XB-ART-16228
J Cell Biol
1997 Jul 28;1382:239-53.
Show Gene links
Show Anatomy links
Xlrbpa, a double-stranded RNA-binding protein associated with ribosomes and heterogeneous nuclear RNPs.
Eckmann CR, Jantsch MF.
???displayArticle.abstract???
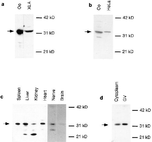
We have cloned and characterized Xlrbpa, a double-stranded RNA-binding protein from Xenopus laevis. Xlrbpa is a protein of 33 kD and contains three tandemly arranged, double-stranded RNA-binding domains (dsRBDs) that bind exclusively to double-stranded RNA in vitro, but fail to bind either single-stranded RNA or DNA. Sequence data and the overall organization of the protein suggest that Xlrbpa is the Xenopus homologue of human TAR-RNA binding protein (TRBP), a protein isolated by its ability to bind to human immunodeficiency virus (HIV) TAR-RNA. In transfection assays, TRBP has also been shown to inhibit the interferon-induced protein kinase PKR possibly by direct physical interaction. To determine the function of Xlrbpa and its human homologue we studied the expression and intracellular distribution of the two proteins. Xlrbpa is ubiquitously expressed with marked quantitative differences amongst all tissues. Xlrbpa and human TRBP can be detected in the cytoplasm and nucleus by immunofluorescence staining and Western blotting. Sedimentation gradient analyses and immunoprecipitation experiments suggest an association of cytoplasmic Xlrbpa with ribosomes. In contrast, a control construct containing two dsRBDs fails to associate with ribosomes in microinjected Xenopus oocytes. Nuclear staining of Xenopus lampbrush chromosome preparations showed the association of the protein with nucleoli, again indicating an association of the protein with ribosomal RNAs. Additionally, Xlrbpa could be located on lampbrush chromosomes and in snurposomes. Immunoprecipitations of nuclear extracts demonstrated the presence of the protein in heterogeneous nuclear (hn) RNP particles, but not in small nuclear RNPs, explaining the chromosomal localization of the protein. It thus appears that Xlrbpa is a general double-stranded RNA-binding protein which is associated with the majority of cellular RNAs, ribosomal RNAs, and hnRNAs either alone or as part of an hnRNP complex.
???displayArticle.pubmedLink??? 9230068
???displayArticle.pmcLink??? PMC2138193
Species referenced: Xenopus laevis
Genes referenced: eif2ak2 hnrnpc myc ncoa6 pmp2
???attribute.lit??? ???displayArticles.show???
References [+] :
Adam,
mRNA polyadenylate-binding protein: gene isolation and sequencing and identification of a ribonucleoprotein consensus sequence.
1986, Pubmed
Adam, mRNA polyadenylate-binding protein: gene isolation and sequencing and identification of a ribonucleoprotein consensus sequence. 1986, Pubmed
Bandziulis, RNA-binding proteins as developmental regulators. 1989, Pubmed
Bass, Binding properties of newly identified Xenopus proteins containing dsRNA-binding motifs. 1994, Pubmed , Xenbase
Benkirane, Oncogenic potential of TAR RNA binding protein TRBP and its regulatory interaction with RNA-dependent protein kinase PKR. 1997, Pubmed , Xenbase
Bennett, Differential binding of heterogeneous nuclear ribonucleoproteins to mRNA precursors prior to spliceosome assembly in vitro. 1992, Pubmed
Brown, A general procedure for the preparation of highly active eukaryotic ribosomes and ribosomal subunits. 1974, Pubmed
Burd, Conserved structures and diversity of functions of RNA-binding proteins. 1994, Pubmed
Bycroft, NMR solution structure of a dsRNA binding domain from Drosophila staufen protein reveals homology to the N-terminal domain of ribosomal protein S5. 1995, Pubmed
Choi, Monoclonal antibody characterization of the C proteins of heterogeneous nuclear ribonucleoprotein complexes in vertebrate cells. 1984, Pubmed
Christofori, Poly(A) polymerase purified from HeLa cell nuclear extract is required for both cleavage and polyadenylation of pre-mRNA in vitro. 1989, Pubmed
Cobianchi, Phosphorylation of human hnRNP protein A1 abrogates in vitro strand annealing activity. 1993, Pubmed
Cosentino, Double-stranded-RNA-dependent protein kinase and TAR RNA-binding protein form homo- and heterodimers in vivo. 1995, Pubmed
Dingwall, Nuclear targeting sequences--a consensus? 1991, Pubmed
Evan, Isolation of monoclonal antibodies specific for human c-myc proto-oncogene product. 1985, Pubmed , Xenbase
Fu, Factor required for mammalian spliceosome assembly is localized to discrete regions in the nucleus. 1990, Pubmed
Gall, Lampbrush chromosomes. 1991, Pubmed , Xenbase
Gall, Is the sphere organelle/coiled body a universal nuclear component? 1995, Pubmed , Xenbase
Gatignol, Characterization of a human TAR RNA-binding protein that activates the HIV-1 LTR. 1991, Pubmed
Green, Two RNA-binding motifs in the double-stranded RNA-activated protein kinase, DAI. 1992, Pubmed
Hamm, Monomethylated cap structures facilitate RNA export from the nucleus. 1990, Pubmed , Xenbase
