|
Fig. 1. Construction of Xbra-GR. The hormone binding
domain of the human glucocorticoid receptor (hGR)
amino acids 512-777 was fused to the carboxy-terminus
of Xbra (1-432) to generate Xbra-GR. This fusion
replaces the stop codon of Xbra with two amino acids
(DL) generated by the insertion of a BglII site (see
Materials and methods). The DNA-binding and activation
domains of Xbra are shown by shaded and hatched
boxes, respectively (see Kispert and Herrmann, 1993;
Conlon et al., 1996). The hormone-binding domain of
hGR is shown by a solid box. |
|
Fig. 2. Xbra-GR activates transcription
of a synthetic target gene. (A) Schematic
representation of the 2T-CAT reporter
plasmid. The plasmid contains two copies of the palindromic
Brachyury binding site (Kispert and Herrmann, 1993) upstream of a
thymidine kinase (tk) minimal promoter driving expression of
chloramphenicol acetyl transferase (CAT) (Conlon et al., 1996).
(B) Analysis of transcription activation by Xbra-GR in Xenopus
embryos. Xbra-GR RNA (400 pg) and the 2T-CAT reporter plasmid
(20 pg) were coinjected into both cells of Xenopus embryos at the 2-
cell stage. Animal caps were dissected at stage 8, then treated with
10-6 M DEX and cultured to stage 10.5, when they were analysed for
expression of CAT by RNAase protection. Addition of DEX causes
activation of CAT transcription. |
|
Fig. 3. Morphological and
histological analyses of animal
caps derived from embryos
injected with RNA encoding
Xbra, Xbra-GR or GR.
Embryos at the one-cell stage
were left uninjected (A-D) or
injected with 400 pg of RNA
encoding Xbra (E-H), Xbra-
GR (I-L) or GR (M-P). Animal
caps were dissected at stage 8,
and in some cases treated with
10-6 M DEX
(C,D,G,H,K,L,O,P). After
culture to stage 42, caps were
photographed
(A,C,E,G,I,K,M,O) and
subjected to histological
analysis (B,D,F,H,J,L,N,P).
Addition of DEX has no effect
on animal caps from uninjected
embryos, or those injected with
RNA encoding Xbra or GR,
but caused caps derived from
embryos injected with RNA
encoding Xbra-GR to form
compact masses of muscle (L). |
|
Fig. 4. Mesoderm formation by Xbra-GR. RNAase protection
analysis of mesoderm formation in animal caps derived from
uninjected embryos or embryos injected with 200 pg of RNA
encoding Xbra, Xbra-GR or GR. Animal caps were dissected at stage
8, treated with 10-6 M DEX, and cultured to stage 12 for analysis of
goosecoid, to stage 14 for analysis of Xhox3 or to stage 23 for
analysis of cardiac actin gene expression. ODC, EF-1a and
cytoskeletal actin serve as loading controls. |
|
Fig. 5. Increasing
amounts of RNA
encoding Xbra-GR
induce different types of
mesoderm. Histological
(A-C) and
immunohistochemical
(D-F) analyses of animal
caps derived from
embryos injected with
increasing amounts of
RNA encoding Xbra-GR.
Animal caps were
dissected at stage 8,
treated with 10-6 M
DEX, and cultured to
stage 42 when they were
fixed and sectioned at 7
mm for histological
analysis or at 10 mm for
immunohistochemical analysis. For histological analysis (A-C), the sections were stained by the Feulgen technique and with Light Green and
Orange G. For immunohistochemical analysis (D-F), the sections were stained with 12/101 monoclonal antibody for muscle. (A,D) Untreated
caps treated with DEX form atypical epidermis. (B,E) DEX-treated animal caps derived from embryos injected with 25 pg of RNA encoding
Xbra-GR form ventral mesodermal vesicles, which contain mesothelium and mesenchyme. (C,F) DEX-treated animal caps derived from embryos
injected with 400 pg of RNA encoding Xbra-GR form clumps of muscle cells. This muscle tissue is typical of caps derived from embryos
injected with 100 pg of RNA encoding Xbra-GR or more. |
|
Fig. 6. Effects of injected RNA encoding Xbra-GR in whole embryos. (A-D) One animal pole blastomere (tier A) of embryos at the 32-cell
stage received injections of RNA encoding Xbra-GR (10 pg). Embryos were left untreated (A) or exposed to 10-6 M DEX at stage 10 (B-D).
