Click here to close
Hello! We notice that you are using Internet Explorer, which is not supported by Xenbase and may cause the site to display incorrectly.
We suggest using a current version of Chrome,
FireFox, or Safari.
???displayArticle.abstract???
Patterning in the vertebrate embryo is controlled by an interplay between signals from the dorsal organizer and the ventrally expressed BMPs. Here we examine the function of Vox, a homeodomain-containing gene that is activated by the ventralizing signal BMP-4. Inhibition of BMP signaling using a dominant negative BMP receptor (DeltaBMPR) leads to the ectopic activation of dorsal genes in the ventral marginal zone, and this activation is prevented by co-injection of Vox. chordin is the most strongly activated of those genes that are up-regulated by DeltaBMPR and is the gene most strongly inhibited by Vox expression. We demonstrate that Vox acts as a transcriptional repressor, showing that the activity of native Vox is mimicked by a Vox-repressor fusion (VoxEnR) and that a Vox-activator fusion (VoxG4A) acts as an antimorph, causing the formation of a partial secondary axis when expressed on the ventral side of the embryo. Although Vox can ectopically activate BMP-4 expression in whole embryos, we see no activation of BMP-4 by VoxG4A, demonstrating that this activation is indirect. Using a hormone-inducible version of VoxG4A, we find that a critical time window for Vox function is during the late blastula period. Using this construct, we demonstrate that only a subset of dorsal genes is directly repressed by Vox, revealing that there are different modes of regulation for organizer genes. Since the major direct target for Vox repression is chordin, we propose that Vox acts in establishing a BMP-4 morphogen gradient by restricting the expression domain of chordin.
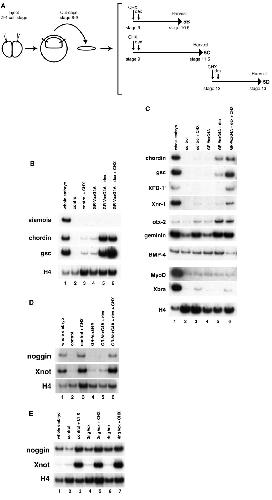
FIG. 1. Vox blocks the activation of chordin by DBMPR. Injections
were made into the equatorial region of the two ventral blastomeres at
the two- to four-cell stage. VMZ explants were from uninjected
embryos (lane 3), embryos injected with 2 ng DBMPR (lane 4), or
embryos co-injected with 2 ng DBMPR and 2 ng Vox (lane 5). At stage
10, 20 VMZs were dissected and cultured until stage 11 when they
were harvested for assay by RT-PCR. Chordin is a secreted factor
expressed in the organizer (Sasai et al., 1994). Siamois is a transcription
factor expressed in the early dorsal region that is a direct target of
maternal dorsalizing signals (Lemaire et al., 1995; Brannon et al.,
1997). Goosecoid (gsc) is a transcriptional repressor expressed in the
organizer (Cho et al., 1991; Ferreiro et al., 1998). XFD-19 (Dirksen and
Jamrich, 1992; Kno¨ chel et al., 1992) and Xnot (Gont et al., 1993; von
Dassow et al., 1993) are transcription factors most abundantly expressed
in the dorsal axis and notochord. Xnr-1 is a signaling molecule
of the TGF-b family that is expressed dorsally (Jones et al., 1995;
Lustig et al., 1996). Otx-2 is a transcription factor expressed in the
organizer and anteriorneurectoderm (Blitz and Cho, 1995; Pannese et
al., 1995). geminin is a nuclear gene expressed in the early neural plate
(Kroll et al., 1998). Histone H4 was included for normalization. Note
that all RT-PCR assays shown here were done on the same samples.
Thus, the expression of some dorsal genes in the VMZ at this stage
(lane 3) is not due to DMZ contamination, since there is virtually no
expression of chordin, siamois, or otx-2 in this sample.