Jantsch, Assembly and localization of the U1-specific snRNP C protein in the amphibian oocyte. 1992, Pubmed , Xenbase
Kao, Cloning and expression of cyclosporin A- and FK506-sensitive nuclear factor of activated T-cells: NF45 and NF90. 1994, Pubmed
Kaufman, The phosphorylation state of eucaryotic initiation factor 2 alters translational efficiency of specific mRNAs. 1989, Pubmed
Kharrat, Structure of the dsRNA binding domain of E. coli RNase III. 1995, Pubmed
Krovat, Comparative mutational analysis of the double-stranded RNA binding domains of Xenopus laevis RNA-binding protein A. 1996, Pubmed , Xenbase
Langland, Products of the porcine group C rotavirus NSP3 gene bind specifically to double-stranded RNA and inhibit activation of the interferon-induced protein kinase PKR. 1994, Pubmed
Leibold, Cytoplasmic protein binds in vitro to a highly conserved sequence in the 5' untranslated region of ferritin heavy- and light-subunit mRNAs. 1988, Pubmed
Lerner, Monoclonal antibodies to nucleic acid-containing cellular constituents: probes for molecular biology and autoimmune disease. 1981, Pubmed , Xenbase
Levin, Regulation of protein synthesis: activation by double-stranded RNA of a protein kinase that phosphorylates eukaryotic initiation factor 2. 1978, Pubmed
Manche, Interactions between double-stranded RNA regulators and the protein kinase DAI. 1992, Pubmed
Mayeda, Regulation of alternative pre-mRNA splicing by hnRNP A1 and splicing factor SF2. 1992, Pubmed
Mougey, A U3 small nuclear ribonucleoprotein-requiring processing event in the 5' external transcribed spacer of Xenopus precursor rRNA. 1993, Pubmed , Xenbase
Müllner, A specific mRNA binding factor regulates the iron-dependent stability of cytoplasmic transferrin receptor mRNA. 1989, Pubmed
Nagai, Crystal structure of the RNA-binding domain of the U1 small nuclear ribonucleoprotein A. 1990, Pubmed
Nilsen, RNA-RNA interactions in the spliceosome: unraveling the ties that bind. 1994, Pubmed
Noller, Secondary structure model for 23S ribosomal RNA. 1981, Pubmed
Park, TAR RNA-binding protein is an inhibitor of the interferon-induced protein kinase PKR. 1994, Pubmed
Peculis, Disruption of U8 nucleolar snRNA inhibits 5.8S and 28S rRNA processing in the Xenopus oocyte. 1993, Pubmed , Xenbase
Piñol-Roma, hnRNP proteins: localization and transport between the nucleus and the cytoplasm. 1993, Pubmed
Piñol-Roma, A novel heterogeneous nuclear RNP protein with a unique distribution on nascent transcripts. 1989, Pubmed
Piñol-Roma, Immunopurification of heterogeneous nuclear ribonucleoprotein particles reveals an assortment of RNA-binding proteins. 1988, Pubmed
Polson, Preferential selection of adenosines for modification by double-stranded RNA adenosine deaminase. 1994, Pubmed
Portman, RNA annealing activities in HeLa nuclei. 1994, Pubmed
Roth, A conserved family of nuclear phosphoproteins localized to sites of polymerase II transcription. 1991, Pubmed , Xenbase
Santos, Ribosomal protein P0, contrary to phosphoproteins P1 and P2, is required for ribosome activity and Saccharomyces cerevisiae viability. 1994, Pubmed
Savino, In vivo disruption of Xenopus U3 snRNA affects ribosomal RNA processing. 1990, Pubmed , Xenbase
Steitz, Immunoprecipitation of ribonucleoproteins using autoantibodies. 1989, Pubmed
St Johnston, A conserved double-stranded RNA-binding domain. 1992, Pubmed , Xenbase
St Johnston, The intracellular localization of messenger RNAs. 1995, Pubmed
St Johnston, Staufen, a gene required to localize maternal RNAs in the Drosophila egg. 1991, Pubmed
Thompson, Convergence of Ets- and notch-related structural motifs in a heteromeric DNA binding complex. 1991, Pubmed
Tyc, U3, U8 and U13 comprise a new class of mammalian snRNPs localized in the cell nucleolus. 1989, Pubmed
Vinson, In situ detection of sequence-specific DNA binding activity specified by a recombinant bacteriophage. 1988, Pubmed
Wahle, A novel poly(A)-binding protein acts as a specificity factor in the second phase of messenger RNA polyadenylation. 1991, Pubmed
Watson, Characterization of a vaccinia virus-encoded double-stranded RNA-binding protein that may be involved in inhibition of the double-stranded RNA-dependent protein kinase. 1991, Pubmed
Wittekind, 1H, 13C, and 15N NMR assignments and global folding pattern of the RNA-binding domain of the human hnRNP C proteins. 1992, Pubmed
Wu, U7 small nuclear RNA in C snurposomes of the Xenopus germinal vesicle. 1993, Pubmed , Xenbase
Wu, Small nuclear ribonucleoproteins and heterogeneous nuclear ribonucleoproteins in the amphibian germinal vesicle: loops, spheres, and snurposomes. 1991, Pubmed , Xenbase
Wu, Human p80-coilin is targeted to sphere organelles in the amphibian germinal vesicle. 1994, Pubmed , Xenbase
Xiao, The La antigen inhibits the activation of the interferon-inducible protein kinase PKR by sequestering and unwinding double-stranded RNA. 1994, Pubmed
Zahler, SR proteins: a conserved family of pre-mRNA splicing factors. 1992, Pubmed
