XB-ART-15511
J Cell Biol
1997 Dec 29;1397:1621-34.
Show Gene links
Show Anatomy links
Evidence for covalent modification of the nuclear dot-associated proteins PML and Sp100 by PIC1/SUMO-1.
Sternsdorf T, Jensen K, Will H.
???displayArticle.abstract???
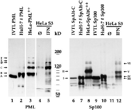
PML and Sp100 proteins are associated with nuclear domains, known as nuclear dots (NDs). They were discovered in the context of leukemic transformation and as an autoantigen in primary biliary cirrhosis, respectively. Both proteins are expressed in the form of many COOH-terminally spliced variants, and their expression is enhanced by interferons (IFN). The recent finding that PIC1/SUMO-1, a small ubiquitin-like protein, is covalently linked to the RanGAP1 protein of the nuclear pore complex and also binds PML in yeast cells led us to determine whether PML is covalently modified by PIC1/SUMO-1 and whether the same is true for Sp100. We found an immune reaction of PML and Sp100 proteins with a PIC1/SUMO-1-specific monoclonal antibody by immunoblotting when using cell extracts prepared from stably transfected cells inducibly expressing one isoform of each protein as well as from nontransfected cells. In contrast, both proteins did not react when synthesized in vitro. Immunofluorescence staining showed that PIC1/SUMO-1 colocalized with Sp100 and PML in NDs except in mitotic cells, in which PML and Sp100 are dissociated. Cell fractionation and immunoblotting demonstrated that PIC1/SUMO-1 immunoreactive Sp100 in IFN-treated and untreated cells was exclusively nuclear, whereas nonmodified Sp100 was also found in the cytoplasm. Taken together, these data strongly suggest covalent modification of specific nuclear isoforms of Sp100 and PML by PIC1/SUMO-1. This modification may play a regulatory role in ND structure, composition, and function.
???displayArticle.pubmedLink??? 9412458
???displayArticle.pmcLink??? PMC2132645
Species referenced: Xenopus
Genes referenced: rangap1 sp1 sumo1
???attribute.lit??? ???displayArticles.show???
References [+] :
Ahn,
Growth suppression of acute promyelocytic leukemia cells having increased expression of the non-rearranged alleles: RAR alpha or PML.
1995, Pubmed
Ahn, Growth suppression of acute promyelocytic leukemia cells having increased expression of the non-rearranged alleles: RAR alpha or PML. 1995, Pubmed
Altabef, A retrovirus carrying the promyelocyte-retinoic acid receptor PML-RARalpha fusion gene transforms haematopoietic progenitors in vitro and induces acute leukaemias. 1996, Pubmed
Arnason, Stress resistance in Saccharomyces cerevisiae is strongly correlated with assembly of a novel type of multiubiquitin chain. 1994, Pubmed
Ascoli, Identification of a novel nuclear domain. 1991, Pubmed
Aso, Elongin (SIII): a multisubunit regulator of elongation by RNA polymerase II. 1995, Pubmed
Baboshina, Novel multiubiquitin chain linkages catalyzed by the conjugating enzymes E2EPF and RAD6 are recognized by 26 S proteasome subunit 5. 1996, Pubmed
Bernstein, Diversity of autoantibodies in primary biliary cirrhosis and chronic active hepatitis. 1984, Pubmed
Biggins, Yeast ubiquitin-like genes are involved in duplication of the microtubule organizing center. 1996, Pubmed
Bloch, Identification and characterization of a leukocyte-specific component of the nuclear body. 1996, Pubmed
Boddy, PIC 1, a novel ubiquitin-like protein which interacts with the PML component of a multiprotein complex that is disrupted in acute promyelocytic leukaemia. 1996, Pubmed
