Click here to close
Hello! We notice that you are using Internet Explorer, which is not supported by Xenbase and may cause the site to display incorrectly.
We suggest using a current version of Chrome,
FireFox, or Safari.
???displayArticle.abstract???
BACKGROUND: The tumor suppressor p53 plays a key role in regulating the cell cycle and apoptosis in differentiated cells. Mutant mice lacking functional p53 develop normally but die from multiple neoplasms shortly after birth. There have been hints that p53 is involved in morphogenesis, but given the relatively normal development of p53 null mice, the significance of these data has been difficult to evaluate. To examine the role of p53 in vertebrate development, we have determined the results of blocking its activity in embryos of the frog Xenopus laevis.
RESULTS: Two different methods have been used to block p53 protein activity in developing Xenopus embryos--ectopic expression of dominant-negative forms of human p53 and ectopic expression of the p53 negative regulator, Xenopus dm-2. In both instances, inhibition of p53 activity blocked the ability of Xenopus early blastomeres to undergo differentiation and resulted in the formation of large cellular masses reminiscent of tumors. The ability of mutant p53 to induce such developmental tumors was suppressed by co-injection with wild-type human or wild-type Xenopus p53. Cells expressing mutant p53 activated zygotic gene expression and underwent the mid-blastula transition normally. Such cells continued to divide at approximately normal rates but did not form normal embryonic tissues and never underwent terminal differentiation, remaining as large, yolk-filled cell masses that were often associated with the neural tube or epidermis.
CONCLUSIONS: In Xenopus, the maternal stockpile of p53 mRNA and protein seems to be essential for normal development. Inhibiting p53 function results in an early block to differentiation. Although it is possible that mutant human p53 proteins have a dominant gain-of-function or neomorphic activity in Xenopus, and that this is responsible for the development of tumors, most of the evidence indicates that this is not the case. Whatever the basis of the block to differentiation, these results indicate that Xenopus embryos are a sensitive system in which to explore the role of p53 in normal development and in developmental tumors.
Figure 3. Mutant p53 blocks differentiation. (a) Dorsal
view of an embryo injected with p53Tthr280
mRNA plus beta-galactosidase mRNA into
blastomere B1 of a 32-cell embryo, reared to
tailbud stage, and stained with the anti-neural
antibody XAN3/6F11 (dark blue/purple [48]).
Anterior is to the left. Note that the beta-
galactosidase-positive tumor (light blue) does
not stain with the neural marker, and that the
large tumor distorts the brain into which it is
embedded. (b)Transverse section through a
sample similar to that shown in (a). Neural
staining (dark purple) with antibody 2G9
(XenopusMolecular Marker Resource, URL
http://vize222.zo.utexas.edu) and beta-
galactosidase (light blue). beta-galactosidase-
positive cells do not stain with the neural
marker, and vice versa. (c) Control side of a
tailbud stage embryo stained (dark blue/purple)
with the somite differentiation marker
12/101[49]. Note that the differentiated
somites extend anteriorly to the head of the
embryo. (d)The opposite side of the embryo
shown in (c), illustrating a tumor derived from
blastomere C2 injected with p53thr280mRNA
plus beta-galactosidase mRNA. Note that the
region in which anteriorsomites should have
formed does not stain with 12/101, but is beta-
galactosidase positive (light blue). (e)The
control side of a tailbud stage embryo stained
with antibody 3G8 [50] to detect pronephric
tubules (dark purple substrate, arrow).(f)The
opposite side of the embryo shown in (e),
illustrating a tumor derived from the blastomere
C3 injected with p53thr280mRNA plus beta-
galactosidase mRNA. The region in which the
embryonic kidney, the pronephros, should have
formed does not stain with antibody 3G8. The
beta-galactosidase-positive tumor (light blue) is
displaced dorsally from the region in which the
pronephros normally develops, but such
displacement is common for mutant p53-
induced tumors (see Figures 1 and 5).
Figure 1. Expression of dominant-negative p53 results in the formation of developmental tumors. (a) Experimental protocol. Xenopus embryos were fertilized in vitro. At the 32-cell stage, a single blastomere was either co-injected with β-galactosidase and mutant p53 mRNA, or injected with β-galactosidase alone. Embryos were injected into one side only, allowing the uninjected side to act as an internal control for normal development. Injected embryos were reared to the swimming tadpole stage, fixed, and stained to detect the presence of β-galactosidase activity. Cells expressing β-galactosidase (light blue) alone incorporated into axial structures such as somites (upper embryo). Cells expressing p53Thr280 plus β-galactosidase did not contribute to normal embryonic structures and were clumped together into large cell masses, or tumors (lower embryo). (b) Transverse section through an embryo injected into the presumptive somite with β-galactosidase and p53thr280 mRNAs. Morphology on the uninjected control (left) side is normal and illustrates normal anatomy at this stage of Xenopus development; the epithelium of the neural tube is intact and the somite extends dorsally, lateral to the neural tube. A tumor is obvious on the injected (right) side. (c) Higher magnification image of the injected (right) side of the transverse section shown in (b). The tumor is continuous with the spinal cord and the neural epithelium is disrupted. The tumor is partially covered by pigmented melanocytes [red arrows; also see panel (e)], as is the spinal cord. The cells within the tumor contain numerous yolk platelets (black arrows), reminiscent of undifferentiated cells. Note that the somiteventral to the tumor is reduced in size compared to the somite on the uninjected (control) side. Section shown in (b) and (c) was stained with hematoxylin and eosin, but cells retain a low level of the β-galactosidase stain (light blue/green). (d) Transverse section through the same specimen as in (b), stained with Sytox green to visualize nuclei. The tumor is nucleated and contains cells of approximately normal size. An abnormally shaped nucleus is indicated with a white arrow. The tumor is surrounded by an epithelial capsule (pink arrows). (e) Transverse section through the same specimen as shown in (d); specimen has not been stained so that β-galactosidase positive cells are easily visible. All of the undifferentiated cells of the tumor are β-galactosidase positive. High resolution images of the tumors illustrated in this paper can be viewed on the World Wide Web at URL http://vize222.zo.utexas.edu/p53.html
Figure 2.
