Click here to close
Hello! We notice that you are using Internet Explorer, which is not supported by Xenbase and may cause the site to display incorrectly.
We suggest using a current version of Chrome,
FireFox, or Safari.
???displayArticle.abstract???
DNA binding activity and nuclear transport of B-Myb in Xenopus oocytes are negatively regulated. Two distinct sequence elements in the C-terminal portion of the protein are responsible for these different inhibitory activities. A C-terminal Xenopus B-Myb protein fragment inhibits the DNA binding activity of the N-terminal repeats in trans, indicating that intramolecular folding may result in masking of the DNA binding function. Xenopus B-Myb contains two separate nuclear localization signals (NLSs), which, in Xenopus oocytes, function only outside the context of the full-length protein. Fusion of an additional NLS to the full-length protein overcomes the inhibition of nuclear import, suggesting that masking of the NLS function rather than cytoplasmic anchoring is responsible for the negative regulation of Xenopus B-Myb nuclear transfer. During Xenopus embryogenesis, when inhibition of nuclear import is relieved, Xenopus B-myb is preferentially expressed in the developing nervous system and neural crest cells. Within the developing neural tube, Xenopus B-myb gene transcription occurs preferentially in proliferating, non-differentiated cells.
Figure 1
XB-myb is expressed in the developing nervous system during Xenopusembryogenesis. Whole-mount in situ hybridization experiments were carried out with XB-myb antisense RNA as a probe and staged Xenopus embryos. A, neural fold (stage 17) Xenopus embryo; arrowheads indicate eye anlagen. B and C, lateral view (B) and anterior view (C) of a tailbud (stage 24)Xenopus embryo. o.v., optic vesicle;n.c., neural crest; mes., mesencephalon;pro., prosencephalon. D, somiteXenopus embryo (stage 28); e, eye;b.a., branchial arches; ot.v., otic vesicle.E, transverse section of a stage 22 Xenopusembryo; mes., mesencephalon; op.ves.,optic vesicle. F and G, transverse sections of a stage 29/30 Xenopus embryo; mes., mesencephalon;c.m., ciliary margin; ot.v., otic vesicle;rom., rhombencephalon. Note preferential staining within the ventricular zone of the rhombencephalon.
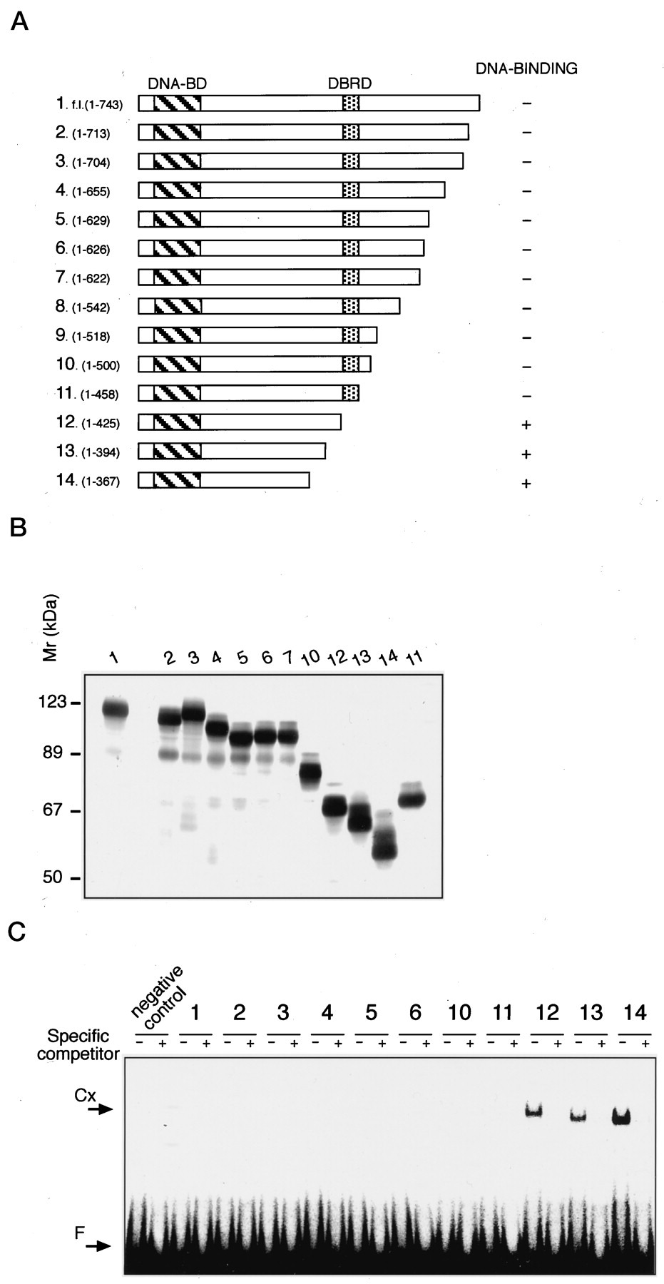
Figure 2
Mapping of the DNA-binding regulatory domain in Xenopus B-Myb. The DNA binding activity of a progressive series of C-terminal XB-Myb deletion mutants analyzed by electrophoretic mobility shift assays with the Myb-specific consensus DNA recognition site. A, schematic representation of C-terminal deletion mutants utilized; deletion end points as well as DNA binding activities are indicated. The positions of the DNA-binding repeats (DNA-BD) (40, 41) and of the DNA-binding regulatory domain (DBRD) as determined in this series of experiments are indicated. B, SDS-polyacrylamide gel electrophoresis of the in vitro transcription/translation products; numbering according to the schematic representation as shown in panel A. Proteins were radiolabeled by incorporation [35S]methionine. C, electrophoretic mobility shift assay with the 32P-radiolabeled Myb consensus DNA recognition site. Proteins were as shown in panels A and B. Cx denotes the position of the specific complexes, F the position of the free probe. Assays were performed either in the presence (+) or absence (â) of specific competitor DNA.
