Click here to close
Hello! We notice that you are using Internet Explorer, which is not supported by Xenbase and may cause the site to display incorrectly.
We suggest using a current version of Chrome,
FireFox, or Safari.
???displayArticle.abstract???
In Xenopus, ectodermal cell fates are determined by antagonistic interaction between the BMP subfamily of TGF-(beta) ligands and the organizer-specific secreted factors (e.g. noggin, chordin and follistatin). Inhibition of BMP function by these factors can convert cells from an epidermal to a neural cell fate. In this study, we report that GDF6, a new member of the Xenopus TGF-(beta) family, can function in antagonistic interaction with neural inducers. GDF6 induces epidermis and inhibits neural tissue in dissociated cells, and this activity is blocked by the presence of noggin. We demonstrate that GDF6 binds directly to the neural inducer noggin. Furthermore, we find that GDF6 and BMP2 can form heterodimers and the process seems to require cotranslation of the proteins in the same cells. In normal embryos, GDF6 and BMP2 are coexpressed in several places, including the edge of the neural plate at early neurula stages, suggesting that GDF6 may synergize with BMPs to regulate patterning of the ectoderm. Our data show for the first time that noggin can bind directly to and inhibit another TGF-(beta) family member: GDF6. In addition, BMP and GDF6 heterodimers may play an important role in vivo to regulate cell fate determination and patterning.
Fig. 1. Xenopus GDF6 is a close homolog of GDFs and BMPs. (A) Sequence of the
Xenopus GDF6 protein. The signal peptide is underlined and the proteolytic processing
site is boxed. (B) GDF6 is highly conserved between species. Alignment of Xenopus
GDF6 mature region with that of GDF6, GDF5 and GDF7 from other species. Xenopus
GDF6 is more than 90% identical to mouse GDF6. (C) GDF6 is homologous to BMPs.
Alignment of the mature region of Xenopus GDF6 with that of Xenopus BMPs. GDF6
is about 50% identical to BMP2, BMP4 and BMP7 in their mature regions, while it is
less homologous to activin and other TGF-bs. GenBank accession number for Xenopus
GDF6 is AF155125
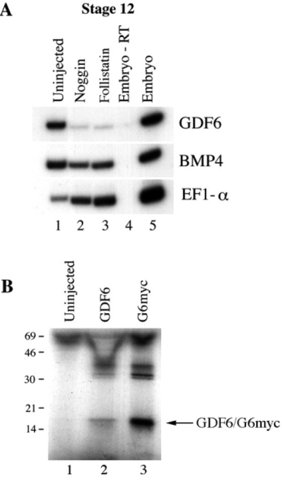
Fig. 2. GDF6 is downregulated by neural inducers at gastrula stages
at the RNA level and is efficiently secreted from oocytes. (A) GDF6,
but not BMP4, transcripts are significantly downregulated by neural
inducers noggin and follistatin at late gastrula stages (stage 11-12).
Embryos were injected at the 2-cell stage with 0.2 ng noggin or 2 ng
follistatin RNA (lanes 2 and 3, respectively). Animal caps were
dissected at blastula stage and incubated to late gastrula stage before
they were processed for RT-PCR assay. Lane 1 is from uninjected
control embryos, while lanes 4 and 5 are from whole embryos with
(lane 5) or without (lane 4) reverse transcriptase during RT reaction.
(B) GDF6 is secreted from Xenopus oocytes. Oocytes were injected
with RNAs encoding GDF6 (lane 2) or a myc-tagged GDF6 (G6myc,
lane 3). The oocyte culturing medium was collected 2 days later and
analyzed on 10% SDS-PAGE. While uninjected oocytes did not
secret any proteins at a significant level (lane 1), the supernatant
from oocytes injected with GDF6 and G6myc contains two bands,
corresponding to the processed mature and the pro-region of the
protein.
Fig. 3. Early zygotic expression of GDF6 is restricted to the animal
cap. (A) GDF6 is expressed weakly after the midblastula transition.
The expression increases significantly around the mid-gastrula stages
and maintains its level until at least tailbud stages. (B) GDF6
expression is restricted to the animal caps of early gastrula embryos.
Early gastrula stage (stage 10+) embryos were dissected into animal
and vegetal (lanes 1 and 2), dorsal marginal zone and ventral
marginal zone (DMZ and VMZ respectively, lanes 3 and 4) regions.
The dissection scheme is shown at the left. RT-PCR method was used
to assay for region-specific markers (Chordin is a dorsal and Xvent1
is a ventral marker, Xwnt8 is expressed ventral-laterally, Vg1 is a
marker for vegetal pole and Xbra, Xenopus brachyury, is a panmesoderm
marker) as well as GDF6 expression. GDF6 is expressed
only in the animal caps at this early gastrula stage. (C) GDF6
transcripts are downregulated in the dorsal ectoderm at early gastrula
stages. Stage 10 embryos were dissected into dorsal and ventral
animal caps (scheme shown at the left). RT-PCR was used to assay
for dorsal animal (lane 1) and ventral animal pole (lane 2) markers.
