|
Fig. 1. Schematic of integrin a3 and a2 proteins and the corresponding
Xenopus cDNAs. The hatched boxes indicate the signal sequence, solid
boxes indicate the transmembrane domains and the three shaded boxes
indicate the locations of the metal-binding domains. The stippled box in
a2 represents the putative I-domain. The a3 PCR3 cDNA was used to
obtain G, D and J from an XTC cell cDNA library. Clones FF2 and MM
were obtained from the stage 45 and 17 cDNA libraries, respectively. The
a2 cDNAs A3 and B9 were both obtained from the stage 17 library. B,
BamH1; H, Hind3; P, Pst1; R, EcoR1; S, Sal1; X, Xho1. |
|
Fig. 2. Comparison of the deduced amino acid sequences of the Xenopus (xa3, GenBank accession number L43057) and human (ha3, GenBank accession
number M59911; Takada et al., 1991) integrin a3 subunits. Also aligned is the deduced sequence of the PCR fragment amplified from XTC cells (PCR3).
Regions of identity with the complete xa3 sequence are indicated by hyphens. Gaps in the alignments are indicated by dots. Amino acid number 1
corresponds to the first amino acid in the mature a3 protein based on direct sequencing of the human a3 N-terminus (Takada et al., 1991). Position
minus32 of ha3 corresponds to the initiating methionine and the beginning of the signal sequence. The single underline at the N-terminus of ha3 corresponds
to the region of the human cDNA used to prepare the hxa3 construct. Conserved cysteines (C) in the extracellular domain of xa3 are indicated in bold; an
additional cysteine in xa3 is underlined (C). Potential N-linked carbohydrate addition sites in the extracellular domain of xa3 are indicated by bold dots. The
putative metal-binding domains are shaded and the predicted transmembrane domain boxed. The putative dibasic cleavage site in the extracellular domain
(KRRRR) is marked by crosses (â ). The C-terminal peptide used for antibody production is indicated by the double underline. |
|
Fig. 3. Alignment of the partial deduced amino acid sequence of the Xenopus integrin a2 subunit (xa2, GenBank accession number L43058) and the
corresponding segment of the human integrin a2 subunit (ha2, GenBank accession number X17033; Takada and Hemler, 1989). Also aligned is the sequence
deduced from a PCR amplified segment of the a2 subunit prepared from Xenopus embryonic stage 17 cDNA template (PCR2, GenBank accession number
L10186; Whittaker and DeSimone, 1993). Regions of identity with the xa2 sequence are indicated by hyphens. Gaps in the alignments are indicated by dots.
Amino acid numbering corresponds to the complete human a2 sequence (Takada and Hemler, 1989). Conserved cysteines (C) in the extracellular domain of
xa2 are indicated in bold; an additional cysteine in xa2 is underlined (C). Potential N-linked carbohydrate addition sites in the extracellular domain of xa2
are indicated by bold dots. The putative metal-binding domains are shaded and the predicted transmembrane domain boxed. The C-terminal peptide used for
antibody production is indicated by the double underline. |
|
