Click here to close
Hello! We notice that you are using Internet Explorer, which is not supported by Xenbase and may cause the site to display incorrectly.
We suggest using a current version of Chrome,
FireFox, or Safari.
Gene
1999 Mar 04;2281-2:133-45. doi: 10.1016/s0378-1119(98)00617-9.
Show Gene links
Show Anatomy links
Identification of four CCCH zinc finger proteins in Xenopus, including a novel vertebrate protein with four zinc fingers and severely restricted expression.
???displayArticle.abstract???
Tristetraprolin (TTP), the prototype of a class of CCCH zinc finger proteins, is a phosphoprotein that is rapidly and transiently induced by growth factors and serum in fibroblasts. Recent evidence suggests that a physiological function of TTP is to inhibit tumor necrosis factor alpha secretion from macrophages by binding to and destabilizing its mRNA (Carballo, E., Lai, W.S., Blackshear, P.J., 1998. Science, 281, 1001-1005). To investigate possible functions of CCCH proteins in early development of Xenopus, we isolated four Xenopus cDNAs encoding members of this class. Based on 49% overall amino acid identity and 84% amino acid identity within the double zinc finger domain, one of the Xenopus proteins (XC3H-1) appears to be the homologue of TTP. By similar analyses, XC3H-2 and XC3H-3 are homologues of ERF-1 (cMG1, TIS11B) and ERF-2 (TIS11D). A fourth protein, XC3H-4, is a previously unidentified member of the CCCH class of vertebrate zinc finger proteins; it contains four Cx8Cx5Cx3H repeats, two of which are YKTEL Cx8Cx5Cx3H repeats that are closely related to sequences found in the other CCCH proteins. Whereas XC3H-1, XC3H-2, and XC3H-3 were widely expressed in adult tissues, XC3H-4 mRNA was not detected in any of the adult tissues studied except for the ovary. Its expression appeared to be limited to the ovary, oocyte, egg and the early embryonic stages leading up to the mid-blastula transition. Its mRNA was highly expressed in oocytes of all ages, and was enriched in the animal pole cytosol of mature oocytes. Maternal expression was also seen with the other three messages, suggesting the possibility that these proteins are involved in regulating mRNA stability in oocyte maturation and/or early embryogenesis.
Fig. 1. Predicted amino acid sequence of XC3H-1 aligned with human TTP. The human DNA sequence is from Taylor et al. (1991) (Genbank
accession number M63625); the Xenopus DNA sequence is in Genbank (accession number AF061980). The CCCH residues in the two zinc finger
repeats are delineated by boxes; residues that are identical in both proteins are shaded in gray. The three PPPPG groups in the mouse sequence
are underlined. Amino acid positions are numbered on both sides. The alignment was performed using the ClustalW Alignment program in
MacVector 6.0 computer software (Oxford Molecular Group, Campbell, CA).
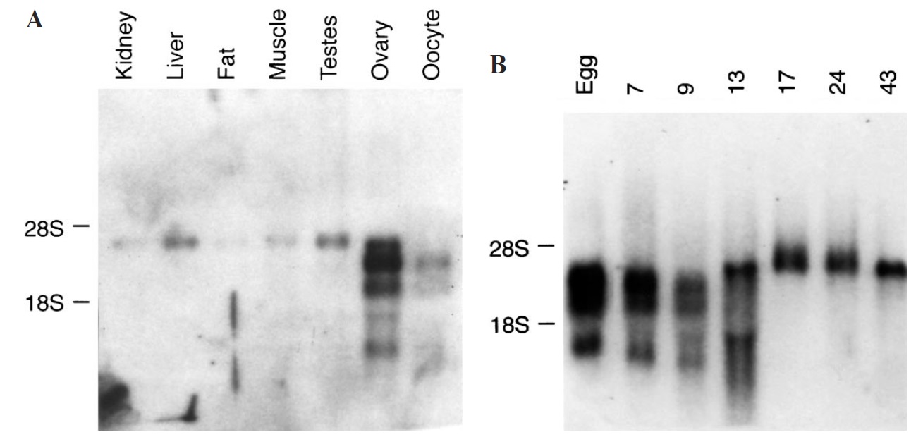
Fig. 2. Expression of XC3H-1 mRNA. Northern analysis was performed on total RNA (15 mg/lane) prepared from (A) adult tissues and (B)
embryos at different stages of development. The positions of the major species of ribosomal RNA are indicated. Blots were probed with the 1.6 kb
XC3H-1 cDNA. The ~4kb XC3H-1 transcript was widely expressed in the adult. It was detectable in the oocyte and egg, but only became
detectable in the embryo at stages 24 (tailbud) and 43 (tadpole).
