Click here to close
Hello! We notice that you are using Internet Explorer, which is not supported by Xenbase and may cause the site to display incorrectly.
We suggest using a current version of Chrome,
FireFox, or Safari.
???displayArticle.abstract???
We used a peptide antibody to a conserved sequence in the motor domain of kinesins to screen a Xenopus ovary cDNA expression library. Among the clones isolated were two that encoded a protein we named XCTK2 for Xenopus COOH-terminal kinesin 2. XCTK2 contains an NH2-terminal globular domain, a central alpha-helical stalk, and a COOH-terminal motor domain. XCTK2 is similar to CTKs in other organisms and is most homologous to CHO2. Antibodies raised against XCTK2 recognize a 75-kD protein in Xenopus egg extracts that cosediments with microtubules. In Xenopus tissue culture cells, the anti-XCTK2 antibodies stain mitotic spindles as well as a subset of interphase nuclei. To probe the function of XCTK2, we have used an in vitro assay for spindle assembly in Xenopus egg extracts. Addition of antibodies to cytostatic factor-arrested extracts causes a 70% reduction in the percentage of bipolar spindles formed. XCTK2 is not required for maintenance of bipolar spindles, as antibody addition to preformed spindles has no effect. To further evaluate the function of XCTK2, we expressed XCTK2 in insect Sf-9 cells using the baculovirus expression system. When purified (recombinant XCTK2 is added to Xenopus egg extracts at a fivefold excess over endogenous levels) there is a stimulation in both the rate and extent of bipolar spindle formation. XCTK2 exists in a large complex in extracts and can be coimmunoprecipitated with two other proteins from extracts. XCTK2 likely plays an important role in the establishment and structural integrity of mitotic spindles.
Figure 2. XCTK2 contains a COOH-terminal motor domain and binds microtubules. (A) A schematic representation of the predicted structure of XCTK2. XCTK2 contains an NH2-terminal globular domain, a central α-helical stalk and a COOH-terminal motor domain. (B and C) Immunoblots of microtubule pelleting assays in Xenopus egg extracts. (B) Xenopus egg high speed supernatants (lane 1) or AMP-PNP microtubule pellets (lane 2) were probed with anti-CTP1 antibody. The slight band shift is due to the high amounts of protein present in the high speed supernatant that alter the migration of XCTK2. (C) Microtubules were polymerized in mitotic high speed supernatants of Xenopus egg extracts and pelleted in the absence of ATP and the presence of AMP-PNP (lanes 1 and 2). The microtubule pellet, with associated proteins, was resuspended and extracted with various nucleotides and salt to generate supernatants (S) and pellets (P) of each extraction condition: 2 mM Mg–ATP (lanes 3 and 4); 0.5 M NaCl (lanes 5 and 6); 1 M NaCl (lanes 7 and 8), or 2 mM Mg–ATP with 0.5 M NaCl (lanes 9 and 10). The blots were probed with anti-XCTK2 antibody.
Figure 3. Immunolocalization of XCTK2 in Xenopus tissue culture cells. The cells were stained with 1 μg/ml anti-XCTK2 followed by FITC-conjugated goat anti–rabbit secondary antibody. DNA was visualized by staining with 0.05 μg/ml propidium iodide. Images were recorded on a laser scanning confocal microscope. Interphase (I); prophase (P); prometaphase (PM); metaphase (M); anaphase (A); telophase (T). Bar, 20 μm.
Figure 4. XCTK2 is important for mitotic spindle assembly. Mitotic spindles were assembled in the presence of either (A) 95 μg/ml control IgG, (B) 95 μg/ml anti-CTP1, or (C) 95 μg/ml anti-XCTK2. Spindles were assembled in CSF extracts that contained rhodamine-labeled tubulin and antibody for 60 min and then sedimented onto coverslips. In the presence of antibodies that inhibit XCTK2 function, there is a decrease in the percentage of bipolar spindles that formed. Six random structures were photographed from five fields of view, and they were compiled into the field of view that is shown. To compare between panels, count the number of bipolar spindles versus half spindles in each panel. Rhodamine-labeled microtubules are shown. Bar, 20 μm. (D) Quantitation of XCTK2 immunoinhibition. The percentage of half spindles, bipolar spindles, and aster-like structures that formed per nuclei were quantitated. The data are represented as the percentage of bipolar spindles that formed, normalized to the IgG control addition as 100%. The bars represent mean ± 1 SD (n = 1,020 nuclei for IgG addition [four experiments]; n = 965 nuclei for anti-CTP1 addition [four experiments]; n = 1,007 nuclei for anti-XCTK2 addition [four experiments]).
