|
Fig. 1. When overexpressed, XlPOU 2 inhibits the expression of a
selective group of mesoderm-specific genes as assessed by wholemount
in situ hybridization. Two dorsovegetal blastomeres (A-P) or two
ventrovegetal blastomeres (Q-T) from embryos at the 8-cell stage were
injected with either 200 pg of XlPOU 2 mRNA
(B,D,D¢,F,H,I,L,N,P,R,T) or 200 pg of tXlPOU 2 mRNA
(A,C,E,G,I,K,M,O,S). The expression of chordin (A,B), BMP-4
(C,D,D¢), gsc (E,F), Xpo (G,H), Xlim-1 (I,J), Xbra (K,L,Q,R), Xnot
(M,N), Ef1a (O,P) and PV.1 (S,T) is shown in embryos at stage 10.5
(A-R) or stage 11 (S,T). The schematic shows the orientation of all
embryos shown except D¢ (side view). All embryos were cleared in
benzyl alcohol/benzoate (2:1), except for those embryos shown in views
D¢,M,N,S and T. |
|
Fig. 2. The detection of region-specific mesoderm markers in
embryos at stages 10.5 or 11 by an RT-PCR analysis. Two
dorsovegetal (labeled sD or tD) or ventrovegetal (labeled sV or tV),
blastomeres of embryos at the 8-cell stage were injected with either
200 pg of XlPOU 2 (designated s)or tXlPOU 2 (designated t) mRNA.
E are uninjected embryos. (A-C) Separate studies. All experiments
were replicated 2-4 times each. For the experiments shown in B,
lanes 6-8, labeled sA (XlPOU 2-injected), tAC (tXLPOU 2-injected),
and AC (uninjected), animal cap explants were prepared from
injected embryos at stages 8-9, and animal caps were allowed to
develop until sibling controls reached stage 10 or stage 11. Total
mRNA was prepared from pools of 5 to 10 embryos/injection
condition, at stages 10 or 11, and subjected to the RT-PCR analysis
as described in Materials and Methods. |
|
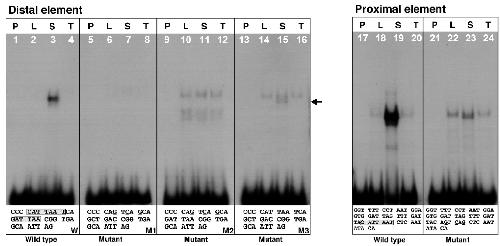
Fig. 3. A gel mobility shift analysis showing that XlPOU 2 binds to the distal and proximal elements of the gsc promoter. The analysis was
performed as described in Materials and Methods. P, probe alone; L, unprogrammed lysate; S, lysate programmed with a construct containing
the complete XlPOU 2 open reading frame in SP64T; T, lysate programmed with a construct containing a truncated XlPOU 2 (no POU domain)
in SP64T. The wild-type and mutant sequences of the distal and proximal elements were previously characterized (Watabe et al., 1995).
Mutated bases are underlined. The position of the class III POU protein binding site CATTAAT is boxed in both the distal and proximal
elements. The postition of a potential homeobox protein binding site ATTA found in the distal element is also boxed. Lanes 10-12, 14-16 and
22-24 show some non-specific binding of a component in the lysate to the mutant oligomer sequences. The arrows designate the correct
position of the specific XlPOU 2/oligomer complex. |
|
Fig. 4. XlPOU 2 suppresses the activin-induced activation of the gsc
promoter. This analysis was performed as described in Materials and
Methods. Each experiment was replicated 2-3 times. |
|
Fig. 5. The overexpression of XlPOU 2 leads to the suppression of
the eye and facial structures as evaluated using a whole-mount in situ
hybidization technique. One D2.1 blastomere of a 16-cell-stage
embryo (A) was injected with 200 pg each of XlPOU 2 and b-
galactosidase mRNAs (C, neurula stage; E and G, tailbud stage).