Fig. 3. Predicted amino acid sequence of XC3H-2 aligned with human ERF-1. The human DNA sequence is from Barnard et al. (1993) (GenBank
accession number X71901); the Xenopus DNA sequence is in Genbank (accession number AF061981). All other symbols are as in the legend to Fig. 1.
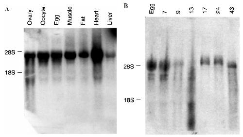
Fig. 4. Expression of XC3H-2 mRNA. Northern analysis was performed on total RNA (15 mg/lane) prepared from (A) adult tissues and (B)
embryos at different stages of development. Blots were probed with the 0.5 kb Bam H1 XC3H-2 cDNA fragment. Multiple transcripts, ~3 kb,
2.5 kb, and 1.3 kb in size, were present in the ovary, egg and early embryo. The 4 kb transcript that is widely expressed in the adult was first
detectable in the embryo at stage 13 ( late gastrula).
Fig. 5. Predicted amino acid sequence of XC3H-3 aligned with human ERF-2. The human DNA sequence is from Nie et al. (1995) (GenBank
accession number X78992). The Xenopus DNA sequence is in Genbank (accession number AF061982). All other symbols are as in the legend
to Fig. 1.
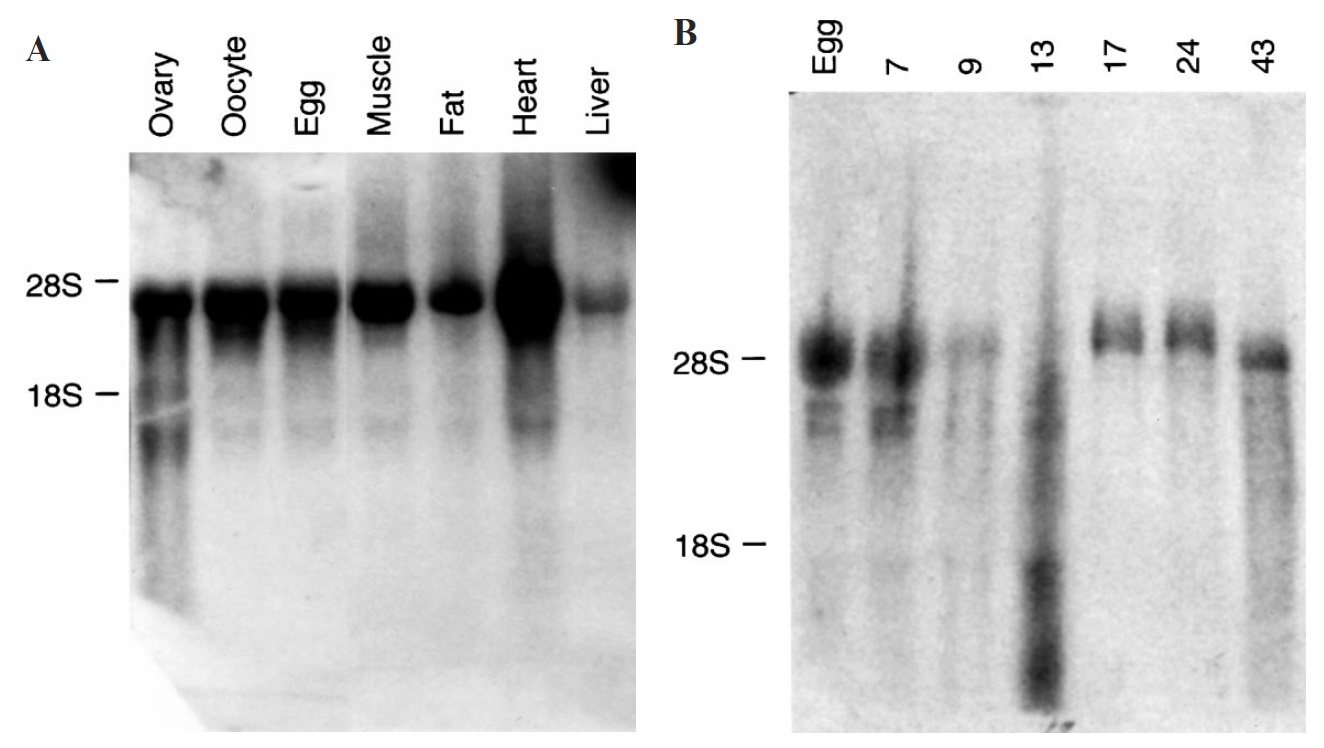
Fig. 6. Expression of XC3H-3 mRNA. Northern analysis was performed on total RNA (15 mg/lane) prepared from (A) adult tissues, oocytes, and
eggs and (B) embryos at different stages of development. Blots were probed with a (A) 0.5 kb EcoR1/Nco1 XC3H-3 cDNA and (B) 0.8 kb Sst1–
HindIII XC3H-3 cDNA. The ~4.4 kb transcript was expressed in all adult tissues tested, as well as oocytes and eggs; it was also expressed in the
embryo by stage 19.