Figure 5. Anti-XCTK2 antibodies cause relocalization of XCTK2. Mitotic spindles were assembled in the presence of rhodamine-labeled tubulin in cycled CSF extracts for 60 min and then sedimented onto coverslips. (Top) Spindles were assembled, sedimented, fixed, and then stained with antiXCTK2 antibodies, followed by FITC-conjugated goat anti–rabbit secondary antibody. DNA was visualized by staining with Hoechst 33528. XCTK2 stains the spindle with an enrichment toward spindle poles. (Bottom) Spindles were assembled in the presence of anti-XCTK2 antibody, sedimented, fixed, and then stained with FITC-conjugated goat anti–rabbit secondary antibody. DNA was visualized by staining with Hoechst 33528. XCTK2 is now concentrated at spindle poles after assembly in the presence of anti-XCTK2 antibodies. Bar, 20 μm.
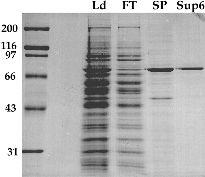
Figure 6. Purification of XCTK2. XCTK2 was expressed in insect Sf-9 cells using the baculovirus expression system. Lysates were made of infected Sf-9 cells, centrifuged and filtered through an HPLC syringe filter, run on a SP-Sepharose column (Hi-TrapTM; Pharmacia Fine Chemicals) and eluted with a linear 100–500 mM NaCl gradient. The peak fractions were pooled, concentrated, and run on a Superose 6 gel filtration column. The peak fractions were pooled, sucrose was added to 10% final wt/vol, and they were frozen in 15 μl aliquots at −80°C until use in the experiments described. Fractions from the purification were run on 10% SDS-PAGE and visualized by staining with Coomassie. (Ld) SPSepharose column load. (FT) SP-Sepharose column flow-through. (SP) Pool of peak XCTK2 containing fractions from SP-Sepharose column. (Sup6) Pool of peak XCTK2 containing fractions from Superose 6 column. Molecular mass markers are shown on the left side of the gel.
Figure 7. Addition of excess XCTK2 stimulates mitotic spindle assembly. Mitotic spindles were assembled in the presence of either (A) control buffer, (B) ∼10 μg/ml XCTK2, or (C) ∼10 μg/ml XCTK2 that had been heat killed for 5 min at 70°C before use. Spindles were assembled in CSF extracts that contained rhodamine-labeled tubulin and buffer or XCTK2 protein for 30 min and then sedimented onto coverslips. In the presence of excess XCTK2 protein, there is an increase in the percentage of bipolar spindles that formed. Six random structures were photographed from four to six fields of view, and they were compiled into the field of view that is shown. Rhodamine-labeled microtubules are shown. (D–F) Quantitation of excess XCTK2 addition. Spindles were assembled in CSF extracts in the presence of control buffer (black bar), ∼10 μg/ml XCTK2 (hatched bar), or ∼10 μg/ml heat-killed XCTK2 (cross-hatched bar) for 15–60 min and then sedimented onto coverslips. The percentage of asters, directed asters, and half spindles were quantitated at the 15 min time point, and the percentage of half spindles, bipolar spindles, and other structures that formed per nuclei were quantitated at the 30 and 60 min time points. The data are represented as mean ± 1 SD of four independent experiments (n ⩾ 800 nuclei for IgG addition; n ⩾ 800 nuclei for anti-CTP1 addition; n ⩾ 800 nuclei for anti-XCTK2 addition for each time point). Bar, 20 μm.
