Click here to close
Hello! We notice that you are using Internet Explorer, which is not supported by Xenbase and may cause the site to display incorrectly.
We suggest using a current version of Chrome,
FireFox, or Safari.
???displayArticle.abstract???
The er1 gene is a novel fibroblast growth factor (FGF)-regulated immediate-early gene, first isolated from Xenopus blastulae, that encodes a nuclear protein with potent transcription transactivational activity (Paterno et al., 1997). We report here the expression pattern of the ER1 protein during Xenopus embryonic development. ER1 protein is present in the early embryo but does not begin to appear in the nucleus until the mid-blastula stage. The first cells to show nuclear localization of ER1 are the presumptive mesodermal cells of the stage 8 blastula. ER1 gradually becomes localized to the nucleus of the remaining cells, first in the presumptive ectoderm and finally, in the presumptive endoderm such that by late blastula, all nuclei in the animal hemisphere are stained. By early gastrula, nuclear staining is ubiquitous. During subsequent development, ER1 protein gradually disappears from the nuclei of various tissues. In tailbud stages, ER1 begins to disappear from the nucleus of ectodermally-derived tissues, such as epidermis and brain, while remaining localized in the nucleus of endodermal cells and of mesodermal tissues, such as somites and notochord. In tadpoles, ER1 is no longer detectable in the nucleus of any cells, except for a few endodermal cells. Cytoplasmic staining, on the other hand, is observed in some mesodermal tissues, including somites and muscle cells. Neural tissue is largely unstained except for weak cytoplasmic staining in the eye.
???displayArticle.pubmedLink???
10096069 ???displayArticle.link???Mech Dev
Fig. 2. Localization of ER1 to the nucleus begins during blastula stages. Albino embryos were fixed at stages 6.5 (A,B), 8 (C,D) or 8.5 (E,F) and stained with either pre-immune serum (A,C,E) or anti-ER1 (B,D,F). Nuclear staining (see arrows in D) first appears in the marginal zone cells (presumptive mesoderm) of stage 8 blastulae; by stage 8.5 (one additional cell division), virtually all nuclei in the animal hemisphere are stained (F). Bar = 0.1 mm.
Fig. 3. ER1 is concentrated in the nucleus of marginal zone cells in stage 8 blastulae. Embryos were fixed at stages 6.5 (A) or 8 (B), sectioned and stained with anti-ER1. (A) The nuclei (arrows) remain unstained in early cleavage stages. (B) At stage 8, the nuclei (arrows in B and D) in the marginal zone begin to stain for ER1 while nuclei in the endoderm (B) as well as nuclei (arrows in C) in the rest of the animal hemisphere remain unstained. Bars = 0.1 mm in A,B and 0.02 mm in C,D.
Fig. 4. ER1 is concentrated in the nucleus of all cells in stage 10 gastrulae. Embryos were fixed at stage 10, sectioned and stained with either pre- immune (A) or anti-ER1 (B). At stage 10, ER1 is concentrated in the nucleus in virtually all cells of the three germ layers; the arrow indicates the involuting lip; ar, archenteron; blc, blastocoel. Bars = 0.1 mm.
Fig. 5. ER1 begins to disappear from the nucleus in the epidermis and brain during tailbud stages. Embryos were fixed at stage 27, sectioned and stained with either pre-immune (A) or anti-ER1 (B-F). At stage 27, nuclei are stained in the endoderm (B), somites (arrows in B and E), notochord (arrows in F) as well as in most of the spinal cord (tailed arrows in F). Many of the nuclei in the brain (tailed arrows in B) and epidermis (arrows in C,D) are no longer stained, as illustrated by comparing the anti-ER1 stained epidermis and brain in (C) with the same section incu- bated with a fluorescent nuclear stain (D). The black arrows in (C) mark the position of the nuclei identified by white arrows in (D). Bars = 0.1 mm.
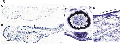
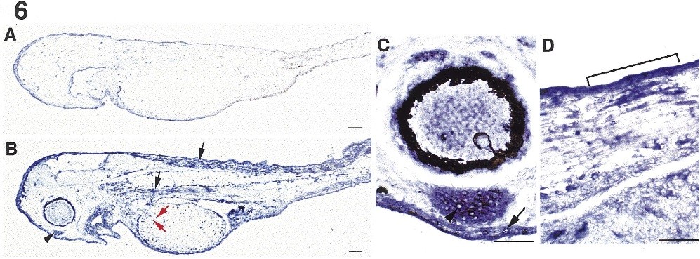
Fig. 6. ER1 is no longer concentrated in the nucleus in stage 41 tadpoles. Embryos were fixed at stage 41, sectioned and stained with either pre- immune (A) or anti-ER1 (B). At stage 41, staining is absent from neural tissue (B) except for weak cytoplasmic staining in the eye (C). Staining in mesodermal tissues is exclusively cytoplasmic and is observed in somites (tailed arrows in B and bracket in D) as well as in muscle cells (black arrows in B and C). Nuclear staining is also absent in the epidermis (tailed black arrow in C) but is still observed in some of the endodermal cells (tailed red arrows in B). Bars = 0.1 mm.