pre-MBT cell cycle, and dephosphorylation of Cdc2/Cdk2 by Cdc25A controls at least in part the length of the cell cycle and the timing of cleavage in pre-MBT embryos. The disappearance of Cdc25A after the MBT may underlie in part the lengthening of the cell cycle at that time.
FIG. 1. Comparison of human and Xenopus Cdc25A. The predicted amino acid sequence of the Xenopus Cdc25A (525 residues) cloned as
described under Materials and Methods is aligned with that of the human homolog (Galaktionov and Beach, 1991). Identical residues are
boxed in black and the putative nuclear localization signals are boxed. Arrows designate the regions used to design degenerate PCR primers.
The nucleotide and amino acid sequences have been deposited in GenBank under Accession Number AF090829.
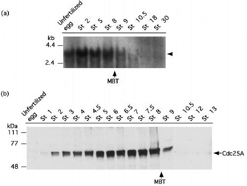
FIG. 2. Maternal expression of Xenopus Cdc25A. (a) Northern blot analysis. Total RNA (20 mg) was prepared from unfertilized eggs and
staged embryos and probed for Cdc25A using the Prime-a-Gene labeling system (Promega) according to the manufacturer’s protocol. The
arrowhead marks the position of Cdc25A predicted from the coding sequence and the long 39 UTR. The position of RNA markers is
indicated on the left. (b) Western blot analysis. Eggs or staged embryos were homogenized in 10 vol of EB (Hartley et al., 1996) and
centrifuged for 5 min in a microcentrifuge. Extract equivalent to one egg or embryo was resolved on gels, transferred to nitrocellulose, and
blocked in 10% blotto containing 0.1% Tween 20 for 2 h at room temperature. The blot was incubated with anti-Cdc25A antibody
overnight at 4°C, washed, incubated with horseradish peroxidase-conjugated donkey anti-rabbit secondary antibody (Jackson Immunochemicals)
at 1:15,000 for 1 h at room temperature, and visualized by ECL (Amersham). The position of molecular weight markers is
indicated on the left. Similar results were obtained in five independent experiments.
FIG. 3. Delayed development following expression of catalytically
inactive Cdc25A. Newly fertilized eggs were injected with the
catalytically inactive (phosphatase-dead) GST-Cdc25A protein or
with buffer, and stages of development were monitored by a
dissecting microscope as a function of time. The pooled data from
three independent experiments are shown at two times after
fertilization. On the ordinate developmental stages are taken from
Nieuwkoop and Faber (1975). Error bars denote SEM (n 5 3).
Similar results were observed in several other experiments in
which development was monitored at different times than those
shown here.
FIG. 4. Analysis of Cdc25A in early embryos. (a) Nuclear localization of Cdc25A. Stage 7â8 embryos were collected, processed, and stained
for both Cdc25A and a-tubulin as described (Gard et al., 1990). The distribution of Cdc25A protein is visualized with affinity-purified
Cdc25A antibodies (A and D), and the a-tubulin fluorescence of the same cell shows the interphase microtubule array (B and E). (C and F)
Merged images of A and B and D and E, respectively. Bars, 20 mm. In D, the Cdc25A antibody was blocked by preincubation with an excess
amount of recombinant Cdc25A protein (20 mg/ml). (b) Wild-type Cdc25A advances the timing of cell division. Embryos were injected at
the one-cell stage, between 30 and 80 min after fertilization, with either 2.2 ng of purified wild-type Cdc25A protein or an equal volume
(22 nl) of buffer (20 mM Hepes, pH 7.5, 88 mM NaCl, 7.5 mM MgCl2, 10mMb-mercaptoethanol) and maintained in 0.13 MMR containing
5% Ficoll. When the buffer-injected embryos reached Stage 2, they were photographed with a Wild Heerbrugg dissecting microscope
equipped with a 35-mm camera. (c) Catalytically inactive, Cdc25A (C432A) slows the rate of cell division. Purified phosphatase-dead
Cdc25A (C432A) protein or buffer was injected into one-cell embryos as in (b) and photographed when the buffer-injected embryos reached
Stage 7.
FIG. 5. Phosphorylation and deactivation of Cdc2/Cdk2 following injection of catalytically inactive Cdc25A. (a) Effect of Cdc25A (C432A)
injection on Cdc2/Cdk2. (Top) Embryo extracts prepared as in (Fig. 2b) were subjected to immunoprecipitation using either cyclin B1/2 or
cyclin E antibodies, and histone H1 kinase assays were performed as described previously (Hartley et al., 1997). In order to analyze similar
amounts of histone H1 kinase activity for the two Cdk complexes, extract corresponding to one embryo or eight embryos was used for the
cyclin B1/2 and cyclin E immunoprecipitates, respectively. Similar results were obtained in three independent experiments. (Bottom) The
immunoprecipitates described above were probed on Western blots for the injected GST-Cdc25A (C432A) enzyme. The position of
molecular weight markers is indicated on the left. (b) Tyr15 phosphorylation of Cdc2. Embryos injected with buffer, catalytically inactive
Cdc25A (C432A), or catalytically inactive Cdc25C (C457A) were collected when buffer-injected embryos reached Stage 4, and extracts were
blotted with a tyr15 phospho-specific antibody.
