XB-ART-16223
Gene
1997 Jul 31;1942:297-9. doi: 10.1016/s0378-1119(97)00208-4.
Show Gene links
Show Anatomy links
A novel gene encoding a ferredoxin reductase-like protein expressed in the neuroectoderm in Xenopus neurula.
???displayArticle.abstract???
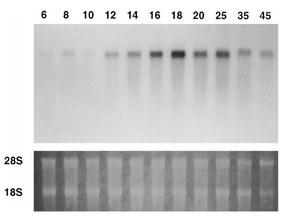
In an attempt to elucidate the molecular mechanisms of early neural development in Xenopus laevis, we identified, using a differential display method, several genes that are induced after Concanavalin A treatment in the animal caps prepared from stage 9 blastula. One such gene was found to encode a possible type IIIa membrane protein of 66.2 kDa sharing similarities with several prokaryotic and eukaryotic redox enzymes, hence the putative product was named Nfrl, neurula-specific ferredoxin reductase-like protein. Northern blot analysis confirmed that the expression of the Nfrl gene is up-regulated around the neurula stage, and is much lower in embryos of earlier stages and in adult tissues. The temporally limited expression of this gene implies neurula- and early larva-specific redox reactions of certain substrates, the nature of which remains to be elucidated.
???displayArticle.pubmedLink??? 9272874
???displayArticle.link??? Gene
Species referenced: Xenopus laevis
Genes referenced: aifm3
???attribute.lit??? ???displayArticles.show???
