XB-ART-15165
J Cell Biol
1998 Mar 09;1405:1187-97. doi: 10.1083/jcb.140.5.1187.
Show Gene links
Show Anatomy links
The pattern of disulfide linkages in the extracellular loop regions of connexin 32 suggests a model for the docking interface of gap junctions.
Foote CI, Zhou L, Zhu X, Nicholson BJ.
???displayArticle.abstract???
Connexins, like true cell adhesion molecules, have extracellular domains that provide strong and specific homophilic, and in some cases, heterophilic interactions between cells. Though the structure of the binding domains of adhesion proteins have been determined, the extracellular domains of connexins, consisting of two loops of approximately 34-37 amino acids each, are not easily studied in isolation from the rest of the molecule. As an alternative, we used a novel application of site-directed mutagenesis in which four of the six conserved cysteines in the extracellular loops of connexin 32 were moved individually and in all possible pairwise and some quadruple combinations. This mapping allowed us to deduce that all disulfides form between the two loops of a single connexin, with the first cysteine in one loop connected to the third of the other. Furthermore, the periodicity of movements that produced functional channels indicated that these loops are likely to form antiparallel beta sheets. A possible model that could explain how these domains from apposed connexins interact to form a complete channel is discussed.
???displayArticle.pubmedLink??? 9490731
???displayArticle.pmcLink??? PMC2132700
???displayArticle.link??? J Cell Biol
???displayArticle.grants??? [+]
CA-48049 NCI NIH HHS , HL-48773 NHLBI NIH HHS , R01 GM055437 NIGMS NIH HHS , R01 CA048049 NCI NIH HHS
Species referenced: Xenopus
Genes referenced: c1s gjb1 tbx2
???attribute.lit??? ???displayArticles.show???
|
|
Figure 2. Schematic representation of the cysteine mutants tested. An alignment of selected mammalian connexin sequences for the two extracellular loops (E1 and E2) is shown (shaded) above the sequence of Cx32, which was the target of mutation here. Restriction enzyme sites used to create combination mutants within each loop (Fig. 3) and between loops (Fig. 4) are indicated (refer to Materials and Methods for details). Mutants leading to movement of the cysteines in E1 and E2 are illustrated, with appropriately marked arrows indicating the terminology for direction of the movements used in the text. |
|
|
Figure 3. Functional analysis of single and paired movements of cysteines 1 and 3 within E1 or E2 of Cx32. Mutants of Cx32 in which cysteines 1 and 3 of either E1 or E2 were moved singly, or in pairs within a loop (refer to Fig. 2 for nomenclature used), were tested for function in paired Xenopus oocytes. In all cases, mutant cRNA was injected into one oocyte, and Cx32 wt cRNA into another, before pairing and analysis of coupling. The percent of mutant/Cx32 wt coupling compared to Cx32 wt/Cx32 wt coupling of oocytes from the same batch is illustrated graphically, and numerically (right), along with the standard error (SE), and number of experiments (n). Single mutants failed to pair with Cx32, as did most double movements except those in which the cysteines were moved two residues away from their original positions in the sequence. |
|
|
Figure 4. Functional analysis of paired movements of cysteines 1 and 3 between E1 and E2 of Cx32. Movements of one or both of cysteines 1 and 3 in E1 were combined in several permutations with equivalent movements of cysteines in E2 as indicated. Functional analysis in the paired oocyte expression system was as described in Fig. 3, with mutant Cx32 wt coupling expressed as a percentage of Cx32 wt/Cx32 wt coupling. The mean percent coupling/standard error and the number of experiments (n) are shown on the right. Interloop pairings of both C1s or both C3s failed to couple, but movements of C1 in one loop and C3 in the other consistently gave equal or better coupling than the intraloop pairings. As with the movements within a loop, a periodicity of two was evident in the functional mutants. Note that the minimally functional E2:C1−4/C3+4 mutant was rescued when combined with E1:C1−2/C3+2. |