Zic3 is a dorsal-specific marker, while Vent1 is a ventral marker.
Xbra is a pan-mesodermal marker. Unlike BMP4, which is uniform
at this stage in animal caps, GDF6 is downregulated in the dorsal
animal region (compare lane 1 with lane 2).
Fig. 4. Spatial expression of GDF6 during early Xenopus development. (A) GDF6
is expressed at the border of the dorsal and ventralectoderm around stages 11 to
12. (B,C) At neurula stages, GDF6 is expressed at the edges of the neural plate, as
well as in two patches in the anterior neural plate. (D-F) At late neurula stages 18-
19, GDF6 is distributed in a salt-and-pepper pattern in the neural folds (inset of
panel E), possibly representing the premigratory neural crest cells. In addition,
GDF6 is expressed in olfactory placode and in the eye field. (G,H) After the neural
tube closure, GDF6 occupies the dorsal midline of the neural tube, again in a
dotted fashion. The expression in the olfactory placode persists, and the staining in
the eye field becomes localized to the dorsal part. (I-L) At tailbud stages, GDF6 is
seen at the dorsal hindbrain and the dorsal midline of the spinal cord. It is also
expressed in the dorsal retina of the developing eyes. Embryos are viewed from
dorsal side in A, B, D, E, H, J and K, with anterior end to the left. In C, F and G,
the embryos are viewed head on from anterior end. Embryos in I and J are viewed
from lateral side with anterior end to the left
Fig. 5. GDF6 inhibits neural tissue and
induces epidermis in dissociated animal
caps, and its activity is blocked by
noggin. (A) Animal caps from stage 9
embryos were dissociated in Ca2+- and
Mg2+-free medium for 4 hours before
reaggregated and cultured to neurula
stages. Lane 1 is from the intact caps,
which expresses the epidermal marker
epidermal keratin and does not express
neural genes such as NCAM and OtxA.
Lanes 2-5 are animal caps dissociated for
4 hours. Lanes 3-5 contain conditioned
oocyte medium collected from uninjected
control oocytes (lane 3), BMP2-injected
(lane 4) and GDF6-injected (lane 5)
oocytes. BMP2 and GDF6 convert the
cells from a neural to an epidermal fate.
Lanes 6 and 7 are whole embryo control,
with (lane 7) or without (lane 6) reverse
transcriptase during the RT reaction.
(B) Noggin blocks epidermal inducing
activity of GDF6. Lane 1 is from intact animal caps, while lanes 2 to 4 are from cells dissociated for 4 hours. GDF6-conditioned medium is
present in samples in lanes 3 and 4, and noggin protein is present in samples on lane 4 during cell dissociation.
Fig. 6. (A) GDF6 binds specifically to noggin. Lanes 1 and 2 are
markers for labeled GDF6 and BMP2, respectively. Lanes 3 and 4
are the two proteins incubated only with the protein G beads in the
absence of noggin-Fc. Lanes 5 to 10 are the two proteins coincubated
with noggin-Fc and protein G beads. Lanes 7 and 8 include
unlabeled GDF6, while lanes 9 and 10 include BMP4 as specific
competitor for noggin binding. Odd-numbered lanes contain labeled
GDF6 protein, and even-numbered lanes contain labeled BMP2
protein. Binding of GDF6 or BMP2 to noggin can be competed away
by unlabeled BMP4 or GDF6 ligands. (B) BMP2, but not activin or
Vg1, can compete with GDF6 for noggin binding. Lanes 1 to 4 are
markers for secreted TGF-b ligands activin, Vg1, BMP2 and GDF6.
Lanes 5-8 contain noggin-Fc with labeled GDF6, and lanes 6-8
include binding competitors activin, Vg1 and BMP2, respectively.
(C) GDF6 binds to noggin with an affinity closer to BMP2 than to
BMP7. Lane 1 is binding of 35S-labeled GDF6 to noggin-Fc in the
absence of any competitors, while the rest of the lanes are samples
containing 1:1 (lanes 2, 6 and 10), 3:1 (lanes 3, 7 and 11), 5:1 (lanes
4, 8 and 12) and 10:1 (lanes 5, 9 and 13) ratio of unlabeled GDF6
(lanes 2-5), BMP2 (lanes 6-9) or BMP7 (lanes 10-13) to labeled
GDF6. Binding of 35S-labeled GDF6 to noggin is competed away by
the presence of 3- to 5-fold of unlabeled GDF6 or BMP2, while
BMP7 cannot compete for GDF6 binding even at 10-fold excess.
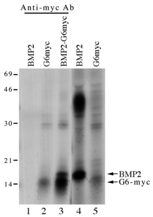
Fig. 7. Heterodimer formation between GDF6 and BMP2.
Conditioned oocyte supernatant was precipitated with anti-myc
antibody. The antibody precipitates G6myc, but not BMP2 protein
(compare lanes 2 and 1). However when the two genes are
coexpressed in the oocytes, BMP2 can be coimmunoprecipitated
with G6myc, suggesting heterodimer formation between the two
proteins (lane 3). Lanes 4 and 5 are markers for BMP2 and G6myc,
respectively.