|
FIG. 1. Effects of H2DIDS on expression of neural-specific genes
in planar explants of the dorsal marginal zone. Planar explants of
the dorsal marginal zone were isolated at the onset of gastrulation
(st. 10), stripped of external epithelium, and cultured in the presence (lane 2) or absence (lane 1) of 200 mM H2DIDS, an inhibitor
of Na/-dependent Cl0/HCO03 exchange that prevents intracellular
alkalinization during neural induction. Explants were collected for
RNA isolation and RT-PCR when intact control embryos reached
st. 20. Treatment with H2DIDS from gastrulation onward (st. 10–
20) inhibits expression of NCAM and the anterior neural gene otx2;
expression of the posterior neural-specific gene Hox B9 is unaffected (lanes 1 and 2). In whole embryos at this stage, otx2 is expressed in the presumptive anterior neural (forebrain and midbrain) and cement gland regions (Blitz and Cho, 1995), while Hox B9 is
expressed throughout the spinal cord (Sharpe et al., 1987). Treatment of planar explants with H2DIDS after gastrulation (st. 13–
20) does not inhibit expression of otx2 or NCAM (lane 3). Planar
explants treated with both H2DIDS and methylamine during gastrulation (st. 10–13) express otx2, but not NCAM, indicating that
artificial alkalinization by methylamine partially rescues the effects of H2DIDS (lane 4) (n = 4 experiments). |
|
FIG. 2. Expression of otx2, not1, and gsc in planar explants cultured in the presence or absence of H2DIDS. DMZ explants were cultured
either alone (A, D, and G) or in H2DIDS (B, E, and H); a third set was cultured in H2DIDS / methylamine until mid-10.5, and then in
H2DIDS alone (C, F, and I). Explants were fixed when controls reached the end of gastrulation and hybridized with antisense probes
directed against otx2 (A, B, and C), not1 (D, E, and F), or gsc (G, H, and I). Explants are oriented with the ectoderm toward the top.
Treatment with H2DIDS blocks expression of otx2 in the ectoderm without affecting mesodermal otx2 expression (B); not1 is moderately
reduced, but still present (E). Addition of methylamine to H2DIDS-treated explants restores ectodermal otx2 expression, but virtually
abolishes mesodermal expression of otx2 (C) or not1 (F). Expression of gsc (arrowheads) is similar in all three explants (G, H, and I). Each
in situ hybridization was performed on 14–22 explants obtained from four to seven independent experiments. |
|
FIG. 3. Expression of anterior neural genes in alkalinized unin-
duced ectoderm. Animal cap ectoderm was isolated at st. 8 and
transferred at st. 10 to HS containing either 15 mM methylamine
or 10mMNH4Cl. After either 3 h in methylamine or 4 h in NH4Cl,
animal caps were returned to MBS and cultured until st. 24, when
they were collected for RNA isolation and RT-PCR. Genes assayed
by RT-PCR are expressed in the following domains: otx2, anterior
neural ectoderm (primarily) (Blitz and Cho, 1995); noggin, anterior
neural ectoderm (Vodicka and Gerhart, 1995); NCAM, throughout
the central nervous system; en-2, midbrain–hindbrain boundary
(Hemmati-Brivanlou and Harland, 1989); krox-20, hindbrain (rhombomeres
3 and 5) (Bradley et al., 1993); and Hox B9, spinal cord
(Sharpe et al., 1987). Muscle actin was assayed as a control for
mesodermal contamination and EF-1a was used to monitor RNA
recovery. Lanes: (1) 0RT, sample prepared without reverse transcriptase;
(2) WE, whole embryo st. 24; (3) Ctrl, untreated animal
caps; (4) Me, methylamine-treated animal caps; and (5) NH4 ,
NH4Cl-treated animal caps. Artificial alkalinization leads to expression
of anterior neural-specific genes, but it does not activate
expression of posterior neural-specific genes (n 6 experiments). |
|
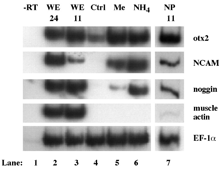
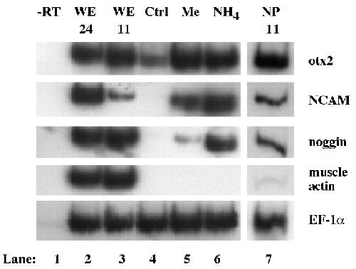
FIG. 4. Artificial alkalinization elicits anterior neural-specific
gene expression by the midgastrula stage. Animal cap ectoderm
was isolated at st. 8 and alkalinized at st. 10 as described earlier.
