XB-ART-13244
Exp Eye Res
1999 Apr 01;684:399-410. doi: 10.1006/exer.1998.0633.
Show Gene links
Show Anatomy links
Interphotoreceptor retinoid-binding protein (IRBP) is rapidly cleared from the Xenopus interphotoreceptor matrix.
???displayArticle.abstract???
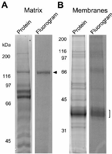
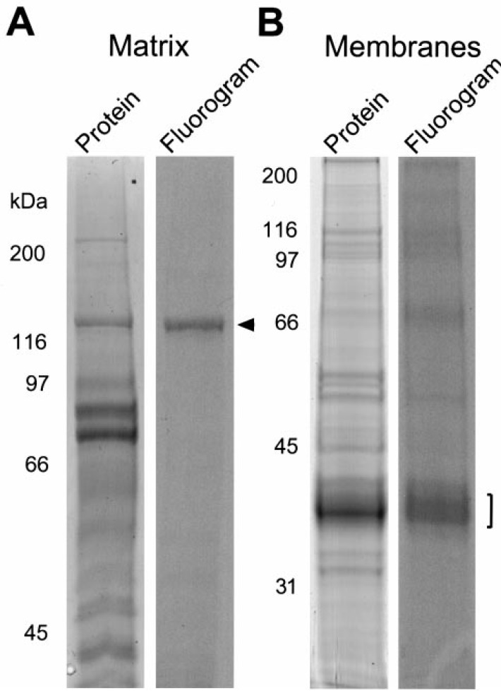
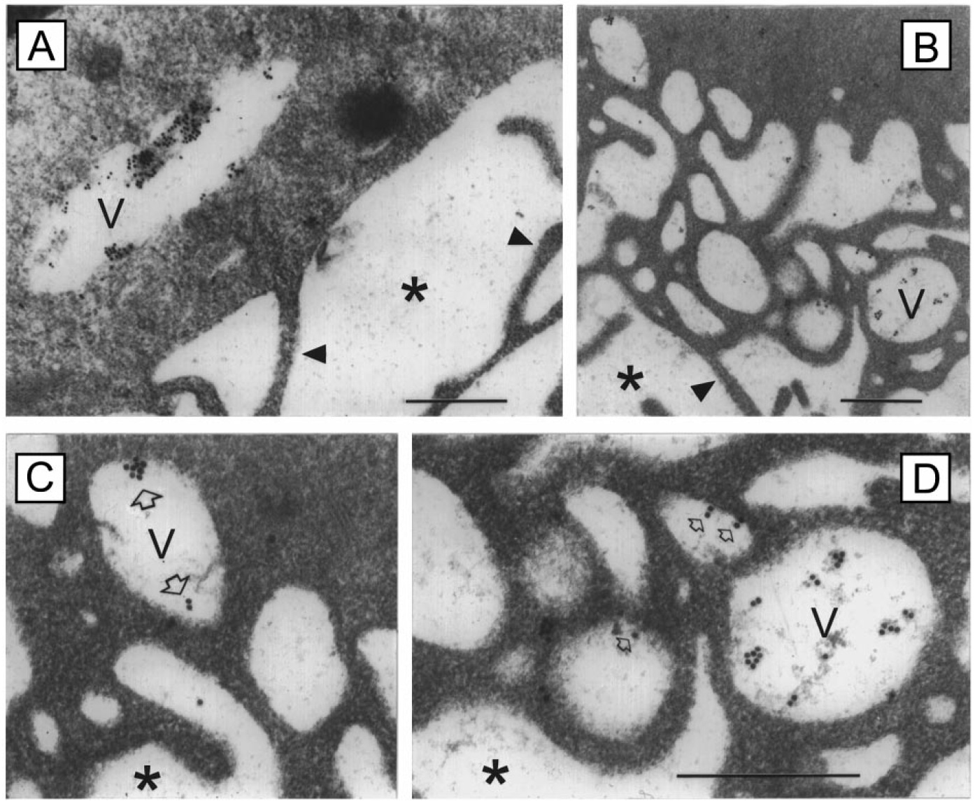
The interphotoreceptor matrix (IPM) is a highly-organized extracellular matrix critical to retinal development and function. Although the concentrations of its components are carefully regulated, little is known about the mechanisms of this regulation. Interphotoreceptor retinoid-binding protein (IRBP) is the most abundant soluble protein component of the IPM. Although its rate of clearance is thought to be an important factor regulating the concentration of IRBP within the IPM, no study has measured the rate of its extracellular turnover. Here we determine the rate of turnover of matrix IRBP in Xenopus. The rate of IRBP turnover was estimated by measuring the loss of radioactivity from protein labeled by a single injection of a radiolabeled protein precursor. To provide an estimate of the rate of IRBP turnover, we have examined the following issues: (1) Quantitative extraction of IRBP from the IPM for biochemical analysis. (2) Routes of delivery of radiolabeled precursor to achieve a pulse label in vivo. (3) Selection of labeled precursor in order to minimize reutilization of radiolabel. Using Western blot analysis, immunoprecipitation and immuno-electron microscopy, we found that IRBP can be quantitatively extracted from the IPM by a simple saline wash. IRBP was radiolabeled by systemic or intravitreal injection of either [35S]methionine or carboxyl-terminal labeled [1-14C]leucine. The specific activity of matrix IRBP was determined by either phosphorimaging or fluorography of Coomassie blue-stained SDS-polyacrylamide gels. Intravitreal injection of tracer was more effective than systemic delivery in achieving a pulse of radiolabel to the retina. This may be due to intravitreal injection allowing the body to act as a 'sink' for radiolabeled amino acid. When radiolabeled precursor was delivered by intravitreal injection, the calculated half-life of matrix IRBP using [35S]methionine was 25. 6+/-0.82 hr; in contrast, it was 10.7+/-2.9 hr using [1-14C]leucine. The faster apparent IRBP turnover using [1-14C]leucine is interpreted in context of the early decarboxylation of leucine during its degradation. Our results demonstrate rapid turnover of IRBP in the Xenopus IPM in vivo and suggest that the IPM is a dynamic structure undergoing continuous renewal.
???displayArticle.pubmedLink??? 10192797
???displayArticle.link??? Exp Eye Res
???displayArticle.grants???
Species referenced: Xenopus laevis
Genes referenced: grb10 rbp3
???displayArticle.antibodies??? Rbp3 Ab1
???attribute.lit??? ???displayArticles.show???
