XB-ART-14685
EMBO J
1998 Jul 01;1713:3565-75. doi: 10.1093/emboj/17.13.3565.
Show Gene links
Show Anatomy links
Fizzy is required for activation of the APC/cyclosome in Xenopus egg extracts.
Lorca T, Castro A, Martinez AM, Vigneron S, Morin N, Sigrist S, Lehner C, Dorée M, Labbé JC.
???displayArticle.abstract???
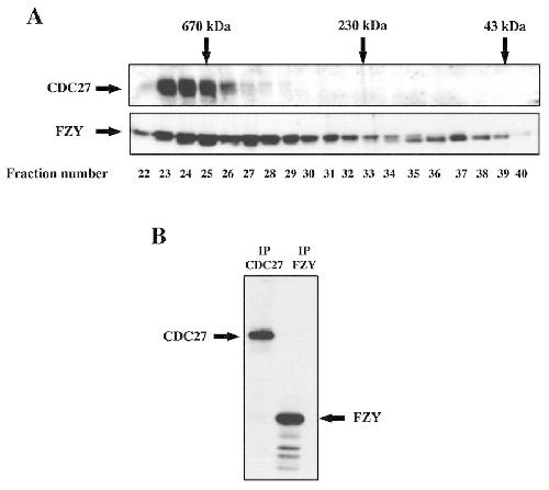
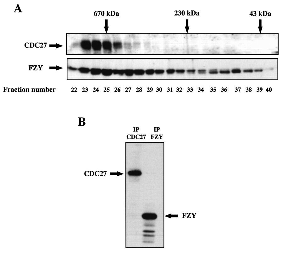
The Xenopus homologue of Drosophila Fizzy and budding yeast CDC20 has been characterized. The encoded protein (X-FZY) is a component of a high molecular weight complex distinct from the APC/cyclosome. Antibodies directed against FZY were produced and shown to prevent calmodulin-dependent protein kinase II (CaMKII) from inducing the metaphase to anaphase transition of spindles assembled in vitro in Xenopus egg extracts, and this was associated with suppression of the degradation of mitotic cyclins. The same antibodies suppressed M phase-promoting factor (MPF)-dependent activation of the APC/cyclosome in interphase egg extracts, although they did not appear to alter the pattern or extent of MPF-dependent phosphorylation of APC/cyclosome subunits. As these phosphorylations are thought to be essential for APC/cyclosome activation in eggs and early embryos, we conclude that at least two events are required for MPF to activate the APC/cyclosome, allowing both chromatid segregation and full degradation of mitotic cyclins. The first one, which does not require FZY function, is the phosphorylation of APC/cyclosome subunits. The second one, that requires FZY function (even in the absence of MAD2 protein and when the spindle assembly checkpoint is not activated) is not yet understood at its molecular level.
???displayArticle.pubmedLink??? 9649427
???displayArticle.pmcLink??? PMC1170693
???displayArticle.link??? EMBO J
Species referenced: Xenopus
Genes referenced: camk2g cdc20 mad2l1
GO keywords: mitotic cell cycle [+]
???displayArticle.antibodies??? Cdc20 Ab1 Cdc27 Ab2 Fzr1 Ab2
???attribute.lit??? ???displayArticles.show???
References [+] :
Abrieu,
MAP kinase does not inactivate, but rather prevents the cyclin degradation pathway from being turned on in Xenopus egg extracts.
1996, Pubmed,
Xenbase
Abrieu, MAP kinase does not inactivate, but rather prevents the cyclin degradation pathway from being turned on in Xenopus egg extracts. 1996, Pubmed , Xenbase
Brandeis, The proteolysis of mitotic cyclins in mammalian cells persists from the end of mitosis until the onset of S phase. 1996, Pubmed
Chen, Association of spindle assembly checkpoint component XMAD2 with unattached kinetochores. 1996, Pubmed , Xenbase
Cohen-Fix, Anaphase initiation in Saccharomyces cerevisiae is controlled by the APC-dependent degradation of the anaphase inhibitor Pds1p. 1996, Pubmed , Xenbase
Dawson, Mutations of the fizzy locus cause metaphase arrest in Drosophila melanogaster embryos. 1993, Pubmed
Dawson, The Drosophila cell cycle gene fizzy is required for normal degradation of cyclins A and B during mitosis and has homology to the CDC20 gene of Saccharomyces cerevisiae. 1995, Pubmed
Félix, Triggering of cyclin degradation in interphase extracts of amphibian eggs by cdc2 kinase. 1990, Pubmed , Xenbase
Funabiki, Cut2 proteolysis required for sister-chromatid seperation in fission yeast. 1996, Pubmed
Glotzer, Cyclin is degraded by the ubiquitin pathway. 1991, Pubmed , Xenbase
Guacci, Chromosome condensation and sister chromatid pairing in budding yeast. 1994, Pubmed
Haas, The resolution and characterization of putative ubiquitin carrier protein isozymes from rabbit reticulocytes. 1988, Pubmed
Hartwell, Altered fidelity of mitotic chromosome transmission in cell cycle mutants of S. cerevisiae. 1985, Pubmed
Hochstrasser, Ubiquitin, proteasomes, and the regulation of intracellular protein degradation. 1995, Pubmed
Holloway, Anaphase is initiated by proteolysis rather than by the inactivation of maturation-promoting factor. 1993, Pubmed , Xenbase
Huang, On global sequence alignment. 1994, Pubmed
Hwang, Budding yeast Cdc20: a target of the spindle checkpoint. 1998, Pubmed
