|
Figure 1. Hydrodynamic analysis of γ-tubulin in concentrated Drosophila embryo extracts. (Top) γ-tubulin immunoblots of Superose 6 gel filtration column fractions in buffer containing 100 μM GTP and 100 or 500 mM NaCl. Calibration standards for the Superose 6 column: bovine thyroglobulin (Stokes radius = 8.5 nm), horse spleen ferritin (6.1 nm), bovine liver catalase (5.22 nm), and bovine serum albumin (3.55 nm), as indicated with arrowheads. (Bottom) γ-tubulin immunoblots of 5–40% sucrose gradient fractions in buffer containing 100 μM GTP and 100 or 500 mM NaCl. Gradients were sedimented at 50,000 rpm for 4 h in an SW55 rotor at 4°C and fractionated from the top; gradient pellets are also shown (P). The peak locations of standards run on parallel gradients are indicated with arrowheads. Sucrose gradient standards: bovine serum albumin (4.3 S), rabbit muscle aldolase (7.35 S), bovine liver catalase (11.3 S), and porcine thyroglobulin (19.4S). |
|
Figure 3. Characterization of γ-tubulin–containing complexes isolated from Drosophila embryo extracts. γ-tubulin–containing complexes were immunoisolated and fractionated by sucrose gradient sedimentation in 100 mM NaCl. (A) 75 μl of each sucrose gradient fraction was TCA precipitated and analyzed by 10% SDS-PAGE and Coomassie staining. The sucrose gradient load is also shown. Peak fractions for standards run on a parallel gradient were: BSA (4.3 S), fraction 2.7; aldolase (7.35 S), fraction 4.0; catalase (11.3 S), fraction 5.6; and bovine thyroglobulin (19.4 S), fraction 8.0. (B) Protein profiles of γTuRC and γTuSC. γTuSC consists of the three most prominent bands in γTuRC. The profile of Drosophila γTuRC resembles that of Xenopus γTuRC (Zheng et al., 1995). (C) Schematic of the coverslip nucleation assay. The coverslip is washed and blocked with a BSA-containing buffer, incubated with the sample to be tested, rinsed to remove unbound protein, incubated with a mixture of unlabeled and rhodamine-labeled tubulin, fixed, and viewed using fluorescence microscopy. (D) Analysis of sucrose gradient fractions in A using the coverslip assay. The top two rows are equivalent exposures for fractions 3–14. The bottom row shows longer exposures (either 40× or 5× longer, as indicated) for some fractions. Bar, 10 μm. |
|
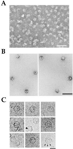
Figure 4. Structure of Drosophila γTuRC. (A and B) Negative stain electron microscopy of the peptide-eluted complexes (A) or of Drosophila γTuRC after isolation on a sucrose gradient (B). Bar, 100 nm. (C) A gallery of cryo-electron microscopy images of Drosophila γTuRC. Cryo-electron microscopy reveals a modular structure with ∼13 structural repeats (arrows) in a radial pattern. The ring has a diameter of ∼25 nm. Some internal structures are also apparent (arrowhead). Bar, 25 nm. |
|
Figure 5. Characterization of the γTuSC. (A) Immunoisolated γTuSC was fractionated on a 5–20% sucrose gradient in buffer containing 500 mM NaCl. Fractions were separated by SDS-PAGE on a 10% gel and stained with Coomassie blue. A standards gradient was run in parallel. Peak fractions for standards were: BSA (4.3 S), fraction 4.9; aldolase (7.35 S), fraction 7.5; and catalase (11.3 S), fraction 10.8. (B) Fractions from the gradient in A were dialyzed against buffer containing 100 mM NaCl and tested in the coverslip assay. Bar, 10 μm. (C) γTuSC from the sucrose gradient in 500 mM NaCl was fractionated by Superose 6 gel filtration in 500 mM NaCl (top), or was first dialyzed against buffer containing 100 mM NaCl and then fractionated by Superose-6 gel filtration in buffer containing 100 mM NaCl (bottom). Standards of known Stokes radius were used to calibrate the column. The peak fractions for the gel filtration standards were: bovine thyroglobulin (8.5 nm), fraction 13.5; horse spleen ferritin (6.1 nm), fraction 15.4; bovine liver catalase (5.22 nm), fraction 16.9; aldolase (4.81 nm), fraction 17.1; ovalbumin (3.05 nm), fraction 18.0; and chymotrypsinogen (2.09 nm), fraction 20.0. |
