Click here to close
Hello! We notice that you are using Internet Explorer, which is not supported by Xenbase and may cause the site to display incorrectly.
We suggest using a current version of Chrome,
FireFox, or Safari.
???displayArticle.abstract???
In Xenopus, the biological effects of BMP-3 oppose those of ventralizing BMPs, but the mechanism for this antagonism remains unclear. Here, we demonstrate that BMP-3 is a dorso-anteriorizing factor in Xenopus embryos that interferes with both activin and BMP signaling. BMP-3 acts by binding to ActRIIB, the common type II receptor for these proteins. Once BMP-3 binds to ActRIIB, it cannot be competed off by excess ligand making a receptor complex that is unable to activate R-Smads and transduce signal. Consistent with a model where BMP-3 interferes with activin and BMPs through a shared receptor, we show that overexpression of BMP-3 can only be rescued by co-injection of xActRIIB. Our results identify BMP-3 as a novel antagonist of both activin and BMPs and uncover how some of the diverse developmental processes that are regulated by both activin and BMP signaling can be modulated during embryogenesis.
Fig. 1. Overexpression of BMP-3 produces dorso-anteriorized embryos. Embryos at the top of each panel are uninjected controls; embryos at the bottom of each panel are injected with BMP-3. (AâC) Phenotypes of tadpole stage embryos injected with 500 pg of BMP-3 mRNA into a single ventral vegetal blastomere at the 4- to 8-cell stage. (A) Aberrant tail formation caused by injection of BMP-3 (21%, n = 180). Arrows indicate abnormal tail protrusions. (B) Shortened and curved body axes caused by BMP-3 injection (38%, n = 180). (C) Ectopic cement glands (arrowheads) induced by injection of BMP-3 (41%, n = 180). (D) Phenotype of tadpole stage embryos injected with 500 pg BMP-3 mRNA into both animal blastomeres at the 2-cell stage. Embryos have truncated body axes, enlarged cement glands, reduced eyes and head structures and spina bifida (80%, n = 200).
Fig. 2. BMP-3 induces cement gland and neural tissue in animal cap explants. (AâH) Morphology of animal caps treated with BMP-3. 2-cell embryos were injected with 500 pg of BMP-3 mRNA and animal caps cut at stage 8/9 or uninjected animal caps were incubated in control or BMP-3-conditioned media (CM) diluted 1:5 and then all explants were cultured until sibling control embryos reached late tadpole stages. (A) Control animal caps formed rounded balls of epidermis. (B) BMP-3-injected animal caps formed pigmented cement gland tissue. (C) Animal caps incubated in control CM from CHO cells formed epidermis like control caps in panel A. (D) Animal caps treated with BMP-3-conditioned media formed pigmented cement gland tissue as well. Histological sections of control (E) and control CM (G) animal caps showing epidermal tissue (epi). Histological sections of a BMP-3-injected animal cap (F) and an animal cap incubated in BMP-3 CM (H) showing the presence of cement gland (cg), neural tissue (nt) and a vesicle. (IâJ) RT-PCR analysis of animal cap explants for expression of epidermal, mesodermal, neural and endodermal markers. EF1-α was used as an RNA loading control. BMP-3 mRNA (500 pg) was injected into each animal blastomere at the 2-cell stage and animal caps prepared at tailbud stage 25. (I) BMP-3 injection induced the general neural marker, nrp-1, as well as the cement gland marker, XAG. (J) BMP-3-injected animal caps analyzed for region-specific neural markers. Only the anterior marker Otx-2 is induced. Animal cap (AC); endodermin (EDD); engrailed 2 (En-2); epidermal keratin (Epi-keratin); muscle actin (M-actin); no reverse transcriptase control (âRT).