Figure 3
The C-terminal XB-Myb fragment inhibits DNA binding activity in trans. A, electrophoretic mobility shift assay with full-length (FL) XB-Myb, an N-terminal fragment (N) that contains the DNA-binding repeats (DNA-BD), and an internal fragment (C) that contains the DNA-binding regulatory domain (DBRD). N + C is a mixture of the two latter proteins. Cx denotes the position of the specific complex,F the position of the free probe. B, titration of the in trans inhibitory effect of the internal fragment (C) on the DNA binding activity of the N-terminal fragment (N). C, Western blot of the proteins utilized in the experiment shown in panel B.
Figure 5
XB-Myb carries two physically separate and functionally cooperative nuclear localization signals. A, kinetics of the nuclear transfer of N-terminal XB-Myb fragments containing mutations in either one of the two NLSs, or in both. Oocyte microinjections and protein recovery were performed as described in the legend to Fig. 4. The duration of oocyte incubation after protein microinjection is indicated above the assays.B, site-directed mutagenesis was performed in the NLS1. Three lysine residues were replaced by asparagines. C, quantification of the nuclear transfer as a percentage of total protein recovery in the nuclear fraction given in the form of a bar diagram for the four different protein variants as indicated.
Figure 6
The C terminus but not the DNA-binding domain is involved in the inhibition of XB-Myb nuclear transfer. A, temperature dependence of the nuclear transport of an internal XB-Myb protein fragment that contains NLS1 and NLS2. Microinjected oocytes were incubated for 5 h at either 4â°C or 18â°C prior to separation of nuclear and cytoplasmic fractions. TFIIIA, which is retained in the cytoplasm, was coinjected with the XB-Myb variants as an internal control for cytoplasm contamination in nuclear fractions (A and B). B, the transport regulatory domain inhibits active transport of the internal XB-Myb fragment in Xenopus oocytes.
Figure 7
Fusion of an additional NLS function relieves cytoplasmic retention of XB-Myb in Xenopusoocytes. Different portions of XB-Myb were fused to ribosomal protein L5, which is constitutively transported to the nucleus of Xenopus oocytes; the structure of the different fusion constructs is indicated. Oocyte microinjections and protein processing were performed as described in Fig. 4. A andB, fusion of a partial or of the entire TRD from XB-Myb does not interfere with nuclear transport of ribosomal protein L5 inXenopus oocytes. C, fusion of full-length XB-Myb to ribosomal protein L5 does not interfere with nuclear transport inXenopus oocytes.
mybl2 (v-myb avian myeloblastosis viral oncogene homolog-like 2) gene expression in Xenopus laevis embryo, assayed via in situ hybridization, NF stage 17, anterior view, dorsal up.