|
|
Figure 9. Proposed model of the extracellular loop regions of a connexin. (A) Based on the observations presented here, E1 and E2 form stacked, antiparallel β sheets connected by three disulfide bonds, although the bond between the 2 and 2′ cysteines is not directly demonstrated here. The model accounts for the periodicity of cysteine movements between loops that rescue coupling, and how movements of the first and third cysteines within a loop could be accommodated by a change in the orientation of the interloop disulfides, or a sliding of the loops with respect to one another. Equivalent loops from the connexins of the apposed hemichannel are hypothesized to interdigitate in front of and behind the stacked loops shown. Conserved residues are indicated based on alignments of all vertebrate connexins. Filled circles indicate hydrophobic character, and open circles indicate hydrophilic character. Half-filled circles indicate that either no consensus of hydrophilic or hydrophobic residues exists at this location, or the conserved residue at that location has an amphipathic character (e.g., Y). Specific residues are only indicated when at least 14 of the 17 aligned sequences were identical at that position. (B) An artist's impression of the β zip model of how the loops of individual connexins could interdigitate to form a β barrel extension of the gap junction channel at the docking interface between hemichannels. Concentric barrels, according to the model shown in A, would be held together by disulfides and are shown extending from the connexin subunits within the membrane into the extracellular space separating the cells. The loops have been shown with an arbitrary tilt to the perpendicular axis of the barrel, consistent with other known β barrel structures. |
|
|
Figure 5. Cell-free translation and membrane insertion of Cx32 mutants. cRNAs for Cx32 wt, (lane 1) and a subset of the nonfunctional Cx32 cysteine mutants (lanes 2–7) were translated in rabbit reticulocyte lysate supplemented with [35S]met and dog pancreatic microsomes (Zhang et al., 1996). Microsomal pellets were isolated and then washed in Na2CO3 to remove accessory and lumenal proteins before solubilization for SDS-PAGE and autoradiography. Cx32 wt and all mutants, except Cx32 (E1:C1−2); (lane 6), produced two major bands corresponding to full-length Cx32 and a truncated form arising from cleavage at a cryptic signal peptidase site (Falk et al., 1994; Zhang et al., 1996), indicating insertion of all products into the membrane. Lower molecular weight products that are likely to be the result of internal initiation or premature termination of translation are evident in all translations. Cx32 (E1:C1−2) (lane 6) produces less full-length product and a major lower molecular weight product distinct from other constructs. Samples shown are: wt Cx32 (lane 1), Cx32 (E2:C1−1) (lane 2), Cx32 (E2:C3+1) (lane 3), Cx32 (E2:C1−2) (lane 4), Cx32 (E2:C1−3/C3+3) (lane 5), Cx32 (E1:C1−2) (lane 6) and Cx32 (E1:C3+2) (lane 7). |
|
|
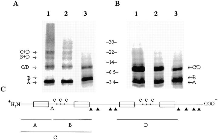
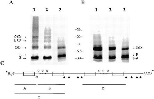
Figure 6. In vitro analysis of disulfide formation in WT and mutant Cx32. Nonreducing (A), and reducing (B) SDS-PAGE were used to dissect disulfide formation in Cx32 wt (A and B, lanes 1), functional paired mutants [Cx32 (E1:C3+2/E2:C1−2): A and B, lanes 2], and nonfunctional single mutants [Cx32 (E2:C1−2) in A and B, lanes 3) produced by the cell-free translation/microsomal translocation system (Zhang et al., 1996). Full-length products were digested with trypsin albumenally (exposed sites based on wt topology are indicated by solid arrowheads in C). In combination with the cryptic activity of signal peptidase (open arrowhead), this should yield fragments A–D as indicated in C. Products were then analyzed on nonreducing (A) or reducing (B) SDS–polyacrylamide gels, with the predicted mobilities of each fragment indicated. Wt and both mutants yielded the same predicted profile under reducing conditions (B), indicating a similar topology in all cases. This pattern did not change for the nonfunctional mutant under nonreducing conditions (A, lane 3). In contrast, both wt and functional mutants yield higher molecular weight products under nonreducing conditions, consistent with disulfide formation between the loops (A, lanes 1 and 2). |