Figure 8. Immunoprecipitation of XCTK2 from egg extracts. Immunoprecipitation was performed using control rabbit IgG (lane 1), affinitypurified anti-CTP1 (lane 2), or affinity-purified anti-XCTK2 (lane 3). Antibody was bound to protein A beads and then incubated in Xenopus egg high speed supernatants that contained ∼10 μg/ ml XCTK2. The protein A complexes were washed, separated by 7.5% SDS-PAGE, and visualized by staining with Coomassie.
Figure 9. Model for XCTK2 function in spindle assembly. XCTK2 (lollipops) is required to bundle microtubules in each half spindle. A certain amount of bundling of microtubules is necessary for efficient fusion of half spindles to occur (top diagram). In the presence of anti-XCTK2 antibodies (lower diagram), the protein becomes mislocalized toward the spindle poles, and the spindles splay and are incapable of forming bipolar spindles.
Ando,
Cloning of a new kinesin-related gene located at the centromeric end of the human MHC region.
1994, Pubmed
Ando,
Cloning of a new kinesin-related gene located at the centromeric end of the human MHC region.
1994,
Pubmed Barton,
Motor activity and mitotic spindle localization of the Drosophila kinesin-like protein KLP61F.
1995,
Pubmed Barton,
Going mobile: microtubule motors and chromosome segregation.
1996,
Pubmed Bloom,
Motor proteins 1: kinesins.
1995,
Pubmed Boleti,
Xklp2, a novel Xenopus centrosomal kinesin-like protein required for centrosome separation during mitosis.
1996,
Pubmed
,
Xenbase Chandra,
Structural and functional domains of the Drosophila ncd microtubule motor protein.
1993,
Pubmed Cole,
A "slow" homotetrameric kinesin-related motor protein purified from Drosophila embryos.
1994,
Pubmed
,
Xenbase Cole,
Structural variations among the kinesins.
1995,
Pubmed Davis,
Chromosome Behavior under the Influence of Claret-Nondisjunctional in DROSOPHILA MELANOGASTER.
1969,
Pubmed Echeverri,
Molecular characterization of the 50-kD subunit of dynactin reveals function for the complex in chromosome alignment and spindle organization during mitosis.
1996,
Pubmed Endow,
Yeast Kar3 is a minus-end microtubule motor protein that destabilizes microtubules preferentially at the minus ends.
1994,
Pubmed Enos,
Mutation of a gene that encodes a kinesin-like protein blocks nuclear division in A. nidulans.
1990,
Pubmed Eshel,
Cytoplasmic dynein is required for normal nuclear segregation in yeast.
1993,
Pubmed Gaglio,
NuMA is required for the organization of microtubules into aster-like mitotic arrays.
1995,
Pubmed Gaglio,
Opposing motor activities are required for the organization of the mammalian mitotic spindle pole.
1996,
Pubmed
,
Xenbase Hagan,
Kinesin-related cut7 protein associates with mitotic and meiotic spindles in fission yeast.
1992,
Pubmed Hatsumi,
The Drosophila ncd microtubule motor protein is spindle-associated in meiotic and mitotic cells.
1992,
Pubmed Hatsumi,
Mutants of the microtubule motor protein, nonclaret disjunctional, affect spindle structure and chromosome movement in meiosis and mitosis.
1992,
Pubmed Heald,
Self-organization of microtubules into bipolar spindles around artificial chromosomes in Xenopus egg extracts.
1996,
Pubmed
,
Xenbase Hirano,
Topoisomerase II does not play a scaffolding role in the organization of mitotic chromosomes assembled in Xenopus egg extracts.
1993,
Pubmed
,
Xenbase Hoyt,
Loss of function of Saccharomyces cerevisiae kinesin-related CIN8 and KIP1 is suppressed by KAR3 motor domain mutations.
1993,
Pubmed Hoyt,
Two Saccharomyces cerevisiae kinesin-related gene products required for mitotic spindle assembly.
1992,
Pubmed Kashina,
An essential bipolar mitotic motor.
