|
Fig. 3. Whole mount in situ hybridization analysis of XER81 expression during Xenopus embryogenesis. Staged Xenopus embryos were subjected to whole mount in situ hybridization with XER81 antisense RNA. (A) Blastula (stage 9) embryo (top, animal pole; bottom, vegetal pole). (B) Transverse section of the embryo shown in (A). (C) Gastrula (stage 11) embryo (top-animal hemisphere). (D) Transverse section of the embryo shown in (C). (E,H) Anterior view of staged embryos (stages are indicated). (I,J) Dorsal view of a neurula (stage 17) and a stage 22 embryo; abbreviation: pna, pronephros anlage. (K) Parasagital section of a neural tube stage embryo. (L) Analysis of XER81 expression in a tadpole (stage 34) embryo. (M) is a posterior detail from a sagital section, (N) gives anterior details from a dorsal to ventral series of horizontal sections. Abbreviations: aen, archencephalon; aet, archenteron; anp, anterior neural plate; anr, anterior neural ridge; ba, branchial arches; bc, blastocoel; bv, brain ventricle; cbc, circumblastoporal collar; cg, cement gland; cnh, chorda-neural hinge; dbl, dorsal blastopore lip; den, deuteroencephalon; enc, epithelial layer of neuroectoderm; end, endoderm; ev, ear vesicle; eym, endodermal yolk mass; eyv, eye vesicle; fb, forebrain; fge, foregut epithelium; hm, head mesenchyme; le, lens; mhb, midbrain/hindbrain boundary; mz, marginal zone; nc, notochord; ne, neuroectoderm; nec, neuroenteric canal; pfb, prospective forebrain; pna, pronephvic anlage; pnc, posterior notochord; pnd, pronephric duct; pw, posterior wall; scf, spinal cord floor; scr, spinal cord roof; snc, sensorial layer of neuroectoderm; tae, tip of archenteron; vbl, ventral blastopore lip; vym, vegetal yolk mass. |
|
