Click here to close
Hello! We notice that you are using Internet Explorer, which is not supported by Xenbase and may cause the site to display incorrectly.
We suggest using a current version of Chrome,
FireFox, or Safari.
J Cell Biol
1998 Aug 10;1423:803-13. doi: 10.1083/jcb.142.3.803.
Show Gene links
Show Anatomy links
Regulation of organelle movement in melanophores by protein kinase A (PKA), protein kinase C (PKC), and protein phosphatase 2A (PP2A).
Reilein AR, Tint IS, Peunova NI, Enikolopov GN, Gelfand VI.
???displayArticle.abstract???
We used melanophores, cells specialized for regulated organelle transport, to study signaling pathways involved in the regulation of transport. We transfected immortalized Xenopus melanophores with plasmids encoding epitope-tagged inhibitors of protein phosphatases and protein kinases or control plasmids encoding inactive analogues of these inhibitors. Expression of a recombinant inhibitor of protein kinase A (PKA) results in spontaneous pigment aggregation. alpha-Melanocyte-stimulating hormone (MSH), a stimulus which increases intracellular cAMP, cannot disperse pigment in these cells. However, melanosomes in these cells can be partially dispersed by PMA, an activator of protein kinase C (PKC). When a recombinant inhibitor of PKC is expressed in melanophores, PMA-induced pigment dispersion is inhibited, but not dispersion induced by MSH. We conclude that PKA and PKC activate two different pathways for melanosome dispersion. When melanophores express the small t antigen of SV-40 virus, a specific inhibitor of protein phosphatase 2A (PP2A), aggregation is completely prevented. Conversely, overexpression of PP2A inhibits pigment dispersion by MSH. Inhibitors of protein phosphatase 1 and protein phosphatase 2B (PP2B) do not affect pigment movement. Therefore, melanosome aggregation is mediated by PP2A.
Figure 1. Inhibition of PP2A by the small t antigen blocks melanosome aggregation. (A) Melanophores transfected with plasmids encoding the small t antigen or GFP were treated with 10 nM melatonin for 90 min and fixed with formaldehyde. Cells expressing the small t antigen were identified by immunofluorescent staining with an antibody against the SV-40 small t antigen. The vertical axis shows the percentage of cells that were scored as aggregated (white), partially dispersed (grey), or dispersed (black). Scoring was done as described in Materials and Methods. Note the almost complete inhibition of pigment aggregation in the small t-expressing cells. The data are from over 400 small t-expressing and over 500 GFP-expressing cells from three separate experiments. (B) A cell expressing small t maintained its pigment in a dispersed state after melatonin treatment (left), whereas a GFP control cell aggregated pigment normally (right). The cells are shown by overlaying bright-field images onto fluorescent images. Bar, 20 μm.
Figure 2. Overexpression of PP2A inhibits melanosome dispersion at low levels of cAMP. Cells transfected with plasmids encoding the HA-tagged PP2A catalytic subunit or GFP were treated with 25 μM dexamethasone for 24 h to induce PP2A expression. Cells were then treated with 10 nM melatonin for 1 h to aggregate pigment, followed by 1 nM or 10 nM MSH for 30 min. PP2A-expressing cells were identified by immunofluorescent staining with an antibody to HA, and 100 cells were scored per treatment. The data is from a typical experiment; similar results were obtained in three independent experiments.
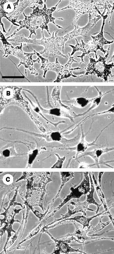
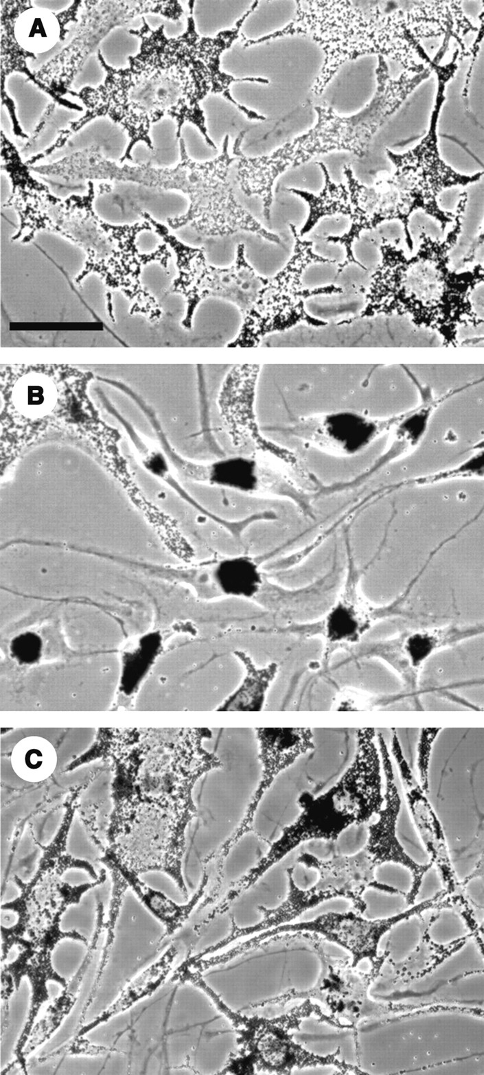
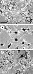
Figure 3. Phase-contrast images of nontransfected cells (A), and cells transfected with the PKA inhibitor plasmid (B), or with the plasmid encoding the inactive analogue of the inhibitor (C). After 72 h, a large percentage of cells in the culture expressing the active inhibitor had fully aggregated pigment. Control cells maintained their melanosomes in the dispersed state. Bar, 50 μm.
