Click here to close
Hello! We notice that you are using Internet Explorer, which is not supported by Xenbase and may cause the site to display incorrectly.
We suggest using a current version of Chrome,
FireFox, or Safari.
???displayArticle.abstract???
Previous studies indicate that gamma tubulin ring complex (gammaTuRC) can nucleate microtubule assembly and may be important in centrosome formation. gammaTuRC contains approximately eight subunits, which we refer to as Xenopus gamma ring proteins (Xgrips), in addition to gamma tubulin. We found that one gammaTuRC subunit, Xgrip109, is a highly conserved protein, with homologues present in yeast, rice, flies, zebrafish, mice, and humans. The yeast Xgrip109 homologue, Spc98, is a spindle-pole body component that interacts with gamma tubulin. In vertebrates, Xgrip109 identifies two families of related proteins. Xgrip109 and Spc98 have more homology to one family than the other. We show that Xgrip109 is a centrosomal protein that directly interacts with gamma tubulin. We have developed a complementation assay for centrosome formation using demembranated Xenopus sperm and Xenopus egg extract. Using this assay, we show that Xgrip109 is necessary for the reassembly of salt-disrupted gammaTuRC and for the recruitment of gamma tubulin to the centrosome. Xgrip109, therefore, is essential for the formation of a functional centrosome.
Figure 1. Xgrip109 is homologous to the yeast γ-tubulin–interacting protein Spc98. Sequence comparison of Xgrip109 and Spc98. Vertical lines, identical amino acids; two dots, conserved amino acid changes. The overall amino acid identity shared between the two sequences is ∼21%. The underlined region shares ∼28% amino acid identity. The sequences in Xgrip109 that match the internal peptide are boxed.
Figure 2. There may be two protein families in vertebrates that share homology with Xgrip109. (A) Sequence comparisons among one group of human (GenBank/EMBL/DDBJ accession number T55505), mouse (accession number AA152700), zebrafish (accession number AA495279) ESTs, and Xgrip109 (from amino acid 512 to 684). These sequences share over 85% amino acid identity. (B) Sequence comparisons among another group of human (accession number R13714) and mouse (accession number AA543491) ESTs, and Xgrip109 (from amino acid 534 to 612). Although the two EST sequences share over 85% amino acid identity with each other, Xgrip109 is only ∼38% identical to the two EST sequences.
Figure 4. Xgrip109 is localized to centrosomes. (A) Xgrip109 and γ tubulin colocalized to the centrosomes in XLK-WG cells. γ tubulin, γ-tubulin localization revealed by fluorescein secondary antibody; Xgrip109, Xgrip109 localization revealed by Cy3 secondary antibody; DAPI, DNA staining with DAPI; Nom, Nomarski images of the cells. (B) Xgrip109 is localized to the in vitro–assembled centrosomes. The in vitro–assembled centrosomes were spun onto glass coverslips and indirect immunofluorescence staining was carried out using anti–γ-tubulin and anti-Xgrip109 antibodies (refer to Materials and Methods). γ tubulin, γ tubulin was localized to the tip of the sperm nucleus; Xgrip109, Xgrip109 was also localized to the tip of the sperm nucleus; DAPI, the two-sperm nuclei that were stained with either anti–γ-tubulin antibody (GTU-88) or anti-Xgrip109 antibodies (109-2) were stained with DAPI. The images are a combination of fluorescence and phase images. Arrows, microtubule asters at the tips of the two-sperm nuclei. Bars: (A) 20 μm; (B) 10 μm.
Figure 5. Xgrip109 interacts directly with γ tubulin. (A) γTuRC is dissociated in high salt. Clarified Xenopus egg extracts were first precipitated with 30% ammonium sulfate. The pellet (30% Asp) was resuspended in either Hepes 1 M (refer to Materials and Methods) or Hepes 100. The resuspended proteins were fractionated on 5–40% sucrose gradients. The sucrose gradient standards used were bovine serum albumin (4.4S), bovine liver catalase (11.3S), and bovine thyroglobulin (19.4S). The protein standards used (indicated at the bottom of each panel in A) were dissolved in either Hepes 1 M or Hepes 100 and then fractionated under identical conditions. Gradient fractions were collected from the top and each fraction was analyzed by SDS-PAGE followed by Western blotting with XenC and 109-2 antibodies. (B) A fraction of the γ tubulin remains associated with Xgrip109 in high salt. Immunoprecipitations with XenC (lanes 1 and 3) or 109-2 antibodies (lanes 2 and 4) were carried out using 30% Asp resuspended in either Hepes 1 M (lanes 1 and 2) or Hepes 100 (lanes 3 and 4). The precipitated proteins were separated by SDS-PAGE and then stained by Coomassie blue. The γTuRC components (Xgrips) are indicated by their respective molecular masses.