Developmental tumor associated with multiple tissues. (a) Transverse section and (b) interpretative diagram illustrating a tumor that is associated closely with the neural tube, extends under the notochord and is associated with the pronephros on the opposite side of the embryo. The right side was injected with mutant p53 mRNA. The presence of tumor cells on both sides of the midline is probably a consequence of the movement of loosely adherent cells driven by normal morphogenetic movements, rather than of the undifferentiated cells possessing any invasive properties.
Figure 4. Wild-type p53 rescues the mutant p53 phenotype. (a) The distribution of β-galactosidase-positive cells [as shown in (b) and (c)] was used to score the frequency of tumor formation in this assay, and tumor phenotypes were confirmed by histology. Four-fold overexpression of either Xenopus or human wild-type p53 reduced tumor frequency by more than half. (b) Embryo injected with 125 pg of p53Thr280 mRNA plus β-galactosidase mRNA and stained for β-galactosidase activity; cells expressing β-galactosidase (blue) clump together into distinct cell masses or tumors (arrow). (c) Embryo injected with 125 pg p53Thr280 plus 500 pg of human wild-type p53 and β-galactosidase as a lineage tracer; cells expressing β-galactosidase are distributed normally across the embryo and incorporated into normal tissues.
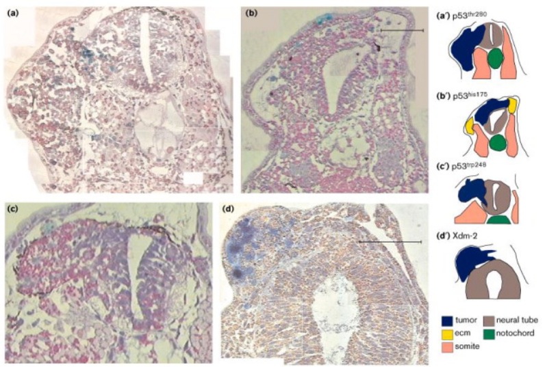
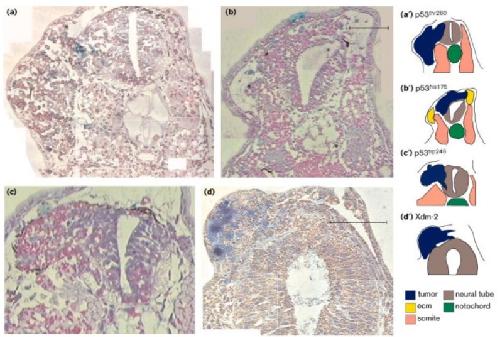
Figure 5. Morphology of developmental tumors resulting from expression of various p53 mutants or Xdm-2. All panels illustrate transverse sections stained with hematoxylin and eosin. The left side of the embryo was injected in all cases. Schematic representation of each panel illustrating the borders of each tumor is shown in aââdâ. (a) p53Thr280-induced tumor. The tumor bulges out from the lateral surface of the spinal cord. The somite on the injected side is restricted ventrally (compare with uninjected control side). (b) p53His175-induced tumor. The tumor is continuous with the dorsal spinal cord and the overlying epidermis, and occupies much of a space filled with extracellular matrix lateral to the spinal cord where the somite is normally present. (c) p53Trp248-induced tumor. The tumor is integrated into the dorsal neural tube and extends ventrolaterally where somite is normally present. (d) Xdm-2-induced tumor. The tumor is integrated into the epidermis dorsal to the hindbrain. Tumors in all cases contain a high density of yolk platelets and appear to be undifferentiated. Scale bar = 100 μm. Scale is similar in (a)â(c). ecm, extracellular matrix. The hematoxylin and eosin staining protocol removes the stain from the lineage tracer in most instances.
Figure 6.
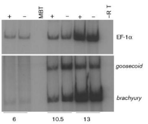
Dominant-negative p53 does not inhibit the mid-blastula transition (MBT). Four-cell embryos were injected with p53Thr280 mRNA into all four cells (+); control embryos were uninjected (â). At stage 6, embryos injected with p53Thr280 mRNA (+) and uninjected embryos (â) both express low levels of EF-1α, but do not express goosecoid or Brachyury. Following the MBT, at stage 10.5 and stage 13, EF-1α expression is upregulated and zygotic expression of goosecoid and Brachyury commences equally in injected (+) and uninjected (â) embryos. âRT, no reverse transcriptase control.