Figure 4. Quantitative analysis of the effects of the active and inactive PKA and PKC inhibitor peptides on melanosome aggregation and dispersion. Cells expressing the PKA inhibitor aggregated their pigment and could not disperse it when treated with MSH. These cells partially dispersed melanosomes in response to PMA. Cells expressing the inactive PKA inhibitor dispersed melanosomes normally in response to MSH and PMA. Cells expressing the PKC inhibitor dispersed pigment when treated with MSH, but were inhibited from dispersing pigment after aggregation with melatonin and treatment with PMA. Percentages are from scoring 200 cells per treatment. Similar results were obtained in at least three other independent experiments with each inhibitor.
Figure 7. Immunoprecipitations of kinesin II and cytoplasmic dynein from 32Pi- labeled melanophore extract. Left lane, cell extract. Immunoprecipitates of dynein from melatonin-treated and MSH-treated cells show strong phosphorylation at the molecular weights of the dynein intermediate chain (83 kD) and the dynein heavy chain, and at an unidentified band at 200 kD (arrowheads). Immunoprecipitates of kinesin II from melatonin-treated and MSH-treated cells have phosphorylation in a broad band at 95 kD (bracket). No consistent phosphorylation differences have been observed in immunoprecipitations of dynein or kinesin II.
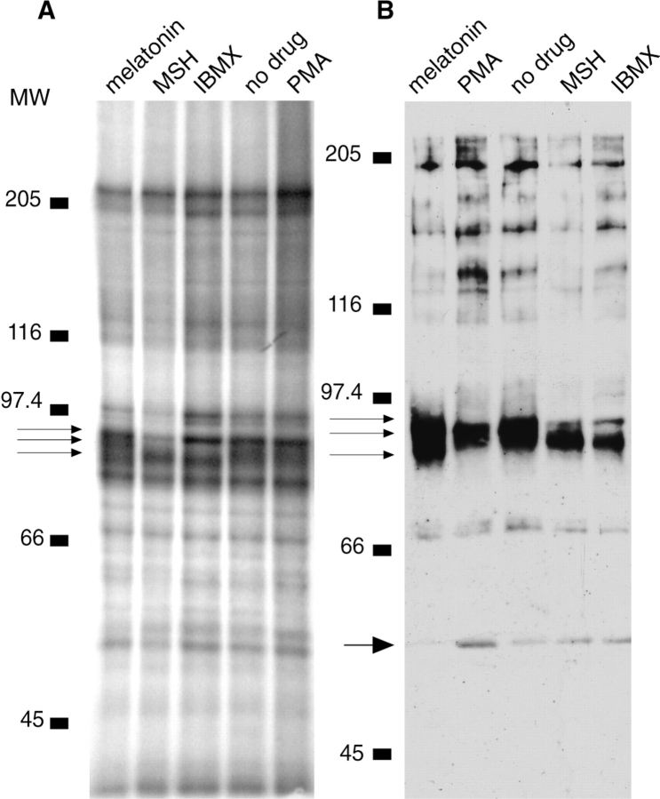
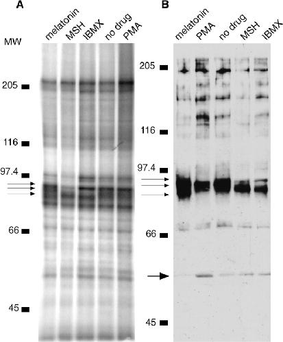
Figure 6. Phosphorylation of melanosome proteins in cells treated with 10 nM melatonin, 100 nM MSH, 0.1 μM PMA, or 1 mM IBMX. Phosphorylation differences were reproduced in three separate experiments. (A) Cells were labeled with 32Pi for 21 h before melanosome purification. The differences in phosphorylation are found in the 85–95 kD area. Melanosomal proteins from melatonin-treated cells show phosphorylation at ∼86, 92, and 95 kD (arrows), whereas proteins from MSH- and IBMX-treated cells are phosphorylated at 87 and 94 kD. Proteins from untreated and PMA-treated cells show phosphorylation in a broad band from 88–95 kD. (B) Western blot of melanosomal proteins with the anti-phosphothreonine antibody. The pattern of threonine phosphorylation looks very similar in the mol wt range 85–95 kD to the pattern of total phosphorylation in A. There is less phosphorylation on melanosomes purified from cells treated with IMBX and MSH than on melanosomes purified from cells treated with melatonin, whereas it appears that untreated and PMA-treated cells are in a phosphorylation state intermediate between that of aggregating and dispersing cells. In addition, phosphorylation of the band at 50 kD is reduced with melatonin treatment.