Fig. 3. Inhibitory effects of BMP-3 on BMP-4 and activin. (A�B) BMP-3 (500 pg) and BMP-4 (500 pg) were injected separately, and together, into embryos at the 2-cell stage. Animal caps were analyzed by RT-PCR. (A) In gastrula stage animal caps, BMP-3 blocked the induction of the early mesodermal markers Xbra and Xhox3 by BMP-4 but did not block the induction of msx-1, an epidermal marker and direct target gene of BMP-4. (B) In tailbud stage animal caps, BMP-3 did not block the induction of epidermal keratin by BMP-4. (C) Control and BMP-3 (500 pg) mRNA-injected animal caps were treated with activin protein (3 ng/ml) and cultured until tailbud stages. BMP-3 suppressed the morphogenic movements of activin-treated animal caps. (D) RT-PCR analysis of control and BMP-3-injected animal caps treated with activin protein or co-injected with activin mRNA (200 pg). BMP-3 blocked the induction of muscle actin by activin protein and mRNA. (E) RT-PCR analysis of gastrula stage animal caps injected with BMP-3 (500 pg) and Xnr1 (50 pg). BMP-3 did not block the induction of Xbra by Xnr1. (F) RT-PCR analysis of tailbud stage control and BMP-3-injected animal caps treated with bFGF (100 ng/ml). BMP-3 did not inhibit the induction of muscle actin by bFGF protein. Animal cap (AC); no reverse transcriptase control (−RT).
Fig. 4. BMP-3 acts upstream of receptor activation to block BMP and activin signaling. (A) BMP-3 does not induce BMP and activin antagonists. 2-cell embryos were injected with 500 pg of BMP-3 mRNA and animal caps prepared at gastrula stage 11 for RT-PCR analysis. BMP-3 does not upregulate the expression of chordin, noggin or follistatin. (B�C) BMP-3 is acting at the receptor level. (B) BMP-3 (500 pg) and constitutively active BMP type I (CA-ALK3) receptor (2 ng) were injected separately and together at the 2-cell stage. Animal caps were prepared at stage 11. BMP-3 could not block the induction of Xbra by CA-ALK3. (C) BMP-3 (500 pg) and constitutively active activin type I (CA-ALK4) receptor (2 ng) were injected separately and together at the 2-cell stage. Animal caps were prepared at stage 25. BMP-3 could block the induction of muscle actin by CA-ALK4. Animal cap (AC); no reverse transcriptase control (−RT).
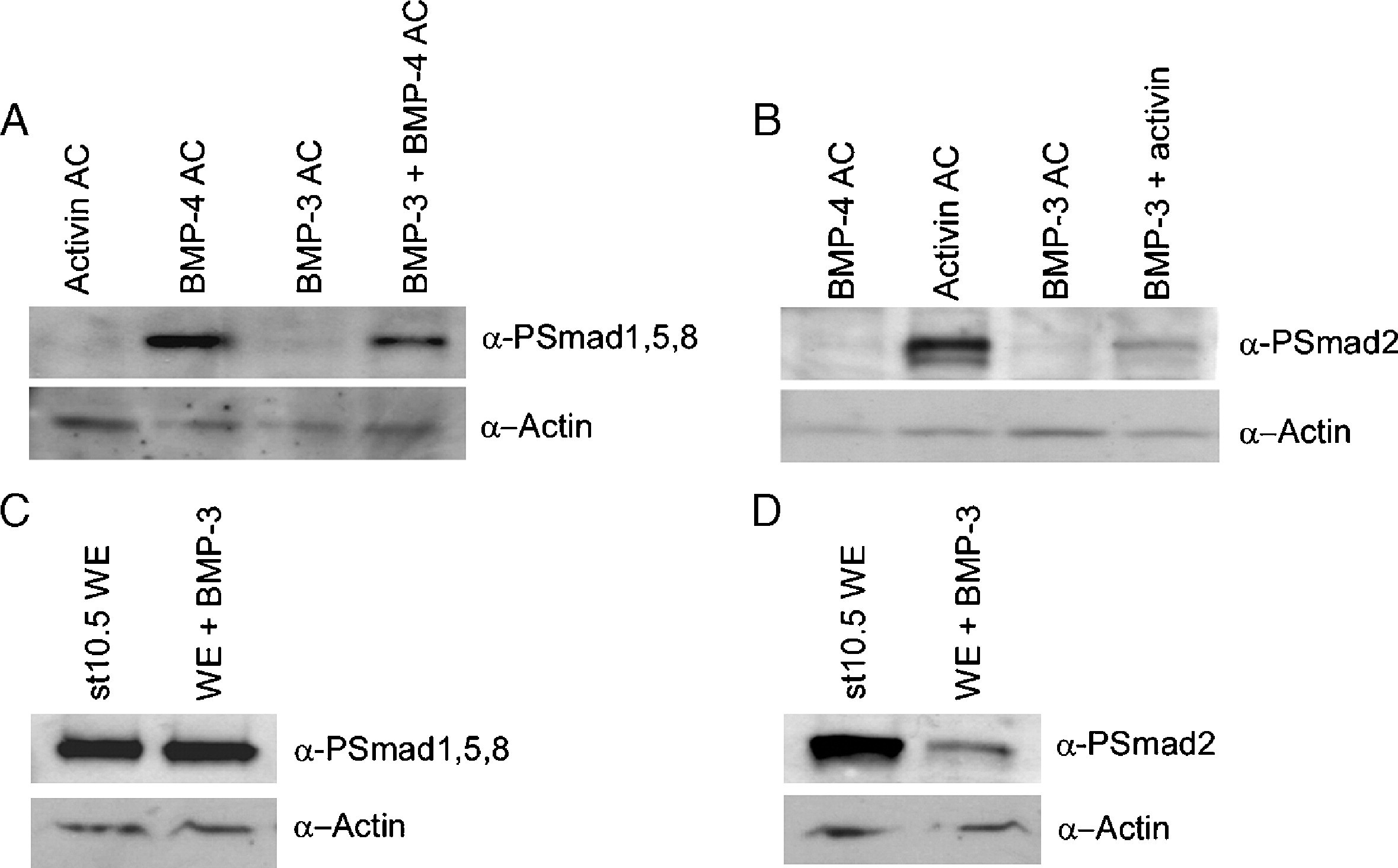
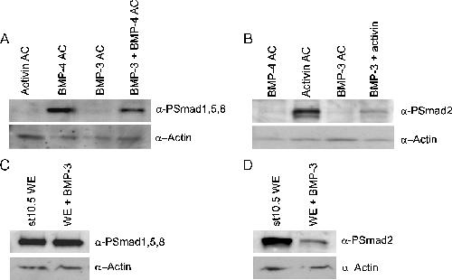
Fig. 5. BMP-3 does not activate R-Smads but interferes with R-Smad phosphorylation by BMP-4 and activin. BMP-3 (500 pg), BMP-4 (500 pg) and activin (200 pg) mRNAs were injected separately and together, into all animal blastomeres of 4-cell embryos. Activation of Smad1,5,8 and Smad2 in stage 10.5 animal caps and whole embryos was measured by Western blot analysis using anti-phospho-Smad1,5,8 antibody (α-PSmad1,5,8) and anti-phospho-Smad2 antibody (α-PSmad2). Cytoskeletal actin (α-Actin) was used a loading control for total protein. (A) BMP-4 induced strong phosphorylation of Smad1,5,8 while BMP-3 and activin did not. Co-expression of BMP-4 and BMP-3 decreased the level of Smad1,5,8 activation by BMP-4 (lane 4). (B) Activin induced strong phosphorylation of Smad2 while BMP-4 and BMP-3 did not. Co-expression of activin and BMP-3 significantly reduced the level of Smad2 activation by activin (lane 4). (C) BMP-3 injection did not effect endogenous phosphorylation of Smad1,5,8 in whole embryos. (D) BMP-3 injection greatly decreased the phosphorylation of Smad2 in whole embryos compared to controls. The two bands recognized by the anti-phospho-Smad2 antibody are Smad2 and a splicing variant of Smad2 (Faure et al., 2000). Animal cap (AC); whole embryo (WE).
