XB-ART-12649
Gene
1999 Jul 22;2351-2:13-8. doi: 10.1016/s0378-1119(99)00221-8.
Show Gene links
Show Anatomy links
Sequence and expression analysis of a novel Xenopus laevis cDNA that encodes a protein similar to bacterial and chloroplast ribosomal protein L24.
???displayArticle.abstract???
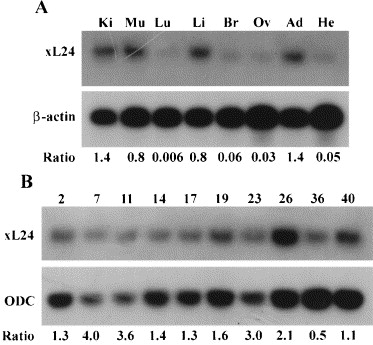
We report here the cloning and the characterization of a Xenopus laevis cDNA that encodes a basic protein of 276 amino acids with a central core region, which shows a substantial degree of homology to bacterial and chloroplast ribosomal protein L24, and additional diverged N- and C-terminal polypeptide extensions. The N-terminal extension displays similarities to the mitochondrial targetting sequence, thereby suggesting that the cDNA probably codes for a mitochondrial ribosomal protein. Although the gene was expressed ubiquitously, at fairly constant levels, during embryogenesis, the abundance of the transcripts in the different tissues varies with the mRNA levels in the kidney, adipose tissue, muscle and liver being greater than that present in the brain, heart, ovary and lung.
???displayArticle.pubmedLink??? 10415328
???displayArticle.link??? Gene
Species referenced: Xenopus laevis
Genes referenced: actb mrpl24 odc1
???attribute.lit??? ???displayArticles.show???
