Click here to close
Hello! We notice that you are using Internet Explorer, which is not supported by Xenbase and may cause the site to display incorrectly.
We suggest using a current version of Chrome,
FireFox, or Safari.
???displayArticle.abstract???
Mature olfactory receptor neurons of mammals are characterized by the expression of the highly conserved olfactory marker protein (OMP) encoded by single copy genes. In Xenopus laevis, two homologous genes encoding olfactory marker proteins have been identified that share a sequence identity with mammalian OMPs of about 50%. Sequence comparison revealed significant variability in the N-terminus and C-terminus regions; in contrast, two internal domains were highly conserved between amphibian and mammalian OMPs, suggesting some functional relevance. The two OMP subtypes were regionally expressed in the olfactory nasal epithelium of Xenopus. XOMP1 transcripts were more abundant in the lateral diverticulum and XOMP2 in the medial diverticulum. The lateral location of XOMP1 and medial location of XOMP2 correspond to the suggested locations of olfactory receptor neurons responsive to water-borne and air-borne odorants, respectively.
Fig. 1. A: Deduced amino acid sequences of Xenopus olfactory
marker protein (OMP) genes XOMP1 and XOMP2. Differences in the
amino acid sequences are shaded. Most of the 14 amino acid substitutions
are conservative exchanges and are scattered over the sequence.
B: Alignment of Xenopus OMPs XOMP1 and XOMP2 with OMP
proteins from human, mouse, and rat. Amino acid residues conserved
in all sequences are indicated by an asterisk. Amino acids sharing
.50% identity in all sequences are shaded. Dashes represent gaps in
the amino acid sequence.
Fig. 2. Southern blot analysis of Xenopus XOMP genes. Xenopus
genomic DNA isolated from muscletissue was digested with restriction
endonuclease EcoRI (lane 1) and KpnI (lane 2), electrophoresed
on a 1% agarose gel, and blotted on a nylon filter. The blot was
hydridized with a Dig-labeled probe that corresponded to a 382-bp
fragment from XOMP1 cDNA encoding amino acids 19â146, which
shows no internal recogntion sight for EcoRI or KpnI. Hybridizing
fragments share a sequence homology of .90%. The position of
HindIII and HindIII/EcoRI digested lambda-DNA is shown on the left
in kilobase pairs.
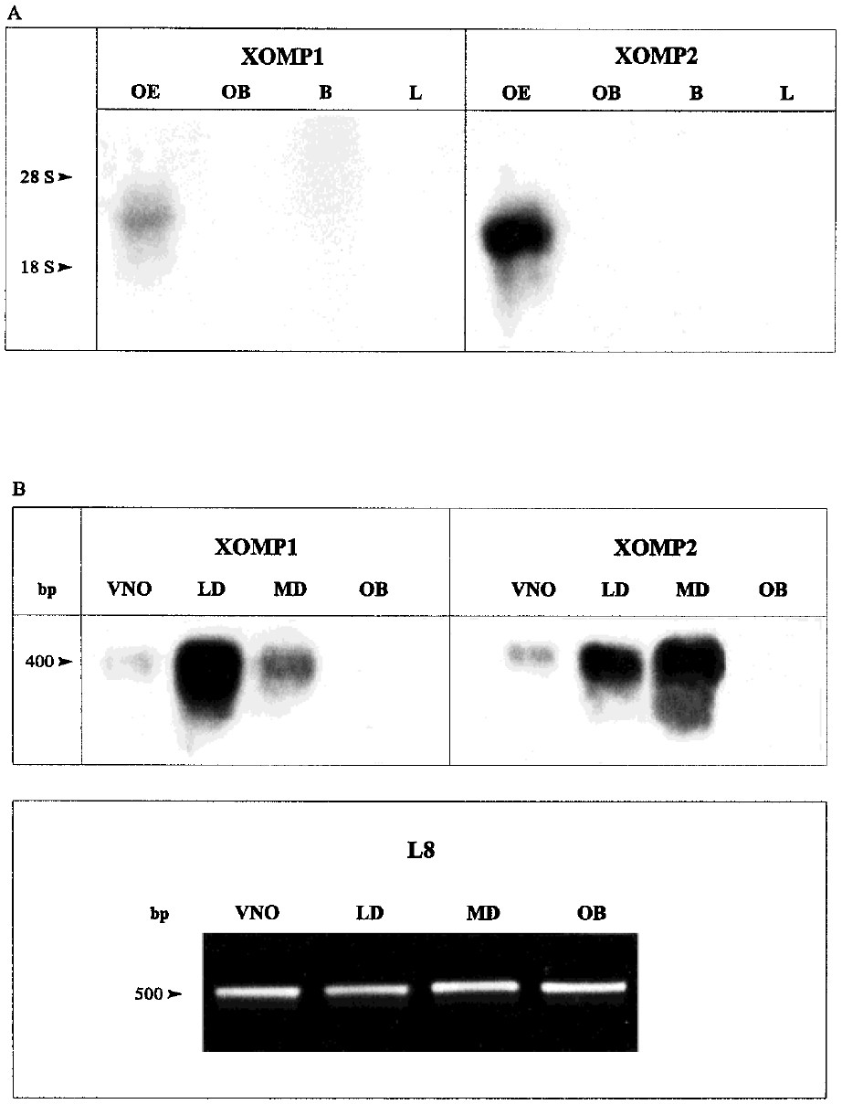
Fig. 3. A: Northern blot analysis of XOMP1 and XOMP2 expression
in the nasal organ, the olfactory bulb, and nonolfactory tissues of
Xenopus. Hybridization was performed under high stringency conditions
with 5 μg of total RNAfrom Xenopus nasal cavity, olfactory bulb,
brain, and liver by using antisense riboprobes of both full-length
clones. The blots were exposed for 11 hours. The position of the 18-S
and 28-S ribosomal RNA bands are indicated. XOMP mRNA of both
subtypes is expressed in the olfactory epithelium (OE), whereas no
expression of either XOMP1 or XOMP2 is detectable in the olfactory
bulb (OB), brain (B), and liver (L). In the left blot, the native 1.8-kb