They were allowed to develop to stage 34. DEX-treated embryos typically possess tail-like protrusions (B,C). When protrusions are present in
the head, embryos lack eyes (C) and when they occur near the tail, they contain fin-like structures (D). The tail-like protrusions are shown by
arrows. Treatment with DEX at stage 10 was more effective than that at stage 8 or 12. (E-H) Embryos were injected in one blastomere of tier A
(E,F) or tier C (G,H) at the 32-cell stage with 10 pg of RNA encoding Xbra-GR together with nucb-gal RNA. The embryos were treated with
10-6 M DEX at stage 10 (F,H) or were untreated (E,G), fixed at stage 34 and stained with X-gal. Embryos injected in tier A and treated with
DEX possess tail-like protrusions (see Table 2). When Xbra-GR and nucb-gal RNAs were injected into a tier A blastomere in the absence of
DEX, labelled cells were found in the surface ectoderm (E) or in neural tissues, but addition of DEX at stage 10 changed the fate of these cells
causing them to form tail-like protrusions (98% of cases; n=67) (F). In contrast, following injection into a tier C blastomere, labelled cells were
observed in the notochord or in the paraaxial cells (G) even after treatment with DEX (H). (I-L) Whole-mount immunostaining analysis of
embryos injected with 10 pg of RNA encoding Xbra-GR into a tier A blastomere at the 32-cell stage. The embryos were left untreated (I,K) or
treated with 10-6 M DEX at stage 10 (J,L), fixed at stage 34 and stained with MZ15 monoclonal antibody for notochord (I,J) or with 12/101
monoclonal antibody for muscle (K,L). Tail-like protrusions are negative for notochord (J), while they are positive for muscle (arrow in L). |
|
Fig. 7. Stability of Xbra-GR protein in Xenopus embryos.
(A) Immunoprecipitation analysis of in vitro translated protein
derived from Xbra-HA, Xbra-GR-HA and GR-HA, all of which
include repeated nonapeptides from the influenza hemagglutinin
protein (HA), using anti-HA monoclonal antibody 12CA5 (see
Materials and methods). Immunoprecipitates were analysed by 12%
acrylamide gel electrophoresis followed by fluorography. Positions
of molecular mass markers (´10-3) are indicated. (B) Western
blotting analysis of Xbra-GR protein levels in Xenopus embryos.
Animal caps from embryos injected with 400 pg of RNA encoding
Xbra-GR-HA were dissected at stage 8, treated with 10-6 M DEX
where appropriate and collected at the indicated stages. Two cap
equivalents of protein were analysed by western blotting using the
anti-HA antibody after 12% acrylamide gel electrophoresis.
Positions of molecular mass markers (´10-3) are indicated. The band
corresponding to the protein of Xbra-GR-HA is indicated by an
arrowhead. Note that Xbra-GR-HA protein levels are stable in the
absence of DEX but fall rapidly after its addition. |
|
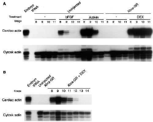
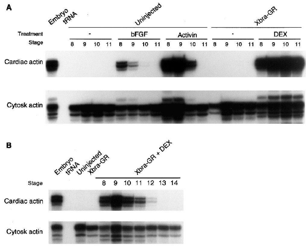
Fig. 8. Competence of animal
caps to respond to mesoderm
inducers. (A) Embryos at the
one-cell stage were left
uninjected or injected with 100
pg of RNA encoding Xbra-GR.
