Click here to close
Hello! We notice that you are using Internet Explorer, which is not supported by Xenbase and may cause the site to display incorrectly.
We suggest using a current version of Chrome,
FireFox, or Safari.
???displayArticle.abstract??? Xklp2 is a plus end-directed Xenopus kinesin-like protein localized at spindle poles and required for centrosome separation during spindle assembly in Xenopus egg extracts. A glutathione-S-transferase fusion protein containing the COOH-terminal domain of Xklp2 (GST-Xklp2-Tail) was previously found to localize to spindle poles (Boleti, H., E. Karsenti, and I. Vernos. 1996. Cell. 84:49-59). Now, we have examined the mechanism of localization of GST-Xklp2-Tail. Immunofluorescence and electron microscopy showed that Xklp2 and GST-Xklp2-Tail localize specifically to the minus ends of spindle pole and aster microtubules in mitotic, but not in interphase, Xenopus egg extracts. We found that dimerization and a COOH-terminal leucine zipper are required for this localization: a single point mutation in the leucine zipper prevented targeting. The mechanism of localization is complex and two additional factors in mitotic egg extracts are required for the targeting of GST-Xklp2-Tail to microtubule minus ends: (a) a novel 100-kD microtubule-associated protein that we named TPX2 (Targeting protein for Xklp2) that mediates the binding of GST-Xklp2-Tail to microtubules and (b) the dynein-dynactin complex that is required for the accumulation of GST-Xklp2-Tail at microtubule minus ends. We propose two molecular mechanisms that could account for the localization of Xklp2 to microtubule minus ends.
Figure 2. Both endogenous Xklp2 and GST-Xklp2-Tail localize to microtubule minus ends in mitotic asters in the absence of centrosomes. (A–C) Localization of GST-Xklp2-Tail. Microtubules are red, anti-GST-staining is green. (A) Aster nucleated by human centrosomes, (B) Aster assembled in the presence of 5% DMSO, (C) Spindle assembled around chromatin beads (Heald et al., 1996). Although there are no centrosomes present in B and C, GST-Xklp2-Tail accumulates at the center of the asters or the spindle poles, respectively. (D–F) The COOH-terminal domain of Xklp2 is necessary and sufficient for localization. (D) Coomassie-stained SDS-PAGE of GST-Xklp2-Stalk (amino acids 363–1137, S) and GST-Xklp2-Tail (amino acids 1137–1387, T). GST-Xklp2-Stalk does not localize to the center of taxol-induced mitotic asters (E) whereas GST-Xklp2-Tail does in a parallel experiment (F). (G and H) Depolymerization of microtubules eliminates GST-Xklp2-Tail staining around centrosomes. Centrosomes are red, anti-GST-staining is green, microtubules are not shown. (G) Aster nucleated by human centrosomes in the presence of 2 μM GST-Xklp2-Tail and stained with the human anti-centrosome antibody, (H) Asters assembled as in G, but treated with 5 μM nocodazole and incubated for 5 min on ice before fixation. (J) Western blot of 0.5 μl egg extract probed with an affinity-purified anti-Xklp2-Tail antibody. The antibody strongly recognizes a band of 160 kD. (K) Localization of the endogenous Xklp2. Microtubules are red, anti-Xklp2-staining is green. Asters were assembled with 5% DMSO in the presence of FITC-labeled tubulin and stained with the anti-Xklp2-Tail antibody (∼5 μg/ml) and a Cy3-conjugated secondary antibody. The anti-Xklp2-Tail antibody stained the center of the DMSO-asters. Bars, 10 μm.
Figure 3. Localization of GST-Xklp2-Tail by immunoelectron microscopy. (A) Aster nucleated by purified human centrosomes in mitotic 10,000 g egg extract in the presence of 2 μM GST-Xklp2-Tail, stained with an anti-GST-antibody. The centrosomes are not visible in this section. (B) Centrosomes in the center of mitotic asters from the same sample. Gold particles were observed along microtubule minus ends but not on centrosomes. Arrowheads point to microtubules in cross-section, revealing the distance between gold particles and the microtubules. We did not observe any labeling in negative controls when the primary antibody was omitted or when the mutant fusion protein missing the leucine zipper (GST-Xklp2-CDel2) was added to the reaction instead of the tail (data not shown). Bars, 200 nm.
