|
Fig. 1. Amino acid alignments of XCRMP-2 and CRMP-related proteins. A partial length XCRMP-2 cDNA of 2.5 kb contained an open reading frame
encompassing 563 amino acids, but the NH2-terminus has not been assigned yet. The amino acid sequence of XCRMP-2 was aligned with the
corresponding amino acid sequences of bovine CRMP-2, chicken CRMP-62, rat TOAD-64, rCRMP-1, rCRMP-2, rCRMP-3, rCRMP-4, Ulip and C.
elegans unc-33. Dots indicate that the amino acids are identical. The solid lines indicate gaps in the alignment. The numbers are counted from each
NH2-terminus of bCRMP-2, CRMP62, ULIP, rCRMP-1, rCRMP-2, rCRMP-3, and rCRMP-4. Homology comparison were performed using the BLAST
system. |
|
Fig. 2. Expression of XCRMP-2 mRNA and proteins. A. Total RNA was
prepared from eggs, midgastrula stage 11., neural plate stage stage 14.,
late tailbud stage stages 27. and tadpole stage stage 37. embryos. The
mRNA levels of XCRMP-2 were analyzed by RT-PCR See Section 2..
A 1.6-kb cDNA fragment was generated. The amount of RNA was
quantitated by ethidium bromide staining of 28 s and 18 s rRNA. B.
Indicated amounts of cytoplasmic extracts prepared from eggs, midgas-
trula stage 11., late tailbud stage stage 27., and adult frog brain Ad.
were loaded onto SDS-10% PAGE and immunoblotted with the anti-
CRMP-2 antibody N17. |
|
Fig. 3. Localization of XCRMP-2 mRNA in Xenopus embryos. Whole mount in situ hybridization of Xenopus embryos with digoxigenin-labeled
XRMP-2 antisense RNA reveals expression of XCRMP-2 transcripts during neurulation. Stages according to Nieuwkoop and Faber w21x refer to A. early
gastrula stage 10., B. early neural plate stage 13., C. midneurula stage 16., D. late neurula stage 20., E. lateral view of early tailbud stage 23., F.
dorsal view of early tailbud stage 23., G. late tailbud stage 27., and H. tadpole stage 36.. |
|
Fig. 4. RT-PCR analysis of XCRMP-2 mRNA expression in neural
tissues. The middle 1r3 of the dorsal tissue was excised from stage 17
embryos. The explants contained neural fold NF. and dorsal mesoderm
DM. tissues such as notochord and somite. NF and DM were separated
from some of the explants. Molecular markers were analyzed in NF, DM
or NFqDM, using RT-PCR. Whole embryo Emb. as a positive control
was included. EFI-a expression indicates that comparable amounts of
RNA were used in each set. |
|
Fig. 5. Distribution of XCRMP-2 protein in Xenopus embryos. XCRMP-2 immunoreactivity in the central nervous system spinal cord and brain. in
embryo at tadpole stage stage 37. was visualized by whole-mount staining with the anti-CRMP-2 antibody N17. |
|
Fig. 6. Induction of XCRMP-2 expression by neuralizing molecules. The
animal pole of 2-cell stage embryos was injected with RNAs encoding
b-galactosidase 2 ng., noggin 0.2 ng., chordin 1.5 ng., BMP-4 2 ng.
and dominant negative BMP receptor DN-BR. 1 ng.. Animal caps were
explanted at blastula stage and cultured to stage 24 before harvest. RNAs
were extracted and gene expression was analyzed by RT-PCR as described
in Fig. 4. |
|
dpysl2 (dihydropyrimidinase like 2) gene expression in Xenopus laevis embryo, assayed via in situ hybridization, NF stage 13, horizontal view, animal up. |
|
dpysl2 (dihydropyrimidinase like 2) gene expression in Xenopus laevis embryo, assayed via in situ hybridization, NF stage 20, lateral view, anterior right, dorsal up. |
|
dpysl2 (dihydropyrimidinase like 2) gene expression in Xenopus laevis embryo, assayed via in situ hybridization, NF stage 28, lateral view, anterior right, dorsal up. |
|
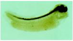
dpysl2 (dihydropyrimidinase like 2) gene expression in Xenopus laevis embryo, assayed via in situ hybridization, NF stage 36, lateral view, anterior right, dorsal up. |