Click here to close
Hello! We notice that you are using Internet Explorer, which is not supported by Xenbase and may cause the site to display incorrectly.
We suggest using a current version of Chrome,
FireFox, or Safari.
???displayArticle.abstract???
It is generally known that the anuran stomach begins to express pepsinogens (Pg) during metamorphosis. To clarify the mechanisms of differentiation of Pg-producing cells, we examined immunohistochemically the epithelial transformation from larval to adult form in Xenopus laevis stomach at the cellular level. At the beginning of metamorphic climax, concomitantly with the modification of the basement membrane, apoptotic cells labelled by TUNEL suddenly increased in number in the entire epithelium except for the primordia of adult epithelial cells in the basal region of larval glands. Subsequently, with the development of connective tissue, the adult epithelial cells actively proliferated and replaced the larval cells from the basal to the luminal region. Following the start of morphogenesis of adult glands, Pg-producing cells became differentiated in newly formed adult glands, but not in the adult surface epithelium. We then developed an organ culture system and examined effects of thyroid hormone (TH) on the differentiation of Pg-producing cells in X. laevis stomach in vitro. In the presence of TH, just as in spontaneous metamorphosis, Pg-producing cells differentiated from the adult epithelial primordia after the apoptosis of larval epithelial cells. In contrast, in the absence of TH, neither apoptotic larval cells no Pg-producing cells were detected. Therefore, we conclude that TH triggers organ-autonomously the entire process leading to the differentiation of Pg-producing cells in X. laevis stomach. In addition, the strict localization of Pg-producing cells in the adult glands both in vivo and in vitro suggests the correlation between the differentiation of Pg-producing cells and morphogenesis of the glands surrounded by the developed connective tissue.
Fig. 1 Immunoblotting of crude extract of the Xenopus laevis
stomach. Pepsinogen (Pg) immunoreactivity was detected at stage
66 (lane 2), but not at stage 56 (lane 1). The amount of protein applied
to each lane was 10 μg. The molecular weight markers are
indicated on the left.:
Fig. 2AâD Electron micrographs of the stomach at stage 51 (A,
B) and at stage 61 (C, D). A The larval surface (SE) and the glandular
epithelia (GE). Arrowheads indicate the boundary between
them. BC Blood capillaries, L lumen. B The thin basal lamina (arrowheads)
just beneath the larval glands. mit Mitochondria, CT
connective tissue. C Macrophage-like cells (MÏ) in the larval epithelium
(LE). One includes an apoptotic body (AB). D Vigorous
folding of the basal lamina (Bl) just beneath the degenerating larval
epithelium. Bars 1 μm.:
Fig. 3AâC Immunohistochemical detection of Pg in the stomach.
A At stage 57. Both the larval surface (SE) and the glandular epithelia
(GE) are negative. L Lumen. B At stage 62. Positive cells
are detected only in developing adult glands (arrows). CT Connective
tissue. C At stage 66. The glandular epithelium is positive,
while the surface epithelium remains negative. Bars 20 μm.:
Fig. 4AâE Apoptosis labelled by nick-end labelling of fragmented
DNA (TUNEL) in the stomach. A At stage 57. Both
the larval surface (SE) and the glandular epithelia (GE) are
negative. L Lumen. B At stage 60. Numerous apoptotic nuclei
(arrows) are detected in the entire epithelium except for small
adult primordia (arrowheads). C Upper region of the epithelium
at stage 61. Apoptotic nuclei (arrows) are localized in
the larval epithelium (LE). AE Adult epithelium. D Nuclear
fragments of apoptotic bodies (arrows) in the larval epithelium
at stage 61. E At stage 62. The adult epithelium is negative.
Bars 20 μm.:
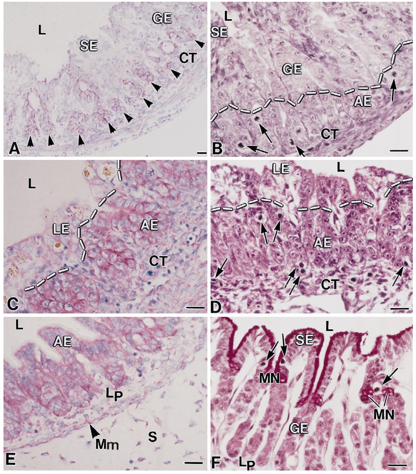
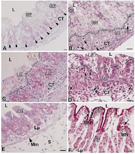
Fig. 5AâF Development of the
adult epithelium in the stomach
stained with methyl green-pyronin
Y (A, C, E) and with hematoxylin
and eosin (H-E)
(B, D) and hematoxylin and periodic
acid-Schiff (PAS) (F) after
the colcemid treatment.
A, B At stage 60. Adult epithelial
primordia (arrowheads) appear
in the basal region of larval
glands (GE) (A), where mitotic
cells (arrows) are localized
(B). The dotted line indicates
the boundary between the
larval and the adult epithelia
(AE). L Lumen, SE surface epithelium.
C, D At stage 61. The
larval epithelium (LE) is replaced
by the adult epithelium,
where mitotic cells (arrows)
are localized (D). The connective
tissue (CT) develops. E At
stage 62. The adult epithelium
is forming glands. The muscularis
mucosae (Mm) develops
between the lamina propria
(Lp) and the submucosa (S). F
At stage 66. Mitotic cells (arrows)
are localized in the neck
region of adult glands just
above PAS-positive mucous
neck cells (MN). Bars 20 μm.:
Fig. 6AâC Immunohistochemical detection of ST3 in the stomach
at stage 56 (A), stage 60 (B), and stage 66 (C). Numerous positive
cells (arrows) are observed in the connective tissue (CT) at
stage 60 (B), but not at the other stages. L Lumen, SE surface epithelium,
GE glandular epithelium, Lp lamina propria, Mm muscularis
mucosae, S submucosa. Bars 20 μm.:
Fig. 7 Schematic illustration
of the stomach remodelling of
X. laevis. Around stage 60 both
the larval surface (L-SE) and
the glandular epithelia (L-GE)
undergo apoptosis, while the
adult epithelium actively proliferates.
The basal lamina (Bl)
becomes thick, and the connective
tissue (CT) develops. By
stage 63 the adult epithelium
becomes differentiated into the
surface (A-SE) and the glandular
epithelia (A-GE) expressing
Pg. Lp Lamina propria, Mm
muscularis mucosae, S submucosa,
ML muscular layer.: