Click here to close
Hello! We notice that you are using Internet Explorer, which is not supported by Xenbase and may cause the site to display incorrectly.
We suggest using a current version of Chrome,
FireFox, or Safari.
???displayArticle.abstract??? Xotx1 and Xotx2 are two Xenopus homologues of the Drosophila orthodenticle gene that are specifically expressed in presumptive head regions that do not undergo convergent extension movements during gastrulation. We studied the function of Xotx1 and compared it with that of Xotx2. Ectopic expression of each of the two genes has similar effects in impairing trunk and tail development. Experimental evidence suggests that posterior deficiencies observed in microinjected embryos are due to negative interference with convergent extension movements. Transplantations of putative tail-forming regions showed that, while Xotx1 overexpression inhibits tailorganizer activity, Xotx2 overexpression is able to turn a tailorganizer into a headorganizer. Finally, Xotx1 and Xotx2 are activated by factors involved in head formation and repressed by a posteriorizing signal like retinoic acid. Taken together, these data suggest that Xotx genes are involved in head-organizing activity. They also suggest that the headorganizer may act not only stimulating the formation of anterior regions, but also repressing the formation of posterior structures.
Fig. 1. Phenotypes of embryos injected with Xotx1. The embryos
shown were injected with 1.5 ng of Xotx1 RNA at 1-cell stage,
except for the top embryo, which was injected with 2.5 ng of DXotx1
RNA and shows with no phenotypic abnormalities. Embryos in the
middle row display severe posterior defects, while embryos in the
bottom row show a normal trunk but reduced tail structures. Injected
embryos were allowed to develop at room temperature until
uninjected control embryos reached stage 38. Frequencies of
occurrence of the two phenotypes are shown in Table 1.
Fig. 2. Xotx1 does not induce ectopic cement glands and, in coinjection
experiments, inhibits Xotx2 cement-gland-inducing ability.
Embryos at 2-cell stage were injected with 0.8 ng of DXotx1 (A),
Xotx1 (B) or Xotx2 RNA (C), or co-injected with 0.8 ng of Xotx1 and
0.8 ng of Xotx2 RNA (D) and the resulting stage 32 embryos were
subjected to whole-mount in situ hybridization with XAG-1, a probe
specific for the cement gland. Both DXotx1 (A) and Xotx1 (B)-
injected embryos display wild-type pattern of XAG-1 expression.
Embryos injected with Xotx2 RNA show ectopic expression of XAG-
1 (C, arrows) which is strongly repressed (D, leftmost embryo;
arrowhead point to residual ectopic XAG-1 expression) or completely
abolished (D, rightmost embryo) in embryos co-injected with both
Xotx1 and Xotx2.
Fig. 3. Xotx1 microinjection inhibits molecular markers expressed in
cells that undergo convergent extension. 0.8 ng of Xotx1 RNA were
injected into one blastomere at 2-cell stage and, when control
embryos reached stage 14, injected embryos were subjected to
whole-mount in situ hybridization with Xbra (A, B) and Xnot2
(C, D) probes. In all cases, anterior is to the top and posterior to the
bottom. The black dots demarcate the dorsal midline and âinjâ
indicates the injected side as determined by coinjection of a
fluorescent tracer (fluorescein dextran amine).
Fig. 4. Analysis of convergent extension in exogastrulae and dorsal marginal zone explants. Stage 24 exogastrulae obtained from embryos
microinjected at 4-cell-stage into both dorsal blastomeres with DXotx1 (A) or Xotx1 (B) RNA and subsequently transferred in a hypertonic
solution. Whereas DXotx1 exogastrulae were indistinguishable from uninjected exogastrulae (A), Xotx1 injection yielded exogastrulae that
show a reduced elongation; in extreme cases (B, top row, leftmost embryo), strong inhibition of convergent extension gave rise to radially
symmetrical exogastrulae. Dorsal marginal zone explants isolated from stage 10 embryos microinjected at 4-cell-stage into both dorsal
blastomeres with DXotx1 (C) or Xotx1 (D) RNA and analyzed when control embryos reached stage 23. Morphogenetic movements of the dorsal
marginal zone appear to be inhibited by Xotx1 overexpression.
Fig. 5. Transplantation of organizers
from Xotx1- and Xotx2-injected
embryos. Transplantation of putative
tail organizers from Xotx2-injected
embryos gives rise to anterior
structures (A, arrowhead points to an
ectopic cement gland) and secondary
heads induction (B). Transplantation
of putative tail organizers from Xotx1-
injected embryos results in ectopic
âbulgingâ structures (C) and ectopic
reduced tail structures (D), whereas
when putative tail organizers from
DXotx1-injected embryos are
tranplanted, complete ectopic tails,
similar to those induced by uninjected
organizers, are obtained (E).
Fig. 6. Histological analysis of structures
induced by transplantation of putative tail
organizers. (A,A¢) Sections at a proximal (A)
and distal (A¢) level of a secondary tail
induced by putative tailorganizer of a
DXotx1-injected embryo. (B,B¢) Sections at a
proximal (B) and distal (B¢) level of a
âbulgingâ structure induced by putative tailorganizer of a Xotx1-injected embryo. (e),
endoderm; (m), muscles; (me), mesenchyme;
(n), notochord; (nt), neural tube.
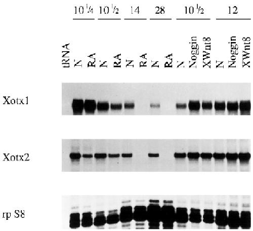
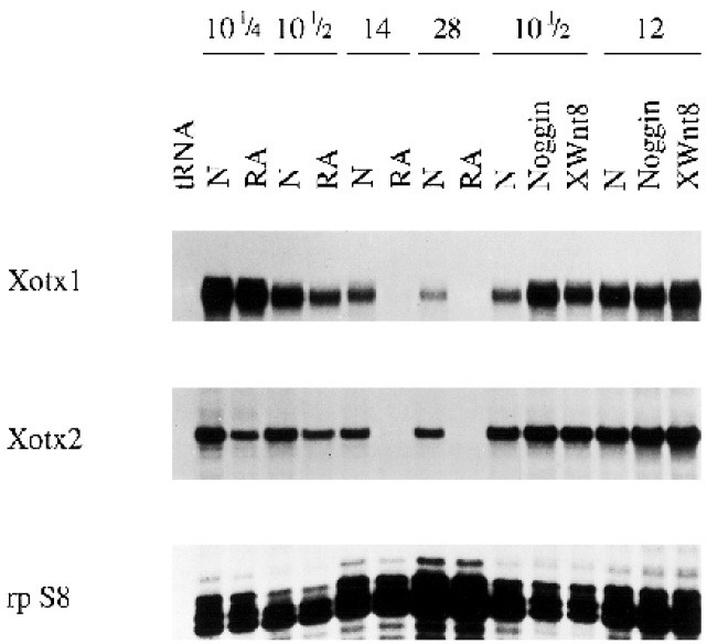
Fig.7. Xotx1 and Xotx2 transcription regulation by posteriorizing and
anteriorizing signals. RNase protection analysis of Xotx1 and Xotx2
expression in embryos that were either treated with retinoic acid
(RA, 1 mM continous treatment starting at the 2-cell stage) or
microinjected with noggin or Xwnt-8 RNA. Numbers above the lanes
refer to embryo stages (Nieuwkoop and Faber, 1967) used for RNase
protection analysis. N, normal untreated embryos. The Xenopus
laevis gene for ribosomal protein S8 (rp S8) is analyzed as an
internal standard.
Fig. 8. Whole-mount in situ hybridization performed with Xotx1
(A,B) and Xotx2 (C,D) probes on stage 10.5 / 11 normal embryos
(A,C) or embryos of the same stage that were injected with Siamois
(B,D).