Figure 4. Biochemical analysis of Xklp2 cosedimentation with microtubules. Taxol (1 μM) and the m70.1 antibody (1–2 mg/ml) were added as indicated to 150,000 g egg extracts and the reactions incubated for 30 min at 20°C. M, mitotic extract, I, interphase extract. Microtubule pellets (corresponding to 5 μl of extract) and soluble fractions (corresponding to 0.25 μl of extract) were analyzed on Coomassie-stained gels and Western blots probed for the proteins indicated (DIC, dynein intermediate chain). (A) Sedimentation of endogenous Xklp2. (B) Sedimentation when either GST-Xklp2-Tail, T, or GST-Xklp2-LtoK, K, were added to the extract at 0.3 μM. Xklp2 as well as the GST-Xklp2-Tail sediment with microtubules in a mitotic cytoplasm. GST-Xklp2-Tail (52 kD) runs very close to the tubulin doublet. This is why the band on the Western blot of the microtubule pellet appears broadened. Also the dynein intermediate chain is enriched in mitotic microtubule pellets. When the m70.1 antibody is added the dynein intermediate chain is not associated with microtubules anymore and the binding of Xklp2 and GST-Xklp2-Tail to microtubules is reduced. The molecular mass of marker proteins is indicated on the right.
Figure 5. Localization of the truncated GST-Xklp2-Tail fusion proteins to mitotic asters. (A) Coiled-coil prediction for the Xklp2-Tail obtained with the Coils- (solid line; Lupas et al., 1991) and the Paircoil-algorithm (dashed line; Berger et al., 1995), and schematic representation of the different constructs. Vertical bars represent the four leucines present in the leucine zipper. (B) Coomassie Brilliant blue–stained SDS-gel of the purified GST-fusion proteins and the thrombin-cleaved proteins used for circular dichroism spectroscopy. The molecular mass of marker proteins is indicated on the left. (C) Localization of the GST-fusion proteins to asters nucleated by human centrosomes in 10,000 g egg extract and to DMSO-asters in 150,000 g egg extract. The fusion proteins were added at a concentration of 2 μM and are indicated on the left. Both the NH2-terminal region and the COOH-terminal leucine zipper are required for localization of the GST-Xklp2-Tail to the center of mitotic asters. Microtubules are red, anti-GST-staining is green. Bar, 10 μm.
Figure 6. Dimerization of the Xklp2-Tail. (A) Silver-stained SDS-PAGE of thrombin-cleaved Xklp2-Tail incubated with increasing amounts of glutaraldehyde (from left to right: markers, 0, 0.0003, 0.001, 0.003, and 0.01%). With rising glutaraldehyde concentrations, a new band appears at 60 kD corresponding to the dimeric Xklp2-Tail. The molecular mass of marker proteins is indicated on the left. (B) Far UV circular dichroism spectra of Xklp2-Tail (solid line), CDel2 (long dash), and NDel2 (short dash) at 2 μM concentration at 4°C. (C) Thermal unfolding of Xklp2-Tail (filled circle), CDel2 (open circle), NDel1 (triangle), NDel2 (upsidedown triangle) at 10 μM. (D) Thermal unfolding of Xklp2-NDel2 at a concentration of 10 μM (filled circle) and 1 μM (open circle). (E) Thermal unfolding of GST-Xklp2-Tail (filled circle) and Xklp2-Tail (open circle) at 10 μM concentration. See text for details.
Figure 7. Cytoplasmic dynein and the dynactin complex are required for localization of GST-Xklp2-Tail. (A) Human centrosomes were added to 10,000 g mitotic egg extract and incubated at 20°C. After 10 min, 1–2 mg/ml m70.1 antibody was added to b, after another 5 min 2 μM GST-Xklp2-Tail was added and the reaction incubated for 45 min. (d) 1–2 mg/ml m70.1 was added to 150,000 g egg extract and incubated for 5 min on ice. Microtubule polymerization was then induced by addition of 5% DMSO and incubation for 30 min at 20°C. In both cases addition of m70.1 disrupts the localization of GST-Xklp2-Tail to the center of mitotic asters. (B) Disruption of the dynactin complex inhibits localization of GST-Xklp2-Tail. (b) Asters nucleated by human centrosomes in the presence of partially purified bacterially expressed p50/dynamitin (∼1 mg/ml) in 10,000 g mitotic egg extract for 60 min at 20°C. (d) Asters assembled by 1 μM taxol in the presence of 1 mg/ml p50/dynamitin in 10,000 g mitotic egg extract for 30 min at 20°C. Microtubules are red, anti-GST-staining is green. Bars, 10 μm.