Control embryos were injected with 200 pg of tXlPOU 2 mRNA (B
and D, neurula stage; F and H, tailbud stage). The expression of pax-
6 (C,D), Xotx-2 (E,F) and en-2 (G,H) is shown. (C) The expression
of pax-6 in the central nervous system appears reduced on the
injected side because of the plane of the embryo as it was
photographed. |
|
Fig. 6. Interaction of XlPOU 2 with GSK-3b, a
component of the Wnt-like dorsalizing pathway. In a
control experiment, two ventroanimal blastomeres of
a 16-cell-stage embryo were injected with 200 pg of
tXlPOU 2 mRNA and 200 pg of b-galactosidase (b-
gal) mRNA and two ventrovegetal blastomeres were
injected with 1 ng of GSK-3b KM mRNA. Views A
and A¢ show a tadpole from this experimental control
group; [A, a dorsal perspective showing the
secondary axis (red) and A¢, a side view of the same
tadpole]. Another group of embryos were injected
similarly, but with 200 pg of XlPOU 2 mRNA instead
of tXlPOU 2 mRNA (B,B¢, a dorsal and side
perspective, respectively, show a tadpole from this
experimental group). In other experiments, two
ventrovegetal blastomeres from embryos at the 16-
cell stage were injected with 200 pg of XlPOU 2
mRNA, 200 pg of b-galactosidase, and 1 ng of GSK-
3b KM mRNA (C,C¢, a dorsal and side perspective,
respectively, show a tadpole from this experimental
group). Note that the reaction product from lineage
tracer is dark red in all three views. The nearly 100%
contribution of the injected lineage to the secondary
axis in views A and B was readily detected. |
|
Fig. 7. XlPOU 2 does not disrupt chordin
signaling and chordin rescues the
phenotype induced by the overexpression
of XlPOU 2. Two ventrovegetal
blastomeres of embryos at the 16-cell
stage were injected with 200 pg of
chordin and 200 pg of b-galactosidase
mRNAs. (A) A tadpole from this
experiment. In another experiment,
embryos were injected similarly, with
100 pg of chordin, 200 pg of XlPOU 2,
and 200 pg of b-gal mRNAs. (B) A
tadpole from this expermental group. The
lineage from the injected blastomeres
(dark red) contributes heavily to the
secondary axis (A,B,B¢, a section from
the secondary axis shown in view B).
(C-E) Tadpoles from chordin ârescueâ
experiments. (C) Tadpole from a control
group, in which two dorsovegetal
blastomeres from embryos at the 16-cell stage were injected with 200 pg each of tXlPOU 2 and b-galactosidase mRNAs. (D) A tadpole from an
experimental group similarly injected as in C, but with 200 pg of XlPOU 2 instead of tXlPOU 2. There are severe abnormalities in the head
region of these embryos. The most severe phenotype from this experimental group is a âheadless embryoâ. (E) A tadpole from an experimental
group that had been ârescuedâ by injecting 200 pg of chordin mRNA. |
|
Fig. 8. A proposed model of XlPOU’2s function in the Organizer.
(A) The Organizer-specific gene, gsc, is induced by an activin-like
mesoderm-inducing signal. Gsc prevents the ventralizing signal,
Bmp-4, from being expressed in the Organizer. The secreted
molecule, chordin, both a dorsalizing signal and a neural inducer, is
induced by gsc. Endogenous XlPOU 2 suppresses (dampens) the
activation of gsc by mesoderm induction. (B) When XlPOU 2 is
overexpressed, the activation of gsc by the activin-like mesoderm
induction signal is severely suppressed. The severe reduction in gsc
results in the activation of Bmp-4 in the dorsal lip and the loss of
chordin expression. The expression of other Organizer-specific
genes, such as noggin and Xlim-1 are greatly reduced, while, Xnot
expression is unaltered. |