Fig. 6. Overexpression of XER81 induces the formation of tail-like protrusions and inhibits eye development in Xenopus embryos. (A) Tadpole stage Xenopus embryo that had been injected with XER81 encoding mRNA into two ventral blastomeres at the four cell stage and exhibits formation of a tail-like protrusion. (B,D) A series of transverse sections from a region of the tadpole indicated in panel (A). Sections were stained with aniline blue and orange G, allowing distinction of neural mesodermal and endodermal cells. (E) Tadpole stage Xenopus embryo that had been injected with XER81 encoding mRNA into two dorsal blastomeres at the four cell stage and exhibits inhibition of eye development. (F,G) Transverse sections at the level of the eye with a control embryo (F) and an embryo that had been injected with XER81 encoding mRNA into both blastomeres at the two cell stage (G). |
|
etv1 (ets variant 1) gene expression in Xenopus laevis embryos, NF stage 9, as assayed by in situ hybridization, vegetal view, dorsal up. |
|
etv1 (ets variant 1) gene expression in Xenopus laevis embryos, NF stage 9, as assayed by in situ hybridization, anterior view, dorsal up. |
|
etv1 (ets variant 1) gene expression in Xenopus laevis embryos, NF stage 9, as assayed by in situ hybridization, anterior view, dorsal up. |
|
etv1 (ets variant 1) gene expression in Xenopus laevis embryos, NF stage 9, as assayed by in situ hybridization, dorsal view, anterior left. |
|
etv1 (ets variant 1) gene expression in Xenopus laevis embryos, NF stage 9, as assayed by in situ hybridization, lateral view, anterior left, dorsal up. |
|
Fig. 2. XER81 mRNA levels during Xenopus embryogenesis and in adult tissues. RT-PCR reactions were performed with RNA preparations from staged
embryos (upper) and from adult organs and tissues (lower) making use of primers specific for either XER81 or histone H4. Abbreviations: bl, bladder; br,
brain; ey, eye; fa, fat body; gu, gut; he, heart; in, intestine; ki, kidney; li, liver; lu, lung; mu, muscle; ov, ovary; sc, spinal cord; sk, skin; sp, spleen; st,
stomach; te, testis. |
|
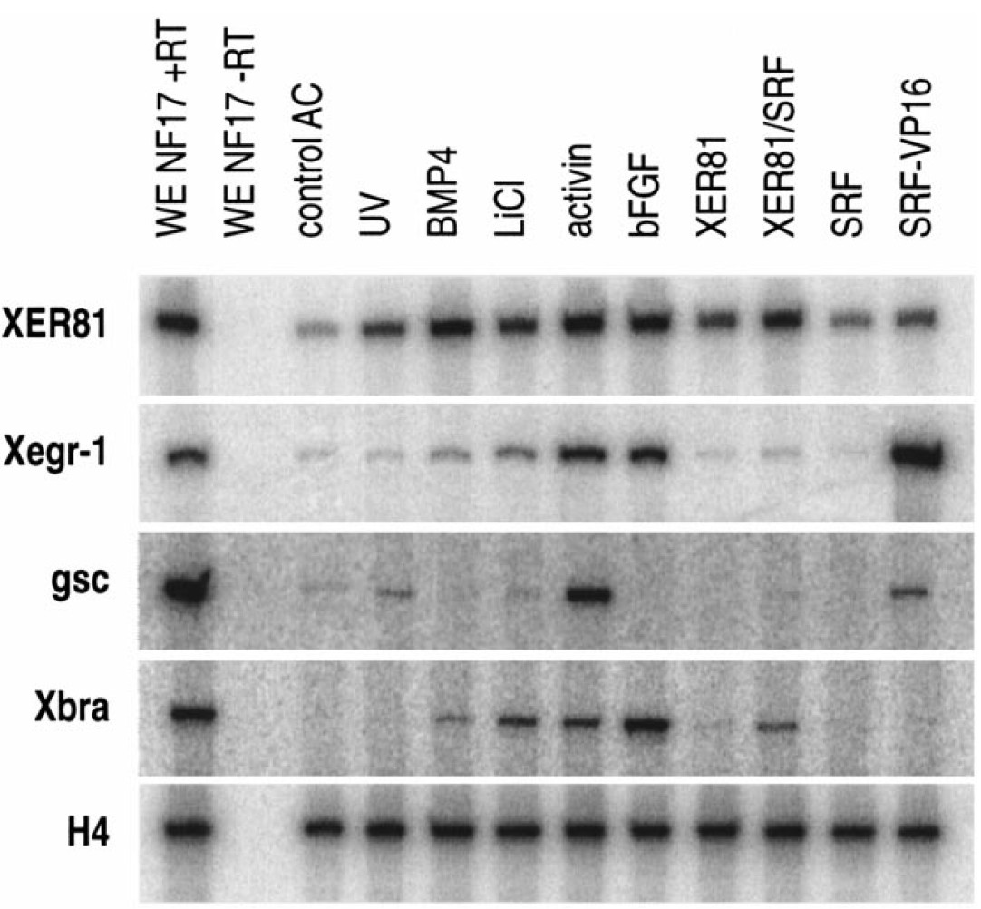
Fig. 4. Modulation of XER81 gene transcription in animal cap explants.