Fig. 4. Northern blot analysis. Total RNAs (20 mg/each lane) from the
embryonic stages indicated were separated on 1.2% denaturing agarose
gels and transferred to nylon for hybridization. Following hybridization
with a 32P-labeled a3 cDNA (A), the membrane was stripped and reprobed
with an a2 cDNA (B). (C) Photograph of the ethidium bromide stained gel
prior to transfer to nylon, demonstrating equal loading of RNA in each
lane. |
|
Fig. 5. Spatial expression of integrin a2 and a3 mRNAs. Whole-mount in situ hybridization was performed on albino Xenopus embryos using antisense
digoxygenin-labeled a2 (AâC) or a3 (DâF) transcripts. (A) Stage 11.5 gastrula, anterior to the right, dorsal to the top with staining of a2 in posterior
notochord (arrowhead). (B) Stage 19 neurula with a2 staining localized to the posterior end of the notochord (arrowhead). (C) Slightly oblique dorsal view of
a stage 32 tailbud embryo. a2 expression persists in the posterior tip of the notochord (arrowhead). (D) Dorsal lip view of a normal stage 10.5 control
gastrula. The cells expressing a3 are the dorsal involuting mesoderm (arrowhead). (E) Side view of a gastrula stage embryo that has been dorsalized by
exposure to LiCl. Arrowheads indicate the circumblastoporal expression of a3 encircling the yolk plug. (F) Side view of an embryo that has been ventralized
by UV irradiation of the vegetal hemisphere. Embryos treated with UV light lack detectable a3 staining. Labeled sense transcripts for both a2 and a3 were
included as specificity controls in parallel hybridizations for each experiment (data not shown). y, yolk plug; bc, blastocoel; ar, archenteron. |
|
Fig. 6. Characterization of antibodies. (A) Immunoblots of total protein extracts from stage 35 embryos were incubated with either the complete anti-a3
immune sera (D3F) or affinity purified antibody (D3FAP). XTC cells were first immunoprecipitated with the anti-b1 McAb 8C8, subjected to SDS-PAGE
under reducing (+) and non-reducing (-) conditions and then immunoblotted. D3FAP recognizes 135â140 kDa doublet a3 bands from the total stage 35
embryo extract and a single 140 kDa a3 band in the b1 immunoprecipitate from XTC cells (non-reduced). The D3FAP immunoreactive C-terminal fragment
of a3 runs off the 7% gel under reducing conditions (XTC + DTT lane). (B) Immunoblots of stage 45 embryo total protein extracts incubated with complete
anti-Xenopus a2 immune sera (D5F) or affinity purified antibodies (D5FAP). The D5FAP antibody recognizes a single a2 protein of 160 kDa, which is not
cleaved upon reduction (-). (C) Immunoblots of XTC cell extracts immunoprecipitated with D3FAP and incubated with either McAb 2F10 or 8C8. (D) XTC
cell immunoblot of D3FAP immunoprecipitated material (1) or D3FAP immunodepleted extract (2). 2F10 recognizes the 140 kDa a3 band from the
immunoprecipitate but not the immunodepleted supernatant. (E) Western blots of Xenopus a3 transfected (T) and non-transfected (N) mouse NIH 3T3 cells.
2F10 and D3FAP recognize the 140 kDa a3 protein in only the transfected cells. The anti-b1 antibody 363 blot is included as a loading control. All gel