Alberts,
Expression of a peptide inhibitor of protein phosphatase 1 increases phosphorylation and activity of CREB in NIH 3T3 fibroblasts.
1994, Pubmed
Alberts,
Expression of a peptide inhibitor of protein phosphatase 1 increases phosphorylation and activity of CREB in NIH 3T3 fibroblasts.
1994,
Pubmed Allan,
Protein phosphatase 1 regulates the cytoplasmic dynein-driven formation of endoplasmic reticulum networks in vitro.
1995,
Pubmed
,
Xenbase Alphey,
KLP38B: a mitotic kinesin-related protein that binds PP1.
1997,
Pubmed Blangy,
Phosphorylation by p34cdc2 regulates spindle association of human Eg5, a kinesin-related motor essential for bipolar spindle formation in vivo.
1995,
Pubmed
,
Xenbase Clark,
Pigment particle translocation in detergent-permeabilized melanophores of Fundulus heteroclitus.
1982,
Pubmed Cole,
Novel heterotrimeric kinesin-related protein purified from sea urchin eggs.
1993,
Pubmed
,
Xenbase Cozzi,
The protein-phosphatase inhibitor okadaic acid mimics MSH-induced and melatonin-reversible melanosome dispersion in Xenopus laevis melanophores.
1992,
Pubmed
,
Xenbase Daniolos,
Action of light on frog pigment cells in culture.
1990,
Pubmed
,
Xenbase Dillman,
Differential phosphorylation in vivo of cytoplasmic dynein associated with anterogradely moving organelles.
1994,
Pubmed Enan,
Specific inhibition of calcineurin by type II synthetic pyrethroid insecticides.
1992,
Pubmed Euteneuer,
Polarity of some motility-related microtubules.
1981,
Pubmed Field,
Purification of a RAS-responsive adenylyl cyclase complex from Saccharomyces cerevisiae by use of an epitope addition method.
1988,
Pubmed Graminski,
Pigment dispersion in frog melanophores can be induced by a phorbol ester or stimulation of a recombinant receptor that activates phospholipase C.
1993,
Pubmed
,
Xenbase Grove,
Recombinant fragment of protein kinase inhibitor blocks cyclic AMP-dependent gene transcription.
1987,
Pubmed Hagiwara,
Transcriptional attenuation following cAMP induction requires PP-1-mediated dephosphorylation of CREB.
1992,
Pubmed Hashimoto,
Identification of an autoinhibitory domain in calcineurin.
1990,
Pubmed House,
Protein kinase C contains a pseudosubstrate prototope in its regulatory domain.
1987,
Pubmed Karki,
Casein kinase II binds to and phosphorylates cytoplasmic dynein.
1997,
Pubmed Kemp,
Pseudosubstrate-based peptide inhibitors.
1991,
Pubmed Kotz,
Intracellular calcium and cAMP regulate directional pigment movements in teleost erythrophores.
1994,
Pubmed Laemmli,
Cleavage of structural proteins during the assembly of the head of bacteriophage T4.
1970,
Pubmed Liu,
Calcineurin is a common target of cyclophilin-cyclosporin A and FKBP-FK506 complexes.
1991,
Pubmed Malawista,
Cytochalasin B reversibly inhibits melanin granule movement in melanocytes.
1971,
Pubmed McClintock,
Melanophore pigment dispersion responses to agonists show two patterns of sensitivity to inhibitors of cAMP-dependent protein kinase and protein kinase C.
1996,
Pubmed
,
Xenbase McGuire,
Cytochalasin B: effects on microfilaments and movement of melanin granules within melanocytes.