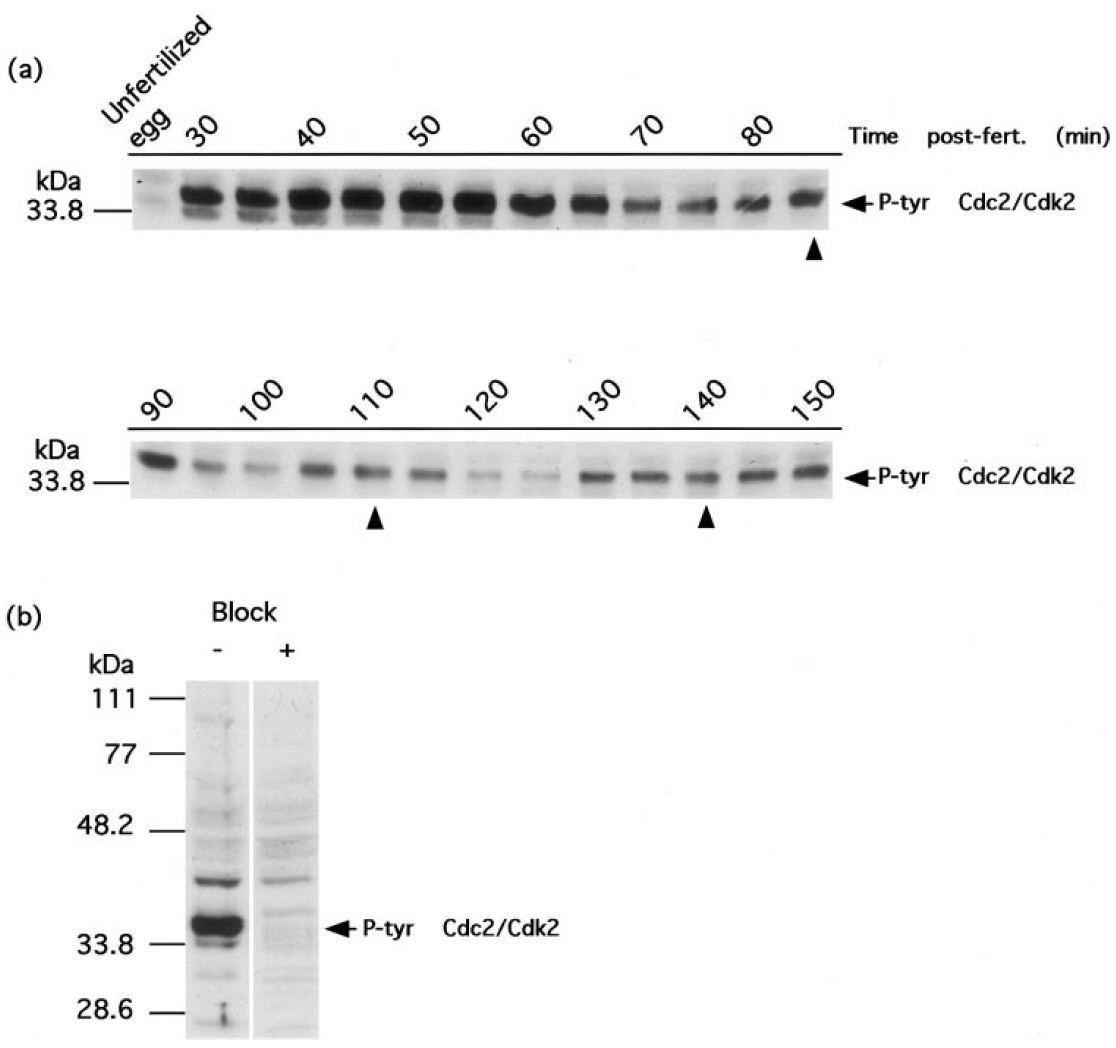
FIG. 6. Periodic Tyr15 phosphorylation of Cdc2/Cdk2 after fertilization. (a) Western blot analysis. Embryo extracts, prepared at the
indicated times, were blotted with phospho-specific Cdc2 (Tyr15) antibody (New England Biolabs, Inc.) according to the manufacturer’s
protocol. Arrowheads indicate the timing of cytokinesis. Previous results (Rempel et al., 1995; Hartley et al., 1996) have shown that the
level of total Cdc2/Cdk2 is constant in early embryos. Similar results were obtained in five independent experiments. (b) Specificity of the
tyr15 phosphospecific antibody. Recombinant GST-cyclin E/Cdk2 phosphorylated on tyr15 in Sf9 cells by coinfection with human Wee1
was purified by glutathione–agarose chromatography and preincubated with the tyr15 phospho-specific antibody for 2 h at 4°C. A Stage 9
embryo extract was then blotted with either blocked or unblocked antibody and visualized with ECL.