samples were prepared either in the presence (+) or absence (-) of dithiothreitol (DTT). |
|
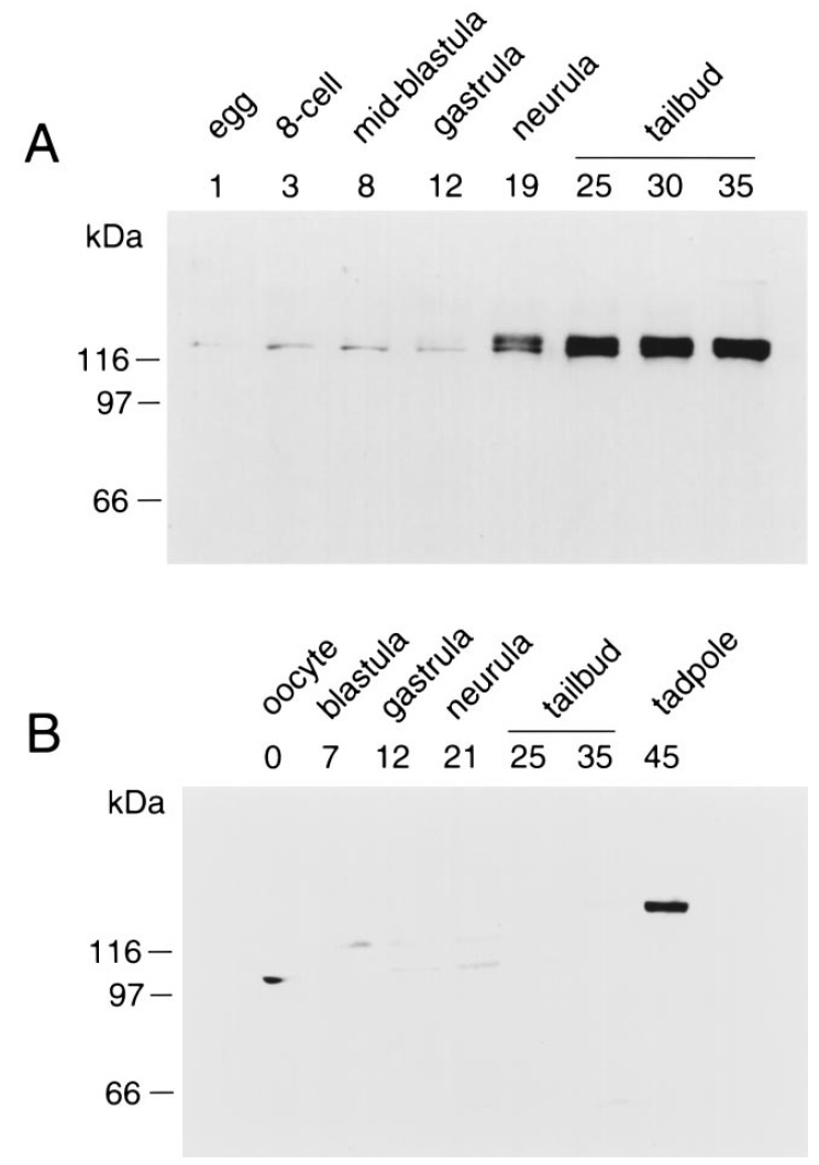
Fig. 7. Developmental time course of a3 (A) and a2 (B) protein expression
by Western blot of whole embryo extracts at the indicated stages. One
embryo equivalent was loaded onto each lane of the gel. D3FAP (A)
recognizes the putative 135 kDa immature form of a3 in the egg and in
cleavage stage embryos. The 140 kDa form of the protein is first detected
at the neurula stage. The levels of both forms increase as development
proceeds. In contrast, the 160 kDa a2 protein is not detected by D5FAP
until much later in development (B). 7% SDS-PAGE gels were run under
non-reducing conditions. |
|
Fig. 8. (A) Schematic of transcripts used for a3 ectopic overexpression
experiments. hxa3 encodes a full length chimeric transcript containing the
human a3 signal sequence. txa3 represents a truncated, non-translatable
form of the a3 transcript. (B) Western blots of total protein extracts
derived from stage 9 embryos injected with the hxa3 or txa3 transcripts.
D3FAP recognizes low levels of endogenous a3 in uninjected (U) and
txa3 injected embryos. In contrast, high levels of a3 are detected in
hxa3 injected embryos. The 8C8 Western blot is included as a control
to demonstrate equal loading of samples from injected and non-injected
embryos. |
|
Fig. 9. Overexpression of a3 results in shortening along the antero-posterior axis and disruptions in somite segmentation. (A,B,E) Embryos derived from
control txa3 injected eggs. (C,D,F) Embryos derived from hxa3 injected eggs. (A,C) Whole-mount immunostaining with the somite-specific 12-101 antibody
(Kintner and Brockes, 1984). (B,D,E,F) Hematoxylin and eosin stained paraffin sections of injected embryos. Control injected embryos display a normal
pattern of somites (A,B) including well defined segments (E, arrowheads) and aligned myocyte nuclei (E, arrow). In contrast, hxa3 injected embryos are
shortened along the antero-posterior axis and have poorly defined somitic segments (C,D). Although myocyte nuclei are often observed in alignment (F,
arrow), segmental boundaries are not resolved in affected regions. The embryo in (D) shows a severe example of disruption of segmentation of the somitic
fields on both sides of the embryo. Note the appearance of a compact but relatively normal notochord in this embryo. e, ectoderm; s, somite; n, notochord.
The scale bar is 400 mm in (D) and 40 mm in (F). |
|
itga2 (integrin subunit alpha 2) gene expression in Xenopus laevis embryo, assayed via in situ hybridization, NF stage 19, lateral view, anterior right, dorsal up. |
|
itga2 (integrin subunit alpha 2) gene expression in Xenopus laevis embryo, assayed via in situ hybridization, NF stage 32, lateral view, anterior right, dorsal up. |
|
itga3 (integrin subunit alpha 3) gene expression in Xenopus laevis embryo, assayed via in situ hybridization, NF stage 10.5, vegetal view, dorsal up. |