Click here to close
Hello! We notice that you are using Internet Explorer, which is not supported by Xenbase and may cause the site to display incorrectly.
We suggest using a current version of Chrome,
FireFox, or Safari.
pEg7, a new Xenopus protein required for mitotic chromosome condensation in egg extracts.
Cubizolles F, Legagneux V, Le Guellec R, Chartrain I, Uzbekov R, Ford C, Le Guellec K.
???displayArticle.abstract???
We have isolated a cDNA, Eg7, corresponding to a Xenopus maternal mRNA, which is polyadenylated in mature oocytes and deadenylated in early embryos. This maternal mRNA encodes a protein, pEg7, whose expression is strongly increased during oocyte maturation. The tissue and cell expression pattern of pEg7 indicates that this protein is only readily detected in cultured cells and germ cells. Immunolocalization in Xenopus cultured cells indicates that pEg7 concentrates onto chromosomes during mitosis. A similar localization of pEg7 is observed when sperm chromatin is allowed to form mitotic chromosomes in cytostatic factor-arrested egg extracts. Incubating these extracts with antibodies directed against two distinct parts of pEg7 provokes a strong inhibition of the condensation and resolution of mitotic chromosomes. Biochemical experiments show that pEg7 associates with Xenopus chromosome-associated polypeptides C and E, two components of the 13S condensin.
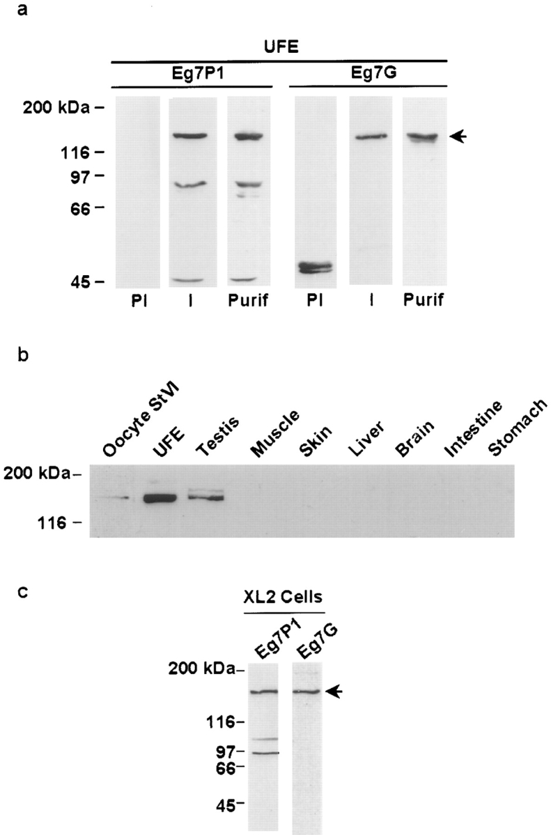
Figure 2. Expression of pEg7. (a) Pattern of the proteins revealed by antiâpEg7 P1 and antiâpEg7 G antibodies. Protein samples corresponding to one unfertilized egg were separated by SDS-PAGE and transferred onto nitrocellulose. The blots were probed with preimmune serums, immune serums, or purified antibodies as indicated. Positions of the molecular weight markers are indicated at the left. The position of pEg7 is indicated by an arrow. (b) Tissue expression of pEg7. Protein samples (40 μg) from each different tissue were separated by SDS-PAGE, transferred to a nitrocellulose filter, and probed with purified antiâ pEG7 P1 antibodies. (c) Expression of pEg7 in Xl2 culture cells. Protein samples corresponding to 1.6 à 105 cells were processed as described above and probed with purified antiâpEg7 P1 or antiâpEg7 G antibodies as indicated.
Figure 3. Immunolocalization of pEg7 in Xenopus Xl2 culture cells. The cells were observed in phase contrast (A, D, G, J, M, P, S), and DNA was stained with DAPI (B, E, H, K, N, Q, T). pEg7 was detected by indirect immunofluorescence using purified anti–pEg7 G antibodies (C, F, I, L, O, R, U). (S) Arrow indicates the midbody. Bar, 10 μm.
Figure 4. Immunolocalization of pEg7 on mitotic chromosomes assembled in vitro. Chromosomes were assembled under standard conditions (see Materials and Methods) and aliquots were taken to analyze DNA at different time points. Samples were fixed and DNA was stained with ethidium bromide (a, c, e, g, i, and k) and pEg7 was detected by indirect immunofluorescence using anti–pEg7 G immune serum (b, d, f, h, and j) or preimmune serum as a control (l). (a and b) 0 min, (c and d) 15 min, (e and f) 30 min, (g and h) 60 min, (i–l) 120 min. Bar, 5 μm.
Figure 5. pEg7 is required for assembly of mitotic chromosomes in vitro. (Left) Samples from high-speed mitotic extracts (1 μl) were separated by SDS-PAGE, transferred to a nitrocellulose filter, and probed with nonimmune immunoglobulins, purified anti–pEg7 P1 or purified anti–pEg7 G antibodies as indicated. (Right) Chromosomes were assembled in the presence of IgG (a–c), purified anti–pEg7 G antibodies (d–f), or purified anti–pEg7 P1 antibodies (g–i). Samples were taken at different time points and fixed. DNA was stained with ethidium bromide: (a, d, and g) 30 min, (b, e, and h) 60 min, (c, f, and i) 120 min. Bar, 5 μm.