XOMP1 mRNA is visible; in the right blot, expression of XOMP2
mRNA of a slightly smaller size (1.6 kb) is detectable. Note the higher
level of XOMP2 mRNA. B: Compartment-specific expression of XOMP
genes revealed by semiquantitative reverse transcriptaseâpolymerase
chain reaction (RT-PCR). RNA from all three compartments including
vomeronasal organ (VNO), lateral diverticulum (LD), medial diverticulum
(MD), and olfactory bulb (OB) of one Xenopus nasal cavity was
subjected to RT-PCR analysis by using primer pairs specific for the
38-untranslated region of either XOMP1 or XOMP2. To compare equal
amounts of cDNA, additional PCR experiments were performed by
using the housekeeping gene L8 as an endogenous control. The PCR
samples of L8 were separated by electophoresis to compare band
intensities (lower panel). The linearly amplified XOMP PCR products
were analyzed on Southern blots by using labeled XOMP-subtype
specific probes corresponding to the 38-untranslated regions. The
amount of probe was similar for both XOMP subtype probes. In the
LD, a preferential expression of XOMP1 was recognized. In the MD,
XOMP2 was preferentially expressed. In the VNO, small amounts of
XOMP1 and XOMP2 transcripts were observed. In the OB, no XOMP
expression was detected.
Fig. 4. Cellular localization of XOMP gene expression in adult
Xenopus olfactory epithelium by in situ hybridization. A: Section
through the medial diverticulum (MD) incubated with a digoxigeninlabeled
antisense riboprobe of XOMP2. Labeled cells are confined to
the sensory part of the mucosa; no signals were detected in the
nonsensory part. Arrowheads indicate the transition between the
olfactory epithelium (OE) and adjacent respiratory epithelium (RE).
B: A section through the lateral diverticulum (LD) probed with
XOMP1. Within the epithelium, specific hybridization is restricted to
olfactory receptor neurons (ORN) but not to sustentacular cells (SC) or
basal cells (BC). Signals are absent from the lamina propria (LP).
Scale bars 5 100 μm in A, 40 μm in B.
Fig. 5. In situ hybridization of adult Xenopus coronal sections
through the sensory epithelia of all subcompartments probed with
either XOMP1-specific or XOMP2-specific antisense RNA. A,B: Adjacent
sections through the lateral diverticulum (LD) hybridized with
XOMP1 and XOMP2. XOMP1 is strongly expressed in the sensory
cells of the LD (A). The expression of XOMP2 is significantly weaker
(B). C,D: Consecutive sections through the medial diverticulum (MD)
probed with XOMP1 and XOMP2. C: XOMP1 strongly hybridized to
only single neurons randomly distributed within the MD. The majority
of neurons are weakly stained. D: Hybridization with the XOMP2-
specific probe intensively labeled many cells in the olfactory neuron
layer. E: Coronal section of the vomeronasal organ (VNO) annealed
with XOMP1. The probe labeled single, randomly distributed chemosensory
cells in the VNO. These XOMP1-expressing neurons are
surrounded by cells with a diffuse and very weak staining. Arrowhead
indicates a single mature VNOneuron expressing XOMP1. Scale
bars 5 50 μm.