Click here to close
Hello! We notice that you are using Internet Explorer, which is not supported by Xenbase and may cause the site to display incorrectly.
We suggest using a current version of Chrome,
FireFox, or Safari.
???displayArticle.abstract???
While a number of transcription factors that are likely to play a role in cardiac differentiation have recently been described, the signals that lead to the expression of these factors remains poorly understood. Here we report that exposure of Xenopus embryos to continuous low levels of all-trans retinoic acid (RA), starting at the time of neural fold closure, blocks expression of myocardial differentiation markers. The development of the remainder of the embryo is relatively normal, suggesting that retinoic acid can act rather specifically on myocardial precursors. Indeed, the pattern of endocardial gene expression appears to remain unaffected by RA treatment. Although RA blocks myocardial gene expression, a superficially normal heart tube forms. The heart tube, however, fails to loop during subsequent development and never forms beating tissue. The effect of RA treatment on expression of myocardial genes is developmental stage dependent, since no influence is observed after myocardial differentiation has commenced. These data indicate that a vital component of the myocardial determination pathway is sensitive to retinoid signaling.
FIG. 1 RA treatment specifically blocks myocardial differentiation in Xenopus embryos. Specific marker sequences have been detected in control (top) and experimental embryos using whole- mount in situ hybridization. All embryos were assayed at stage 34. (A) Detection of the myocardial-specific transcript XTnIc. (B)Detection of the a-cardiac actin sequence which is expressed in both cardiac and somitic muscle in the early Xenopus embryo. (C) Detection of neural specific b-tubulin type II transcripts.
FIG. 2. Myocardial development is sensitive to RA-treatment up until the time that myocardial marker sequences are expressed. Whole-mount in situ hybridization assay for expression of the myocardial-specific marker sequence, XTnIc, in control (top) and experimental embryos. All embryos are assayed at stage 34. (A) Continuous treatment with 1 mM RA initiated at stage 23. (B) Continuous treatment with 1 mM RA initiated at stage 25. (C) Continuous treatment with 1 mM RA initiated at stage 28.
FIG. 3 Expression of the tinman-related homeodomain sequence, XNkx-2.5 in RA-treated embryos. XNkx-2.5 sequences were detected by whole-mount in situ hybridization. (A) RA treatment was initiated at stage 20/21 and embryos were assayed at stage 24. Control embryo is on the left. Note the loss of Nkx-2.5 expression from the cardiac precursor region but not from the pharyngeal region. (B) Control embryo assayed at stage 32, after the onset of myocardial marker expression. The folding heart tube (ht) and thpharyngeal region (ph) are indicated. (C) RA-treated embryo assayed at stage 32. Note that XNkx-2.5 transcripts are detected in the pharyngeal region (ph) but not in the region of the heart tube (ht).
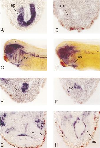
FIG. 4. RA treatment blocks expression of myocardial but not endocardial marker transcripts. Expression of the myocardial-specific sequence, XTnIc, or the endothelial marker sequence, X-msr, was detected by whole-mount in situ hybridization. (A) Transverse section through the heart region of a stage 32 embryo, stained for XTnIc expression. (B) Transverse section through the heart region of an RA-treated embryo stained for XTnIc transcripts. Although tissue layers similar to those in the control embryo are present, there is no detectable expression of XTnIc. (C) Stage 32 control embryo stained for the endothelial marker X-msr. The position of the endocardium (ec) is indicated. (D) RA-treated embryo assayed at stage 32 for the endothelial marker, X-msr. The position of the endocardium (ec) is indicated. (E) Transverse section through the heart region of a stage 32 control embryo stained for X-msr. (F) Transverse section through the heart region of a stage 32 RA-treated embryo, stained for X-msr. Note the presence of the endocardial tissue in both control and RA-treated embryos. (G) Transverse section through the heart region of a stage 35 control embryo stained for X-msr sequences. Note the separation of the endocardial tissue layer from the highly folded myocardial layer. (H) Transverse section through the heart region of a stage 35, RA-treated embryo, stained for X-msr sequences. The stained endocardial cells are located adjacent to the thick layer of unfolded tissue which occupies the position of the heart tube.
FIG. 5. RA treatment of heart region explants. Explants of the presumptive cardiac region were taken from normal embryos at stage 20/21 and cultured until stage 33/34, well after the time of cardiac differentiation. In all panels, differentiated myocardial tissue is detected by whole-mount in situ hybridization to XTnIc transcripts. The fate of the explanted region can be seen by comparing a normal embryo (A), to a similar embryo from which the presumptive cardiac region has been removed (B). Control explants differentiate to form cardiac tissue (C), while explants incubated in 1 mM RA exhibit no detectable cardiac troponin I expression (D).