|
Fig. 1. Induction of synchronous cell death in embryos. Early cell divisions, in synchronously fertilized eggs, were monitored by time lapse video recordings.
(A) Panels 1 compare a control (right), and irradiated (left) embryo. Embryos were g-irradiated (40 Gy), 1 h post fertilization. Panel 1, St. 2; panel 2, St. 3;
panel 3, St. 5; panel 4, St. 7; panel 5, St. 8; panel 6, St. 9. (B) Panel 1, control embryo, St. 10.5; panel 2, dying irradiated embryo, St. 10.5; panel 3, dying
cycloheximide-treated embryo. This embryo was treated with cycloheximide at the 2-cell stage, at a concentration of 0.1 mg/ml which inhibited protein
synthesis by 97%, cell division arrested at the 4-cell stage, and death occurred at a time equivalent to St. 10.5; panel 4, dying a-amanitin-treated embryo, St.
10.5. Death is defined as the rapid disintegration of the embryo characterized by a white mottled appearance. All treated embryos showed this phenotype. |
|
Fig. 2. DNA fragmentation, TUNEL staining and caspase activation are evident in dying embryos. (A) DNA fragmentation of genomic DNA from control,
and treated embryos was analyzed by end-labeling, 2% agarose gel electrophoresis, and autoradiography. Irradiated embryos received 40 Gy at St. 1, aamanitin
was injected at St. 2, and embryos were treated with cycloheximide at St. 6.5, leading to an arrest in cell division at St. 7. Batches of embryos were
collected at St. 10.5, or an equivalent time in cycloheximide treated embryos and the genomic DNA extracted. Genomic DNA from control embryos was
analyzed alongside treated embryos from the same batch. Amounts loaded in lanes 1, 2, 3, 4, 5 and 6, represent amounts equivalent to 0.4, 0.5, 0.5, 0.5, 1.4
and 1.4, respectively, of the genomic DNA of embryos. Lane 1, control; lane 2, irradiated; lane 3 control; lane 4, a-amanitin treated; lane 5, control; lane 6
cycloheximide treated. (B) Embryos were fixed and TUNEL stained at the indicated stages: panels 1, 4, 7 and 10, St. 9; panels 2, 5, 8 and 11, St. 10; panels 3,
6, 9 and 12, St. 10.5. Panels 1, 2 and 3 show control embryos; panels 4, 5 and,6 show embryos irradiated at St. 1, 40 Gy; panels 7, 8 and 9, show embryos
treated with a-amanitin at the 2-cell stage; and panels 10, 11 and 12, show embryos treated with cycloheximide at St. 6.5, leading to an arrest in cell division
at St. 7. (C) 35S-tPARP cleavage in embryonic extracts from the indicated stages. St. 10.5 (B) represents embryos collected 20 min later than St.10.5 (A).
Following incubation with tPARP samples were resolved by 12% SDS-PAGE. Arrows indicate the cleavage products produced by caspase activity. |
|
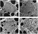
Fig. 3. Electron micrographs reveal morphological features typical of apoptotic cells. Embryos received 40 Gy of radiation at St. 1, and were fixed within 2 h
of the time of death, at a time equivalent to St.100.5 in control embryos. (A) Nucleus of control embryo showing dispersed chromatin; scale bar 2 mm. (B)
Nucleus of irradiated embryo, masses of compacted chromatin are apparent (black arrow), and the nuclear membrane is clearly intact (arrowhead); scale bar
1mm. The cell membrane is visible in the top right and bottom left corners of the picture. (C) Nucleus of irradiated embryo displays condensed chromatin
which abuts the inner surface of the nuclear membrane (arrowhead); scale bar 1 mm. (D) Nucleus of irradiated embryo which has fragmented into three
pieces. Mitochondria are readily identifiable (arrowhead); scale bar 1 mm. The large black globules seen throughout the sections are the electron dense yolk
platelets. |
|
Fig. 4. Embryonic death is rescued by ectopic expression of Bcl-2 protein or injection of the caspase inhibitor z-DEVD-fmk into embryos. (A) Panels 1 and 2
show embryonic morphology, panels 3, 4 and 5 show TUNEL stained embryos. Embryos in panels 1 and 3 were irradiated at St. 1, 40 Gy, and 1 blastomere
was injected with Bcl-2 RNA at the 2-cell stage. Panel 1 shows a St. 10.5 embryo, cells in the left half of the embryo, i.e. those arising from the blastomere
injected with Bcl-2 RNA, look normal while the right half of the embryo is dying. In this experiment 24/28 embryos showed this phenotype and the
experiment is representative of three different experiments. Panel 3 shows a similarly treated embryo which was fixed and TUNEL stained at St. 10.5. Panel 2
shows a St. 10.5 embryo in which one blastomere was injected with z-DEVD-fmk at the 2 cell stage, to yield a final concentration of 00 mM in the embryo,
the left half of the embryo containing z-DEVD-fmk is protected from embryonic death. In this experiment 14/25 injected embryos showed this phenotype and
the result is representative of three different experiments. Panel 4 shows an embryo treated with a-amanitin at the 2-cell stage in which one blastomere was
injected with Bcl-2. The embryo was fixed and TUNEL stained at St. 10.5, no TUNEL staining is observed in the cells arising from the blastomere injected
with Bcl-2, left side of embryo. Panel 5 shows an embryo injected with Bcl-2 RNA at the 2-cell stage, followed by cycloheximide treatment at St. 7. This
allowed a period of h in which Bcl-2 protein could be synthesized. The embryo was fixed and TUNEL stained at a time equivalent to St. 10.5, and the cells
arising from the injected blastomere, left half of embryo, show no TUNEL staining. (B) Percent survival curve for irradiated embryos, +/- Bcl-2. Embryos
were irradiated (40 Gy) at the one cell stage, and both blastomeres injected with Bcl-2 RNA at the 2-cell stage. Percent survival refers to the % of surviving
embryos in a population, i.e. embryos that do not turn white, or embryos that do not have greater than 50% of the cell on their surface appearing white.
Control embryos (W), g-irradiated embryos (B), g-irradiated embryos + Bcl-2 (X). Percentages were scored on batches of 50 embryos, and the data are
representative of three separate experiments. |
|
Fig. 5. Embryonic death at St. 10.5 is only induced by treatment prior to the MBT. (A) Embryos were treated with cycloheximide at various stages during
development leading to an arrest in cell division at the following Stages: panels 1 and 2, St. 3; panels 3 and 4, St. 6.5; panels 5 and 6, St. 8; panels 7 and 8, St.
9. Embryos were fixed and TUNEL stained, at times in development equivalent to St. 9 and St. 10.5 in control embryos. Panels 1, 3, 5 and 7 show St. 9
equivalent embryos, panels 2, 4, 6 and 8 show St. 10.5 equivalent embryos. Arrows in panel 2 indicate 3 stained nuclei in a 4-cell embryo. (B) Percent
survival curve of embryos irradiated at different stages during development. Embryos received 40 Gy, St. 1 irradiated (X); St. 7 irradiated (B); St. 8 irradiated
(O); St. 9 irradiated (W). Percent survival refers to the % of surviving embryos in a population, i.e. embryos that do not turn white, or embryos that do not
have greater than 50% of the cell on their surface appearing white. Percentages were scored on batches of 50 embryos, and the data are representative of three
separate experiments. |