|
|
Figure 7. Current traces of wt and mutant Cx32 channels express in Xenopus oocyte pairs. As a test of the degree to which mutant Cx32 channels reproduced the wt channel phenotype, transjunctional currents in response to applied transjunctional voltage steps from −100 to +100 mV in 10-mV (A and B) or 20-mV (C) increments were recorded in the paired Xenopus oocyte system. Oocytes were initially clamped at −40 mV. 3 min was allowed for recovery between pulses. Responses of the wt channels (A) were essentially indistinguishable in kinetics and sensitivity to voltage from either heterotypic pairings of Cx32 wt and Cx32 (E1:C3+2/ E2:C1−2) (B) or homotypic pairing of Cx32 (E1:C3+2/ E2:C1−2). However, progressive decreases in the absolute conductance level of the mutant were typically observed. Similar results were obtained with other functional mutants listed in Figs. 3 and 4. |
|
|
Figure 8. Current traces of Cx32 mutants E2-2 and E1-2/E2-2 paired with an oocyte expressing the endogenous connexin (XeCx38). Shown are plots of current (nA) versus time (ms) for oocyte pairs injected with Cx32 (E2:C1−2): water (A and C), and Cx32 (E1:C1−2/E2:C1−2): water (B and D). Currents are in response to 20-s transjunctional voltage steps from −110 to +110 mV in 20-mV increments. The majority of records obtained show little or no response of junctional currents to transjunctional voltage gradients in this range (A and B). In one experiment, a markedly asymmetric response was noted for both mutants (C and D). One side remained voltage insensitive, but when the XeCx38- expressing cell was relatively positive, a fast and sensitive voltage response was seen analogous to that of XeCx38 homotypic channels. |
References [+] :
Akabas,
Identification of acetylcholine receptor channel-lining residues in the entire M2 segment of the alpha subunit.
1994, Pubmed,
Xenbase
Akabas, Identification of acetylcholine receptor channel-lining residues in the entire M2 segment of the alpha subunit. 1994, Pubmed , Xenbase
Barrio, Gap junctions formed by connexins 26 and 32 alone and in combination are differently affected by applied voltage. 1991, Pubmed , Xenbase
Cascio, The secondary structure of gap junctions. Influence of isolation methods and proteolysis. 1990, Pubmed
Caspar, Gap junction structures. I. Correlated electron microscopy and x-ray diffraction. 1977, Pubmed
Dahl, Mutational analysis of gap junction formation. 1992, Pubmed , Xenbase
Dermietzel, Gap junctions in the brain: where, what type, how many and why? 1993, Pubmed , Xenbase
Ebihara, Distinct behavior of connexin56 and connexin46 gap junctional channels can be predicted from the behavior of their hemi-gap-junctional channels. 1995, Pubmed , Xenbase
Elfgang, Specific permeability and selective formation of gap junction channels in connexin-transfected HeLa cells. 1995, Pubmed
Falk, Membrane insertion of gap junction connexins: polytopic channel forming membrane proteins. 1994, Pubmed
Fulton, Gap junctions in the developing nervous system. 1995, Pubmed
Ghoshroy, Preparation, characterization, and structure of half gap junctional layers split with urea and EGTA. 1995, Pubmed
Guthrie, Gap junctional communication and development. 1989, Pubmed
Harris, Kinetic properties of a voltage-dependent junctional conductance. 1981, Pubmed
Haubrich, Incompatibility of connexin 40 and 43 Hemichannels in gap junctions between mammalian cells is determined by intracellular domains. 1996, Pubmed
Hennemann, Molecular cloning and functional expression of mouse connexin40, a second gap junction gene preferentially expressed in lung. 1992, Pubmed , Xenbase
Hertzberg, Topology of the Mr 27,000 liver gap junction protein. Cytoplasmic localization of amino- and carboxyl termini and a hydrophilic domain which is protease-hypersensitive. 1988, Pubmed