Brasch, Nuclear bodies (NBs): a newly "rediscovered" organelle. 1992, Pubmed
Brown, A PMLRARalpha transgene initiates murine acute promyelocytic leukemia. 1997, Pubmed
Carvalho, Targeting of adenovirus E1A and E4-ORF3 proteins to nuclear matrix-associated PML bodies. 1995, Pubmed
Chelbi-Alix, Induction of the PML protein by interferons in normal and APL cells. 1995, Pubmed
Daniel, PML protein expression in hematopoietic and acute promyelocytic leukemia cells. 1993, Pubmed
Dent, LYSP100-associated nuclear domains (LANDs): description of a new class of subnuclear structures and their relationship to PML nuclear bodies. 1996, Pubmed
Desbois, Exclusion of Int-6 from PML nuclear bodies by binding to the HTLV-I Tax oncoprotein. 1996, Pubmed
de Thé, The PML-RAR alpha fusion mRNA generated by the t(15;17) translocation in acute promyelocytic leukemia encodes a functionally altered RAR. 1991, Pubmed
de Thé, The t(15;17) translocation of acute promyelocytic leukaemia fuses the retinoic acid receptor alpha gene to a novel transcribed locus. 1990, Pubmed
Dignam, Accurate transcription initiation by RNA polymerase II in a soluble extract from isolated mammalian nuclei. 1983, Pubmed
Dyck, A novel macromolecular structure is a target of the promyelocyte-retinoic acid receptor oncoprotein. 1994, Pubmed
Everett, A novel ubiquitin-specific protease is dynamically associated with the PML nuclear domain and binds to a herpesvirus regulatory protein. 1997, Pubmed
Gambacorta, Heterogeneous nuclear expression of the promyelocytic leukemia (PML) protein in normal and neoplastic human tissues. 1996, Pubmed
Garrett, Positive regulation of general transcription factor SIII by a tailed ubiquitin homolog. 1995, Pubmed
Goddard, Characterization of a zinc finger gene disrupted by the t(15;17) in acute promyelocytic leukemia. 1991, Pubmed
Grisolano, Altered myeloid development and acute leukemia in transgenic mice expressing PML-RAR alpha under control of cathepsin G regulatory sequences. 1997, Pubmed
Grötzinger, Interferon-modulated expression of genes encoding the nuclear-dot-associated proteins Sp100 and promyelocytic leukemia protein (PML). 1996, Pubmed
Grötzinger, A highly amplified mouse gene is homologous to the human interferon-responsive Sp100 gene encoding an autoantigen associated with nuclear dots. 1996, Pubmed
Guldner, IFN enhance expression of Sp100, an autoantigen in primary biliary cirrhosis. 1992, Pubmed
Hochstrasser, Ubiquitin-dependent protein degradation. 1996, Pubmed
Hochstrasser, Protein degradation or regulation: Ub the judge. 1996, Pubmed
Hodgins, The tail of a ubiquitin-conjugating enzyme redirects multi-ubiquitin chain synthesis from the lysine 48-linked configuration to a novel nonlysine-linked form. 1996, Pubmed
Huang, Use of all-trans retinoic acid in the treatment of acute promyelocytic leukemia. 1988, Pubmed
Kakizuka, Chromosomal translocation t(15;17) in human acute promyelocytic leukemia fuses RAR alpha with a novel putative transcription factor, PML. 1991, Pubmed
Kamitani, Preferential modification of nuclear proteins by a novel ubiquitin-like molecule. 1997, Pubmed
Kitamura, Establishment and characterization of a unique human cell line that proliferates dependently on GM-CSF, IL-3, or erythropoietin. 1989, Pubmed
Koken, The PML growth-suppressor has an altered expression in human oncogenesis. 1995, Pubmed
Koken, The t(15;17) translocation alters a nuclear body in a retinoic acid-reversible fashion. 1994, Pubmed
Korioth, The nuclear domain 10 (ND10) is disrupted by the human cytomegalovirus gene product IE1. 1996, Pubmed
