|
Figure 2. Inhibition of cyclin B digestion by proteasome or ATP depletion. Cyclin B was detected by the B63 antibody. The position to which the digested cyclin B migrated is indicated by an asterisk. (A) Immunodepletion of 26S proteasome from purified 26S proteasome fraction. 26S Proteasome was immunoprecipitated by affinity-purified anti-proteasome IgG (Anti) or control IgG (Cont), as described (Tokumoto and Ishikawa, 1993). Supernatants (S) and precipitates (P) were immunoblotted with a mixture of three monoclonal antibodies against goldfish 20S proteasome (GC4/5, 3α and 3β; Tokumoto et al., 1995a). (B) Digestion of cyclin B in the mock- (Cont) or proteasome-depleted (Anti) 26S proteasome fraction. Cyclin Δ0 (5 μg/ml) was incubated at room temperature with the supernatant after immunoprecipitation with control or anti-proteasome IgG. Samples were exposed to Laemmli's SDS sample buffer at the indicated times during incubation. (C) Effect of ATP depletion on cyclin B digestion by the 26S proteasome. Cyclin Δ0 (5 μg/ml) was incubated at room temperature for 60 min without (Control) or with the 26S proteasome in the presence of an ATP-depleting system (10 mM glucose and 1 μg/ml hexokinase, −ATP) or 2 mM ATP (+ATP). |
|
Figure 3. NH2-terminal sequence of goldfish cyclin B and digestion of recombinant cyclin B by the 26 S proteasome. (A) Amino acid sequence of the NH2-terminal region of goldfish cyclin B. The site digested by the 26S proteasome (COOH terminus of K57) and truncated sites of deletion mutants (Δ41, Δ68) are indicated. The destruction box and lysine-rich stretch are also indicated. (B) Digestion of full length and truncated cyclin Bs by the 26S proteasome. Cyclins Δ0, Δ41, and Δ68 were incubated in the absence (−) or presence (+) of the 26S proteasome for 120 min at room temperature. Cyclin degradation was assessed by immunoblotting against two kinds of anti- cyclin B (B63 and B112) monoclonal antibodies. B112 recognizes the NH2-terminal portion of goldfish cyclin B. The position of the digested cyclin B is indicated by an asterisk. |
|
Figure 4. Inhibition of 26S proteasome-catalyzed cyclin B digestion in vitro by the NH2-terminal fragment of Xenopus cyclin B2 (B2Nt). Cyclin Δ0 was incubated with purified 26S proteasome (60 μg/ml) for 120 min in the absence (Control) or presence of various concentrations of B2Nt or lysozyme. Cyclin B was detected with the B63 antibody. The migrating position of the digested cyclin B is indicated by an asterisk. |
|
Figure 5. Digestion of native cyclin B by 26S proteasome. The truncated cyclin B produced by the 26S proteasome digestion is indicated by an asterisk. (A) Digestion of cyclin B in MPF complex by the 26S proteasome. The MPF complex in mature carp oocytes was prepared using suc1 beads (Yamashita et al., 1992b). The beads were washed with buffer (50 mM Tris-HCl, 20% glycerol, 10 mM 2-mercaptoethanol, 0.1 mM ATP, pH 7.5) and shaken in the absence (−) or presence (+) of 60 μg/ml of the 26S proteasome at room temperature with agitation. Samples were treated with SDS sample buffer at the indicated times and immunoblotted against the B63 antibody. Two cyclin bands were detected, and only the upper band was digested by the 26S proteasome. It is unlikely that these two bands correspond to different phosphorylation states of cyclin B (Yamashita et al., 1992b). In C, only a single band of cyclin B was detected when oocytes were directly exposed to SDS sample buffer. Therefore, the lower band is probably produced by undesirable proteolysis during treatment with the suc1 beads. (B) Protein kinase activity of suc1 precipitates before and after the digestion with 26S proteasome. The kinase activity of suc1 precipitates incubated for 60 min in the absence (−) or presence (+) of 26S proteasome was measured with a synthetic peptide substrate for cdc2, as described (Yamashita et al., 1992a). Activities are indicated as a percentage of the activity at 0 min for each condition. (C) Detection of a truncated cyclin B during goldfish egg activation. Ovulated eggs (2 ml) were placed in 3 ml goldfish Ringer's solution (Yamashita et al., 1992b) and immediately homogenized in 5 ml SDS sample buffer at the indicated times. Before detecting truncated cyclin B by immunoblotting with B63 or B112, proteins with a molecular mass of 40–50 kD were separated by SDS-PAGE (Prep Cell Model 491; Bio Rad, Richmond, CA) and concentrated. |
|
