Click here to close
Hello! We notice that you are using Internet Explorer, which is not supported by Xenbase and may cause the site to display incorrectly.
We suggest using a current version of Chrome,
FireFox, or Safari.
???displayArticle.abstract???
We have molecularly cloned a cDNA encoding a new Rel-related protein in Xenopus laevis. The product is most homologous to mammalian p100-NFkappaB2. Furthermore, the putative protein kinase A-phosphorylation site (RRPS), which is found in most of the Rel family proteins and is replaced by KRKR in mammalian p100, is also replaced by KRKK in our clone, indicating that our cDNA most likely encodes the Xenopus p100 (Xp100). Like mammalian p52, a processed product of p100, Xp52 alone binds to the kappaB site but does not activate transcription, while the XRelB/Xp52 heterodimer activates transcription, which is inhibited by the carboxyl-terminal half of Xp100 (XIkappaBdelta). Xp100 transcripts are present at all stages of oocyte maturation and in all adult tissues examined. Xp100 transcripts decrease at the gastrula stage and resume their expression at the neurula stage, which is different from other Xenopus rel family. Xp100 is highly expressed in somitogenic mesoderm at the neurula stage, while in the gastrula and tailbud stages, Xp100 transcripts are not localized to restricted regions. These results suggest that Xp100 could be involved in the late-stage development of Xenopus laevis, especially in the maturation of somites.
Fig. 1. Structure of the Xenopus p100 NFκB2 protein. (A) Diagram of the domain structure of Xp100. Thick lines indicate the 5â² and 3â² untranslated regions present in the cDNA. An arrow denotes the region used for the probe of whole mount in situ hybridization. (B) Comparison of the amino terminal domain of Xp100 with those of other members of the Rel family. The Xp100 sequence was aligned with those of Rel-related sequences from human p100 (Neri et al., 1991), mouse p105 (Ghosh et al., 1990), Xenopus RelB (Suzuki et al., 1995), Xenopus Rel1/RelA (Kao and Hopwood, 1991; Richardson et al., 1994), Xenopus Rel2 (Tannahill and Wardle, 1995), Drosophila Dorsal (Steward, 1987) and Drosophila Relish (Dushay et al., 1996) in a region spanning the amino-terminal domain of conservation. Identical (*) and conservatively substituted (â ) amino acid residues are indicated. The putative protein kinase A phosphorylation sites and corresponding amino acids are in bold. Degenerate primers used for initial amplification of Xenopus oocyte cDNA were designed based on the underlined sequences of mouse p105.
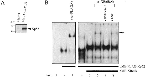
Fig. 2. DNA binding activity of Xp52. (A) Expression of the Xp52 protein in COS cells. Cell lysate was prepared from COS cells transfected with either a control vector (pME18S) or the Xp52 expression vector (pME-FLAG-Xp52) and Western blotting was performed using anti p52 antibody as described in Section 2. (B) XRelB/Xp52 heterodimer binds to κB sites. Nuclear extracts were prepared from the COS cells transfected with a control expression vector, pME18S (lane 1), the pME-FLAG-Xp52 alone (lanes 2â4) or in combination with pME-XRelB (lanes 5â8). EMSA was performed as described in Section 2. Binding reaction included anti-FLAG antibody (lanes 3) or anti-XRelB antibody (lanes 6â8) together with either GSTXRelB protein (lane 7) or GST protein (lane 8). An arrow indicates XRelB/Xp52 heterodimer supershifted by anti-XRelB antibody. Only a portion of the gel, which contains specific proteinâDNA complexes, is shown.
Fig. 3. Transcriptional activity of Xp52. Either [κB]6TK-CAT (hatched columns) or [κBM]6TK-CAT (open columns) was transfected with the indicated combinations of the expression vectors. CAT activity was measured as described in Section 2. CAT activity with the control vector was set to 1. Values correspond to means±SEMs of at least three independent experiments.
Fig. 4. Distribution of Xp100 transcripts in Xenopus development. Total RNA extracted from staged oocytes (A), staged embryos (B) or adult tissues (C) was converted to cDNA followed by PCR amplification using appropriate sets of primers as described in Section 2(top and bottom panels) Arrows indicate amplified fragments of Xp100 (top) or EF-1α (bottom). The Xp100 fragment derived from cDNA of staged embryos (B, top) was detected by Southern blotting followed by hybridization, since several additional bands were co-amplified.
Fig. 5. Localization of Xp100 transcripts in Xenopus laevis development analyzed by whole mount in situ hybridization. Embryos in the late neurula stage (A, B, C, D) or tailbud stage (E, F) were analyzed by whole mount in situ hybridization with either anti-sense probe (A, C, D, E) or sense probe (B, F). In (A), (B) and (C), `A' and `P' indicate anterior and posterior, respectively. Arrowheads in C and D indicate the region of somitogenic mesoderm. Embryos were observed from either dorsal side (A, B and C) or posterior side (D). (C) and (D) are magnified photos of the embryo prepared as in (A).