FIG. 2. Vox acts as a repressor. (A) Diagram of Vox and the fusion proteins used in this paper. (B–G) Typical phenotypes resulting from
targeted injections of 1–2 ng each of the RNAs encoding Vox, VoxEnR, and VoxG4A. DAI averages were calculated as described in Kao and
Elinson (1988). (B) Dorsal injection of 2 ng of wild-type Vox leads to a ventralized phenotype (n 5 28; average DAI 3.1). In the experiment
shown, we obtained a fairly high DAI; in other experiments, dorsal injection of Vox yielded DAI averages of 2 or less. (C) Embryos injected
ventrally with 2 ng of Vox are indistinguishable from controls (n 5 32; average DAI 4.7). (D) Dorsal injection of 2 ng of VoxEnR causes
ventralization, similar to the phenotype seen with dorsal injection of Vox (n 5 34; average DAI 2.1). (E) Ventral injection of 1.5 or 2 ng of
VoxG4A causes formation of a partial second axis lacking a head (n 5 58; percentage second axis 91%). The black arrow points to the second
axis. (F) Ventral co-injection of 2 ng each of Vox and VoxG4A prevents second axis formation. These embryos mostly resemble uninjected
controls or have minor tail defects (n 5 41; percentage second axis 7%).
FIG. 3. Dorsal expression of VoxG4A does not induce expanded BMP-4 expression. Vegetal views of stage 12 embryos hybridized with an
antisense probe for BMP-4. Embryos were uninjected (A) or injected dorsally with 4 ng Vox (B) or 4 ng VoxG4A (C). (A) In uninjected
controls, BMP-4 expression is strongest adjacent to the ventralblastopore. This region of strong BMP-4 expression usually does not extend
more than halfway around the embryo. (B) BMP-4 expression is expanded dorsally and is often radial (as shown here) in embryos injected
dorsally with Vox (n 5 9). (C) BMP-4 expression is similar to controls in VoxG4A-injected embryos, showing a large area of dorsal clearing
(n 5 9). Arrowheads in A and C indicate the lateral edges of BMP-4 expression.
FIG. 4. An inducible VoxG4A defines a time window for Vox function. (A) A diagram of GR-VoxG4A, which consists of a fusion of the
hormone-binding domain of the glucocorticoid receptor (GR) to the N-terminus of VoxG4A. (B) Distribution of the phenotypes seen among
embryos injected with 2 ng of GR-VoxG4A when dex was added at different times during development. The data marked âno dexâ were
from embryos that were injected but never treated with dex. (C, D) Second-axis phenotypes in embryos injected with 2 ng of GR-VoxG4A
and treated with dex at different stages. The black arrows in C and D point to second axes. (C) A strong second axis, induced by treatment
with dex starting at stage 9. (D) A weak second axis, induced by treatment with dex starting at stage 10.
FIG. 5. Some, but not all, organizer genes are directly regulated
by Vox. (AâD) An assay using GR-VoxG4A reveals direct targets
of Vox. (A) Schematic diagram of the assay. 1 ng total of
GR-VoxG4A was injected into the animal pole in two blastomeres
at the two- to four-cell stage. At stage 8â9, 15 animal
caps per condition were dissected and transferred to agarosecoated
35-mm dishes, to which factors were added. In all assays,
explants were incubated in CHX for 30 min prior to the addition
of dex and harvested at the different times shown for analysis by
RT-PCR. Controls without reverse transcriptase were performed
for all assays (not shown). (B) CHX and dex were added at stage
9, and animal caps were harvested at stage 10.5 (about 2.5 h).
This stage is optimal for looking at siamois expression. (C) CHX
and dex were added at stage 9, and animal caps were harvested at
stage 11.5 (about 4 h). (D) Both noggin and Xnot were highly
induced by CHX alone in stage 9 animal caps. We found that
induction by CHX alone was less in later stage animal caps. In
this experiment, CHX and dex were added at stage 12, and
animal caps were harvested at stage 13 (about 2.5 h). (E)
Preloading animal caps with Vox does not prevent CHX induction
of Xnot and noggin. 2 or 4 ng of Vox was injected into the
animal pole in two blastomeres at the two- to four-cell stage.
At stage 8â9, animal caps were explanted and then treated
with CHX. They were harvested at stage 11.5 for analysis by
RT-PCR.
FIG. 6. A model for the function of Vox in the embryo. On the
ventral side of the embryo, BMP-4 activates Vox, which inhibits
the expression of chordin and gsc. On the dorsal side of the embryo,
siamois activates gsc, which represses Vox, allowing chordin to be
expressed. Early BMP-4 expression on the dorsal side is inhibited by
a putative repressor, X, which is activated by siamois and repressed
by Vox. Chordin inhibits BMP-4 expression at later times by
interrupting a BMP-4 autoregulatory loop.