Kim, Fission yeast Slp1: an effector of the Mad2-dependent spindle checkpoint. 1998, Pubmed
King, How proteolysis drives the cell cycle. 1996, Pubmed
King, A 20S complex containing CDC27 and CDC16 catalyzes the mitosis-specific conjugation of ubiquitin to cyclin B. 1995, Pubmed , Xenbase
Labbé, M phase-specific cdc2 kinase: preparation from starfish oocytes and properties. 1991, Pubmed , Xenbase
Lambright, The 2.0 A crystal structure of a heterotrimeric G protein. 1996, Pubmed
Li, MAD2 associates with the cyclosome/anaphase-promoting complex and inhibits its activity. 1997, Pubmed , Xenbase
Lorca, An okadaic acid-sensitive phosphatase negatively controls the cyclin degradation pathway in amphibian eggs. 1991, Pubmed , Xenbase
Lorca, Calmodulin-dependent protein kinase II mediates inactivation of MPF and CSF upon fertilization of Xenopus eggs. 1993, Pubmed , Xenbase
Matsumoto, A fission yeast homolog of CDC20/p55CDC/Fizzy is required for recovery from DNA damage and genetically interacts with p34cdc2. 1997, Pubmed
Minshull, A MAP kinase-dependent spindle assembly checkpoint in Xenopus egg extracts. 1994, Pubmed , Xenbase
Minshull, The A- and B-type cyclin associated cdc2 kinases in Xenopus turn on and off at different times in the cell cycle. 1990, Pubmed , Xenbase
Morin, The proteolysis-dependent metaphase to anaphase transition: calcium/calmodulin-dependent protein kinase II mediates onset of anaphase in extracts prepared from unfertilized Xenopus eggs. 1994, Pubmed , Xenbase
Murray, Cyclin synthesis drives the early embryonic cell cycle. 1989, Pubmed , Xenbase
Newport, A major developmental transition in early Xenopus embryos: II. Control of the onset of transcription. 1982, Pubmed , Xenbase
Nurse, Universal control mechanism regulating onset of M-phase. 1990, Pubmed
O'Toole, Three-dimensional analysis and ultrastructural design of mitotic spindles from the cdc20 mutant of Saccharomyces cerevisiae. 1997, Pubmed
Pagano, Cyclin A is required at two points in the human cell cycle. 1992, Pubmed
Peters, Identification of BIME as a subunit of the anaphase-promoting complex. 1996, Pubmed , Xenbase
Pines, Human cyclins A and B1 are differentially located in the cell and undergo cell cycle-dependent nuclear transport. 1991, Pubmed
Schwab, Yeast Hct1 is a regulator of Clb2 cyclin proteolysis. 1997, Pubmed
Sethi, The CDC20 gene product of Saccharomyces cerevisiae, a beta-transducin homolog, is required for a subset of microtubule-dependent cellular processes. 1991, Pubmed
Sigrist, Exit from mitosis is regulated by Drosophila fizzy and the sequential destruction of cyclins A, B and B3. 1995, Pubmed
Sigrist, Drosophila fizzy-related down-regulates mitotic cyclins and is required for cell proliferation arrest and entry into endocycles. 1997, Pubmed , Xenbase
Sudakin, The cyclosome, a large complex containing cyclin-selective ubiquitin ligase activity, targets cyclins for destruction at the end of mitosis. 1995, Pubmed
Visintin, CDC20 and CDH1: a family of substrate-specific activators of APC-dependent proteolysis. 1997, Pubmed
Wall, The structure of the G protein heterotrimer Gi alpha 1 beta 1 gamma 2. 1995, Pubmed
Wang, A role for mitogen-activated protein kinase in the spindle assembly checkpoint in XTC cells. 1997, Pubmed , Xenbase
Yamada, Distinct subunit functions and cell cycle regulated phosphorylation of 20S APC/cyclosome required for anaphase in fission yeast. 1997, Pubmed
Yamamoto, Pds1p, an inhibitor of anaphase in budding yeast, plays a critical role in the APC and checkpoint pathway(s). 1996, Pubmed
Yamamoto, Pds1p is required for faithful execution of anaphase in the yeast, Saccharomyces cerevisiae. 1996, Pubmed
Yu, Identification of a cullin homology region in a subunit of the anaphase-promoting complex. 1998, Pubmed
Zachariae, Identification of subunits of the anaphase-promoting complex of Saccharomyces cerevisiae. 1996, Pubmed
Zachariae, Mass spectrometric analysis of the anaphase-promoting complex from yeast: identification of a subunit related to cullins. 1998, Pubmed
