Click here to close
Hello! We notice that you are using Internet Explorer, which is not supported by Xenbase and may cause the site to display incorrectly.
We suggest using a current version of Chrome,
FireFox, or Safari.
RAE1 is a shuttling mRNA export factor that binds to a GLEBS-like NUP98 motif at the nuclear pore complex through multiple domains.
Pritchard CE, Fornerod M, Kasper LH, van Deursen JM.
???displayArticle.abstract???
Gle2p is implicated in nuclear export of poly(A)+ RNA and nuclear pore complex (NPC) structure and distribution in Saccharomyces cerevisiae. Gle2p is anchored at the nuclear envelope (NE) via a short Gle2p-binding motif within Nup116p called GLEBS. The molecular mechanism by which Gle2p and the Gle2p-Nup116p interaction function in mRNA export is unknown. Here we show that RAE1, the mammalian homologue of Gle2p, binds to a GLEBS-like NUP98 motif at the NPC through multiple domains that include WD-repeats and a COOH-terminal non-WD-repeat extension. This interaction is direct, as evidenced by in vitro binding studies and chemical cross-linking. Microinjection experiments performed in Xenopus laevis oocytes demonstrate that RAE1 shuttles between the nucleus and the cytoplasm and is exported from the nucleus in a temperature-dependent and RanGTP-independent manner. Docking of RAE1 to the NE is highly dependent on new mRNA synthesis. Overexpression of the GLEBS-like motif also inhibits NE binding of RAE1 and induces nuclear accumulation of poly(A)+ RNA. Both effects are abrogated either by the introduction of point mutations in the GLEBS-like motif or by overexpression of RAE1, indicating a direct role for RAE1 and the NUP98-RAE1 interaction in mRNA export. Together, our data suggest that RAE1 is a shuttling transport factor that directly contributes to nuclear export of mRNAs through its ability to anchor to a specific NUP98 motif at the NPC.
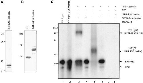
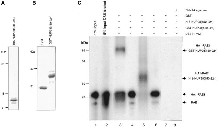
Figure 2. Chemical cross-linking of in vitro–translated HA1-RAE1 to E. coli–purified GLEBS-like motifs. (A) Purified recombinant HIS-NUP98(150–224) (∼11-kD) protein separated by SDS-PAGE (15% polyacrylamide gel) and detected by Coomassie brilliant blue (CBB; Bio-Rad Laboratories) staining. (B) Purified recombinant GST (29 kD) and GST-NUP98(150–224) (∼38 kD) protein run on a 10% polyacrylamide gel and stained with CBB. (C) Pull-down assays performed with [35S]-methionine–labeled HA1-RAE1 synthesized in vitro (45 kD), and GST- or HIS-NUP98(150–224) fusion proteins purified from E. coli. 5% input shows 5% of the labeled HA1-RAE1 protein used in each pull-down assay. Typically, the in vitro–translated RAE1 appears as a doublet, representing fragments with and without a HA1 tag (the RAE1 cDNA was cloned in pSP73 as a HA1 fusion gene that retained the endogenous RAE1 translation initiation codon). GST beads and Ni-NTA agarose acted as negative control for binding in GST-NUP98(150–224) and HIS-NUP98(150–224) pull-down assays, respectively. Comparable amounts of GST, GST-NUP98(150–224), and HIS-NUP98(150–224) proteins were used in each pull-down assay. The experiment shown is representative for two independent experiments. A cross-linked GST-NUP98(150–224)/RAE1 product of ∼84 kD and a cross-linked HIS-NUP98(150–224)/RAE1 product of ∼56 kD were obtained specifically in DSS-treated samples. Note that cross-linking of RAE1 to HIS-NUP98(150–224) was more efficient than to GST-NUP98(150–224). Molecular weight standards are indicated at right.