Figure 6. Digestion of goldfish cyclin B by the Xenopus 26S proteasome. Cyclin was visualized by immunoblotting with B63 (A–C) and B112 (C). The position of the digested cyclin B is indicated by asterisks. (A) Digestion of full length cyclin B. Cyclin Δ0 (5 μg/ml) was incubated at room temperature with purified 20S or 26S proteasomes (60 μg/ml) in the reaction buffer (100 mM Tris-HCl, 5 mM MgCl2, 0.04 mM ATP, pH 7.6). Samples were exposed to Laemmli's SDS sample buffer at the indicated times during incubation. (B) Digestion of truncated cyclin B. Cyclins Δ0, Δ41, and Δ68 were incubated in the absence (−) or presence (+) of 60 μg/ml of 26S proteasome for 120 min at room temperature. (C) Cyclin was digested by Xenopus 26S proteasomes at the NH2 terminus. Goldfish cyclin Δ0 was digested by 26S proteasome for the indicated times and then stained with B63 or B112 antibody. |
|
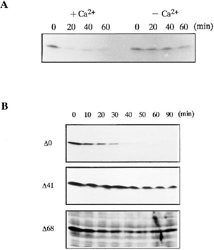
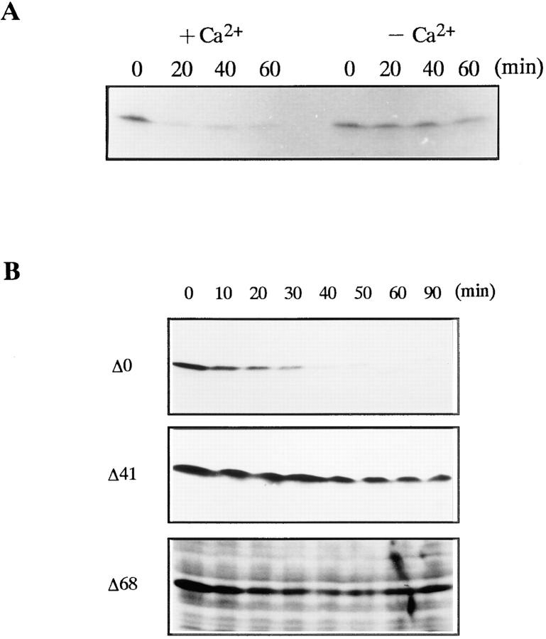
Figure 7. Degradation of goldfish cyclin B in Xenopus egg extracts. Cyclin B was detected with B63 antibody. (A) E. coli-produced goldfish cyclin Δ0 was added to Xenopus egg extract at a final concentration of 5 μg/ml. Incubations proceeded in the absence (−Ca2+) or presence (+Ca2+) of 0.4 mM CaCl2 for the indicated times. (B) E. coli-produced cyclin Δ0, Δ41, and Δ68 were added to Xenopus extracts at the final concentration of 5 μg/ml. Cyclin degradation was induced by 0.4 mM Ca2+ and terminated by adding SDS sample buffer at the indicated times. |
|
Figure 8. Degradation of intermediate cyclin B (cyclin Δ57) in Xenopus egg extracts. Cyclin Δ57 was obtained by digesting cyclin Δ0 with 26S proteasome. 1/20 vol of the digestion mixture containing cyclins Δ0 and Δ57 was added to Xenopus extracts, and cyclin degradation was examined in the absence (−Ca2+) or presence (+Ca2+) of 0.4 mM Ca2+. Samples were exposed to SDS sample buffer at the indicated times. Cyclin degradation was assessed by immunoblotting with B63 antibody. The position of cyclin Δ57 is indicated by an asterisk. |
|
Figure 9. Separation of intermediate cyclin B and NH2-terminal fragment by gel chromatography. (A) Sephadex G-50 column chromatography. The 35S-labeled cyclin Δ0 was produced in vitro in rabbit reticulocyte lysate. Digestion of 35S-labeled cyclin Δ0 was performed for 60 min at room temperature with (•) or without (○) 26S proteasome. Samples were then separated on Sephadex G-50 column (1.0 × 19.0 cm) in 100 mM Tris-HCl, 5 mM MgCl2, pH 7.6. Fractions of 0.5 ml were collected. Arrows indicate the eluted positions of molecular weight standards as follows: 1, bovine serum albumin; 2, myoglobin; 3, ubiquitin; 4, total column volume (Vt). (B) SDS-PAGE analysis of gel chromatography fractions. Sephadex G-50 column chromatography fractions from 26S proteasome-treated cyclin Δ0 and untreated (Control) were separated by SDS-PAGE (15% gel) followed by autoradiography on Imaging plates (Fuji Film). The positions of the digested cyclin B is indicated by an asterisk, and the positions of NH2-terminal portion of cyclin B is indicated by an arrowhead. |
|
Figure 10. Digestion and degradation of in vitro translated cyclin B. The 35S- labeled cyclins Δ0, Δ0K57R, Δ41, and Δ68 were produced in vitro in rabbit reticulocyte lysate. After the translation of each cyclin, the lysate was incubated in the presence of 100 μg/ml of cycloheximide at room temperature under the indicated conditions. The 35S-labeled proteins were resolved by SDS-PAGE followed by autoradiography on Imaging plates (Fuji Film). The position of the digested cyclin B is indicated by an asterisk. (A) Digestion of full length cyclin B by purified 20S and 26S proteasomes. The reticulocyte lysate containing cyclin Δ0 was incubated with 60 μg/ml of proteasomes. (B) Digestion of full length, point mutated, and NH2-terminal truncated cyclin Bs by purified 26S proteasome. The reticulocyte lysate containing cyclin Δ0, Δ0K57R, Δ41, or Δ68 was incubated in the absence (−) or presence (+) of 60 μg/ ml of the 26S proteasome for 60 min. (C) Degradation of cyclin B in Xenopus egg extracts. One ninetieth of the lysate containing cyclin Δ0, Δ0K57R, Δ41, or Δ68 was added to the Xenopus egg extracts, and its degradation was induced by 0.4 mM Ca2+. At the indicated times, the reaction was terminated by adding SDS sample buffer. (D) The same sample as in C. Cyclin contents were quantified using an image analyzer (BAS2000; Fuji Film). |