|
Figure 6. Comparison of the nucleating activity of peptide-eluted complexes and isolated γTuSC. (A) Representative fields from solution nucleation assays. Bar, 20 μm. (B) Quantitation of solution nucleation assays. MTs in 10 microscope fields were counted and the average number of MTs/field is plotted. Error bars represent the SEM. |
|
Figure 7. Dgrip91 and Dgrip84 associate and colocalize with γ-tubulin. (A) Clarified Drosophila embryo extract was immunoblotted for Dgrip91, Dgrip84, and γ-tubulin after separation on 10% SDS-PAGE gels (left). Each antibody recognizes a band of the expected molecular weight. Both Dgrip91 and Dgrip84 comigrate with γ-tubulin on sucrose gradients of embryo extract (right). (B) Immunofluorescence of early Drosophila embryos with antibodies against Dgrip91, Dgrip84, and γ-tubulin. Both Dgrip84 (top) and Dgrip91 (bottom) localize to centrosomes and to the mitotic spindle in a fashion that is indistinguishable from the localization of γ-tubulin. Examples of embryos in interphase and mitosis are shown for each antibody. Bar, 15 μm. |
|
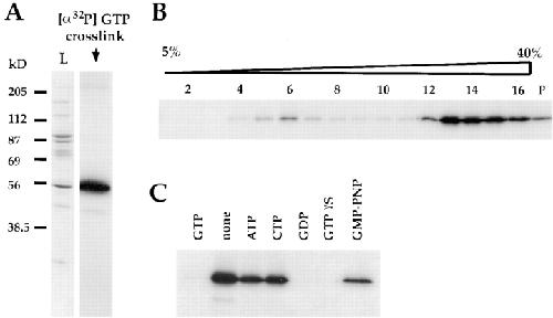
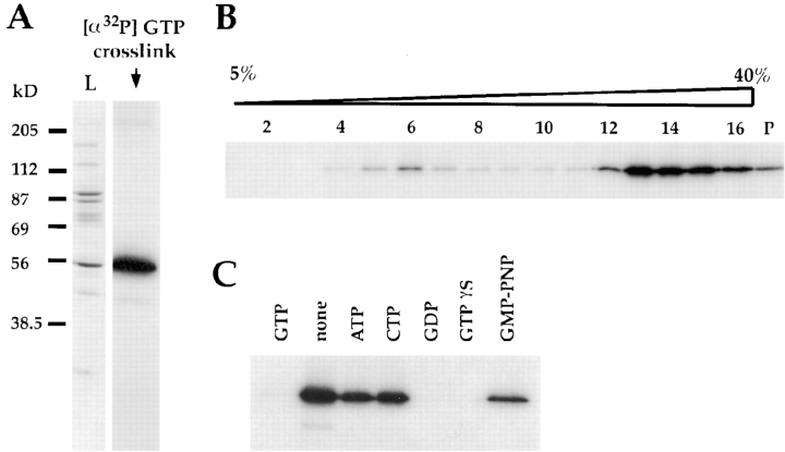
Figure 8. Photo cross-linking of radiolabeled GTP to γ-tubulin in γTuSC and γTuRC. (A) GTP cross-linking of peptide-eluted complexes. γ-tubulin is the only protein that cross-links to GTP. (B) GTP cross-linking after sucrose gradient fractionation of the material in A, demonstrating that γ-tubulin in both γTuSC and γTuRC cross-links to GTP. (C) Competition of the GTP cross-link of the material in A with 200-fold excess of the indicated unlabeled nucleotides. |
|
Figure 9. Analysis of nucleotide bound to γ-tubulin in γTuSC, a comparison with αβ-tubulin dimer. Desalting was used to remove free nucleotide from samples of purified γTuSC or αβ-tubulin. Bound nucleotide was released by urea treatment and analyzed on a mono Q column. Arrows indicate the elution positions of GDP and GTP. For samples containing protein (B, C, E, and F), a gel lane of the desalted sample is shown to the right of the UV trace. (A–C) Nucleotide analysis after isolation from buffer containing 20 μM GDP. (A) After desalting of control buffer no nucleotide is detected (the broad peak just to the left of the GDP arrow is a background peak). (B) Both GDP and GTP are bound to αβ-tubulin dimer (for quantitation see Table II: 20 μM GDP, experiment 3). (C) Exclusively, GDP binds to γ-tubulin in γTuSC (for quantitation see Table II: 20 μM GDP, experiment 3). (D–F) Nucleotide analysis after isolation from buffer containing 20 μM GTP. (D) Although GTP is desalted slightly less efficiently than GDP (compare with A), >99.9% of free GTP is removed from control buffer. (E) Exclusively, GTP binds αβ-tubulin dimer (for quantitation see Table II: 20 μM GTP, experiment 1). (F) Small amounts of both GDP and GTP are detected bound to γ-tubulin in the γTuSC (for quantitation see Table II: 20 μM GTP, experiment 1). (G) Summary of nucleotide analysis from three independent experiments (raw data shown in Table II). Bar graphs indicate the ratio of bound nucleotide per αβ-tubulin dimer, or γ-tubulin monomer in γTuSC after isolation from buffers containing 20 μM GDP or 20 μM GTP. Error bars represent the SEM. The ratio of GDP/GTP recovered when we desalt αβ-tubulin dimer from buffer containing GDP is very reproducible (0.733 ± 0.015, n = 5) suggesting that the protein concentration determined by densitometry is the least accurate parameter in this analysis. This ratio also suggests that we are recovering ∼73% of the GDP bound to the β-tubulin E-site. |