1996,
Pubmed Kuriyama,
Characterization of a minus end-directed kinesin-like motor protein from cultured mammalian cells.
1995,
Pubmed Li,
Disruption of mitotic spindle orientation in a yeast dynein mutant.
1993,
Pubmed Lohka,
Induction of nuclear envelope breakdown, chromosome condensation, and spindle formation in cell-free extracts.
1985,
Pubmed
,
Xenbase Matthies,
Anastral meiotic spindle morphogenesis: role of the non-claret disjunctional kinesin-like protein.
1996,
Pubmed McDonald,
The kinesin-like ncd protein of Drosophila is a minus end-directed microtubule motor.
1990,
Pubmed Meluh,
KAR3, a kinesin-related gene required for yeast nuclear fusion.
1990,
Pubmed Merdes,
A complex of NuMA and cytoplasmic dynein is essential for mitotic spindle assembly.
1996,
Pubmed
,
Xenbase Moore,
Kinesin proteins: a phylum of motors for microtubule-based motility.
1996,
Pubmed Murray,
Cell cycle extracts.
1991,
Pubmed O'Connell,
Suppression of the bimC4 mitotic spindle defect by deletion of klpA, a gene encoding a KAR3-related kinesin-like protein in Aspergillus nidulans.
1993,
Pubmed Page,
Localization of the Kar3 kinesin heavy chain-related protein requires the Cik1 interacting protein.
1994,
Pubmed Pfarr,
Cytoplasmic dynein is localized to kinetochores during mitosis.
1990,
Pubmed Pidoux,
Fission yeast pkl1 is a kinesin-related protein involved in mitotic spindle function.
1996,
Pubmed Roof,
Kinesin-related proteins required for assembly of the mitotic spindle.
1992,
Pubmed Saunders,
Saccharomyces cerevisiae kinesin- and dynein-related proteins required for anaphase chromosome segregation.
1995,
Pubmed Saunders,
Kinesin-related proteins required for structural integrity of the mitotic spindle.
1992,
Pubmed Sawin,
Mitotic spindle assembly by two different pathways in vitro.
1991,
Pubmed
,
Xenbase Sawin,
Mitotic spindle organization by a plus-end-directed microtubule motor.
1992,
Pubmed
,
Xenbase Sawin,
Evidence for kinesin-related proteins in the mitotic apparatus using peptide antibodies.
1992,
Pubmed
,
Xenbase Sawin,
Meiosis, mitosis and microtubule motors.
1993,
Pubmed
,
Xenbase Shamu,
Sister chromatid separation in frog egg extracts requires DNA topoisomerase II activity during anaphase.
1992,
Pubmed
,
Xenbase Siegel,
Determination of molecular weights and frictional ratios of proteins in impure systems by use of gel filtration and density gradient centrifugation. Application to crude preparations of sulfite and hydroxylamine reductases.
1966,
Pubmed Smith,
Expression of an enzymatically active parasite molecule in Escherichia coli: Schistosoma japonicum glutathione S-transferase.
1988,
Pubmed Steuer,
Localization of cytoplasmic dynein to mitotic spindles and kinetochores.
1990,
Pubmed Vaisberg,
Cytoplasmic dynein plays a role in mammalian mitotic spindle formation.
1993,
Pubmed Verde,
Taxol-induced microtubule asters in mitotic extracts of Xenopus eggs: requirement for phosphorylated factors and cytoplasmic dynein.
1991,
Pubmed
,
Xenbase Vernos,
Motors involved in spindle assembly and chromosome segregation.
1996,
Pubmed Vernos,
Xklp1, a chromosomal Xenopus kinesin-like protein essential for spindle organization and chromosome positioning.
1995,
Pubmed
,
Xenbase Walczak,
XKCM1: a Xenopus kinesin-related protein that regulates microtubule dynamics during mitotic spindle assembly.
1996,
Pubmed
,
Xenbase Walker,
The Drosophila claret segregation protein is a minus-end directed motor molecule.
1990,
Pubmed