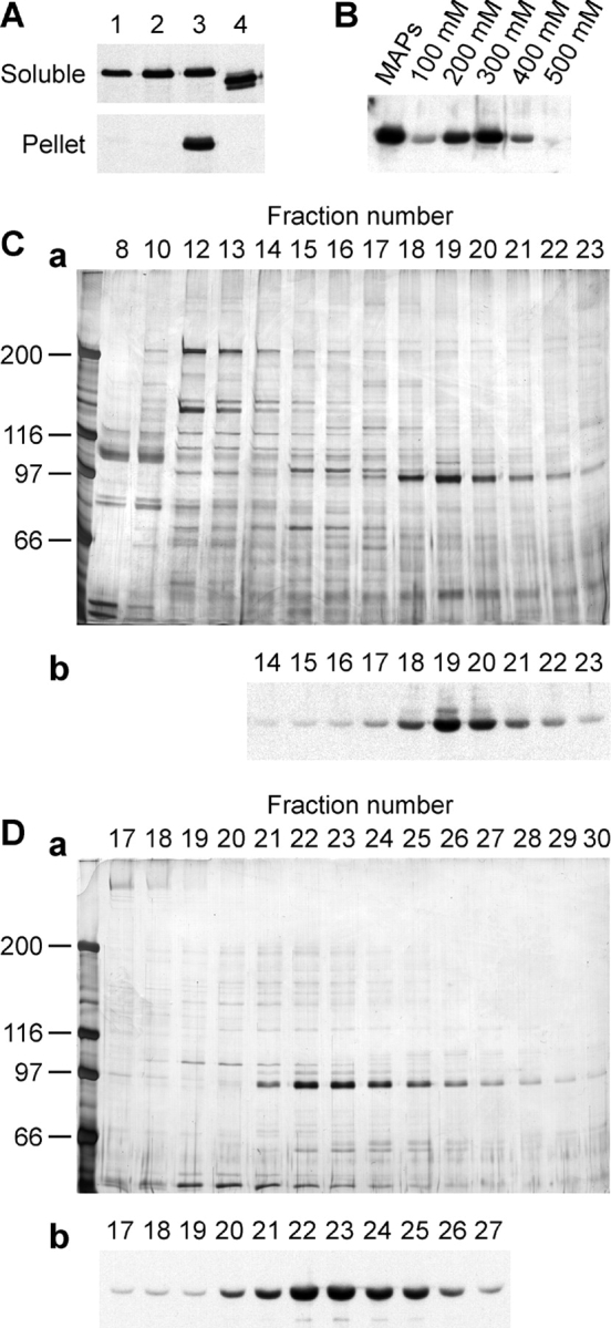
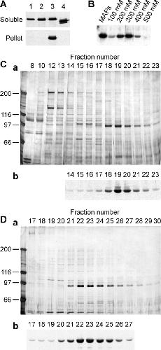
Figure 8. Purification of TPX2, a MAP that mediates the binding of Xklp2 to microtubules. (A) GST-Xklp2-Tail alone does not bind to pure taxol-stabilized microtubules (lane 1). However, a fraction of MAPs contains an activity that mediates the binding of GST-Xklp2-Tail to microtubules (lane 3). This activity was assayed in the following way: lane 1, prepolymerized microtubules were mixed with either GST-Xklp2-Tail and control buffer; lane 2, GST-Xklp2-Tail and soluble proteins (0.6 mg/ml) from CSF-arrested egg extract; lane 3, GST-Xklp2-Tail and MAPs (0.6 mg/ ml); lane 4, or GST-Xklp2-CDel2 and MAPs. The microtubules were sedimented by centrifugation through a sucrose cushion and the soluble fractions and pellets (four times more loaded than of the soluble fraction) were analyzed by Western blotting, probed with an anti-GST antibody. (B) Fractionation of MAPs by sequential salt elution from microtubules. Microtubules polymerized in CSF-arrested egg extract were purified by centrifugation through a sucrose cushion and eluted in one step with 500 mM NaCl (MAPs) or sequentially with the NaCl concentration indicated. The fractions were assayed as described above and the pellets were analyzed by Western blotting and probed with an anti-GST antibody. (C) Mono S chromatography of the 300 mM NaCl fraction eluted from microtubules. (a) Silver-stained SDS-PAGE of 5-μl aliquots of the fractions indicated. The molecular mass of marker proteins is indicated on the left. (b) Assay for the activity mediating the binding of GST-Xklp2-Tail to microtubules of fractions from the Mono S chromatography as indicated. (D) The peak fraction of the Mono S chromatography was applied to a Superdex 200 gel filtration column. (a) Silver-stained gel of 5-μl aliquots of the fractions indicated. (b) Assay for the activity mediating the binding of GST-Xklp2-Tail to microtubules of fractions from the Superdex 200 gel filtration chromatography as indicated. In both chromatographic steps the activity copurified with a 100-kD protein.
