Click here to close
Hello! We notice that you are using Internet Explorer, which is not supported by Xenbase and may cause the site to display incorrectly.
We suggest using a current version of Chrome,
FireFox, or Safari.
???displayArticle.abstract???
Olfactory binding proteins (OBP), commonly associated with aerial olfaction, are found in the olfactory mucus of mammals but have never been identified in fish. It is still not clear whether the presence of OBP in aerial olfactory systems is due to phylogenetic or to functional differences linked to the adaptation of the olfactory system to an aerial environment. To test this alternative, the olfactory system of Xenopus offers a unique opportunity because it includes two olfactory cavities, one of which is thought to be devoted to aquatic olfaction and the other to aerial olfaction. We therefore purified and cloned OBPs in two Xenopus species. Xenopus laevis OBP (XlaeOBP) and Xenopus tropicalis OBP (XtroOBP) exhibit 158 and 160 amino acids, respectively, sharing 89 residues. cRNA probes allowed us to demonstrate that XlaeOBP and XtroOBP are expressed at the level of Bowman's gland specifically in the aerial olfactory cavity, as confirmed using anti-XlaeOBP antiserum. OBP mRNA transcription occurs early during metamorphosis, as early as stage 57. This is the first study to demonstrate that OBPs are exclusively present in the aerial chamber and are only expressed as the tadpole becomes an adult in species which possess both aquatic and aerial olfactory organs.
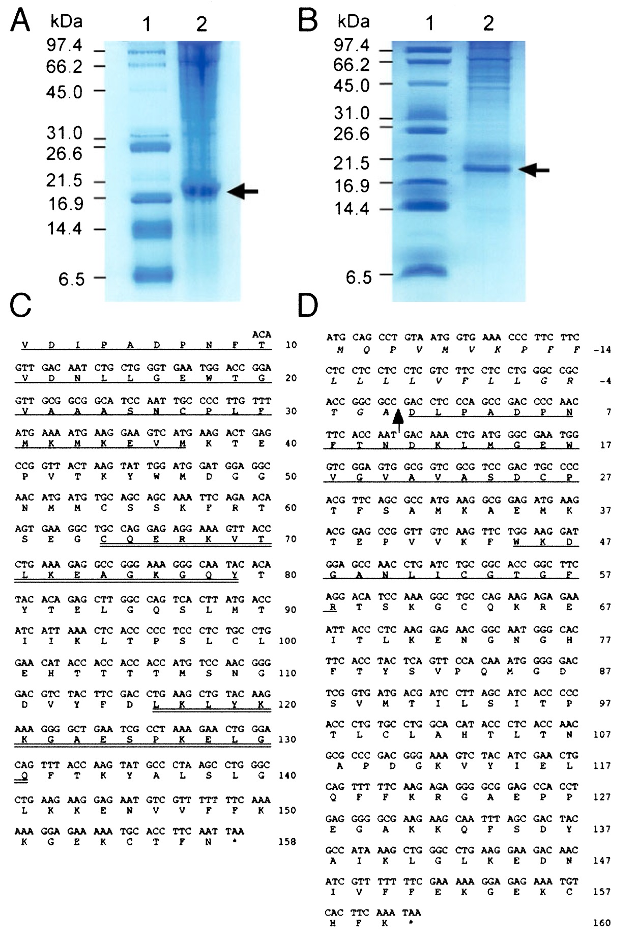
Fig. 1. Xenopus laevis and Xenopus tropicalis OBPs. SDS-PAGE of proteins from the principal (aerial) cavity mucus of (A) X. laevis and (B) X. tropicalis; lane
1, molar mass standards with values indicated in the left column; lane 2, olfactory mucus; arrows indicate the proteins identified as Xenopus OBPs by Edman
sequencing. (C and D) Nucleotide sequences and translated amino acid sequences of (C) XlaeOBP and (D) XtroOBP. The first amino acid of the XtroOBP mature
sequence is indicated by a vertical arrow. Mature OBPs are used as a reference for amino acid numbering. The N-terminal sequences determined by Edman
sequencing are underlined. XtroOBP signal peptide is shown in italics. Double-underlined line sequences represent XlaeOBP peptides used to generate peptidespecific
rabbit polyclonal antibodies. The asterisks mark the stop codons.
Fig. 2. Xenopus OBP sequences compared to other vertebrate olfactory binding proteins. CLUSTALWalignment of XlaeOBP amino acid sequence with XtroOBP
and other vertebrate OBPs. Sequences are classified from top to bottom in decreasing amino acid identity order, taking XlaeOBP as a reference. Amino acid residues
shared with XlaeOBP are shown white on a black background. XlaeOBP cysteins are indicated by an asterisk. OBPs are: XlaeOBP (Xenopus laevis OBP; GenBank
accession code AJ620675), XtroOBP (Xenopus tropicalis OBP; GenBank accession code AY841354); RpipOBP (Rana pipiens OBP; GenBank accession code
M15531), RnorOBP1 [Rat OBP1; European Molecular Biology Laboratory (EMBL) accession code Q9QYU9] and RnorOBP2 (Rat OBP2; GenBank accession
code NM173148), MmusOBP1a (Mouse OBP subunit IA, EMBL accession code P97336) and MmusOBP1b (Mouse OBP1B; EMBL accession code P97337),
BtauOBP (Bovine OBP; EMBL accession code P07435), EmaxOBP (Elephant OBP; EMBL accession code U95046), SsrcOBP (porcine OBP; EMBL accession
code Q8WMH1) and HsapOBP (human OBP; Swiss-Prot accession code Q9NY56).
Fig. 3. Expression of XlaeOBP in adult Xenopus laevis olfactory cavity. Orientation: A, anterior; P, posterior; R, right; L, left. (A) ISH of Xenopus laevis with
XlaeOBP antisense riboprobe led to a labelling of Bowmanâs glands in the PC only (arrows); no hybridization signal was found in MC. Asterisks indicate the valves
that separate aquatic from aerial cavities. (B) Hybridization of Xenopus laevis olfactory cavity with sense riboprobe; no signal was found. (C) High magnification
of the region labelled with XlaeOBP antisense riboprobe. An arrow indicates a duct opening from Bowmanâs glands onto the principal (aerial) cavity. (D) ISH with
XlaeOBP antisense riboprobe at the VNO level. No staining is observed in the VNO.
Fig. 4. Expression of XlaeOBP restricted to the principal olfactory cavity. (A) Staining is located at the level of the Bowmanâs gland (open arrow). (B) SDSPAGE
analysis of olfactory mucus selectively sampled from PC and MC of X. laevis. In the left panel, proteins were detected by Serva Blue G250 staining.
Molecular weights (M) with values are indicated. In the right panel, XlaeOBP was visualized in the PC by immunoblotting using polyclonal anti-XlaeOBP antibody.
No XlaeOBP was detected in the MC.
Fig. 5. Expression of XlaeOBP in Xenopus laevis olfactory cavities of tadpole at different stages of development analysed by ISH. Orientation: A, anterior; P,
posterior; R, right; L, left. (A) Stage 55, no XlaeOBP staining. (B) Stage 57, first stained cells appear (arrow). (C) Stage 59, the number of stained cells increases
(arrow); the open arrow indicates the duct between the vomeronasal organ and the PC. (D) Stage 60. (E and F) Stage 65; note that Bowmanâs glands present their
mature morphology (arrow).
Fig. 6. Expression of XtroOBP in adult Xenopus tropicalis olfactory cavities analysed by ISH. Orientation: A, anterior; P, posterior; R, right; L, left. (A) ISH with
XtroOBP antisense riboprobe led to labelling of Bowmanâs gland (dotted circle) in the PC only. Asteriks indicate the valve that separates aquatic and aerial cavities.
(B) High magnification of the region labelled with XtroOBP antisense riboprobe; solid arrow, Bowmanâs gland. Naturally pigmented cells, which characterize wildtype
animals, indicated by open arrow, are not riboprobe-stained cells. (C and D) Control experiment, hybridization of neighbouring sections with (C) sense and
(D) antisense probes. No staining was found with the sense probe. The dark cells are pigmented cells.
obp (olfactory binding protein) gene expression in Xenopus laevis embryo, assayed via in situ hybridization, NF stage 60, in sections of the olfactory epithelium.