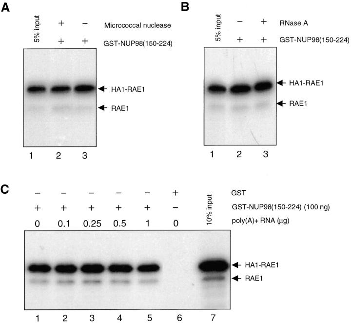
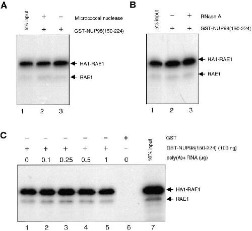
Figure 3. Poly(A)+ RNA is not a cofactor in the binding reaction between RAE1 and the GLEBS-like motif of NUP98 in vitro. (A) Pull-down assay performed with GST-NUP98(150– 224) fusion protein purified from E. coli and [35S]-methionine– labeled in vitro–translated HA1-RAE1 pretreated with or without Micrococcal nuclease. GST alone did not pull-down HA1-RAE1 (not shown). (B) As in A, but pretreated with or without RNase A. GST alone did not pull-down HA1-RAE1 (not shown). (C) Pull-down assay with GST-NUP98(150–224) and in vitro–translated HA1-RAE1 in the presence of various concentrations of poly(A)+ RNA isolated from HtTA cells. GST alone does not pull-down HA1-RAE1, as indicated in lane 6.
Figure 4. Multiple domains of RAE1 are necessary but not sufficient for interaction with NUP98. (A) Schematic representation of HA1-RAE1 deletion mutants. The four WD-repeat motifs are indicated as gray boxes. All mutants expressed an NH2-terminal HA1 tag. (B) Western blot analysis of proteins precipitated with 12CA5 antibody from lysates of HtTA cells transiently transfected with HA1-RAE1 or various deletion mutants. Precipitated proteins were visualized with 12CA5 (top) and anti–NUP98 antibodies (bottom). The HA1-RAE1 mutants used are indicated above the lanes. Molecular weight standards are indicated to the left. Results shown are representative for three independent experiments. (C–G) Confocal images detailing the subcellular distribution HA1-RAE1 deletion mutants moderately expressed in HtTA cells and stained with 12CA5 antibody. Note that the ability to coprecipitate NUP98 correlates with prominent NE staining.
Figure 6. RAE1 shuttles between the nucleus and the cytoplasm. (A) A mixture of in vitro–translated [35S]-methionine–labeled CBP80, HA1-RAE1 (seen as a doublet that represents HA1-RAE1 and RAE1), and GTS-NES was injected into Xenopus laevis oocytes nuclei, either in the absence (lanes 1–6) or presence (lanes 7–12) of 80 μM Rna1p. After injection, oocytes were incubated at 20°C and protein samples from nuclear (N) and cytoplasmic (C) fractions were collected at 10, 30, or 90 min. Proteins were separated by SDS-PAGE and detected by fluorography. (B) Kinetics of RAE1 distribution after nuclear injection. Values were obtained from three experiments; error bars represent standard deviations. (C) Comparison of nuclear export of RAE1 at 20° (lanes 1 and 2) and 0°C (lanes 3 and 4). (D) Nuclear uptake of RAE1 after cytoplasmic injection after 0.2 (lanes 1 and 2), 6 (lanes 3 and 4), or 9 h (lanes 5 and 6).
Figure 5. A single point mutation in a highly conserved WD-repeat residue abrogates RAE1–NUP98 interaction at the NPC. (A) A scale drawing of HA1-RAE1 depicting the positions of the highly conserved D residues within the last three WD-repeats that we individually mutated to A. (B) Schematic representation of a blade from a WD-repeat propeller structure (Garcia-Higuera et al., 1998). (a–d) The four β strands within the blade are indicated. Note that the position of the conserved D residue in the hairpin turn between b and c is highlighted (star). (C) Western blot analysis of proteins precipitated with 12CA5 antibody from lysates of HtTA cells transiently transfected with HA1-RAE1 or the point mutants. Precipitated proteins were visualized with 12CA5 (top) and anti–NUP98 antibodies (bottom). The HA1-RAE1 mutants used are indicated above the lanes. Molecular weight standards are indicated at left. Results shown are representative for three independent experiments. (D–G) Representative confocal images detailing the subcellular distribution of HA1-RAE1 mutants in HtTA cells (12CA5 antibody staining).