RT-PCR reactions were performed with RNA preparations from animal
caps that had been excised from Xenopus embryos which were injected
with mRNA encoding different peptide growth factors (as indicated),
mRNA encoding the transcription factor SRF or a constitutively active
form of SRF (SRF-VP16), or from embryos which had been either dorsalized
(LiCl) or ventralized (UV). Animal cap explants were cultivated to
the equivalent of stage 17. Control reactions were performed with total
RNA preparations from stage 17 embryos. |
|
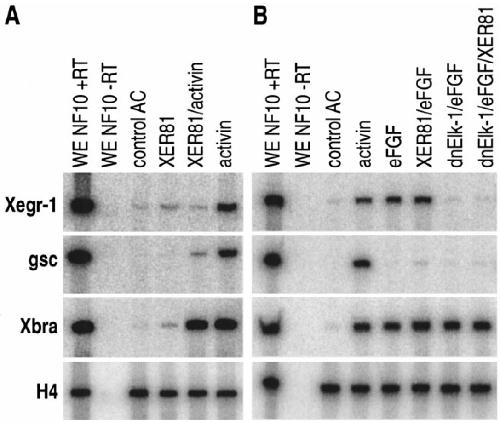
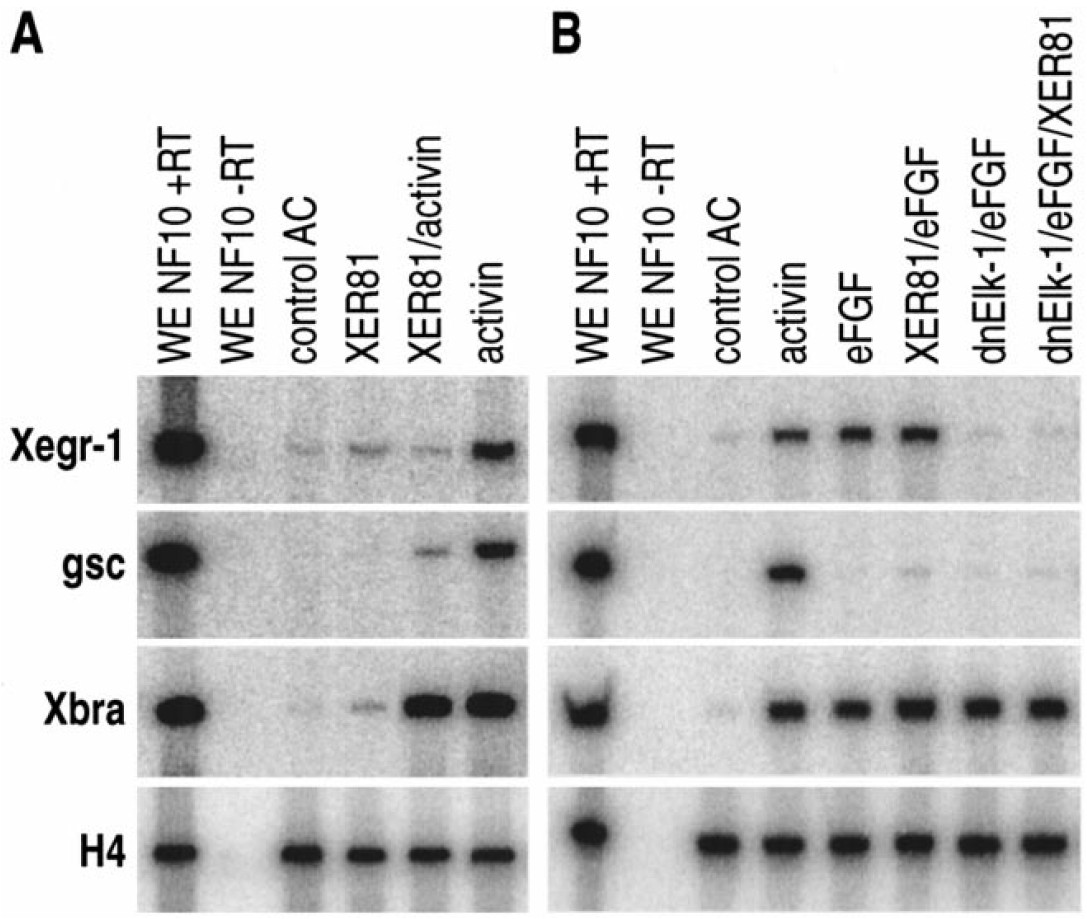
Fig. 5. Ectopic XER81 inhibits activin mediated induction of gsc in animal
cap explants. (A,B) RT-PCR reactions were performed with RNA preparations
from animal caps that had been excised from embryos injected with
isolated or combined mRNAs (as indicated). DnElk-1 is a dominant negative
variant of the ternary complex factor Elk-1. Animal cap explants were
cultivated to the equivalent of stage 10. Control reactions were performed
with total RNA preparations from stage 10 embryos. |