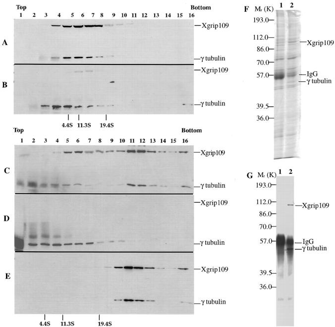
Figure 6. Xgrip109 is required for the reformation of salt-disrupted γTuRC. Clarified Xenopus egg extracts were precipitated with 30% ammonium sulfate. The pellet fraction (30% Asp) was resuspended in either Hepes 100 as control or in Hepes 1 M. Sucrose gradients in A–E are all 5–40%. (A) 30% Asp resuspended in Hepes 1M was immunoprecipitated with random IgG and then analyzed on a sucrose gradient. (B) The same as in A, except that the anti-Xgrip109 antibody, 109-2, was used in the immunoprecipitation. (C) The same as in A, except that after immunoprecipitation, a desalting step was included before the sucrose gradient sedimentation. (D) The same as in B, except that after immunoprecipitation, a desalting step was included before the sucrose gradient sedimentation. (E) Control, 30% Asp resuspended in Hepes 100, desalted, and fractionated on a sucrose gradient. (F) SDS-PAGE separation followed by Coomassie blue staining of proteins that were immunoprecipitated with random IgG (lane 1) and 109-2 IgG (lane 2). (G) The same protein samples in F were analyzed by Western probing with XenC and 109-2. Because samples in A and B contained higher amounts of salt than that of the samples in C, D, and E (refer to Materials and Methods), the sucrose gradient fractions of A and B cannot be compared directly to that of C, D, and E. The molecular weight standards for A and B are indicated at the bottom of A; C, D, and E are indicated at the bottom of E. Standards used are BSA (4.4S), bovine liver catalase (11.3S), and bovine thyroglobulin (19.4S).
Figure 7. The complementation assay for centrosome formation. (A) Western analysis of the immunodepleted extracts, 30% ammonium supernatant, the pellet was probed with 109-2 and XenC. Lanes 1–4: clarified extract; clarified extract immunodepleted using random IgG; clarified extract immunodepleted using XenC; 30% ammonium sulfate supernatant (there is no detectable γ tubulin or Xgrip109), respectively. Lanes 5 and 6: 30% Asp resuspended in Hepes 100 (lane 5) or Hepes 1 M (lane 6), desalted, and then concentrated ∼20-fold. (B) Quantitation of the complementation assays. Red columns, percentage of sperm with centrosomes that nucleated astral microtubules; blue columns, percentage of sperm without any microtubule nucleation from the tip of the sperm; green columns, percentage of sperm with centrosomes that nucleated a few disorganized microtubules; Ran. IgG, depletion with random IgG allowed over 80% of sperm centrioles to assemble into centrosomes; XenC IgG, depletion with XenC IgG completely abolished the centrosome assembly activity in the extract; +ASP.100mM, addition of 30% Asp resuspended in Hepes 100 to the γTuRC- depleted extract resulted in over 80% of sperm centrioles to assemble into centrosomes; +ASP.1M, addition of 1 M salt-treated and desalted 30% Asp to the γTuRC-depleted extract resulted in over 70% of sperm centrioles to assemble into centrosomes. The error bars were determined from four independent assays in each case. (C) Representative sperm nuclei with or without a microtubule aster from the assays in B are shown. The microtubules were labeled by the addition of a small amount of rhodamine- tubulin in the assays. Xgrip109 was detected using 109-c antibodies and a fluorescein conjugated goat anti–rabbit secondary antibody. The sperm DNA was stained by DAPI. Bar, 10 μm.