Figure 7. RAE1's association with the NE requires RNA polymerase II activity. (A–H) Images of HtTA cells stained for RAE1 or NUP98 after treatment with RNA polymerase inhibitors. RAE1-stained cells treated with (A) 0 μg/ml AMD for 1 h, (B) 0.04 μg/ml AMD for 1 h, (C) 5.0 μg/ml AMD for 1 h, (D) 50 μg/ml DRB for 1 h, (E) 50 μg/ml DRB for 1 h and cultured 6 h in the absence of DRB, and (F) 50 μg/ml DRB for 1 h, cultured 6 h without DRB, and finally treated again with 50 μg/ml DRB for 1 h. Images shown are representative for results obtained from three independent experiments. (G and H) Respective nontreated and 5.0 μg/ml AMD–treated HtTA cells stained with NUP98-specific antibodies. Note that NUP98 levels at the NE are not dependent on RNA polymerase II activity. (I and J) Effect of AMD treatment on HtTA cells that moderately express HA1-RAE1.
Figure 8. Overexpression of the GLEBS-like motif of NUP98 results in decreased levels of RAE1 at the NE. (A–D′ inclusive) Paired confocal images from HtTA cells that transiently express various forms of the GLEBS-like motif of NUP98. Cells were double-stained for HA1-tagged protein using the 12CA5 monoclonal antibody (left) and for RAE1 using affinity-purified RAE1 polyclonal rabbit antibodies. Cells shown in the confocal images are representative for results obtained in three to four independent experiments. High magnification images are given to illustrate detail. (A, A′, B, and B′) Overexpression of the GLEBS-like motif leads to a subtle but significant decrease in NE localization of RAE1. Compare NE staining of cells that do not overexpress the RAE1-binding (nt) and cells that do (t). (C, C′, D, and D′) Cells expressing a GLEBS-like motif mutant that is unable to interact with RAE1 or full-length NUP98 (D and D′) display an RAE1-distribution pattern comparable with that of wild-type HtTA cells.
Figure 9. Overexpression of the GLEBS-like motif of NUP98 results in accumulation of poly(A)+ RNA in the nucleus. (A–J′, inclusive) Paired confocal images from HtTA cells that are transiently expressing HA1-NUP98 mutants. These cells were double stained for HA1-tagged protein by immunohistochemistry using the 12CA5 monoclonal antibody (left) and for poly(A)+ RNA by in situ hybridization using a FITC-labeled oligo-(dT) 50 mer (right). The identity of the HA1-tagged NUP98 mutants is indicated as the left of each pair. The poly(A)+ RNA accumulation in B′ appears more robust than that in C′, which represents a photographic rather than a real difference. The arrow in F′ points to one of the sites of preferred poly(A)+ RNA localization (also reported by Huang et al., 1994). K and L Show poly(A)+ distribution in HtTA cells overexpressing mouse RAE1 protein and, at the same time, HA1-NUP98(150–224) or HA1-NUP98(181–224). Each row of three images shows the same field of cells stained for either HA1-tagged protein (left), ectopically expressed mouse RAE1 and native human RAE1 (middle), and poly(A)+ RNA (right). Note that mouse RAE1 overexpression restores proper mRNA export in cells expressing various forms of the GLEBS-like motif. The combined anti–HA1/poly(A)+ staining procedure does not allow extensive blocking of nonspecific 12CA5 antibody binding. Therefore, nontransfected cells display higher levels of background staining than those shown in Fig. 7.
Figure 10. Overexpression of the GLEBS-like motif of NUP98 does not affect nuclear protein import. (A and B) Representative images of normal and HA1-NUP98(150–224)–expressing BHK cells stained with monoclonal antibody 12CA5 and the FITC-labeled oligo-(dT) 50 mer. Note that HA1-NUP98(150–224)–expressing BHK cells accumulate poly(A)+ RNA in their nuclei. (C and D) Immunofluorescence detection of the glucocorticoid receptor–β-galactosidase fusion protein in a representative BHKgrβ cell expressing HA1-NUP98(150–224) before and 30 min after the addition of 10 mg/ml dexamethasone (DMS).