Kovalenko, Mammalian ubiquitin-conjugating enzyme Ubc9 interacts with Rad51 recombination protein and localizes in synaptonemal complexes. 1996, Pubmed
Lavau, The acute promyelocytic leukaemia-associated PML gene is induced by interferon. 1995, Pubmed
Le, Analysis of the growth and transformation suppressor domains of promyelocytic leukemia gene, PML. 1996, Pubmed
Loeb, The interferon-inducible 15-kDa ubiquitin homolog conjugates to intracellular proteins. 1992, Pubmed
Mahajan, A small ubiquitin-related polypeptide involved in targeting RanGAP1 to nuclear pore complex protein RanBP2. 1997, Pubmed
Matunis, A novel ubiquitin-like modification modulates the partitioning of the Ran-GTPase-activating protein RanGAP1 between the cytosol and the nuclear pore complex. 1996, Pubmed , Xenbase
Maul, Modification of discrete nuclear domains induced by herpes simplex virus type 1 immediate early gene 1 product (ICP0). 1993, Pubmed
Maul, Nuclear domain 10 (ND10) associated proteins are also present in nuclear bodies and redistribute to hundreds of nuclear sites after stress. 1995, Pubmed
Mu, PML, a growth suppressor disrupted in acute promyelocytic leukemia. 1994, Pubmed
Nakamura, Molecular cloning and characterization of a cDNA encoding monoclonal nonspecific suppressor factor. 1995, Pubmed
Okura, Protection against Fas/APO-1- and tumor necrosis factor-mediated cell death by a novel protein, sentrin. 1996, Pubmed
Powell, Antinuclear antibodies in primary biliary cirrhosis. 1984, Pubmed
Raska, Structure-function subcompartments of the mammalian cell nucleus as revealed by the electron microscopic affinity cytochemistry. 1992, Pubmed
Scully, Association of BRCA1 with Rad51 in mitotic and meiotic cells. 1997, Pubmed
Shen, UBL1, a human ubiquitin-like protein associating with human RAD51/RAD52 proteins. 1996, Pubmed
Shen, Associations of UBE2I with RAD52, UBL1, p53, and RAD51 proteins in a yeast two-hybrid system. 1996, Pubmed
Sternsdorf, Nuclear dots: actors on many stages. 1997, Pubmed
Sternsdorf, Cellular localization, expression, and structure of the nuclear dot protein 52. 1997, Pubmed
Sternsdorf, Two nuclear dot-associated proteins, PML and Sp100, are often co-autoimmunogenic in patients with primary biliary cirrhosis. 1995, Pubmed
Stuurman, A monoclonal antibody recognizing nuclear matrix-associated nuclear bodies. 1992, Pubmed
Szostecki, Autoantibodies against "nuclear dots" in primary biliary cirrhosis. 1997, Pubmed
Szostecki, Autoimmune sera recognize a 100 kD nuclear protein antigen (sp-100). 1987, Pubmed
Szostecki, Isolation and characterization of cDNA encoding a human nuclear antigen predominantly recognized by autoantibodies from patients with primary biliary cirrhosis. 1990, Pubmed
Van de Water, Autoantibodies of primary biliary cirrhosis recognize dihydrolipoamide acetyltransferase and inhibit enzyme function. 1988, Pubmed
Watkins, The Saccharomyces cerevisiae DNA repair gene RAD23 encodes a nuclear protein containing a ubiquitin-like domain required for biological function. 1993, Pubmed
Weichenhan, Structure and expression of the murine Sp100 nuclear dot gene. 1997, Pubmed
Weis, Retinoic acid regulates aberrant nuclear localization of PML-RAR alpha in acute promyelocytic leukemia cells. 1994, Pubmed
Xie, Nuclear dot antigens may specify transcriptional domains in the nucleus. 1993, Pubmed
Yasugi, Identification of the structural and functional human homolog of the yeast ubiquitin conjugating enzyme UBC9. 1996, Pubmed