Figure 8. Xgrip109 is essential for the formation of a functional centrosome. (A) Western analysis of the immunodepleted extract, 30% Asp, and 30% ammonium sulfate supernatant probed with XenC and 109-2. Lanes 1 and 2: clarified extract immunodepleted with either random IgG (lane 1) or XenC (lane 2). Judging by the absence of γ tubulin and Xgrip109, XenC depleted the γTuRC (lane 2). Lane 3, 30% ammonium sulfate supernatant that does not contain detectable γTuRC as expected. Lane 4, 30% Asp resuspended in Hepes 1 M. Lanes 5 and 6, 30% Asp resuspended in Hepes 1 M and then immunodepleted using either random IgG (lane 5) or 109-2 (lane 6). Lanes 7 and 8 are the same as lanes 5 and 6, respectively, except that the proteins were desalted into Hepes 100, and concentrated ∼20-fold. Lanes 5–8 show that immunodepletion of Xgrip109 in 1 M KCl removed only a fraction of γ tubulin (compare γ-tubulin signals in lanes 5 and 6), whereas Xgrip109 is completely depleted. (B) Quantitation of the complementation assay. Red columns, percentages of sperm with microtubule asters nucleated from the assembled centrosomes; blue columns, percentages of sperm without microtubule asters; white columns, percentages of sperm with assembled centrosomes that nucleated only a few disorganized microtubules; Ran. IgG, centrosome formation assays carried out with clarified extracts that were immunodepleted with random IgG. Over 80% of the sperm centrioles assembled into centrosomes. XenC. IgG, centrosome formation assays carried out with clarified extracts that were immunodepleted of γTuRC using XenC IgG. The centrosome assembly activity was abolished. +Asp Ran. IgG, 30% Asp that was resuspended in Hepes 1 M and immunodepleted with random IgG complemented the γTuRC-depleted extract to assemble centrosomes. +Asp Xgrip109, 30% Asp that was resuspended in Hepes 1M and immunodepleted of Xgrip109 did not complement the γTuRC-depleted extract to assemble centrosomes. (C) Representative sperm nuclei with or without a microtubule aster from the assays in B are shown. The microtubules were labeled by the addition of a small amount of rhodamine-tubulin in the assays. γ Tubulin was detected using an anti–γ-tubulin monoclonal antibody GTU-88 (Sigma Chemical Co.) and a fluorescein-conjugated goat anti–mouse secondary antibody. γ Tubulin is not recruited to the centrosome in the absence of Xgrip109. The sperm DNA was stained by DAPI. Bar, 10 μm.
Figure 9. Recruitment models. (A) Direct recruitment model. γTuRC directly binds to a hypothetical recruitment factor(s) and assembles to the centrosome to act as a microtubule nucleator. (B) Subunit recruitment model. γTuRC is first disassembled to subunits. Only some subunits are recruited to the centrosome by the recruitment factor.
Belmont,
Identification of a protein that interacts with tubulin dimers and increases the catastrophe rate of microtubules.
1996, Pubmed,
Xenbase
Belmont,
Identification of a protein that interacts with tubulin dimers and increases the catastrophe rate of microtubules.
1996,
Pubmed
,
Xenbase Desai,
Microtubule polymerization dynamics.
1997,
Pubmed Endow,
Yeast Kar3 is a minus-end microtubule motor protein that destabilizes microtubules preferentially at the minus ends.
1994,
Pubmed Erickson,
Protofilaments and rings, two conformations of the tubulin family conserved from bacterial FtsZ to alpha/beta and gamma tubulin.
1996,
Pubmed Evans,
Influence of the centrosome on the structure of nucleated microtubules.
1985,
Pubmed Félix,
Centrosome assembly in vitro: role of gamma-tubulin recruitment in Xenopus sperm aster formation.
1994,
Pubmed
,
Xenbase Geissler,
The spindle pole body component Spc98p interacts with the gamma-tubulin-like Tub4p of Saccharomyces cerevisiae at the sites of microtubule attachment.
1996,
Pubmed Hirano,
A heterodimeric coiled-coil protein required for mitotic chromosome condensation in vitro.
