Click here to close
Hello! We notice that you are using Internet Explorer, which is not supported by Xenbase and may cause the site to display incorrectly.
We suggest using a current version of Chrome,
FireFox, or Safari.
Dev Biol
1997 Jul 15;1872:209-23. doi: 10.1006/dbio.1997.8625.
Show Gene links
Show Anatomy links
Dorsal-ventral patterning during neural induction in Xenopus: assessment of spinal cord regionalization with xHB9, a marker for the motor neuron region.
???displayArticle.abstract???
While the role of the notochord and floor plate in patterning the dorsal-ventral (D/V) axis of the neural tube is clearly established, relatively little is known about the earliest stages of D/V regionalization. In an effort to examine more closely the initial, preneural plate stages of regionalization along the prospective D/V neural axis, we have performed a series of explant experiments employing xHB9, a novel marker of the motor neuron region in Xenopus. Using tissue recombinants and Keller explants we show that direct mesodermal contact is both necessary and sufficient for the initial induction of xHB9 in the motor neuron region. We also show that presumptive neural plate explants removed as early as midgastrulation and cultured in isolation are already specified to express xHB9 but do so in an inappropriate spatial pattern while identical explants are specified to express the floor plate marker vhh-1 with correct spatial patterning. Our data suggest that, in addition to floor plate signaling, continued interactions with the underlying mesoderm through neural tube stages are essential for proper spatial patterning of the motor neuron region.
FIG. 1. Nucleotide sequence of xHB9 and the deduced amino acid sequence. The nucleotide sequence of the xHB9 cDNA clone is
presented along with a conceptual translation. The homeobox region is designated by stippling. The consensus polyadenylation signal
(AATAAA) at the 3* end of the clone is underlined.
FIG. 2. Amino acid sequence comparisons among xHB9, HB9, and Xlim-3. Dashes indicate identical residues among xHB9, HB9 (Deguchi
and Kehrl, 1991), and Xlim-3 (Taira et al., 1993). The homeodomain is designated in bold.
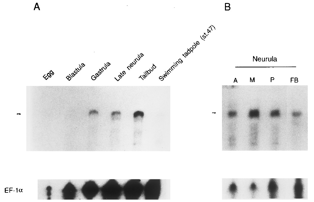
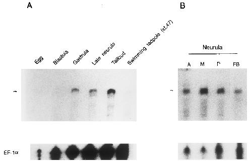
FIG. 3. Expression pattern of xHB9 mRNA. (A) While xHB9 mRNA is first observable at very low levels on long exposures of RNase
protection assays at blastula stages (stage 9) it does not become readily detectable until gastrula stages (stage 12). Steady-state mRNA
levels increase during tailbud stages (stage 25) and remain constant until swimming tadpole stages (stage 47) when xHB9 transcripts are
no longer detectable. Approximately 20 mg of total RNA for each stage was hybridized with the RNase protection assay probe described
under Materials and Methods. (B) The spatial distribution of xHB9 transcripts was initially determined by dissecting anterior, middle,
and posterior pieces from a late neurulaembryo (stage 18) and employing RNase protection analysis to assay for the presence of xHB9
mRNA. ââForebrainsââ were dissected by making a transverse cut midway through the optic vesicle and pieces of tissueanterior to this
cut were collected. For dissected material 20 pieces were used per lane. Arrows indicate the protected fragment.
FIG. 4. Whole-mount in situ hybridization with xHB9. Whole mount in situ hybridization was performed on Xenopus embryos at
different developmental stages. (A) Late gastrula (stage 13), lateral view, arrow depicts signal and points to the anterior-dorsal region of
the embryo; the blastopore is to the right; (B) late neurula (stage 20); (C) early tailbud (stage 23); (D) late tailbud (stage 26), arrows designate
retina and pituitary gland signal; dark staining in the gut cavity is background; (E) hatching stage (stage 33/34), arrow shows tailbud
staining; (F) swimming tadpole (stage 37/38), arrow designates signal in retina; (G) longitudinal section through spinal cord region of a
stage 35 embryo; (H) transverse section through the spinal cord region of a stage 35 embryo; (I) transverse section through the tailbud
region of a stage 35 embryo; arrow designates tailbud staining. Bars in AâF correspond to 0.5 mm; bars in GâI correspond to 0.1 mm.
FIG. 5. Schematic diagram of pieces used for explant experiments. Nile blue sulfate was used to determine equivalent regions at different
developmental stages in A (midgastrula, stage 11.5), dashed lines indicate presumptive neural plate; B (neural plate stage, stage 14) and C
(hatching stage, stage 33/34). The pieces taken for the regional explants at stage 11.5 and stage 14 are indicated by the different shadings;
the subregions designated in C are approximate. As depicted in the diagram, the medial region at gastrula and neural plate stages becomes
ventral tissue at neural tube stages, while the lateral region gives rise to the dorsal region of the neural tube.
FIG. 6. Whole mount in situ hybridization on explant experiments. The explant experiments described in the text were processed using
whole mount in situ hybridization. Representative explants are depicted. A–F depict explants of the presumptive spinal cord and hindbrain
removed at the following stages: (A) gastrula (stage 10); (B, F) midgastrula (stage 11.5); (C) neural plate (stage 14); (D) neural fold (stage
16); (E) neural tube (stage 18). A–E were processed using a xHB9 antisense probe while F was processed using an antisense vhh-1 probe.
Arrows designate staining. G and H depict xHB9 mRNA in explants of presumptive spinal cord and hindbrain removed along with the
underlying mesoderm at the following stages: (G) midgastrula (stage 11.5); (H) neural plate (stage 14). I–N show xHB9 staining in regional
explants of the prospective spinal cord and hindbrain taken either at midgastrula stages (I, J, K), or at neural plate stages (L, M, N). I and
L represent medial pieces; J and M, medial-lateral pieces; K and N lateral pieces. O and P represent explants of the medial strip of
presumptive neural plate removed at midgastrula stages, cultured in vitro, and analyzed for vhh-1 (pink) and xHB9 (blue) mRNA using
two-color in situ hybridization. O depicts a whole mount while P shows the staining pattern in a histological section. Q depicts a
representative recombinant of midgastrula dorsal mesoderm with stage 10 animal cap ectoderm which was cultured in vitro and then
analyzed for vhh-1 (blue) and xHB9 (pink) mRNA. Bars correspond to 0.2 mm. The bar shown in 6A applies to A–F and Q, while the bar
depicted in 6G applies to G–P.