Hoh, Molecular cloning and characterization of a new member of the gap junction gene family, connexin-31. 1991, Pubmed , Xenbase
Hoh, Structure of the extracellular surface of the gap junction by atomic force microscopy. 1993, Pubmed
Jap, Structural architecture of an outer membrane channel as determined by electron crystallography. 1991, Pubmed
John, Connexon integrity is maintained by non-covalent bonds: intramolecular disulfide bonds link the extracellular domains in rat connexin-43. 1991, Pubmed
Kunkel, Rapid and efficient site-specific mutagenesis without phenotypic selection. 1987, Pubmed
Kürz, Side-chain accessibilities in the pore of a K+ channel probed by sulfhydryl-specific reagents after cysteine-scanning mutagenesis. 1995, Pubmed , Xenbase
Levine, Asymmetry of gap junction formation along the animal-vegetal axis of Xenopus oocytes. 1993, Pubmed , Xenbase
Loewenstein, The cell-cell channel in the control of growth. 1992, Pubmed
Makowski, Gap junction structures. II. Analysis of the x-ray diffraction data. 1977, Pubmed
Manjunath, Detergent sensitivity and splitting of isolated liver gap junctions. 1984, Pubmed
Milks, Topology of the 32-kd liver gap junction protein determined by site-directed antibody localizations. 1988, Pubmed
Musil, Multisubunit assembly of an integral plasma membrane channel protein, gap junction connexin43, occurs after exit from the ER. 1993, Pubmed , Xenbase
Nicholson, Rat liver gap junction protein: properties and partial sequence. 1981, Pubmed
Paul, Expression of a dominant negative inhibitor of intercellular communication in the early Xenopus embryo causes delamination and extrusion of cells. 1995, Pubmed , Xenbase
Paul, Molecular cloning of cDNA for rat liver gap junction protein. 1986, Pubmed
Perkins, Three-dimensional structure of the gap junction connexon. 1997, Pubmed
Rahman, Topography of connexin32 in rat liver gap junctions. Evidence for an intramolecular disulphide linkage connecting the two extracellular peptide loops. 1991, Pubmed
Rubin, A domain substitution procedure and its use to analyze voltage dependence of homotypic gap junctions formed by connexins 26 and 32. 1992, Pubmed , Xenbase
Severs, Pathophysiology of gap junctions in heart disease. 1994, Pubmed
Sosinsky, Image analysis of gap junction structures. 1992, Pubmed
Suchyna, Identification of a proline residue as a transduction element involved in voltage gating of gap junctions. 1993, Pubmed , Xenbase
Tibbitts, Diffraction diagnosis of protein folding in gap junction connexons. 1990, Pubmed
Unger, Projection structure of a gap junction membrane channel at 7 A resolution. 1997, Pubmed
Unwin, Structure of the junction between communicating cells. 1980, Pubmed
Verselis, Opposite voltage gating polarities of two closely related connexins. 1994, Pubmed , Xenbase
Weiss, Molecular architecture and electrostatic properties of a bacterial porin. 1991, Pubmed
White, Selective interactions among the multiple connexin proteins expressed in the vertebrate lens: the second extracellular domain is a determinant of compatibility between connexins. 1994, Pubmed , Xenbase
White, Functional analysis of selective interactions among rodent connexins. 1995, Pubmed , Xenbase
Yamasaki, Role of connexin genes in growth control. 1996, Pubmed
Yancey, The 43-kD polypeptide of heart gap junctions: immunolocalization, topology, and functional domains. 1989, Pubmed
Yeager, Structure of gap junction intercellular channels. 1996, Pubmed
Yilla, Early disulfide bond formation prevents heterotypic aggregation of membrane proteins in a cell-free translation system. 1992, Pubmed
Zhang, The topological structure of connexin 26 and its distribution compared to connexin 32 in hepatic gap junctions. 1994, Pubmed
Zhang, Membrane integration of in vitro-translated gap junctional proteins: co- and post-translational mechanisms. 1996, Pubmed
Zimmer, Topological analysis of the major protein in isolated intact rat liver gap junctions and gap junction-derived single membrane structures. 1987, Pubmed
