Click here to close
Hello! We notice that you are using Internet Explorer, which is not supported by Xenbase and may cause the site to display incorrectly.
We suggest using a current version of Chrome,
FireFox, or Safari.
???displayArticle.abstract???
The mouse genome contains a small family of homeobox genes related to Hox11, but relatively little is known about the expression of these genes during early development. Hox11 itself is expressed in the embryonic spleen, among other tissues, and is required for its formation. No description of Hox11L2 expression has been presented previously. We have isolated the Xenopus orthologs of Hox11 and Hox11L2 and have carefully compared their expression patterns during embryogenesis. The localization of Xhox11 transcripts in the branchial arches, cranial sensory ganglia and spinal cord is similar, but not identical, to that of mouse Hox11. Xhox11 expression is not detected in the developing spleen. XHox11L2 is expressed exclusively in a portion of the primary sensory system in the frog embryo, including the cranial sensory ganglia and the Rohon-Beard sensory neurons. There is significant overlap in the patterns of Xhox11 and XHox11L2 expression in the spinal cord and cranial sensory ganglia during early development, suggesting that they may function redundantly in these tissues. The timing of Xhox11 and Xhox11L2 expression indicates that Hox11-family members may participate in the final stages of the differentiation process.
Fig. 2. Expression of XHox11 and XHox11L2 during embryogenesis, assayed by whole-mount in situ hybridization. A, B, C, F, G: Photographed at 325. D,E: Photographed at 380. A: Stage 25 embryo showing XHox11 expression in the visceral arches, cranial nerves, hindbrain, and spinal cord. B: Stage 24 embryo stained for XHox11L2. Notice expression in the trigeminal ganglia and spinal cord. C: Dorsal view of a stage 24 embryo assayed for XHox11L2 expression. D: XHox11 expression in the branchial arches, V, VII/VIII, IX, and X cranial ganglia, and the hindbrain of a stage 30 embryo. E: A stage 30 embryo showing XHox11L2 expression in the V, VII/VIII, IX, and X cranial ganglia, as well as in the spinal cord. F: XHox11 expression at stage 37 is restricted to the branchial arches, hindbrain, and cranial nerves VIII and X. G: A stage 37 embryo showing expression of XHox11L2 in the hindbrain, spinal cord, and cranial nerves V, IX, and X. hb, hindbrain; sc, spinal cord; va, visceral arches; V, trigeminal ganglia; VII, facial ganglia; VIII, acoustic ganglia; IX, glossopharyngeal ganglia; X, vagus ganglia.
Fig. 3. Expression of XHox11 in the visceral arches. A: Cross section through visceral arch 1 of a stage 20 embryo. XHox11 is expressed in the migrating paraxial mesoderm. B: Frontal section through the visceral arch
region of a stage 32 embryo showing transcripts localized in the muscle plates of the mandibular (m), hyoid (h), and 1st branchial (1b) arches. C: Cross section of a stage 32 embryo at the level of the mandibular arch shows expression in the developing thyroid gland (th). cg, cement gland. Brown color is natural pigmentation.
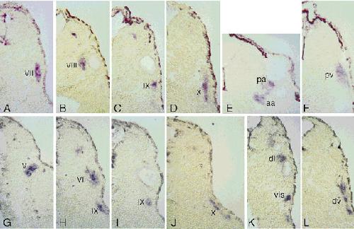
Fig. 4. Expression of XHox11 and XHox11L2 in the cranial sensory ganglia. A are cross-sections of XHox11 stained embryos, while G are stained for XHox11L2. A are sections of the same stage 30 embryo between the eye and otic vesicle (A), at the anterior of the otic vesicle (B), at the middle of the otic vesicle (C), and posterior of the otic vesicle (D). A: XHox11 transcripts are detected in the developing VII/VIII nerveganglia. B: The region of staining medial to the otic vesicle is continuous with that in A and will become the acoustic ganglia of the VIII nerve. C: Another region of XHox11 expression ventral to the otic vesicle corresponds to the IX ganglia. D: Expression in the primitive vagus (X) ganglion forming mass. E: Expression of XHox11 in the cranial nerves of a stage 37 embryo is restricted to the anterior and posterior acoustic ganglia (E) and the proximal portion of the vagus ganglia (F). G are sections of the same stage 30 embryo at the posterior of the eye (G), anterior of the otic vesicle (H), through the otic vesicle (I), and posterior of the otic vesicle (J). G: XHox11L2 expression is detected in the opthalmic ganglion of the trigeminal (V) nerve. Other portions of the trigeminal nerve are not seen in this section but also express XHox11L2. H: XHox11L2 is detected in the developing VII ganglia. I: The staining ventral to the otic vesicle is continuous with the ventral staining seen in H, and corresponds to the IX ganglion. J: XHox11L2 transcripts are detected in the forming vagus (X) ganglia. K,L: By stage 37, XHox11L2 is restricted to the dorsolateral VII above the otic vesicle (K), visceralis IX ventral to the otic vesicle (K), and the distal portion of the X (L). aa, anterior acoustic; dl, dorsolateral VII; dv, distal vagus; pa, posterior acoustic; pv, proximal vagus; vis, visceralis IX.
Fig. 5. Comparison of XHox11 and XHox11L2 expression in the spinal
cord and brain. A: At stage 23, XHox11 is expressed weakly in a speciï¬c
dorsolateral region of the spinal cord. B: XHox11L2 is also expressed in a
dorsolateral region of the spinal cord at stage 25. It is more abundant and
widespread than XHox11. C,D: XHox11L2 expression is maintained in the
spinal cord of stage 30 (C) and 37 (D) embryos. During this time, the
staining moves from a dorsolateral to a dorsal position. E,F: XHox11
transcripts are detected in a dorsolateral region of the hindbrain overlying
the otic vesicle. At stage 30 (E), the staining is located toward the
periphery of the spinal cord, while by stage 37 (F) it has migrated toward
the center. G,H: XHox11L2 is also detected in a region of the hindbrain. G:
Stage 30 embryo showing expression at the outer margin of the brain. H:
By stage 37, XHox11L2 staining has begun to move medially. O, otic
vesicle; V, trigeminal nerve; VIII, acoustic nerve.