Ectodermal isolates were collected for RT-PCR analysis at st. 11
(midgastrula). Artificial alkalinization activates expression of
NCAM and noggin and up-regulates expression of otx2 (lanes 5 and
6). NCAM, noggin, and otx2 are detectable in the neural plate at
st. 11 (lane 7). Lanes: (1) 0RT, no reverse transcriptase; (2) WE 24,
whole embryo st. 24; (3) WE 11, whole embryo st. 11; (4) Ctrl,
untreated animal caps; (5) Me, methylamine-treated animal caps;
(6) NH4, NH4Cl-treated animal caps; and (7) NP11, neural plates
isolated at st. 11 (n 6 experiments).
|
|
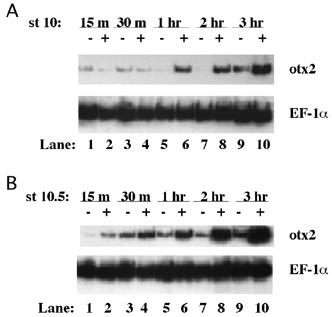
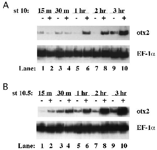
FIG. 5. Up-regulation of otx2 expression is a rapid response to alkalinization. Time course of otx2 expression in response to alka-linization. (A) Animal caps were isolated at st. 8 and transferred at st. 10 to HS in the presence or absence of 10mMNH4Cl. Samples of treated
(even-numbered lanes) and untreated (odd-numbered lanes) animal caps were collected at intervals after the onset of the alkaLinizing
treatment. Expression of otx2 and EF-1a was assessed bY RT-PCR. An increase in otx2 expression in response to alkaliniza-
tion is not detected until 1 h after exposure to NH4Cl (lanes 5 and 6) (results shown are from a single experiment; n 3 experiments).
(B) An identical experiment except that alkalinization was initiated
at early st. 10.5. An alkalinization-inducible increase in otx2 expression
occurs within 15 min after exposure to NH4Cl (lanes 1
and 2). Low levels of otx2 are detected in untreated animal caps in
both experiments (results shown are from a single experiment; n
4 experiments). |
|
FIG. 6. Cell contact is not required for the up-regulation of NCAM expression in response to alkalinization. Animal caps were dissociated at st. 10, and cells were incubated in the presence or absence of NH4Cl or methylamine as described earlier. At the end of the treatment period, they were reaggregated and collected for RNA isolation (see Methods); at this time, intact control embryos were at st. 11.5. Intact animal caps were treated in parallel. Expression of NCAM is up-regulated in cells that were dissociated during the alkalinization period (lanes 6 and 7), as it is in alkalinized intact animal caps (lanes 3 and 4) (n 4 experiments). |
|
FIG. 7. Artificial alkalinization elicits changes in protein tyrosine phosphorylation similar to those observed during neural induction in
vivo. Comparison of protein tyrosine phosphorylation in induced, uninduced, and artificially alkalinized ectoderm. Protein samples were
prepared from the following tissues: (A) animal caps isolated and lysed at st. 10/ (AC-10/), (B) uninduced ectoderm—animal caps isolated
at st. 10/ and aged in culture until st. 11 (Aged AC-11), (C) alkalinized ectoderm—animal caps isolated at st. 10/ and treated with 15
mM methylamine until st. 11 (Me AC-11) and (D) induced ectoderm—neural plates isolated at st. 11 (NP-11). For each sample, 100 mg
protein was run on a 2D gel; the gels were blotted, and the blots were probed with the anti-phosphotyrosine antibody PY20. Black arrows
indicate two of the proteins that are more heavily phosphorylated in induced or alkalinized ectoderm than in uninduced ectoderm at the
same stage. White arrows identify a protein spot that does not change in intensity among these samples; it serves as a control for differences
in loading. Samples were run in duplicate for each of five experiments. |