1972,
Pubmed McNiven,
Chromatophores--models for studying cytomatrix translocations.
1984,
Pubmed Muresan,
KIF3C and KIF3A form a novel neuronal heteromeric kinesin that associates with membrane vesicles.
1998,
Pubmed Murphy,
The role of microtubules in the movement of pigment granules in teleost melanophores.
1974,
Pubmed Nagata,
The MAP kinase kinase kinase MLK2 co-localizes with activated JNK along microtubules and associates with kinesin superfamily motor KIF3.
1998,
Pubmed Namboodiripad,
Permeability characteristics of erythrocyte membrane to okadaic acid and calyculin A.
1996,
Pubmed Nilsson,
Evidence for several roles of dynein in pigment transport in melanophores.
1997,
Pubmed Ogris,
Protein phosphatase 2A subunit assembly: the catalytic subunit carboxy terminus is important for binding cellular B subunit but not polyomavirus middle tumor antigen.
1997,
Pubmed Palazzo,
cAMP-independent and cAMP-dependent protein phosphorylations by isolated goldfish xanthophore cytoskeletons: evidence for the association of cytoskeleton with a carotenoid droplet protein.
1989,
Pubmed Potenza,
A rapid quantitative bioassay for evaluating the effects of ligands upon receptors that modulate cAMP levels in a melanophore cell line.
1992,
Pubmed
,
Xenbase Robbins,
Hedgehog elicits signal transduction by means of a large complex containing the kinesin-related protein costal2.
1997,
Pubmed Rodionov,
The movement of melanosomes in melanophore fragments obtained by laser microbeam irradiation.
1987,
Pubmed Rodionov,
Functional coordination of microtubule-based and actin-based motility in melanophores.
1998,
Pubmed Rogers,
Regulated bidirectional motility of melanophore pigment granules along microtubules in vitro.
1997,
Pubmed
,
Xenbase Rogers,
Myosin cooperates with microtubule motors during organelle transport in melanophores.
1998,
Pubmed
,
Xenbase Rogers,
In vitro motility assay for melanophore pigment organelles.
1998,
Pubmed
,
Xenbase Rozdzial,
Bidirectional pigment granule movements of melanophores are regulated by protein phosphorylation and dephosphorylation.
1986,
Pubmed Sammak,
Intracellular cyclic AMP not calcium, determines the direction of vesicle movement in melanophores: direct measurement by fluorescence ratio imaging.
1992,
Pubmed Smith,
Functional determinants in the autoinhibitory domain of calcium/calmodulin-dependent protein kinase II. Role of His282 and multiple basic residues.
1992,
Pubmed Smith,
Specificities of autoinhibitory domain peptides for four protein kinases. Implications for intact cell studies of protein kinase function.
1990,
Pubmed Soderling,
Protein kinases. Regulation by autoinhibitory domains.
1990,
Pubmed Sontag,
The interaction of SV40 small tumor antigen with protein phosphatase 2A stimulates the map kinase pathway and induces cell proliferation.
1993,
Pubmed Sontag,
A novel pool of protein phosphatase 2A is associated with microtubules and is regulated during the cell cycle.
1995,
Pubmed Sugden,
Protein kinase C activation antagonizes melatonin-induced pigment aggregation in Xenopus laevis melanophores.
1992,
Pubmed
,
Xenbase Thaler,
Regulation of organelle transport in melanophores by calcineurin.
1990,
Pubmed Tournebize,
Distinct roles of PP1 and PP2A-like phosphatases in control of microtubule dynamics during mitosis.
1997,
Pubmed
,
Xenbase Towbin,
Electrophoretic transfer of proteins from polyacrylamide gels to nitrocellulose sheets: procedure and some applications.
1979,
Pubmed Turowski,
Differential methylation and altered conformation of cytoplasmic and nuclear forms of protein phosphatase 2A during cell cycle progression.
1995,
Pubmed Van Patten,
Molecular cloning of a rat testis form of the inhibitor protein of cAMP-dependent protein kinase.
1991,
Pubmed Waldmann,
Multifunctional Ca2+/calmodulin-dependent protein kinase made Ca2+ independent for functional studies.
1990,
Pubmed
,
Xenbase Walsh,
Utilization of the inhibitor protein of adenosine cyclic monophosphate-dependent protein kinase, and peptides derived from it, as tools to study adenosine cyclic monophosphate-mediated cellular processes.
1991,
Pubmed White,
Pertussis toxin blocks melatonin-induced pigment aggregation in Xenopus dermal melanophores.
1987,
Pubmed
,
Xenbase Yang,
Control of protein phosphatase 2A by simian virus 40 small-t antigen.
1991,
Pubmed