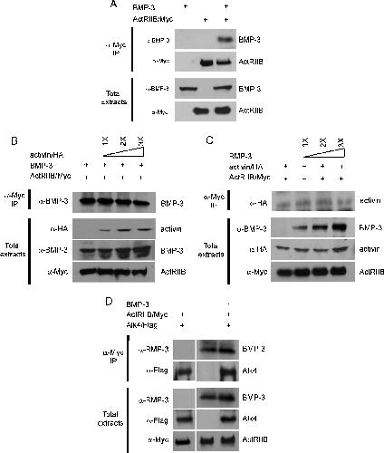
Fig. 6. BMP-3 binds ActRIIB but does not compete with activin and can form a receptor complex with ActRIIB and Alk4. (A) BMP-3 binds to ActRIIB. RNAs encoding BMP-3 (2 ng) and ActRIIB/Myc (2 ng) were injected into the animal poles of 2-cell stage Xenopus embryos. Protein extracts made from gastrula stage animal halves were immunoprecipitated with anti-myc antibody. (B) Increasing doses of activin do not compete off BMP-3 bound to ActRIIB. RNAs encoding BMP-3 (2 ng) and ActRIIB/Myc (2 ng) were co-injected with increasing amounts of activin/HA (2 ng, 4 ng, 6 ng). Extracts were immunoprecipitated with anti-myc antibodies. (C) Increasing doses of BMP-3 do not compete off activin bound to ActRIIB. RNAs encoding activin/HA (2 ng) and ActRIIB/Myc (2 ng) were co-injected with increasing amounts of BMP-3 (2 ng, 4 ng, 6 ng). Extracts were immunoprecipitated with anti-myc antibodies. (D) BMP-3 can make a receptor complex containing ActRIIB and Alk4. RNAs encoding BMP-3 (2 ng), ActRIIB/Myc (2 ng) and Alk4/Flag (2 ng) were injected into embryos. Extracts were immunoprecipitated with anti-myc antibodies. Proteins in co-immunoprecipitates and total extracts were probed in Western blot analysis with the indicated antibodies: hBMP-3 (mature ligand ∼30 kDa, α-BMP-3), ActRIIB/Myc (∼120 kDa, α-Myc), activin/HA (mature ligand ∼16 kDa, α-HA) and Alk4/Flag (∼70 kDa, α-Flag). ActRIIB/Myc and Alk4/Flag are kinase-defective activin receptor mutants that were used to prevent receptor internalization. Immunoprecipitation, (IP).
Fig. 7. ActRIIB rescues the phenotype of BMP-3-injected embryos. The phenotype produced by injection of BMP-3 into the embryo can be rescued only by co-injection of wild-type xActRIIB. 4-cell stage embryos were injected into a single ventralvegetal blastomere with the indicated mRNAs and scored for rescue to normal at late tadpole stages. (A) Control uninjected tadpole. (B) Dorso-anteriorized phenotype of BMP-3 (500 pg)-injected embryo. (C) Co-injection of BMP-3 (500 pg) and xActRIIB (500 pg) partially rescued the anterior of the embryo. (D) Co-injection of BMP-3 (500 pg) and xActRIIB (1 ng) completely rescued the phenotype to normal body axis (76%, n = 85). (E) Co-injection of BMP-3 (500 pg) and xBMPRII (1.5 ng) did not rescue the embryo. (F) Co-injection of BMP-3 (500 pg) and xALK4 (1.5 ng) did not rescue the embryo. (G) Co-injection of BMP-3 (500 pg) and BMP-4 (250 pg) did not rescue the embryo. (H) Co-injection of BMP-3 (500 pg) and activin (200 pg) did not rescue the embryo.