Figure 9. Two alternative models for how Xklp2 and TPX2 could be localized to microtubule minus ends in a dynein dependent way. (A) Direct mechanism: Xklp2 and TPX2 interact with a dynein containing complex that moves towards the microtubule minus end or they bind directly to a component that has been transported there by dynein before. (B) Indirect mechanism: a protein that is transported to the minus ends by dynein creates a gradient along the microtubule (possibly by some enzymatic activity) that changes the affinity of TPX2 to Xklp2 and/or to microtubules.
Afshar,
Identification of the chromosome localization domain of the Drosophila nod kinesin-like protein.
1995, Pubmed
Afshar,
Identification of the chromosome localization domain of the Drosophila nod kinesin-like protein.
1995,
Pubmed Afshar,
DNA binding and meiotic chromosomal localization of the Drosophila nod kinesin-like protein.
1995,
Pubmed Andersen,
XMAP310: a Xenopus rescue-promoting factor localized to the mitotic spindle.
1997,
Pubmed
,
Xenbase Barton,
Going mobile: microtubule motors and chromosome segregation.
1996,
Pubmed Berger,
Predicting coiled coils by use of pairwise residue correlations.
1995,
Pubmed Blangy,
Phosphorylation by p34cdc2 regulates spindle association of human Eg5, a kinesin-related motor essential for bipolar spindle formation in vivo.
1995,
Pubmed
,
Xenbase Blangy,
Phosphorylation by p34cdc2 protein kinase regulates binding of the kinesin-related motor HsEg5 to the dynactin subunit p150.
1997,
Pubmed Boleti,
Xklp2, a novel Xenopus centrosomal kinesin-like protein required for centrosome separation during mitosis.
1996,
Pubmed
,
Xenbase Bornens,
Structural and chemical characterization of isolated centrosomes.
1987,
Pubmed
,
Xenbase De Zeeuw,
CLIP-115, a novel brain-specific cytoplasmic linker protein, mediates the localization of dendritic lamellar bodies.
1997,
Pubmed Domínguez,
A protein related to brain microtubule-associated protein MAP1B is a component of the mammalian centrosome.
1994,
Pubmed Echeverri,
Molecular characterization of the 50-kD subunit of dynactin reveals function for the complex in chromosome alignment and spindle organization during mitosis.
1996,
Pubmed Frère,
A peptide fragment of human DNA topoisomerase II alpha forms a stable coiled-coil structure in solution.
1995,
Pubmed Gaglio,
Opposing motor activities are required for the organization of the mammalian mitotic spindle pole.
1996,
Pubmed
,
Xenbase Gaglio,
Mitotic spindle poles are organized by structural and motor proteins in addition to centrosomes.
1997,
Pubmed
,
Xenbase Glotzer,
Cyclin is degraded by the ubiquitin pathway.
1991,
Pubmed
,
Xenbase Goldstein,
With apologies to scheherazade: tails of 1001 kinesin motors.
1993,
Pubmed Harborth,
Epitope mapping and direct visualization of the parallel, in-register arrangement of the double-stranded coiled-coil in the NuMA protein.
1995,
Pubmed Hartman,
Katanin, a microtubule-severing protein, is a novel AAA ATPase that targets to the centrosome using a WD40-containing subunit.
1998,
Pubmed Heald,
Self-organization of microtubules into bipolar spindles around artificial chromosomes in Xenopus egg extracts.