1994,
Pubmed
,
Xenbase Horio,
The fission yeast gamma-tubulin is essential for mitosis and is localized at microtubule organizing centers.
1991,
Pubmed Hyman,
Preparation of modified tubulins.
1991,
Pubmed Iwamatsu,
Systematic peptide fragmentation of polyvinylidene difluoride(PVDF)-immobilized proteins prior to microsequencing.
1996,
Pubmed Joshi,
Gamma-tubulin is a centrosomal protein required for cell cycle-dependent microtubule nucleation.
1992,
Pubmed Kellogg,
The centrosome and cellular organization.
1994,
Pubmed Knop,
The spindle pole body component Spc97p interacts with the gamma-tubulin of Saccharomyces cerevisiae and functions in microtubule organization and spindle pole body duplication.
1997,
Pubmed Li,
gamma-tubulin is a minus end-specific microtubule binding protein.
1995,
Pubmed Lohka,
Formation in vitro of sperm pronuclei and mitotic chromosomes induced by amphibian ooplasmic components.
1983,
Pubmed
,
Xenbase Marschall,
Analysis of Tub4p, a yeast gamma-tubulin-like protein: implications for microtubule-organizing center function.
1996,
Pubmed McNally,
Katanin, the microtubule-severing ATPase, is concentrated at centrosomes.
1996,
Pubmed Melki,
Chaperonin-mediated folding of vertebrate actin-related protein and gamma-tubulin.
1993,
Pubmed Mitchison,
Dynamic instability of microtubule growth.
,
Pubmed Moritz,
Microtubule nucleation by gamma-tubulin-containing rings in the centrosome.
1995,
Pubmed Moritz,
Three-dimensional structural characterization of centrosomes from early Drosophila embryos.
1995,
Pubmed Murray,
Cell cycle extracts.
1991,
Pubmed Oakley,
Identification of gamma-tubulin, a new member of the tubulin superfamily encoded by mipA gene of Aspergillus nidulans.
1989,
Pubmed Oakley,
Gamma-tubulin is a component of the spindle pole body that is essential for microtubule function in Aspergillus nidulans.
1990,
Pubmed Oakley,
Gamma-tubulin: the microtubule organizer?
1992,
Pubmed Olmsted,
Microtubule-associated proteins.
1986,
Pubmed Raff,
Drosophila gamma-tubulin is part of a complex containing two previously identified centrosomal MAPs.
1993,
Pubmed Sawin,
Mitotic spindle assembly by two different pathways in vitro.
1991,
Pubmed
,
Xenbase Sobel,
A highly divergent gamma-tubulin gene is essential for cell growth and proper microtubule organization in Saccharomyces cerevisiae.
1995,
Pubmed Spang,
gamma-Tubulin-like Tub4p of Saccharomyces cerevisiae is associated with the spindle pole body substructures that organize microtubules and is required for mitotic spindle formation.
1996,
Pubmed
,
Xenbase Stearns,
Gamma-tubulin is a highly conserved component of the centrosome.
1991,
Pubmed
,
Xenbase Stearns,
In vitro reconstitution of centrosome assembly and function: the central role of gamma-tubulin.
1994,
Pubmed
,
Xenbase Sunkel,
Gamma-tubulin is required for the structure and function of the microtubule organizing centre in Drosophila neuroblasts.
1995,
Pubmed Tavosanis,
Essential role for gamma-tubulin in the acentriolar female meiotic spindle of Drosophila.
1997,
Pubmed Vallee,
Microtubule-associated proteins: subunits of the cytomatrix.
1984,
Pubmed Vogel,
Centrosomes isolated from Spisula solidissima oocytes contain rings and an unusual stoichiometric ratio of alpha/beta tubulin.
1997,
Pubmed Weil,
Isolation of mip (microtubule-interacting protein) mutations of Aspergillus nidulans.
1986,
Pubmed Weisenberg,
Microtubule formation in vitro in solutions containing low calcium concentrations.
1972,
Pubmed Zheng,
Nucleation of microtubule assembly by a gamma-tubulin-containing ring complex.
1995,
Pubmed
,
Xenbase Zheng,
Gamma-tubulin is present in Drosophila melanogaster and Homo sapiens and is associated with the centrosome.
1991,
Pubmed