Figure 6. pEg7 is a component of the 13S condensin complex. (a) Immunoprecipitation of XCAP-E was performed using preimmune serum (lane 2) or immune serum (lane 3). Immunoprecipitates were analyzed on SDS-PAGE, transferred to a nitrocellulose filter, and probed with anti–XCAP-E (top), anti–XCAP-C (middle), or anti–pEg7 P1 (bottom). An unfertilized egg was used as an internal standard (lane 1). (b) Immunoprecipitation of pEg7 was performed using anti–pEg7 P1 immune serum (lane 2) or preimmune serum (lane 3). Immunoprecipitates were analyzed on SDS-PAGE, transferred to a nitrocellulose filter, and probed with anti–pEg7 P1, anti–XCAP-E, anti–XCAP-C, and anti–topoisomerase IIα (top to bottom).
Adachi,
Chromosome assembly in vitro: topoisomerase II is required for condensation.
1991, Pubmed,
Xenbase
Adachi,
Chromosome assembly in vitro: topoisomerase II is required for condensation.
1991,
Pubmed
,
Xenbase Bhat,
Chromatid segregation at anaphase requires the barren product, a novel chromosome-associated protein that interacts with Topoisomerase II.
1996,
Pubmed Bravo,
Classes of proteins synthesized in oocytes, eggs, embryos, and differentiated tissues of Xenopus laevis.
1979,
Pubmed
,
Xenbase Earnshaw,
Topoisomerase II is a structural component of mitotic chromosome scaffolds.
1985,
Pubmed Gasser,
Chromosome structure. Coiling up chromosomes.
1995,
Pubmed Hirano,
Topoisomerase II does not play a scaffolding role in the organization of mitotic chromosomes assembled in Xenopus egg extracts.
1993,
Pubmed
,
Xenbase Hirano,
Cell cycle control of higher-order chromatin assembly around naked DNA in vitro.
1991,
Pubmed
,
Xenbase Hirano,
Condensins, chromosome condensation protein complexes containing XCAP-C, XCAP-E and a Xenopus homolog of the Drosophila Barren protein.
1997,
Pubmed
,
Xenbase Hirano,
A heterodimeric coiled-coil protein required for mitotic chromosome condensation in vitro.
1994,
Pubmed
,
Xenbase Hirano,
The SMC family: from chromosome condensation to dosage compensation.
1995,
Pubmed
,
Xenbase Hirano,
Biochemical and genetic dissection of mitotic chromosome condensation.
1995,
Pubmed Hutchison,
Periodic DNA synthesis in cell-free extracts of Xenopus eggs.
1987,
Pubmed
,
Xenbase Hutchison,
The control of DNA replication in a cell-free extract that recapitulates a basic cell cycle in vitro.
1988,
Pubmed
,
Xenbase Jessberger,
Chromosome dynamics: the SMC protein family.
1998,
Pubmed Jessberger,
SMC proteins constitute two subunits of the mammalian recombination complex RC-1.
1996,
Pubmed
,
Xenbase Koshland,
Mitotic chromosome condensation.
1996,
Pubmed Laemmli,
Cleavage of structural proteins during the assembly of the head of bacteriophage T4.
1970,
Pubmed Le Guellec,
Cloning by differential screening of a Xenopus cDNA that encodes a kinesin-related protein.
1991,
Pubmed
,
Xenbase Lieb,
MIX-1: an essential component of the C. elegans mitotic machinery executes X chromosome dosage compensation.
1998,
Pubmed Luke,
Quantitation of type II topoisomerase in oocytes and eggs of Xenopus laevis.
1989,
Pubmed
,
Xenbase Michaelis,
Cohesins: chromosomal proteins that prevent premature separation of sister chromatids.
1997,
Pubmed Murray,
Cyclin synthesis drives the early embryonic cell cycle.
1989,
Pubmed
,
Xenbase Murray,
Cell cycle extracts.
1991,
Pubmed Newport,
Disassembly of the nucleus in mitotic extracts: membrane vesicularization, lamin disassembly, and chromosome condensation are independent processes.
1987,
Pubmed
,
Xenbase Newport,
A major developmental transition in early Xenopus embryos: I. characterization and timing of cellular changes at the midblastula stage.
1982,
Pubmed
,
Xenbase Osborne,
Translational control by polyadenylation during early development.
1997,
Pubmed
,
Xenbase Paris,
Poly(A) metabolism and polysomal recruitment of maternal mRNAs during early Xenopus development.
1990,
Pubmed
,
Xenbase Paris,
Cloning by differential screening of a Xenopus cDNA coding for a protein highly homologous to cdc2.
1991,
Pubmed
,
Xenbase Pearson,
Improved tools for biological sequence comparison.
1988,
Pubmed Roghi,
The Xenopus protein kinase pEg2 associates with the centrosome in a cell cycle-dependent manner, binds to the spindle microtubules and is involved in bipolar mitotic spindle assembly.
1998,
Pubmed
,
Xenbase Saka,
Fission yeast cut3 and cut14, members of a ubiquitous protein family, are required for chromosome condensation and segregation in mitosis.
1994,
Pubmed Sanger,
DNA sequencing with chain-terminating inhibitors.
1977,
Pubmed Sawin,
Mitotic spindle organization by a plus-end-directed microtubule motor.
1992,
Pubmed
,
Xenbase Smith,
Protein synthesis and messenger RNA levels along the animal-vegetal axis during early Xenopus development.
1986,
Pubmed
,
Xenbase Strunnikov,
SMC2, a Saccharomyces cerevisiae gene essential for chromosome segregation and condensation, defines a subgroup within the SMC family.
1995,
Pubmed Sutani,
DNA renaturation activity of the SMC complex implicated in chromosome condensation.
1997,
Pubmed Uemura,
DNA topoisomerase II is required for condensation and separation of mitotic chromosomes in S. pombe.
1987,
Pubmed