Fig. 7. Predicted amino acid sequence of XC3H-4. The DNA sequence has been deposited in GenBank (accession number AF061983). (A) The
predicted amino acid sequence encoded by XC3H-4 cDNA is shown here. The four putative zinc finger motifs are shaded in gray; the CCCH
residues of the four zinc finger repeats are delineated by bold letters. Amino acid positions are numbered on the left. (B) Alignment of the four
zinc finger motifs in XC3H-4, from the most amino terminal (1) to the most carboxy terminal (4). All other symbols are as in the legend to Fig. 1.
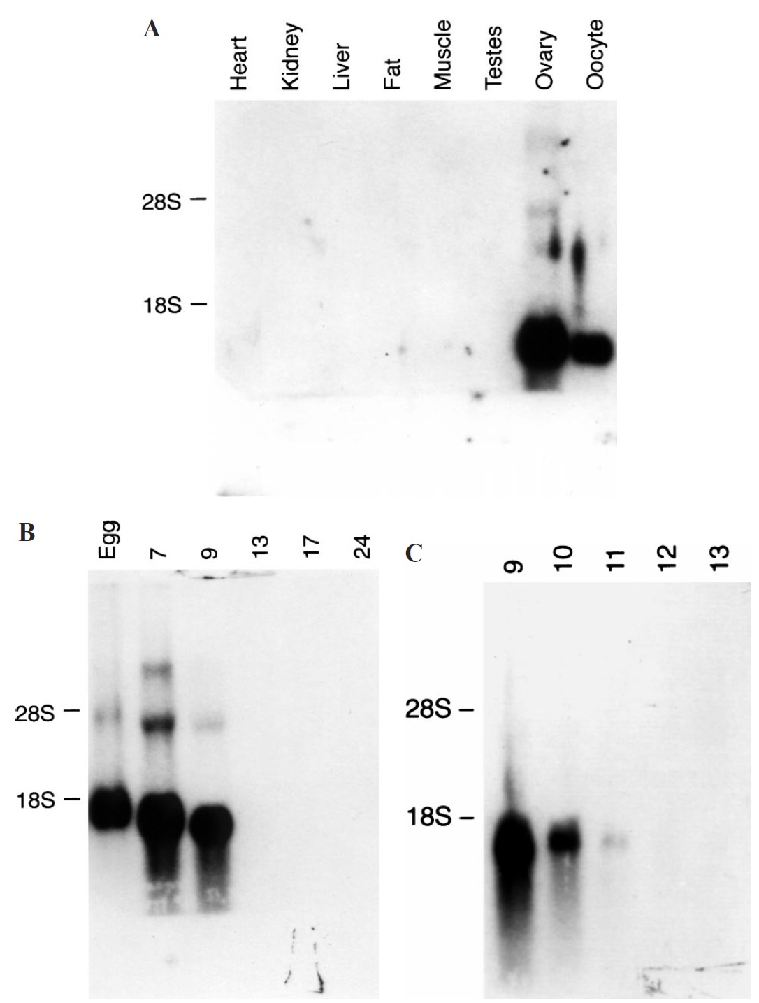
Fig. 8. Expression of XC3H-4 mRNA. Northern analysis was performed on total RNA prepared from (A) adult tissues (15 mg/lane), (B) embryos
at different stages in development (15 mg/lane), and (C) embryos from stages 9â13 (7 mg/lane). Blots were probed with the 0.8 kb Pst1 XC3H-4
cDNA. Expression of the ~1.2 kb transcript was limited to the ovary, egg and early embryo until stage 10 ( late blastula); there was no detectable
expression after the mid-blastula transition.
Fig. 9. In situ hybridization histochemistry of XC3H-4 mRNA expression in Xenopus ovary. In situ hybridization analysis was performed using
antisense (A, C, D, and E) and sense (B) digoxigenin-labeled XC3H-4 mRNA probes on formalin-fixed, paraffin-embedded Xenopus ovary sections.
Blue color represents the hybridization signal. A and B are neighboring sections of the same oocyte. A, animal pole; V, vegetal pole; N, nucleus;
O, ovary stromal tissue. The arrowheads in CâE point to developing oocytes. All photomicrographs were taken at the same magnification; the
bar=100 mm.