1996,
Pubmed
,
Xenbase Heald,
Spindle assembly in Xenopus egg extracts: respective roles of centrosomes and microtubule self-organization.
1997,
Pubmed
,
Xenbase Hoyt,
Two Saccharomyces cerevisiae kinesin-related gene products required for mitotic spindle assembly.
1992,
Pubmed Hyman,
Preparation of modified tubulins.
1991,
Pubmed Hyman,
Morphogenetic properties of microtubules and mitotic spindle assembly.
1996,
Pubmed Karki,
Affinity chromatography demonstrates a direct binding between cytoplasmic dynein and the dynactin complex.
1995,
Pubmed Kashina,
The bimC family of kinesins: essential bipolar mitotic motors driving centrosome separation.
1997,
Pubmed Kashina,
A bipolar kinesin.
1996,
Pubmed Kumar,
Kinectin, an essential anchor for kinesin-driven vesicle motility.
1995,
Pubmed Lau,
Synthesis of a model protein of defined secondary and quaternary structure. Effect of chain length on the stabilization and formation of two-stranded alpha-helical coiled-coils.
1984,
Pubmed Liao,
Mitotic regulation of microtubule cross-linking activity of CENP-E kinetochore protein.
1994,
Pubmed Lupas,
Predicting coiled coils from protein sequences.
1991,
Pubmed McNally,
Katanin, the microtubule-severing ATPase, is concentrated at centrosomes.
1996,
Pubmed Merdes,
Pathways of spindle pole formation: different mechanisms; conserved components.
1997,
Pubmed Merdes,
A complex of NuMA and cytoplasmic dynein is essential for mitotic spindle assembly.
1996,
Pubmed
,
Xenbase Murray,
Cell cycle extracts.
1991,
Pubmed Ookata,
Cyclin B interaction with microtubule-associated protein 4 (MAP4) targets p34cdc2 kinase to microtubules and is a potential regulator of M-phase microtubule dynamics.
1995,
Pubmed Page,
Localization of the Kar3 kinesin heavy chain-related protein requires the Cik1 interacting protein.
1994,
Pubmed Paschal,
Characterization of a 50-kDa polypeptide in cytoplasmic dynein preparations reveals a complex with p150GLUED and a novel actin.
1993,
Pubmed Pierre,
CLIP-170 links endocytic vesicles to microtubules.
1992,
Pubmed Saunders,
Kinesin-related proteins required for structural integrity of the mitotic spindle.
1992,
Pubmed Sawin,
Mitotic spindle assembly by two different pathways in vitro.
1991,
Pubmed
,
Xenbase Sawin,
Mutations in the kinesin-like protein Eg5 disrupting localization to the mitotic spindle.
1995,
Pubmed
,
Xenbase Sawin,
Mitotic spindle organization by a plus-end-directed microtubule motor.
1992,
Pubmed
,
Xenbase Stearns,
In vitro reconstitution of centrosome assembly and function: the central role of gamma-tubulin.
1994,
Pubmed
,
Xenbase Steuer,
Localization of cytoplasmic dynein to mitotic spindles and kinetochores.
1990,
Pubmed Vallee,
Targeting of motor proteins.
1996,
Pubmed Verde,
Taxol-induced microtubule asters in mitotic extracts of Xenopus eggs: requirement for phosphorylated factors and cytoplasmic dynein.
1991,
Pubmed
,
Xenbase Vernos,
Motors involved in spindle assembly and chromosome segregation.
1996,
Pubmed Walczak,
A model for the proposed roles of different microtubule-based motor proteins in establishing spindle bipolarity.
,
Pubmed
,
Xenbase Walczak,
Kinesin-related proteins at mitotic spindle poles: function and regulation.
1996,
Pubmed Waterman-Storer,
The p150Glued component of the dynactin complex binds to both microtubules and the actin-related protein centractin (Arp-1).
1995,
Pubmed Wilhelm,
Purification of recombinant cyclin B1/cdc2 kinase from Xenopus egg extracts.
1997,
Pubmed
,
Xenbase Wittmann,
Recombinant p50/dynamitin as a tool to examine the role of dynactin in intracellular processes.
1999,
Pubmed
,
Xenbase Zhong,
Environment affects amino acid preference for secondary structure.
1992,
Pubmed