Animal caps were dissected at
stage 8, 9, 10 or 11, then
treated with 100 ng/ml bFGF, 8
U/ml activin or 10-6 M DEX,
and cultured to stage 23, when
they were analysed for
expression of actin genes by
RNAase protection. Competence in response to bFGF and activin is gradually lost by the
early gastrula stage, whereas the response to Xbra persists. (B) Competence of animal caps
to respond to Xbra. Embryos at the one-cell stage were injected with 100 pg of RNA
encoding Xbra-GR. Animal caps were dissected at stage 8, treated with 10-6 M DEX at the
indicated stages, and cultured to stage 23, when they were analysed for expression of actin
genes by RNAase protection. Competence of animal caps to respond to Xbra persists
during until the late gastrula stage (stage 12). |
|
Fig. 9. Autoinduction of Xbra. (A) Autoinduction of Xbra in animal
pole explants. Embryos were injected with 25 pg of RNA encoding
Xbra-GR at the one-cell stage. Animal caps were dissected at stage
8, treated as appropriate with 10-6 M DEX and cultured to stage
10.5, when they were analysed for expression of Xbra by RNAase
protection. ODC serves as a loading control. (B,C) Autoinduction of
Xbra in whole embryos. Embryos were injected with 10 pg of RNA
encoding Xbra-GR into a tier A blastomere at the 32-cell stage. The
embryos were left untreated (B) or exposed to 10-6 M DEX at stage
10 (C) and allowed to develop to stage 11.5, when they were
analysed by whole-mount in situ hybridisation. Ectopic expression of
Xbra is seen in the prospective ectoderm. |
|
Fig. 10. Xbra autoinduction is indirect. (A) Time course of Xbra
induction. Embryos were left uninjected or injected at the one-cell
stage with 200 pg of RNA encoding Xbra-GR. Animal caps were
dissected at stage 8, and treated as appropriate with 10-6 M DEX or
with 50 ng/ml bFGF. They were harvested at the indicated times after
treatment and analysed for expression of Xbra by RNAase
protection. Expression of Xbra was elevated in response to bFGF
within 2 hours, but the response to Xbra required 3 hours. (B) Xbra
autoinduction requires intercellular signals. Embryos at the one-cell
stage were injected with 25 pg of RNA encoding Xbra-GR or left
uninjected. Animal caps were dissected at stage 8 and kept intact or
dispersed by culture in medium lacking calcium and magnesium.
The intact or dissociated caps were exposed to 10-6 M DEX or to 50
ng/ml bFGF and cultured for 3 hours to the equivalent of stage 10.5,
when they were analysed for expression of Xbra by RNAase. ODC
serves as a control for loading in samples in these experiments. Xbra
autoinduction is not observed in dissociated cells, whereas induction
by bFGF is unaffected. |
|
Fig. 11. Xbra function requires FGF signalling. (A) Mesoderm
formation in response to Xbra requires FGF signalling. Embryos at the
one-cell stage were injected with 1 ng of RNA encoding a dominantnegative
FGF receptor (XFD) and/or 100 pg of RNA encoding Xbra-
GR. Animal caps were dissected at stage 8, treated as appropriate with
10-6 M DEX and cultured to stage 23, when they were analysed for
expression of actin genes by RNAase protection. Inhibition of FGF
signalling blocks induction of mesoderm by Xbra-GR. Induction of
cardiac actin gene expression by bFGF (50 ng/ml) in control animal
caps was abolished by injection of RNA encoding XFD (1 ng) under
the same conditions. (B) Xbra autoinduction requires FGF signalling.
Embryos at the one-cell stage were injected with 25 pg of RNA
encoding Xbra-GR and/or 1 ng of RNA encoding XFD. Animal caps
were dissected at stage 8, treated as appropriate with 10-6 M DEX and
cultured to the equivalent of stage 10.5, when they were analysed for
expression of Xbra by RNAase protection. Inhibition of FGF
signalling prevented autoinduction of Xbra. Expression of Xbra
induced by bFGF treatment (100 ng/ml) in control caps was abolished
by injection of RNA encoding XFD (1 ng) under the same conditions.
ODC serves as a control for loading in samples in these experiments. |