Amberg,
Isolation and characterization of RAT1: an essential gene of Saccharomyces cerevisiae required for the efficient nucleocytoplasmic trafficking of mRNA.
1992, Pubmed
Amberg,
Isolation and characterization of RAT1: an essential gene of Saccharomyces cerevisiae required for the efficient nucleocytoplasmic trafficking of mRNA.
1992,
Pubmed Arts,
Identification of a nuclear export receptor for tRNA.
1998,
Pubmed
,
Xenbase Audigier,
Assays for studying functional properties of in vitro translated Gs alpha subunit.
1994,
Pubmed Bailer,
Nup116p and nup100p are interchangeable through a conserved motif which constitutes a docking site for the mRNA transport factor gle2p.
1998,
Pubmed
,
Xenbase Bastos,
Targeting and function in mRNA export of nuclear pore complex protein Nup153.
1996,
Pubmed Bharathi,
The human RAE1 gene is a functional homologue of Schizosaccharomyces pombe rae1 gene involved in nuclear export of Poly(A)+ RNA.
1997,
Pubmed Brown,
A mutation in the Schizosaccharomyces pombe rae1 gene causes defects in poly(A)+ RNA export and in the cytoskeleton.
1995,
Pubmed Clapham,
G protein beta gamma subunits.
1997,
Pubmed Cole,
Nucleocytoplasmic transport: driving and directing transport.
1998,
Pubmed Doye,
From nucleoporins to nuclear pore complexes.
1997,
Pubmed Dreyfuss,
hnRNP proteins and the biogenesis of mRNA.
1993,
Pubmed Fischer,
The HIV-1 Rev activation domain is a nuclear export signal that accesses an export pathway used by specific cellular RNAs.
1995,
Pubmed Fornerod,
The human homologue of yeast CRM1 is in a dynamic subcomplex with CAN/Nup214 and a novel nuclear pore component Nup88.
1997,
Pubmed Fornerod,
CRM1 is an export receptor for leucine-rich nuclear export signals.
1997,
Pubmed
,
Xenbase Fukuda,
CRM1 is responsible for intracellular transport mediated by the nuclear export signal.
1997,
Pubmed
,
Xenbase Garcia-Higuera,
Folding of proteins with WD-repeats: comparison of six members of the WD-repeat superfamily to the G protein beta subunit.
1996,
Pubmed Garcia-Higuera,
Intersubunit surfaces in G protein alpha beta gamma heterotrimers. Analysis by cross-linking and mutagenesis of beta gamma.
1996,
Pubmed Garcia-Higuera,
Folding a WD repeat propeller. Role of highly conserved aspartic acid residues in the G protein beta subunit and Sec13.
1998,
Pubmed Görlich,
Nuclear protein import.
1997,
Pubmed Grüter,
TAP, the human homolog of Mex67p, mediates CTE-dependent RNA export from the nucleus.
1998,
Pubmed
,
Xenbase Huang,
In vivo analysis of the stability and transport of nuclear poly(A)+ RNA.
1994,
Pubmed Izaurralde,
A cap-binding protein complex mediating U snRNA export.
1995,
Pubmed
,
Xenbase Izaurralde,
The asymmetric distribution of the constituents of the Ran system is essential for transport into and out of the nucleus.
1997,
Pubmed Izaurralde,
A role for the M9 transport signal of hnRNP A1 in mRNA nuclear export.
1997,
Pubmed
,
Xenbase Izaurralde,
Nuclear localization of a cap-binding protein complex.
1995,
Pubmed
,
Xenbase Izaurralde,
RNA export.
1995,
Pubmed Jarmolowski,
Nuclear export of different classes of RNA is mediated by specific factors.
1994,
Pubmed
,
Xenbase Kasper,
CREB binding protein interacts with nucleoporin-specific FG repeats that activate transcription and mediate NUP98-HOXA9 oncogenicity.
1999,
Pubmed Kraemer,
mRNA binding protein mrnp 41 localizes to both nucleus and cytoplasm.
1997,
Pubmed Kutay,
Identification of a tRNA-specific nuclear export receptor.
1998,
Pubmed
,
Xenbase Li,
Sites for Galpha binding on the G protein beta subunit overlap with sites for regulation of phospholipase Cbeta and adenylyl cyclase.
1998,
Pubmed Mehlin,
Structural interaction between the nuclear pore complex and a specific translocating RNP particle.
1995,
Pubmed Michael,
The K nuclear shuttling domain: a novel signal for nuclear import and nuclear export in the hnRNP K protein.
1997,
Pubmed
,
Xenbase Michael,
A nuclear export signal in hnRNP A1: a signal-mediated, temperature-dependent nuclear protein export pathway.
1995,
Pubmed Misteli,
The cellular organization of gene expression.
1998,
Pubmed Murphy,
GLE2, a Saccharomyces cerevisiae homologue of the Schizosaccharomyces pombe export factor RAE1, is required for nuclear pore complex structure and function.
1996,
Pubmed Nakielny,
Nuclear export of proteins and RNAs.
1997,
Pubmed Nakielny,
RNA transport.
1997,
Pubmed Neer,
Analysis of G-protein alpha and beta gamma subunits by in vitro translation.
1994,
Pubmed Neer,
G protein heterodimers: new structures propel new questions.
1996,
Pubmed Neer,
The ancient regulatory-protein family of WD-repeat proteins.
1994,
Pubmed Nigg,
Nucleocytoplasmic transport: signals, mechanisms and regulation.
1997,
Pubmed Ohno,
Nucleocytoplasmic transport: the last 200 nanometers.
1998,
Pubmed Persons,
Retroviral-mediated transfer of the green fluorescent protein gene into murine hematopoietic cells facilitates scoring and selection of transduced progenitors in vitro and identification of genetically modified cells in vivo.
1997,
Pubmed Richards,
Requirement of guanosine triphosphate-bound ran for signal-mediated nuclear protein export.
1997,
Pubmed Saavedra,
Yeast heat shock mRNAs are exported through a distinct pathway defined by Rip1p.
1997,
Pubmed Segref,
Mex67p, a novel factor for nuclear mRNA export, binds to both poly(A)+ RNA and nuclear pores.
1997,
Pubmed Snay-Hodge,
Dbp5p/Rat8p is a yeast nuclear pore-associated DEAD-box protein essential for RNA export.
1998,
Pubmed Stade,
Exportin 1 (Crm1p) is an essential nuclear export factor.
1997,
Pubmed Stutz,
Nuclear RNA export.
1998,
Pubmed Stutz,
The yeast nucleoporin rip1p contributes to multiple export pathways with no essential role for its FG-repeat region.
1997,
Pubmed Tseng,
Dbp5p, a cytosolic RNA helicase, is required for poly(A)+ RNA export.
1998,
Pubmed
,
Xenbase Ullman,
Nuclear export receptors: from importin to exportin.
1997,
Pubmed van Deursen,
G2 arrest and impaired nucleocytoplasmic transport in mouse embryos lacking the proto-oncogene CAN/Nup214.
1996,
Pubmed Watkins,
The human homologue of Saccharomyces cerevisiae Gle1p is required for poly(A)+ RNA export.
1998,
Pubmed Weis,
Importins and exportins: how to get in and out of the nucleus.
1998,
Pubmed Wente,
A temperature-sensitive NUP116 null mutant forms a nuclear envelope seal over the yeast nuclear pore complex thereby blocking nucleocytoplasmic traffic.
1993,
Pubmed Whalen,
Advancement through mitosis requires rae1 gene function in fission yeast.
1997,
Pubmed Yi,
Structural and functional studies of cross-linked Go protein subunits.
1991,
Pubmed